JavaScript is disabled in your browser. Please enable JavaScript to view this website.
AB227988

Anti-Peroxiredoxin 2/PRP antibody [EPR5154] - BSA and Azide free

Be the first to review this product! Submit a review

|

(5 Publications)

Rabbit Recombinant Monoclonal Peroxiredoxin 2/PRP antibody. Carrier free. Suitable for IHC-P, WB, ICC/IF, Flow Cyt (Intra) and reacts with Human, Mouse, Rat samples. Cited in 5 publications.

View Alternative Names

NKEFB, TDPX1, PRDX2, Peroxiredoxin-2, Natural killer cell-enhancing factor B, PRP, Thiol-specific antioxidant protein, Thioredoxin peroxidase 1, Thioredoxin-dependent peroxide reductase 1, Thioredoxin-dependent peroxiredoxin 2, NKEF-B, TSA

12 Images
Immunocytochemistry/ Immunofluorescence - Anti-Peroxiredoxin 2/PRP antibody [EPR5154] - BSA and Azide free (AB227988)
  • ICC/IF

Lab

Immunocytochemistry/ Immunofluorescence - Anti-Peroxiredoxin 2/PRP antibody [EPR5154] - BSA and Azide free (AB227988)

Immunofluorescent analysis of 100% methanol-fixed 0.1% Triton X-100 permeabilized Hap1 WT and Hap1-PRDX2 KO cells labelling Peroxiredoxin 2 with ab109367 at at 5 μg/ml concentration followed by ab150081 Goat Anti-Rabbit IgG H&L (Alexa Fluor® 488) preadsorbed antibody at 1/1000 2 μg/ml dilution (Green). Image showing cytoplasmic staining in Hap1 WT cell line. ab7291 Anti-alpha Tubulin antibody [DM1A] was used to counterstain tubulin at 1/1000 dilution (Magenta). The nuclear counterstain was DAPI (Blue).

Immunohistochemistry (Formalin/PFA-fixed paraffin-embedded sections) - Anti-Peroxiredoxin 2/PRP antibody [EPR5154] - BSA and Azide free (AB227988)
  • IHC-P

Unknown

Immunohistochemistry (Formalin/PFA-fixed paraffin-embedded sections) - Anti-Peroxiredoxin 2/PRP antibody [EPR5154] - BSA and Azide free (AB227988)

Immunohistochemical analysis of Peroxiredoxin 2/PRP in paraffin-embedded Human prostatic hyperplasia tissue using unpurified ab109367 at 1/1000 dilution.

This data was developed using the same antibody clone in a different buffer formulation containing PBS, BSA, glycerol, and sodium azide (ab109367).

Perform heat mediated antigen retrieval with citrate buffer pH 6 before commencing with IHC staining protocol.

Flow Cytometry (Intracellular) - Anti-Peroxiredoxin 2/PRP antibody [EPR5154] - BSA and Azide free (AB227988)
  • Flow Cyt (Intra)

Lab

Flow Cytometry (Intracellular) - Anti-Peroxiredoxin 2/PRP antibody [EPR5154] - BSA and Azide free (AB227988)

This data was developed using the same antibody clone in a different buffer formulation containing PBS, BSA, glycerol, and sodium azide (ab109367).

Flow cytometry overlay histogram showing wild-type HAP1 (green line) and PRDX2 knockout HAP1 stained with ab109367 (magenta line). The cells were fixed with 80% methanol (5 min) and then permeabilised with 0.1% PBS-Triton X-100 for 15 min. The cells were then incubated in 1x PBS containing 10% normal goat serum to block non-specific protein-protein interaction followed by the antibody (ab109367) (1x 106 in 100μl at 0.04 μg/ml (1/21200 dilution)) for 30min at 22°C.

The secondary antibody Goat Anti-Rabbit IgG H&L (Alexa Fluor® 488) preadsorbed was incubated at 1/4000 dilution for 30min at 22°C.

Isotype control antibody was Recombinant Rabbit IgG, monoclonal [EPR25A] - Isotype Control in HAP1 WT cells (black line) and HAP1-PRDX2 KO cells (grey line), used at the same concentration and conditions as the primary antibody.

Acquisition of >5000 events were collected using a 50 mW Blue laser (488nm) and 525/40 bandpass filter.

