JavaScript is disabled in your browser. Please enable JavaScript to view this website.
AB314176

Anti-Peroxiredoxin 3/PRDX3 antibody [14E2]

Be the first to review this product! Submit a review

|

(0 Publication)

Rabbit Monoclonal Peroxiredoxin 3/PRDX3 antibody. Suitable for WB, IHC-P, ICC/IF, Flow Cyt (Intra) and reacts with Human samples. Immunogen corresponding to Synthetic Peptide within Human PRDX3.

View Alternative Names

AOP1, PRDX3, Antioxidant protein 1, HBC189, Peroxiredoxin III, Peroxiredoxin-3, Protein MER5 homolog, Thioredoxin-dependent peroxiredoxin 3, AOP-1, Prx-III

5 Images
Flow Cytometry - Anti-Peroxiredoxin 3/PRDX3 antibody [14E2] (AB314176)
  • Flow Cyt

Supplier Data

Flow Cytometry - Anti-Peroxiredoxin 3/PRDX3 antibody [14E2] (AB314176)

Overlay Peak curve showing HepG2 (Human liver hepatocellular carcinoma cell line) cells stained with ab314176 (pink line) at 1 : 100. The cells were fixed in 4% formaldehyde and permeated by 0.2% TritonX-100. Then 10% normal goat serum to block non-specific protein-protein interactions followed by the antibody (1ug/1x10E6cells) for 45min at 4°C. The secondary antibody used was FITC-conjugated Goat Anti-rabbit IgG (H+L) at 1 : 200 dilution for 35min at 4°C. Control antibody (green line) was rabbit IgG (1ug/1x10E6cells) used under the same conditions. Acquisition of >10,000 events was performed.

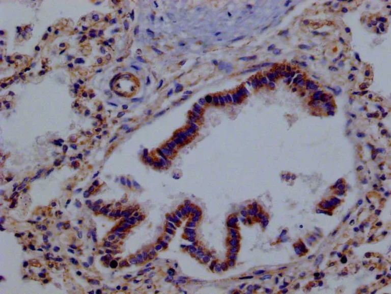
Immunohistochemistry (Formalin/PFA-fixed paraffin-embedded sections) - Anti-Peroxiredoxin 3/PRDX3 antibody [14E2] (AB314176)
  • IHC-P

Supplier Data

Immunohistochemistry (Formalin/PFA-fixed paraffin-embedded sections) - Anti-Peroxiredoxin 3/PRDX3 antibody [14E2] (AB314176)

Immunohistochemical analysis of diluted ab314176 at 1 : 100 and staining in paraffin-embedded human lung tissue performed on a Leica BondTM system. After dewaxing and hydration, antigen retrieval was mediated by high pressure in a citrate buffer (pH 6.0). Section was blocked with 10% normal goat serum 30min at RT. Then primary antibody (1% BSA) was incubated at 4°C overnight. The primary is detected by a Goat anti-rabbit polymer IgG labeled by HRP and visualized using 0.05% DAB.

Immunohistochemistry (Formalin/PFA-fixed paraffin-embedded sections) - Anti-Peroxiredoxin 3/PRDX3 antibody [14E2] (AB314176)
  • IHC-P

Supplier Data

Immunohistochemistry (Formalin/PFA-fixed paraffin-embedded sections) - Anti-Peroxiredoxin 3/PRDX3 antibody [14E2] (AB314176)

Immunohistochemical analysis of ab314176 diluted at 1 : 100 and staining in paraffin-embedded human stomach tissue performed on a Leica BondTM system. After dewaxing and hydration, antigen retrieval was mediated by high pressure in a citrate buffer (pH 6.0). Section was blocked with 10% normal goat serum 30min at RT. Then primary antibody (1% BSA) was incubated at 4°C overnight. The primary is detected by a Goat anti-rabbit polymer IgG labeled by HRP and visualized using 0.05% DAB.

Immunocytochemistry/ Immunofluorescence - Anti-Peroxiredoxin 3/PRDX3 antibody [14E2] (AB314176)
  • ICC/IF

Supplier Data

Immunocytochemistry/ Immunofluorescence - Anti-Peroxiredoxin 3/PRDX3 antibody [14E2] (AB314176)

Immunofluorescence staining of PC-3 (Human prostate adenocarcinoma cell line) cells with ab314176 at 1 : 50, counter-stained with DAPI. The cells were fixed in 4% formaldehyde and blocked in 10% normal Goat Serum. The cells were then incubated with the antibody overnight at 4°C. The secondary antibody was Alexa Fluor® 503-conjugated Goat Anti-Rabbit IgG(H+L).

Western blot - Anti-Peroxiredoxin 3/PRDX3 antibody [14E2] (AB314176)
  • WB

Supplier Data

Western blot - Anti-Peroxiredoxin 3/PRDX3 antibody [14E2] (AB314176)

All lanes:

Western blot - Anti-Peroxiredoxin 3/PRDX3 antibody [14E2] (ab314176) at 1/2000 dilution

Lane 1:

PC-3 whole cell lysate

Lane 2:

Ntera-2 whole cell lysate

Lane 3:

HepG2 whole cell lysate

Lane 4:

A549 whole cell lysate

Secondary

All lanes:

Goat polyclonal to rabbit IgG at 1/50000 dilution

Observed band size: 20-28 kDa

false

Key facts

Host species

Rabbit

Clonality

Monoclonal

Clone number

14E2

Isotype

IgG

Carrier free

No

Reacts with

Human

Applications

WB, Flow Cyt (Intra), ICC/IF, IHC-P

applications

Immunogen

Synthetic Peptide within Human PRDX3.

