JavaScript is disabled in your browser. Please enable JavaScript to view this website.
AB222807

Anti-Peroxiredoxin 3/PRDX3 antibody

Be the first to review this product! Submit a review

|

(7 Publications)

Rabbit Polyclonal Peroxiredoxin 3/PRDX3 antibody. Suitable for IP, WB, IHC-P, ICC/IF and reacts with Human, Mouse samples. Cited in 7 publications. Immunogen corresponding to Recombinant Fragment Protein within Human PRDX3 aa 50 to C-terminus.

View Alternative Names

AOP1, PRDX3, Antioxidant protein 1, HBC189, Peroxiredoxin III, Peroxiredoxin-3, Protein MER5 homolog, Thioredoxin-dependent peroxiredoxin 3, AOP-1, Prx-III

5 Images
Immunocytochemistry/ Immunofluorescence - Anti-Peroxiredoxin 3/PRDX3 antibody (AB222807)
  • ICC/IF

Supplier Data

Immunocytochemistry/ Immunofluorescence - Anti-Peroxiredoxin 3/PRDX3 antibody (AB222807)

HepG2 (human liver hepatocellular carcinoma cell line) cells stained for Peroxiredoxin 3/PRDX3 (green) using ab222807 at 1/100 dilution in ICC/IF, followed by Alexa Fluor 488® conjugated Goat Anti-Rabbit IgG (H+L).

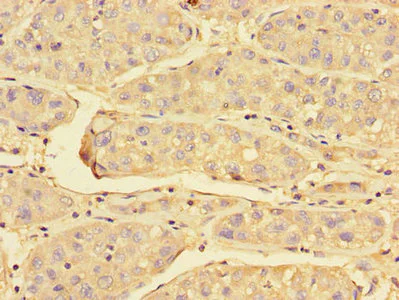
Immunohistochemistry (Formalin/PFA-fixed paraffin-embedded sections) - Anti-Peroxiredoxin 3/PRDX3 antibody (AB222807)
  • IHC-P

Supplier Data

Immunohistochemistry (Formalin/PFA-fixed paraffin-embedded sections) - Anti-Peroxiredoxin 3/PRDX3 antibody (AB222807)

Paraffin-embedded human lung cancer tissue stained for Peroxiredoxin 3/PRDX3 using ab222807 at 1/100 dilution in immunohistochemical analysis.

Immunohistochemistry (Formalin/PFA-fixed paraffin-embedded sections) - Anti-Peroxiredoxin 3/PRDX3 antibody (AB222807)
  • IHC-P

Supplier Data

Immunohistochemistry (Formalin/PFA-fixed paraffin-embedded sections) - Anti-Peroxiredoxin 3/PRDX3 antibody (AB222807)

Paraffin-embedded human renal tissue stained for Peroxiredoxin 3/PRDX3 using ab222807 at 1/100 dilution in immunohistochemical analysis.

Immunoprecipitation - Anti-Peroxiredoxin 3/PRDX3 antibody (AB222807)
  • IP

Supplier Data

Immunoprecipitation - Anti-Peroxiredoxin 3/PRDX3 antibody (AB222807)

Peroxiredoxin 3/PRDX3 was immunoprecipitated from HeLa (human epithelial cell line from cervix adenocarcinoma) whole cell lysate with ab222807 at 1/200 dilution. Western blot was performed from the immunoprecipitate using ab222807, followed by HRP-conjugated Protein G secondary antibody at 1/2000 dilution.

Lane 1 : Rabbit monoclonal IgG (1 μg) instead of ab222807 in Hela whole cell lysate.

Lane 2 : ab222807 IP in Hela whole cell lysate (500 μg).

Lane 3 : Hela whole cell lysate (10 μg) (Input).

All lanes:

Immunoprecipitation - Anti-Peroxiredoxin 3/PRDX3 antibody (ab222807)

Predicted band size: 28 kDa

false

Western blot - Anti-Peroxiredoxin 3/PRDX3 antibody (AB222807)
  • WB

Supplier Data

Western blot - Anti-Peroxiredoxin 3/PRDX3 antibody (AB222807)

All lanes:

Western blot - Anti-Peroxiredoxin 3/PRDX3 antibody (ab222807) at 1/500 dilution

Lane 1:

HeLa (human epithelial cell line from cervix adenocarcinoma) whole cell lysate

Lane 2:

HepG2 (human liver hepatocellular carcinoma cell line) whole cell lysate

Lane 3:

MCF7 (human breast adenocarcinoma cell line) whole cell lysate

Lane 4:

Mouse heart lysate

Lane 5:

Mouse liver lysate

Lane 6:

Mouse brain lysate

Lane 7:

Mouse lung lysate

Lane 8:

Mouse kidney lysate

Lane 9:

Mouse stomach lysate

Secondary

All lanes:

Goat polyclonal to rabbit IgG at 1/50000 dilution

Predicted band size: 28 kDa

false

Key facts

Host species

Rabbit

Clonality

Polyclonal

Isotype

IgG

Carrier free

No

Reacts with

Mouse, Human

Applications

IHC-P, WB, ICC/IF, IP

applications

Immunogen

Recombinant Fragment Protein within Human PRDX3 aa 50 to C-terminus. The exact immunogen used to generate this antibody is proprietary information.