Immunohistochemistry (Formalin/PFA-fixed paraffin-embedded sections) - Anti-Peroxiredoxin 2/PRP antibody [EPR5154] - BSA and Azide free (AB227988)
  • IHC-P

Unknown

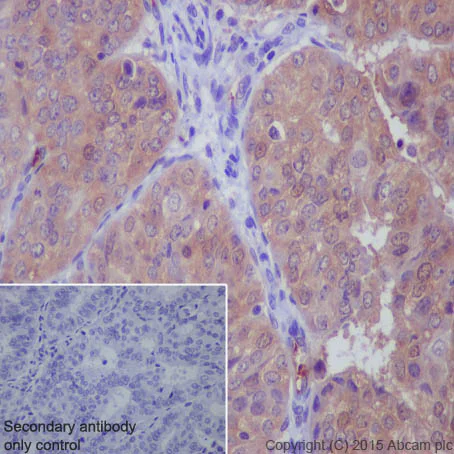
Immunohistochemistry (Formalin/PFA-fixed paraffin-embedded sections) - Anti-Peroxiredoxin 2/PRP antibody [EPR5154] - BSA and Azide free (AB227988)

This IHC data was generated using the same anti-Peroxiredoxin 2/PRP antibody clone, EPR5154, in a different buffer formulation (cat# ab109367).

Immunohistochemical staining of paraffin embedded human endometrial carcinoma with purified ab109367 at a working dilution of 1/500. The secondary antibody used is ab97051, a goat anti-rabbit IgG (H&L) at a dilution of 1/500. The sample is counter-stained with hematoxylin. Antigen retrieval was perfomed using Tris-EDTA buffer, pH 9.0. PBS was used instead of the primary antibody as the negative control, and is shown in the inset.

Immunocytochemistry/ Immunofluorescence - Anti-Peroxiredoxin 2/PRP antibody [EPR5154] - BSA and Azide free (AB227988)
  • ICC/IF

Unknown

Immunocytochemistry/ Immunofluorescence - Anti-Peroxiredoxin 2/PRP antibody [EPR5154] - BSA and Azide free (AB227988)

Immunofluorescence staining of HeLa cells with purified ab109367 at a working dilution of 1/100, counter-stained with DAPI. The secondary antibody was Alexa Fluor® 488 goat anti-rabbit (ab150077), used at a dilution of 1/1000. ab7291, a mouse anti-tubulin antibody (1/1000), was used to stain tubulin along with ab150120 (Alexa Fluor® 594 goat anti-mouse, 1/1000), shown in the top right hand panel. The cells were fixed in 100% methanol and permeabilized using 0.1% Triton X 100. The negative controls are shown in bottom middle and right hand panels - for negative control 1, purified ab109367 was used at a dilution of 1/500 followed by an Alexa Fluor® 594 goat anti-mouse antibody (ab150120) at a dilution of 1/500. For negative control 2, ab7291 (mouse anti-tubulin) was used at a dilution of 1/500 followed by an Alexa Fluor® 488 goat anti-rabbit antibody (ab150077) at a dilution of 1/400.

This data was developed using the same antibody clone in a different buffer formulation containing PBS, BSA, glycerol, and sodium azide (ab109367).

Immunocytochemistry/ Immunofluorescence - Anti-Peroxiredoxin 2/PRP antibody [EPR5154] - BSA and Azide free (AB227988)
  • ICC/IF

AbReview31000****

Immunocytochemistry/ Immunofluorescence - Anti-Peroxiredoxin 2/PRP antibody [EPR5154] - BSA and Azide free (AB227988)

Unpurified ab109367 (1/500) staining Peroxiredoxin 2/PRP in asynchronous HeLa cells (green). Cells were fixed in methanol and counterstained with DAPI in order to highlight the nucleus (red). For further experimental details please refer to Abreview.

This data was developed using the same antibody clone in a different buffer formulation containing PBS, BSA, glycerol, and sodium azide (ab109367).

Image courtesy of an Abreview submitted by Dr. Kirk McManus, Univ. of Manitoba/Cancer Care MICB, Canada

Flow Cytometry (Intracellular) - Anti-Peroxiredoxin 2/PRP antibody [EPR5154] - BSA and Azide free (AB227988)
  • Flow Cyt (Intra)

Unknown

Flow Cytometry (Intracellular) - Anti-Peroxiredoxin 2/PRP antibody [EPR5154] - BSA and Azide free (AB227988)

Overlay histogram showing HeLa cells fixed in 80% methanol and stained with purified ab109367 at a dilution of 1/200 (red line). The secondary antibody used was Alexa Fluor® 488 goat anti-rabbit at a dilution of 1/500. Rabbit monoclonal IgG was used as an isotype control (black line) and cells incubated in the absence of both primary and secondary antibody were used as a negative control (blue line).

