JavaScript is disabled in your browser. Please enable JavaScript to view this website.
AB264354

Anti-Peroxiredoxin 3/PRDX3 antibody

Be the first to review this product! Submit a review

|

(2 Publications)

Rabbit Polyclonal Peroxiredoxin 3/PRDX3 antibody. Suitable for IHC-P, IP, WB and reacts with Human, Mouse samples. Cited in 2 publications. Immunogen corresponding to Synthetic Peptide within Human PRDX3 aa 200 to C-terminus.

View Alternative Names

AOP1, PRDX3, Antioxidant protein 1, HBC189, Peroxiredoxin III, Peroxiredoxin-3, Protein MER5 homolog, Thioredoxin-dependent peroxiredoxin 3, AOP-1, Prx-III

3 Images
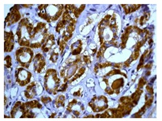
Immunohistochemistry (Formalin/PFA-fixed paraffin-embedded sections) - Anti-Peroxiredoxin 3/PRDX3 antibody (AB264354)
  • IHC-P

Unknown

Immunohistochemistry (Formalin/PFA-fixed paraffin-embedded sections) - Anti-Peroxiredoxin 3/PRDX3 antibody (AB264354)

Immunohistochemical analysis of formalin-fixed, paraffin-embedded human ovarian carcinoma tissue labeling Peroxiredoxin 3/PRDX3 with ab264354 at 1/5000 dilution. Detection : DAB.

Immunoprecipitation - Anti-Peroxiredoxin 3/PRDX3 antibody (AB264354)
  • IP

Supplier Data

Immunoprecipitation - Anti-Peroxiredoxin 3/PRDX3 antibody (AB264354)

Peroxiredoxin 3/PRDX3 was immunoprecipitated from 1mg of HEK-293T (Human epithelial cell line from embryonic kidney transformed with large T antigen) whole cell lysate with ab264354 at 6 μg per reaction. Western blot was performed from the immunoprecipitate using ab264354 at 0.1 μg/ml.

Lane 1 : ab264354 IP in HEK-293T whole cell lysate.
Lane 2 : Control IgG.

Exposure time : 30 secs.

Cells prepared using NETN lysis buffer.

All lanes:

Immunoprecipitation - Anti-Peroxiredoxin 3/PRDX3 antibody (ab264354)

Predicted band size: 28 kDa

false

Western blot - Anti-Peroxiredoxin 3/PRDX3 antibody (AB264354)
  • WB

Unknown

Western blot - Anti-Peroxiredoxin 3/PRDX3 antibody (AB264354)

Cells prepared using NETN lysis buffer.

All lanes:

Western blot - Anti-Peroxiredoxin 3/PRDX3 antibody (ab264354) at 0.04 µg/mL

Lane 1:

HeLa (Human epithelial cell line from cervix adenocarcinoma) whole cell lysate at 50 µg

Lane 2:

HEK-293T (Human epithelial cell line from embryonic kidney transformed with large T antigen) whole cell lysate at 50 µg

Lane 3:

Jurkat (Human T cell leukemia cell line from peripheral blood) whole cell lysate at 50 µg

Lane 4:

TCMK (Mouse kidney epithelial cell line) whole cell lysate at 50 µg

Lane 5:

NIH/3T3 (Mouse embryo fibroblast cell line) whole cell lysate at 50 µg

Predicted band size: 28 kDa

false

Exposure time: 30s

Key facts

Host species

Rabbit

Clonality

Polyclonal

Isotype

IgG

Carrier free

No

Reacts with

Mouse, Human

Applications

IHC-P, IP, WB

applications

Immunogen

Synthetic Peptide within Human PRDX3 aa 200 to C-terminus. The exact immunogen used to generate this antibody is proprietary information.

P30048

Reactivity data

{ "title": "Reactivity Data", "filters": { "stats": ["", "Species", "Dilution Info", "Notes"], "tabs": { "all-applications": {"fullname" : "All Applications", "shortname": "All Applications"}, "IHCP" : {"fullname" : "Immunohistochemistry (Formalin/PFA-fixed paraffin-embedded sections)", "shortname":"IHC-P"}, "IP" : {"fullname" : "Immunoprecipitation", "shortname":"IP"}, "WB" : {"fullname" : "Western blot", "shortname":"WB"} }, "product-promise": { "all": "all", "testedAndGuaranteed": "tested", "guaranteed": "expected", "predicted": "predicted", "notRecommended": "not-recommended" } }, "values": { "Human": { "IHCP-species-checked": "testedAndGuaranteed", "IHCP-species-dilution-info": "1/1000 - 1/5000", "IHCP-species-notes": "<p></p> Perform heat-mediated antigen retrieval with citrate buffer pH 6 before commencing with IHC staining protocol.", "IP-species-checked": "testedAndGuaranteed", "IP-species-dilution-info": "2-10 µg/mg of lysate", "IP-species-notes": "<p></p>", "WB-species-checked": "testedAndGuaranteed", "WB-species-dilution-info": "1/10000 - 1/25000", "WB-species-notes": "<p></p>" }, "Mouse": { "IHCP-species-checked": "guaranteed", "IHCP-species-dilution-info": "", "IHCP-species-notes": "", "IP-species-checked": "guaranteed", "IP-species-dilution-info": "", "IP-species-notes": "", "WB-species-checked": "testedAndGuaranteed", "WB-species-dilution-info": "1/10000 - 1/25000", "WB-species-notes": "<p></p>" }, "Orangutan": { "IHCP-species-checked": "predicted", "IHCP-species-dilution-info": "", "IHCP-species-notes": "", "IP-species-checked": "predicted", "IP-species-dilution-info": "", "IP-species-notes": "", "WB-species-checked": "predicted", "WB-species-dilution-info": "", "WB-species-notes": "" } } }

