JavaScript is disabled in your browser. Please enable JavaScript to view this website.
AB247879

Anti-Peroxiredoxin 1/PAG antibody [EPR5433] - BSA and Azide free

  • BOND RX™ Validated
  • RabMAb
  • Recombinant
  • KO Validated
  • What is this?

Be the first to review this product! Submit a review

|

(1 Publication)

Rabbit Recombinant Monoclonal Peroxiredoxin 1/PAG antibody. Carrier free. Suitable for IHC-P, WB and reacts with Mouse, Human samples. Cited in 1 publication.

View Alternative Names

PAGA, PAGB, TDPX2, PRDX1, Peroxiredoxin-1, Natural killer cell-enhancing factor A, Proliferation-associated gene protein, Thioredoxin peroxidase 2, Thioredoxin-dependent peroxide reductase 2, Thioredoxin-dependent peroxiredoxin 1, NKEF-A, PAG

5 Images
Immunohistochemistry (Formalin/PFA-fixed paraffin-embedded sections) - Anti-Peroxiredoxin 1/PAG antibody [EPR5433] - BSA and Azide free (AB247879)
  • IHC-P

Supplier Data

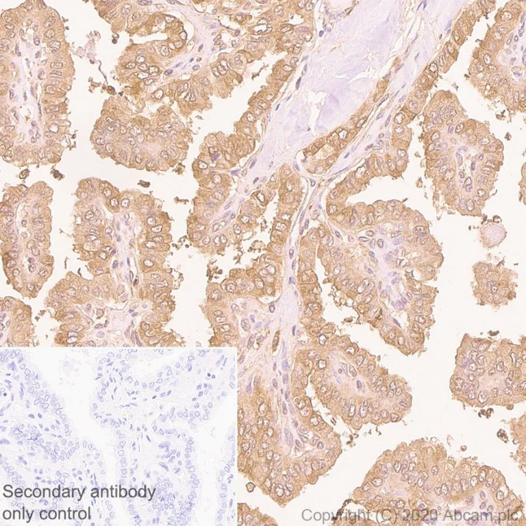
Immunohistochemistry (Formalin/PFA-fixed paraffin-embedded sections) - Anti-Peroxiredoxin 1/PAG antibody [EPR5433] - BSA and Azide free (AB247879)

This data was developed using the same antibody clone in a different buffer formulation (ab109498).

Immunohistochemical analysis of paraffin-embedded Human thyroid cancer tissue labeling Peroxiredoxin 1/PAG with ab109498 at 1/1000 (0.155 ug/ml) dilution. The section was incubated with ab109498 for 30 mins at room temperature and followed by a ready to use Rabbit specific IHC polymer detection kit HRP/DAB (ab209101). Counterstained with Hematoxylin.

Positive staining on the human thyroid cancer, performed on a Leica Biosystems BOND® RX instrument.

Secondary antibody only control : Rabbit specific IHC polymer detection kit HRP/DAB (ab209101)

Heat mediated antigen retrieval with Citrate buffer (pH 6.0, epitope retrieval solution 1) for 20 mins.

Immunohistochemistry (Formalin/PFA-fixed paraffin-embedded sections) - Anti-Peroxiredoxin 1/PAG antibody [EPR5433] - BSA and Azide free (AB247879)
  • IHC-P

Supplier Data

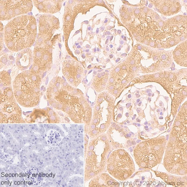
Immunohistochemistry (Formalin/PFA-fixed paraffin-embedded sections) - Anti-Peroxiredoxin 1/PAG antibody [EPR5433] - BSA and Azide free (AB247879)

This data was developed using the same antibody clone in a different buffer formulation (ab109498).

Immunohistochemical analysis of paraffin-embedded Mouse kidney tissue labeling Peroxiredoxin 1/PAG with ab109498 at 1/4000 (0.038 ug/ml) dilution. The section was incubated with ab109498 for 30 mins at room temperature and followed by a ready to use Rabbit specific IHC polymer detection kit HRP/DAB (ab209101). Counterstained with Hematoxylin.

Positive staining on the mouse kidney, performed on a Leica Biosystems BOND® RX instrument.