This data was developed using the same antibody clone in a different buffer formulation containing PBS, BSA, glycerol, and sodium azide (ab109367).

Flow Cytometry (Intracellular) - Anti-Peroxiredoxin 2/PRP antibody [EPR5154] - BSA and Azide free (AB227988)
  • Flow Cyt (Intra)

Unknown

Flow Cytometry (Intracellular) - Anti-Peroxiredoxin 2/PRP antibody [EPR5154] - BSA and Azide free (AB227988)

Overlay histogram showing HeLa cells stained with unpurified ab109367 (red line). The cells were fixed with 80% methanol (5 min) and then permeabilized with 0.1% PBS-Tween for 20 min. The cells were then incubated in 1x PBS / 10% normal goat serum / 0.3M glycine to block non-specific protein-protein interactions followed by the antibody (ab109367, 1/1000 dilution) for 30 min at 22°C. The secondary antibody used was Alexa Fluor® 488 goat anti-rabbit IgG (H+L) (ab150077) at 1/2000 dilution for 30 min at 22°C. Isotype control antibody (black line) was rabbit IgG (monoclonal) (0.1μg/1x106 cells) used under the same conditions. Unlabelled sample (blue line) was also used as a control. Acquisition of >5,000 events were collected using a 20mW Argon ion laser (488nm) and 525/30 bandpass filter.

This data was developed using the same antibody clone in a different buffer formulation containing PBS, BSA, glycerol, and sodium azide (ab109367).

Immunocytochemistry/ Immunofluorescence - Anti-Peroxiredoxin 2/PRP antibody [EPR5154] - BSA and Azide free (AB227988)
  • ICC/IF

Unknown

Immunocytochemistry/ Immunofluorescence - Anti-Peroxiredoxin 2/PRP antibody [EPR5154] - BSA and Azide free (AB227988)

Immunofluorescent staining of Peroxiredoxin 2/PRP in HeLa cells using unpurified ab109367 at 1/250 dilution.

This data was developed using the same antibody clone in a different buffer formulation containing PBS, BSA, glycerol, and sodium azide (ab109367).

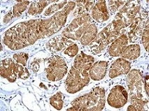
Immunohistochemistry (Formalin/PFA-fixed paraffin-embedded sections) - Anti-Peroxiredoxin 2/PRP antibody [EPR5154] - BSA and Azide free (AB227988)
  • IHC-P

Unknown

Immunohistochemistry (Formalin/PFA-fixed paraffin-embedded sections) - Anti-Peroxiredoxin 2/PRP antibody [EPR5154] - BSA and Azide free (AB227988)

Immunohistochemical analysis of Peroxiredoxin 2/PRP in paraffin-embedded Human stomach tissue using unpurified ab109367 at 1/1000 dilution.

This data was developed using the same antibody clone in a different buffer formulation containing PBS, BSA, glycerol, and sodium azide (ab109367).

Perform heat mediated antigen retrieval with citrate buffer pH 6 before commencing with IHC staining protocol.

Western blot - Anti-Peroxiredoxin 2/PRP antibody [EPR5154] - BSA and Azide free (AB227988)
  • WB

Lab

Western blot - Anti-Peroxiredoxin 2/PRP antibody [EPR5154] - BSA and Azide free (AB227988)

This data was developed using the same antibody clone in a different buffer formulation (ab109367).

Lanes 1- 2 : Merged signal (red and green). Green - ab109367 observed at 22 kDa. Red - Anti-GAPDH antibody [6C5] - Loading Control (ab8245) observed at 37 kDa.

ab109367 was shown to react with Peroxiredoxin 2/PRP in wild-type HEK-293T cells in western blot. Loss of signal was observed when knockout cell line ab266392 (knockout cell lysate ab257041) was used. Wild-type HEK-293T and PRDX2 knockout HEK-293T cell lysates were subjected to SDS-PAGE. Membrane was blocked for 1 hour at room temperature in 0.1% TBST with 3% non-fat dried milk. ab109367 and Anti-GAPDH antibody [6C5] - Loading Control (ab8245) overnight at 4°C at a 1 in 1000 dilution and a 1 in 20000 dilution respectively. Blots were developed with Goat anti-Rabbit IgG H&L (IRDye®800CW) preadsorbed (ab216773) and Goat anti-Mouse IgG H&L (IRDye®680RD) preadsorbed (ab216776) secondary antibodies at 1 in 20000 dilution for 1 hour at room temperature before imaging.