P30048

Reactivity data

{ "title": "Reactivity Data", "filters": { "stats": ["", "Species", "Dilution Info", "Notes"], "tabs": { "all-applications": {"fullname" : "All Applications", "shortname": "All Applications"}, "IP" : {"fullname" : "Immunoprecipitation", "shortname":"IP"}, "WB" : {"fullname" : "Western blot", "shortname":"WB"}, "IHCP" : {"fullname" : "Immunohistochemistry (Formalin/PFA-fixed paraffin-embedded sections)", "shortname":"IHC-P"}, "ICCIF" : {"fullname" : "Immunocytochemistry/ Immunofluorescence", "shortname":"ICC/IF"} }, "product-promise": { "all": "all", "testedAndGuaranteed": "tested", "guaranteed": "expected", "predicted": "predicted", "notRecommended": "not-recommended" } }, "values": { "Human": { "IP-species-checked": "testedAndGuaranteed", "IP-species-dilution-info": "1/200 - 1/2000", "IP-species-notes": "<p></p>", "WB-species-checked": "testedAndGuaranteed", "WB-species-dilution-info": "1/500 - 1/5000", "WB-species-notes": "<p></p>", "IHCP-species-checked": "testedAndGuaranteed", "IHCP-species-dilution-info": "1/20 - 1/200", "IHCP-species-notes": "<p></p>", "ICCIF-species-checked": "testedAndGuaranteed", "ICCIF-species-dilution-info": "1/50 - 1/200", "ICCIF-species-notes": "<p></p>" }, "Mouse": { "IP-species-checked": "guaranteed", "IP-species-dilution-info": "", "IP-species-notes": "", "WB-species-checked": "testedAndGuaranteed", "WB-species-dilution-info": "1/500 - 1/5000", "WB-species-notes": "<p></p>", "IHCP-species-checked": "guaranteed", "IHCP-species-dilution-info": "", "IHCP-species-notes": "", "ICCIF-species-checked": "guaranteed", "ICCIF-species-dilution-info": "", "ICCIF-species-notes": "" } } }

Properties and storage information

Form
Liquid
Purification technique
Affinity purification Protein G
Purification notes
Purity >95%.
Storage buffer
pH: 7.4 Preservative: 0.03% Proclin 300 Constituents: PBS, 50% Glycerol (glycerin, glycerine)
Shipped at conditions
Blue Ice
Appropriate short-term storage duration
1-2 weeks
Appropriate short-term storage conditions
+4°C
Appropriate long-term storage conditions
-20°C
Aliquoting information
Upon delivery aliquot
Storage information
Avoid freeze / thaw cycle

Supplementary information

This supplementary information is collated from multiple sources and compiled automatically.

Peroxiredoxin 3 also known as PRDX3 is an antioxidant enzyme that plays a critical role in the reduction of hydrogen peroxide to water. This protein has a mass of around 25 kDa and belongs to the thioredoxin peroxidase family. It functions within the mitochondria and is expressed in a wide variety of tissues with higher levels in the heart liver and kidney. PRDX3 acts as a protective buffer against oxidative stress by maintaining redox balance in cells.
Biological function summary

The enzyme helps to safeguard cells from oxidative damage by reducing peroxides produced during cellular metabolism. PRDX3 participates in antioxidant defense mechanisms and may form functional complexes with other proteins to enhance its peroxidase activity. Its antioxidant properties contribute to the maintenance of mitochondrial integrity and influence cellular survival and apoptosis processes.

Pathways

PRDX3 integrates into the cellular antioxidant defense system prominently in the thioredoxin pathway. In this pathway PRDX3 synergizes with thioredoxin to neutralize harmful oxidative molecules. PRDX3's activity is interconnected with proteins such as thioredoxin and glutaredoxin which also partake in counteracting oxidative stress bolstering an organism's defense against cellular damage.

Alterations in PRDX3 activity associate with conditions like cancer and neurodegenerative disorders. Overexpression of PRDX3 has been observed in certain types of cancer suggesting a potential role in tumor growth through its influence on cell proliferation and survival. In neurodegenerative diseases dysfunctional PRDX3 contributes to neuronal injury. It interacts with proteins like DJ-1 which relate to pathways involved in Parkinson's disease indicating its impact on maintaining neuronal health.