Secondary antibody only control : Rabbit specific IHC polymer detection kit HRP/DAB (ab209101)

Heat mediated antigen retrieval with Citrate buffer (pH 6.0, epitope retrieval solution 1) for 20 mins.

Western blot - Anti-Peroxiredoxin 1/PAG antibody [EPR5433] - BSA and Azide free (AB247879)
  • WB

Supplier Data

Western blot - Anti-Peroxiredoxin 1/PAG antibody [EPR5433] - BSA and Azide free (AB247879)

This data was developed using the same antibody clone in a different buffer formulation (ab109498).

Blocking and diluting buffer and concentration : 5% NFDM/TBST

All lanes:

Western blot - Anti-Peroxiredoxin 1/PAG antibody [EPR5433] (<a href='/en-us/products/primary-antibodies/peroxiredoxin-1-pag-antibody-epr5433-ab109498'>ab109498</a>) at 1/10000 dilution

Lane 1:

MCF7 (Human breast adenocarcinoma epithelial cell) whole cell lysate at 20 µg

Lane 2:

K-562 (Human chronic myelogenous leukemia lymphoblast) whole cell lysate at 20 µg

Lane 3:

NIH/3T3 (Mouse embryonic fibroblast) whole cell lysate at 20 µg

Lane 4:

Mouse brain lysate at 20 µg

Secondary

All lanes:

Western blot - Goat Anti-Rabbit IgG H&L (HRP) (<a href='/en-us/products/secondary-antibodies/goat-rabbit-igg-h-l-hrp-ab97051'>ab97051</a>) at 1/20000 dilution

Predicted band size: 22 kDa

Observed band size: 22 kDa

false

Exposure time: 10s

Western blot - Anti-Peroxiredoxin 1/PAG antibody [EPR5433] - BSA and Azide free (AB247879)
  • WB

Supplier Data

Western blot - Anti-Peroxiredoxin 1/PAG antibody [EPR5433] - BSA and Azide free (AB247879)

This data was developed using the same antibody clone in a different buffer formulation (ab109498).

Lane 1 : Wild-type HAP1 cell lysate (20 μg)
Lane 2 : Peroxiredoxin 1/PAG knockout HAP1 cell lysate (20 μg)
Lane 3 : A431 cell lysate (20 μg)
Lane 4 : Jurkat cell lysate (20 μg)
Lanes 1 - 4 : Merged signal (red and green). Green - ab109498 observed at 23 kDa. Red - loading control, ab8245, observed at 37 kDa.

ab109498 was shown to specifically react with Peroxiredoxin 1/PAG when Peroxiredoxin 1/PAG knockout samples were used. Wild-type and Peroxiredoxin 1/PAG knockout samples were subjected to SDS-PAGE. ab109498 and ab8245 (loading control to GAPDH) were both diluted 1/10 000 and incubated overnight at 4°C. Blots were developed with Goat anti-Rabbit IgG H&L (IRDye® 800CW) preadsorbed (ab216773) and Goat anti-Mouse IgG H&L (IRDye® 680RD) preadsorbed (ab216776) secondary antibodies at 1/10 000 dilution for 1 h at room temperature before imaging.

All lanes:

Western blot - Anti-Peroxiredoxin 1/PAG antibody [EPR5433] - BSA and Azide free (ab247879)

Predicted band size: 22 kDa

false

Western blot - Anti-Peroxiredoxin 1/PAG antibody [EPR5433] - BSA and Azide free (AB247879)
  • WB

Lab

Western blot - Anti-Peroxiredoxin 1/PAG antibody [EPR5433] - BSA and Azide free (AB247879)

This data was developed using the same antibody clone in a different buffer formulation (ab109498).

Lanes 1-3 : Merged signal (red and green). Green - ab109498 observed at 26 kDa. Red - loading control ab8245 observed at 36 kDa.

ab109498 Anti-Peroxiredoxin 1/PAG antibody [EPR5433] was shown to specifically react with Peroxiredoxin in wild-type HEK293T cells. Loss of signal was observed when knockout cell line ab266842 (knockout cell lysate ab257040) was used. Wild-type and Peroxiredoxin knockout samples were subjected to SDS-PAGE. ab109498 and Anti-GAPDH antibody [6C5] - Loading Control (ab8245) were incubated overnight at 4°C at 1 in 1000 dilution and 1 in 20000 dilution respectively. Blots were developed with Goat anti-Rabbit IgG H&L (IRDye® 800CW) preadsorbed (ab216773) and Goat anti-Mouse IgG H&L (IRDye® 680RD) preadsorbed (ab216776) secondary antibodies at 1 in 20000 dilution for 1 hour at room temperature before imaging.