All lanes:

Western blot - Anti-Peroxiredoxin 2/PRP antibody [EPR5154] (<a href='/en-us/products/primary-antibodies/peroxiredoxin-2-prp-antibody-epr5154-ab109367'>ab109367</a>) at 1/1000 dilution

Lane 1:

Wild-type HEK-293T cell lysate at 20 µg

Lane 2:

PRDX2 knockout HEK-293T cell lysate at 20 µg

Lane 2:

Western blot - Human PRDX2 (Peroxiredoxin 2/PRP) knockout HEK-293T cell line (<a href='/en-us/products/cell-lines/human-prdx2-peroxiredoxin-2-prp-knockout-hek-293t-cell-line-ab266392'>ab266392</a>)

Predicted band size: 22 kDa

Observed band size: 22 kDa

false

Western blot - Anti-Peroxiredoxin 2/PRP antibody [EPR5154] - BSA and Azide free (AB227988)
  • WB

Lab

Western blot - Anti-Peroxiredoxin 2/PRP antibody [EPR5154] - BSA and Azide free (AB227988)

This WB data was generated using the same anti-Peroxiredoxin 2/PRP antibody clone, EPR5154, in a different buffer formulation (cat# ab109367).

Lane 1 : Wild-type HAP1 cell lysate (20 μg)
Lane 2 : Peroxiredoxin 2/PRP knockout HAP1 cell lysate (20 μg)
Lane 3 : HeLa cell lysate (20 μg)
Lane 4 : LnCaP cell lysate (20 μg)

Lanes 1 - 4 : Merged signal (red and green). Green - ab109367 observed at 24 kDa. Red - loading control, ab8245, observed at 37 kDa.

ab109367 was shown to specifically react with Peroxiredoxin 2/PRP when Peroxiredoxin 2/PRP knockout samples were used. Wild-type and Peroxiredoxin 2/PRP knockout samples were subjected to SDS-PAGE. ab109367 and ab8245 (loading control to GAPDH) were both diluted 1/1000 and incubated overnight at 4°C. Blots were developed with Goat anti-Rabbit IgG H&L (IRDye® 800CW) preadsorbed (ab216773) and Goat anti-Mouse IgG H&L (IRDye® 680RD) preadsorbed (ab216776) secondary antibodies at 1/10 000 dilution for 1 h at room temperature before imaging.

All lanes:

Western blot - Anti-Peroxiredoxin 2/PRP antibody [EPR5154] (<a href='/en-us/products/primary-antibodies/peroxiredoxin-2-prp-antibody-epr5154-ab109367'>ab109367</a>)

Predicted band size: 22 kDa

false

  • Unconjugated

    Anti-Peroxiredoxin 2/PRP antibody [EPR5154]

  • HRP

    HRP Anti-Peroxiredoxin 2/PRP antibody [EPR5154]

  • 519 Alexa Fluor® 488

    Alexa Fluor® 488 Anti-Peroxiredoxin 2/PRP antibody [EPR5154]

  • 665 Alexa Fluor® 647

    Alexa Fluor® 647 Anti-Peroxiredoxin 2/PRP antibody [EPR5154]

Key facts

Host species

Rabbit

Clonality

Monoclonal

Clone number

EPR5154

Isotype

IgG

Carrier free

Yes

Reacts with

Mouse, Rat, Human

Applications

IHC-P, WB, Flow Cyt (Intra), ICC/IF

applications

Immunogen

The exact immunogen used to generate this antibody is proprietary information.