P30048

Reactivity data

{ "title": "Reactivity Data", "filters": { "stats": ["", "Species", "Dilution Info", "Notes"], "tabs": { "all-applications": {"fullname" : "All Applications", "shortname": "All Applications"}, "WB" : {"fullname" : "Western blot", "shortname":"WB"}, "IHCP" : {"fullname" : "Immunohistochemistry (Formalin/PFA-fixed paraffin-embedded sections)", "shortname":"IHC-P"}, "ICCIF" : {"fullname" : "Immunocytochemistry/ Immunofluorescence", "shortname":"ICC/IF"}, "FlowCytIntra" : {"fullname" : "Flow Cytometry (Intracellular)", "shortname":"Flow Cyt (Intra)"} }, "product-promise": { "all": "all", "testedAndGuaranteed": "tested", "guaranteed": "expected", "predicted": "predicted", "notRecommended": "not-recommended" } }, "values": { "Human": { "WB-species-checked": "testedAndGuaranteed", "WB-species-dilution-info": "1/500 - 1/5000", "WB-species-notes": "<p></p>", "IHCP-species-checked": "testedAndGuaranteed", "IHCP-species-dilution-info": "1/50 - 1/200", "IHCP-species-notes": "<p></p>", "ICCIF-species-checked": "testedAndGuaranteed", "ICCIF-species-dilution-info": "1/50 - 1/200", "ICCIF-species-notes": "<p></p>", "FlowCytIntra-species-checked": "testedAndGuaranteed", "FlowCytIntra-species-dilution-info": "1/50 - 1/200", "FlowCytIntra-species-notes": "<p></p>" } } }

Product details

What are the advantages of a recombinant monoclonal antibody?
This product is a recombinant monoclonal antibody, which offers several advantages including:

  • - High batch-to-batch consistency and reproducibility
  • - Improved sensitivity and specificity
  • - Long-term security of supply
  • - Animal-free batch production

For more information, read more on recombinant antibodies.

Properties and storage information

Form
Liquid
Purification technique
Affinity purification
Storage buffer
pH: 7.4 Preservative: 0.02% Sodium azide Constituents: 50% Glycerol (glycerin, glycerine), 49.1% PBS, 0.88% Sodium chloride
Shipped at conditions
Blue Ice
Appropriate short-term storage duration
1-2 weeks
Appropriate short-term storage conditions
+4°C
Appropriate long-term storage conditions
-20°C
Aliquoting information
Upon delivery aliquot
Storage information
Avoid freeze / thaw cycle

Supplementary information

This supplementary information is collated from multiple sources and compiled automatically.

Peroxiredoxin 3 also known as PRDX3 is an antioxidant enzyme that plays a critical role in the reduction of hydrogen peroxide to water. This protein has a mass of around 25 kDa and belongs to the thioredoxin peroxidase family. It functions within the mitochondria and is expressed in a wide variety of tissues with higher levels in the heart liver and kidney. PRDX3 acts as a protective buffer against oxidative stress by maintaining redox balance in cells.
Biological function summary

The enzyme helps to safeguard cells from oxidative damage by reducing peroxides produced during cellular metabolism. PRDX3 participates in antioxidant defense mechanisms and may form functional complexes with other proteins to enhance its peroxidase activity. Its antioxidant properties contribute to the maintenance of mitochondrial integrity and influence cellular survival and apoptosis processes.

Pathways

PRDX3 integrates into the cellular antioxidant defense system prominently in the thioredoxin pathway. In this pathway PRDX3 synergizes with thioredoxin to neutralize harmful oxidative molecules. PRDX3's activity is interconnected with proteins such as thioredoxin and glutaredoxin which also partake in counteracting oxidative stress bolstering an organism's defense against cellular damage.

Alterations in PRDX3 activity associate with conditions like cancer and neurodegenerative disorders. Overexpression of PRDX3 has been observed in certain types of cancer suggesting a potential role in tumor growth through its influence on cell proliferation and survival. In neurodegenerative diseases dysfunctional PRDX3 contributes to neuronal injury. It interacts with proteins like DJ-1 which relate to pathways involved in Parkinson's disease indicating its impact on maintaining neuronal health.

Product protocols

For this product, it's our understanding that no specific protocols are required. You can visit:

Target data

Thiol-specific peroxidase that catalyzes the reduction of hydrogen peroxide and organic hydroperoxides to water and alcohols, respectively. Plays a role in cell protection against oxidative stress by detoxifying peroxides (PubMed : 17707404, PubMed : 29438714, PubMed : 33889951, PubMed : 7733872). Acts synergistically with MAP3K13 to regulate the activation of NF-kappa-B in the cytosol (PubMed : 12492477). Required for the maintenance of physical strength (By similarity).
See full target information PRDX3

Product promise

We are committed to supporting your work with high-quality reagents, and we're here for you every step of the way. In the unlikely event that one of our products does not perform as expected, you're protected by our Product Promise.
For full details, please see our Terms & Conditions

Please note: All products are 'FOR RESEARCH USE ONLY. NOT FOR USE IN DIAGNOSTIC OR THERAPEUTIC PROCEDURES'.

For licensing inquiries, please contact partnerships@abcam.com