All lanes:

Western blot - Anti-Peroxiredoxin 1/PAG antibody [EPR5433] (<a href='/en-us/products/primary-antibodies/peroxiredoxin-1-pag-antibody-epr5433-ab109498'>ab109498</a>) at 1/1000 dilution

Lane 1:

Wild-type HEK293T cell lysate at 20 µg

Lane 2:

PRDX1 knockout HEK293T cell lysate at 20 µg

Lane 2:

Western blot - Human PRDX1 (Peroxiredoxin 1/PAG) knockout HEK-293T cell line (<a href='/en-us/products/cell-lines/human-prdx1-peroxiredoxin-1-pag-knockout-hek-293t-cell-line-ab266842'>ab266842</a>)

Lane 3:

Jurkat cell lysate at 20 µg

Secondary

All lanes:

Western blot - Goat anti-Rabbit IgG H&L (IRDye® 800CW) preadsorbed (<a href='/en-us/products/secondary-antibodies/goat-rabbit-igg-h-l-irdye-800cw-preadsorbed-ab216773'>ab216773</a>) at 1/10000 dilution

Predicted band size: 22 kDa,41 kDa,45 kDa,78 kDa

Observed band size: 25 kDa,26 kDa,47 kDa,49 kDa,78 kDa

false

Key facts

Host species

Rabbit

Clonality

Monoclonal

Clone number

EPR5433

Isotype

IgG

Carrier free

Yes

Reacts with

Human, Mouse

Applications

IHC-P, WB

applications

Immunogen

The exact immunogen used to generate this antibody is proprietary information.

Reactivity data

{ "title": "Reactivity Data", "filters": { "stats": ["", "Species", "Dilution Info", "Notes"], "tabs": { "all-applications": {"fullname" : "All Applications", "shortname": "All Applications"}, "IHCP" : {"fullname" : "Immunohistochemistry (Formalin/PFA-fixed paraffin-embedded sections)", "shortname":"IHC-P"}, "IP" : {"fullname" : "Immunoprecipitation", "shortname":"IP"}, "WB" : {"fullname" : "Western blot", "shortname":"WB"} }, "product-promise": { "all": "all", "testedAndGuaranteed": "tested", "guaranteed": "expected", "predicted": "predicted", "notRecommended": "not-recommended" } }, "values": { "Human": { "IHCP-species-checked": "guaranteed", "IHCP-species-dilution-info": "", "IHCP-species-notes": "", "IP-species-checked": "notRecommended", "IP-species-dilution-info": "", "IP-species-notes": "<p></p>", "WB-species-checked": "testedAndGuaranteed", "WB-species-dilution-info": "", "WB-species-notes": "<p></p>" }, "Mouse": { "IHCP-species-checked": "testedAndGuaranteed", "IHCP-species-dilution-info": "", "IHCP-species-notes": "<p>Perform antigen retrieval.</p>", "IP-species-checked": "notRecommended", "IP-species-dilution-info": "", "IP-species-notes": "<p></p>", "WB-species-checked": "testedAndGuaranteed", "WB-species-dilution-info": "", "WB-species-notes": "<p></p>" } } }

Product details

ab247879 is the carrier-free version of ab109498.

Patented technology
Our RabMAb® technology is a patented hybridoma-based technology for making rabbit monoclonal antibodies. For details on our patents, please refer to RabMAb® patents.

What are the advantages of a recombinant monoclonal antibody?
This product is a recombinant monoclonal antibody, which offers several advantages including:

  • - High batch-to-batch consistency and reproducibility
  • - Improved sensitivity and specificity
  • - Long-term security of supply
  • - Animal-free batch production

For more information, read more on recombinant antibodies.

Species reactivity
Rat: We have preliminary internal testing data to indicate this antibody may not react with this species.
Please contact us for more information.

Conjugation ready
Our carrier-free antibodies are typically supplied in a PBS-only formulation, purified and free of BSA, sodium azide and glycerol. This conjugation-ready format is designed for use with fluorochromes, metal isotopes, oligonucleotides, and enzymes, which makes them ideal for antibody labelling, functional and cell-based assays, flow-based assays (e.g. mass cytometry) and Multiplex Imaging applications.