Reactivity data

{ "title": "Reactivity Data", "filters": { "stats": ["", "Species", "Dilution Info", "Notes"], "tabs": { "all-applications": {"fullname" : "All Applications", "shortname": "All Applications"}, "IHCP" : {"fullname" : "Immunohistochemistry (Formalin/PFA-fixed paraffin-embedded sections)", "shortname":"IHC-P"}, "WB" : {"fullname" : "Western blot", "shortname":"WB"}, "ICCIF" : {"fullname" : "Immunocytochemistry/ Immunofluorescence", "shortname":"ICC/IF"}, "FlowCytIntra" : {"fullname" : "Flow Cytometry (Intracellular)", "shortname":"Flow Cyt (Intra)"} }, "product-promise": { "all": "all", "testedAndGuaranteed": "tested", "guaranteed": "expected", "predicted": "predicted", "notRecommended": "not-recommended" } }, "values": { "Human": { "IHCP-species-checked": "testedAndGuaranteed", "IHCP-species-dilution-info": "", "IHCP-species-notes": "<p></p> Perform heat-mediated antigen retrieval with citrate buffer pH 6 before commencing with IHC staining protocol.", "WB-species-checked": "testedAndGuaranteed", "WB-species-dilution-info": "", "WB-species-notes": "<p></p>", "ICCIF-species-checked": "testedAndGuaranteed", "ICCIF-species-dilution-info": "", "ICCIF-species-notes": "<p></p>", "FlowCytIntra-species-checked": "testedAndGuaranteed", "FlowCytIntra-species-dilution-info": "", "FlowCytIntra-species-notes": "<p><a href='/en-us/products/primary-antibodies/rabbit-igg-monoclonal-epr25a-isotype-control-low-endotoxin-azide-free-ab199376'>ab199376</a> - Rabbit monoclonal IgG (Low endotoxin, Azide free), is suitable for use as an isotype control with this antibody.</p>" }, "Mouse": { "IHCP-species-checked": "guaranteed", "IHCP-species-dilution-info": "", "IHCP-species-notes": "", "WB-species-checked": "testedAndGuaranteed", "WB-species-dilution-info": "", "WB-species-notes": "<p></p>", "ICCIF-species-checked": "guaranteed", "ICCIF-species-dilution-info": "", "ICCIF-species-notes": "", "FlowCytIntra-species-checked": "guaranteed", "FlowCytIntra-species-dilution-info": "", "FlowCytIntra-species-notes": "" }, "Rat": { "IHCP-species-checked": "guaranteed", "IHCP-species-dilution-info": "", "IHCP-species-notes": "", "WB-species-checked": "testedAndGuaranteed", "WB-species-dilution-info": "", "WB-species-notes": "<p></p>", "ICCIF-species-checked": "guaranteed", "ICCIF-species-dilution-info": "", "ICCIF-species-notes": "", "FlowCytIntra-species-checked": "guaranteed", "FlowCytIntra-species-dilution-info": "", "FlowCytIntra-species-notes": "" }, "Pig": { "IHCP-species-checked": "predicted", "IHCP-species-dilution-info": "", "IHCP-species-notes": "", "WB-species-checked": "predicted", "WB-species-dilution-info": "", "WB-species-notes": "", "ICCIF-species-checked": "predicted", "ICCIF-species-dilution-info": "", "ICCIF-species-notes": "", "FlowCytIntra-species-checked": "predicted", "FlowCytIntra-species-dilution-info": "", "FlowCytIntra-species-notes": "" } } }

Product details

ab227988 is the carrier-free version of ab109367.

Conjugation ready
Our carrier-free antibodies are typically supplied in a PBS-only formulation, purified and free of BSA, sodium azide and glycerol. This conjugation-ready format is designed for use with fluorochromes, metal isotopes, oligonucleotides, and enzymes, which makes them ideal for antibody labelling, functional and cell-based assays, flow-based assays (e.g. mass cytometry) and Multiplex Imaging applications.

Use our conjugation kits for antibody conjugates that are ready-to-use in as little as 20 minutes with 1 minute hands-on-time and 100% antibody recovery: available for fluorescent dyes, HRP, biotin and gold.

Compatibility
This product is compatible with the Maxpar® Antibody Labeling Kit from Fluidigm, without the need for antibody preparation. Maxpar® is a trademark of Fluidigm Canada Inc.

Properties and storage information

Form
Liquid
Purification technique
Affinity purification Protein A
Storage buffer
pH: 7.2 - 7.4 Constituents: PBS
Shipped at conditions
Blue Ice
Appropriate short-term storage conditions
+4°C
Appropriate long-term storage conditions
+4°C
Storage information
Do Not Freeze

Supplementary information

This supplementary information is collated from multiple sources and compiled automatically.