Product protocols

For this product, it's our understanding that no specific protocols are required. You can visit:

Target data

Thiol-specific peroxidase that catalyzes the reduction of hydrogen peroxide and organic hydroperoxides to water and alcohols, respectively. Plays a role in cell protection against oxidative stress by detoxifying peroxides (PubMed : 17707404, PubMed : 29438714, PubMed : 33889951, PubMed : 7733872). Acts synergistically with MAP3K13 to regulate the activation of NF-kappa-B in the cytosol (PubMed : 12492477). Required for the maintenance of physical strength (By similarity).
See full target information PRDX3

Publications (7)

Recent publications for all applications. Explore the full list and refine your search

Molecular medicine reports 32: PubMed40999974

2025

Atractylodin inhibits ferroptosis in sepsis‑induced acute gastrointestinal injury via SIRT3/PRDX3.

Applications

Unspecified application

Species

Unspecified reactive species

Yun-Xia Hu,Ming-Qi Chen,Jian-Lin Wang,Tao Wu,Hai-Dong Zhang,Tong-Tong Li,Hui Gao,Yu Bai

EMBO molecular medicine 16:2450-2484 PubMed39271959

2024

An intrinsic mechanism of metabolic tuning promotes cardiac resilience to stress.

Applications

Unspecified application

Species

Unspecified reactive species

Matteo Sorge,Giulia Savoré,Andrea Gallo,Davide Acquarone,Mauro Sbroggiò,Silvia Velasco,Federica Zamporlini,Saveria Femminò,Enrico Moiso,Giampaolo Morciano,Elisa Balmas,Andrea Raimondi,Gabrielle Nattenberg,Rachele Stefania,Carlo Tacchetti,Angela Maria Rizzo,Paola Corsetto,Alessandra Ghigo,Emilia Turco,Fiorella Altruda,Lorenzo Silengo,Paolo Pinton,Nadia Raffaelli,Nathan J Sniadecki,Claudia Penna,Pasquale Pagliaro,Emilio Hirsch,Chiara Riganti,Guido Tarone,Alessandro Bertero,Mara Brancaccio

Science advances 7:eabl4988 PubMed34910515

2021

Skeletal muscle NOX4 is required for adaptive responses that prevent insulin resistance.

Applications

Unspecified application

Species

Unspecified reactive species

Chrysovalantou E Xirouchaki,Yaoyao Jia,Meagan J McGrath,Spencer Greatorex,Melanie Tran,Troy L Merry,Dawn Hong,Matthew J Eramo,Sophie C Broome,Jonathan S T Woodhead,Randall F D'souza,Jenny Gallagher,Ekaterina Salimova,Cheng Huang,Ralf B Schittenhelm,Junichi Sadoshima,Matthew J Watt,Christina A Mitchell,Tony Tiganis

PLoS biology 19:e3001252 PubMed33983919

2021

Generation of mitochondrial reactive oxygen species is controlled by ATPase inhibitory factor 1 and regulates cognition.

Applications

Unspecified application

Species

Unspecified reactive species

Pau B Esparza-Moltó,Inés Romero-Carramiñana,Cristina Núñez de Arenas,Marta P Pereira,Noelia Blanco,Beatriz Pardo,Georgina R Bates,Carla Sánchez-Castillo,Rafael Artuch,Michael P Murphy,José A Esteban,José M Cuezva

Neural plasticity 2020:8815195 PubMed32802036

2020

Neuroprotective Effects of the Sonic Hedgehog Signaling Pathway in Ischemic Injury through Promotion of Synaptic and Neuronal Health.

Applications

Unspecified application

Species

Unspecified reactive species

Sen Yin,Xuemei Bai,Danqing Xin,Tingting Li,Xili Chu,Hongfei Ke,Min Han,Wenqiang Chen,Xingang Li,Zhen Wang

Cancer management and research 11:9685-9699 PubMed31814764

2019

The Prognosis Of Peroxiredoxin Family In Breast Cancer.

Applications

Unspecified application

Species

Unspecified reactive species

Gang Wang,Wan-Chao Zhong,Yi-Hui Bi,Si-Yue Tao,Hai Zhu,Hai-Xing Zhu,A-Man Xu

Biochemical and biophysical research communications 508:805-810 PubMed30528738

2018

The association of plasma peroxiredoxin 3 with insulin in pregnant women.

Applications

Unspecified application

Species

Unspecified reactive species

Li Wang,Jun-Mei Hao,Ai-Qun Yu,Tian-Tian Li,Ran-Ran Liu,Lianqin Li,Jingmin Li,Xiaoyan Li
View all publications

Product promise

We are committed to supporting your work with high-quality reagents, and we're here for you every step of the way. In the unlikely event that one of our products does not perform as expected, you're protected by our Product Promise.
For full details, please see our Terms & Conditions

Please note: All products are 'FOR RESEARCH USE ONLY. NOT FOR USE IN DIAGNOSTIC OR THERAPEUTIC PROCEDURES'.

For licensing inquiries, please contact partnerships@abcam.com