Use our conjugation kits for antibody conjugates that are ready-to-use in as little as 20 minutes with 1 minute hands-on-time and 100% antibody recovery: available for fluorescent dyes, HRP, biotin and gold.

Compatibility
This product is compatible with the Maxpar® Antibody Labeling Kit from Fluidigm, without the need for antibody preparation. Maxpar® is a trademark of Fluidigm Canada Inc.

Properties and storage information

Form
Liquid
Purification technique
Affinity purification Protein A
Storage buffer
pH: 7.2 - 7.4 Constituents: PBS
Shipped at conditions
Blue Ice
Appropriate short-term storage conditions
+4°C
Appropriate long-term storage conditions
+4°C
Storage information
Do Not Freeze

Supplementary information

This supplementary information is collated from multiple sources and compiled automatically.

Peroxiredoxin 1 also known as PAG plays an important role as an antioxidant enzyme. It is part of the peroxiredoxin family with a molecular mass of around 22 kDa. This protein helps reduce hydrogen peroxide and organic hydroperoxides to water and corresponding alcohols using reducing equivalents provided by thiol-containing donor molecules. Peroxiredoxin 1/PAG expresses widely in human tissues and cells including liver and erythrocytes reflecting its involvement in cellular redox regulation.
Biological function summary

Peroxiredoxin 1 helps maintain cellular homeostasis by protecting cells from oxidative stress. It forms homodimers or interacts with other proteins to propagate cellular responses to changes in redox state. As an important member of the antioxidant defense mechanism it contributes to cellular signaling through modulation of hydrogen peroxide signaling pathways. The protein also plays a role in cell proliferation and apoptosis making it significant for cellular health and disease prevention.

Pathways

Peroxiredoxin 1 participates in critical processes such as the MAPK signaling and TGF-beta pathways. It interacts with MAPK-related proteins influencing cell survival and growth. Peroxiredoxin 1 indirectly modulates downstream signaling molecules that contribute to cellular responses. In these pathways the protein's antioxidant properties allow regulation of reactive oxygen species levels which directly affect cellular signaling cascades.

Peroxiredoxin 1 is relevant to cancer and neurodegenerative disorders. Overexpression or misregulation of this protein has been linked to various cancers where it potentially interacts with oncogenic proteins like c-Myc to promote tumor progression. Additionally abnormal levels of Peroxiredoxin 1 associate with neurodegenerative diseases as oxidative stress is a common factor in their pathology. These connections suggest the protein as a promising target in therapeutic interventions for these diseases.

Product protocols

For this product, it's our understanding that no specific protocols are required. You can visit:

Target data

Thiol-specific peroxidase that catalyzes the reduction of hydrogen peroxide and organic hydroperoxides to water and alcohols, respectively. Plays a role in cell protection against oxidative stress by detoxifying peroxides and as sensor of hydrogen peroxide-mediated signaling events. Might participate in the signaling cascades of growth factors and tumor necrosis factor-alpha by regulating the intracellular concentrations of H(2)O(2) (PubMed : 9497357). Reduces an intramolecular disulfide bond in GDPD5 that gates the ability to GDPD5 to drive postmitotic motor neuron differentiation (By similarity).
See full target information PRDX1

Publications (1)

Recent publications for all applications. Explore the full list and refine your search

Immunity, inflammation and disease 10:e692 PubMed36301023

2022

HDAC4 depletion ameliorates IL-13-triggered inflammatory response and mucus production in nasal epithelial cells via activation of SIRT1/NF-κB signaling.

Applications

Unspecified application

Species

Unspecified reactive species

Hangyu Xu,Lingjun Wang,Huaqun Chen,Hefei Cai
View all publications

Product promise

We are committed to supporting your work with high-quality reagents, and we're here for you every step of the way. In the unlikely event that one of our products does not perform as expected, you're protected by our Product Promise.
For full details, please see our Terms & Conditions

Please note: All products are 'FOR RESEARCH USE ONLY. NOT FOR USE IN DIAGNOSTIC OR THERAPEUTIC PROCEDURES'.

For licensing inquiries, please contact partnerships@abcam.com