Properties and storage information

Form
Liquid
Purification technique
Affinity purification Immunogen
Storage buffer
pH: 7 - 8 Preservative: 0.09% Sodium azide Constituents: Tris citrate/phosphate
Shipped at conditions
Blue Ice
Appropriate short-term storage duration
1-2 weeks
Appropriate short-term storage conditions
+4°C
Appropriate long-term storage conditions
-20°C
Aliquoting information
Upon delivery aliquot
Storage information
Avoid freeze / thaw cycle

Supplementary information

This supplementary information is collated from multiple sources and compiled automatically.

Peroxiredoxin 3 also known as PRDX3 is an antioxidant enzyme that plays a critical role in the reduction of hydrogen peroxide to water. This protein has a mass of around 25 kDa and belongs to the thioredoxin peroxidase family. It functions within the mitochondria and is expressed in a wide variety of tissues with higher levels in the heart liver and kidney. PRDX3 acts as a protective buffer against oxidative stress by maintaining redox balance in cells.
Biological function summary

The enzyme helps to safeguard cells from oxidative damage by reducing peroxides produced during cellular metabolism. PRDX3 participates in antioxidant defense mechanisms and may form functional complexes with other proteins to enhance its peroxidase activity. Its antioxidant properties contribute to the maintenance of mitochondrial integrity and influence cellular survival and apoptosis processes.

Pathways

PRDX3 integrates into the cellular antioxidant defense system prominently in the thioredoxin pathway. In this pathway PRDX3 synergizes with thioredoxin to neutralize harmful oxidative molecules. PRDX3's activity is interconnected with proteins such as thioredoxin and glutaredoxin which also partake in counteracting oxidative stress bolstering an organism's defense against cellular damage.

Alterations in PRDX3 activity associate with conditions like cancer and neurodegenerative disorders. Overexpression of PRDX3 has been observed in certain types of cancer suggesting a potential role in tumor growth through its influence on cell proliferation and survival. In neurodegenerative diseases dysfunctional PRDX3 contributes to neuronal injury. It interacts with proteins like DJ-1 which relate to pathways involved in Parkinson's disease indicating its impact on maintaining neuronal health.

Product protocols

For this product, it's our understanding that no specific protocols are required. You can visit:

Target data

Thiol-specific peroxidase that catalyzes the reduction of hydrogen peroxide and organic hydroperoxides to water and alcohols, respectively. Plays a role in cell protection against oxidative stress by detoxifying peroxides (PubMed : 17707404, PubMed : 29438714, PubMed : 33889951, PubMed : 7733872). Acts synergistically with MAP3K13 to regulate the activation of NF-kappa-B in the cytosol (PubMed : 12492477). Required for the maintenance of physical strength (By similarity).
See full target information PRDX3

Publications (2)

Recent publications for all applications. Explore the full list and refine your search

Redox biology 54:102390 PubMed35793583

2022

Adiponectin/AdiopR1 signaling prevents mitochondrial dysfunction and oxidative injury after traumatic brain injury in a SIRT3 dependent manner.

Applications

Unspecified application

Species

Unspecified reactive species

Shenghao Zhang,Xun Wu,Jin Wang,Yingwu Shi,Qing Hu,Wenxing Cui,Hao Bai,Jinpeng Zhou,Yong Du,Liying Han,Leiyang Li,Dayun Feng,Shunnan Ge,Yan Qu

Chinese medical journal 134:2721-2729 PubMed34732665

2021

CCT4 suppression inhibits tumor growth in hepatocellular carcinoma by interacting with Cdc20.

Applications

Unspecified application

Species

Unspecified reactive species

Feng Li,Chun-Sheng Liu,Ping Wu,An-Sheng Ling,Qi Pan,Xiao-Ning Li
View all publications

Product promise

We are committed to supporting your work with high-quality reagents, and we're here for you every step of the way. In the unlikely event that one of our products does not perform as expected, you're protected by our Product Promise.
For full details, please see our Terms & Conditions

Please note: All products are 'FOR RESEARCH USE ONLY. NOT FOR USE IN DIAGNOSTIC OR THERAPEUTIC PROCEDURES'.

For licensing inquiries, please contact partnerships@abcam.com