Peroxiredoxin 2 (also known as PRP or PRDX2) is an antioxidant enzyme that plays an important role in reducing peroxides and protecting cells from oxidative damage. The target consisting of approximately 22kDa mass is expressed heavily in erythrocytes but can also be found in other tissues like the heart and liver. PRDX2 belongs to the peroxiredoxin family and its redox activity contributes significantly to cellular homeostasis and defense against oxidative stress.
Biological function summary

Peroxiredoxins like PRDX2 function by breaking down hydrogen peroxide and organic hydroperoxides safeguarding cells from oxidative harm. PRDX2 often forms homodimers or higher-order oligomers which influence its catalytic efficiency and chaperone activity. Within the cell it not only acts independently but also associates with other cellular components reflecting its participation in important cellular processes including cell proliferation and apoptosis.

Pathways

PRDX2 engages significantly within antioxidant defense systems specifically the thioredoxin pathway. It interacts with thioredoxin reductase and thioredoxin to facilitate the reduction of peroxides maintaining the cell’s redox balance. Furthermore PRDX2 intersects with cellular signaling pathways associated with inflammation and the regulation of cell death where proteins like NRF2 and KEAP1 play important roles in managing oxidant-inducible gene expression.

Disruptions in PRDX2 function connect to conditions like cancer and cardiovascular diseases. In cancer altered peroxiredoxin 2 expression correlates to tumor progression and resistance to chemotherapy implicating its interaction with proteins like NF-κB in enhancing cell survival. In cardiovascular diseases oxidative stress mediated by PRDX2 imbalance can lead to myocardial infarction and heart failure linking it to proteins such as SOD2 involved in mitochondrial defense.

Product protocols

For this product, it's our understanding that no specific protocols are required. You can visit:

Target data

Thiol-specific peroxidase that catalyzes the reduction of hydrogen peroxide and organic hydroperoxides to water and alcohols, respectively. Plays a role in cell protection against oxidative stress by detoxifying peroxides and as sensor of hydrogen peroxide-mediated signaling events. Might participate in the signaling cascades of growth factors and tumor necrosis factor-alpha by regulating the intracellular concentrations of H(2)O(2).
See full target information PRDX2

Publications (5)

Recent publications for all applications. Explore the full list and refine your search

iScience 24:103312 PubMed34765928

2021

Reduced mitochondrial respiration in T cells of patients with major depressive disorder.

Applications

Unspecified application

Species

Unspecified reactive species

Stefanie Gamradt,Helge Hasselmann,Aline Taenzer,Jelena Brasanac,Victoria Stiglbauer,Arne Sattler,Max Sajitz-Hermstein,Sylwia Kierszniowska,Caren Ramien,Jan Nowacki,Lea Mascarell-Maricic,Katja Wingenfeld,Dominique Piber,Andreas Ströhle,Katja Kotsch,Friedemann Paul,Christian Otte,Stefan M Gold

Oncotarget 8:15057-15070 PubMed28125800

2017

Peroxiredoxin 2 is associated with colorectal cancer progression and poor survival of patients.

Applications

Unspecified application

Species

Unspecified reactive species

LingLong Peng,Rong Wang,JingKun Shang,YongFu Xiong,ZhongXue Fu

Journal of proteomics 112:166-79 PubMed25230104

2014

Longitudinal study of circulating protein biomarkers in inflammatory bowel disease.

Applications

Unspecified application

Species

Mouse

Emilie Viennois,Mark T Baker,Bo Xiao,Lixin Wang,Hamed Laroui,Didier Merlin

Molecular medicine reports 10:867-73 PubMed24920174

2014

Overexpression of peroxiredoxin 2 inhibits TGF-β1-induced epithelial-mesenchymal transition and cell migration in colorectal cancer.

Applications

WB, IF

Species

Human, Human

Jihong Feng,Zhongxue Fu,Jinbao Guo,Weidong Lu,Kunming Wen,Wangsheng Chen,Hao Wang,Jilai Wei,Shouru Zhang

Journal of cell science 127:3916-27 PubMed24849652

2014

Deficits in receptor-mediated endocytosis and recycling in cells from mice with Gpr107 locus disruption.

Applications

Unspecified application

Species

Human

Guo Ling Zhou,Soon-Young Na,Rasma Niedra,Brian Seed
View all publications

Product promise

We are committed to supporting your work with high-quality reagents, and we're here for you every step of the way. In the unlikely event that one of our products does not perform as expected, you're protected by our Product Promise.
For full details, please see our Terms & Conditions

Please note: All products are 'FOR RESEARCH USE ONLY. NOT FOR USE IN DIAGNOSTIC OR THERAPEUTIC PROCEDURES'.

For licensing inquiries, please contact partnerships@abcam.com