JavaScript is disabled in your browser. Please enable JavaScript to view this website.
AB248350

Anti-Peroxiredoxin 3/PRDX3 antibody [EPR8114] - BSA and Azide free

Be the first to review this product! Submit a review

|

(0 Publication)

Rabbit Recombinant Monoclonal Peroxiredoxin 3/PRDX3 antibody. Carrier free. Suitable for IHC-P, ICC/IF, WB, Flow Cyt (Intra) and reacts with Human samples.

View Alternative Names

AOP1, PRDX3, Antioxidant protein 1, HBC189, Peroxiredoxin III, Peroxiredoxin-3, Protein MER5 homolog, Thioredoxin-dependent peroxiredoxin 3, AOP-1, Prx-III

6 Images
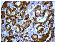
Immunohistochemistry (Formalin/PFA-fixed paraffin-embedded sections) - Anti-Peroxiredoxin 3/PRDX3 antibody [EPR8114] - BSA and Azide free (AB248350)
  • IHC-P

Unknown

Immunohistochemistry (Formalin/PFA-fixed paraffin-embedded sections) - Anti-Peroxiredoxin 3/PRDX3 antibody [EPR8114] - BSA and Azide free (AB248350)

This data was developed using ab129206, the same antibody clone in a different buffer formulation.

ab129206, at 1/50 dilution, staining Peroxiredoxin 3/PRDX3 in paraffin-embedded Human thyroid gland carcinoma tissue by Immunohistochemistry.

Perform heat mediated antigen retrieval with citrate buffer pH 6 before commencing with IHC staining protocol.

Immunohistochemistry (Formalin/PFA-fixed paraffin-embedded sections) - Anti-Peroxiredoxin 3/PRDX3 antibody [EPR8114] - BSA and Azide free (AB248350)
  • IHC-P

Unknown

Immunohistochemistry (Formalin/PFA-fixed paraffin-embedded sections) - Anti-Peroxiredoxin 3/PRDX3 antibody [EPR8114] - BSA and Azide free (AB248350)

This data was developed using ab129206, the same antibody clone in a different buffer formulation.

ab129206, at 1/50 dilution, staining Peroxiredoxin 3/PRDX3 in paraffin-embedded Human liver tissue by Immunohistochemistry.

Perform heat mediated antigen retrieval with citrate buffer pH 6 before commencing with IHC staining protocol.

Flow Cytometry (Intracellular) - Anti-Peroxiredoxin 3/PRDX3 antibody [EPR8114] - BSA and Azide free (AB248350)
  • Flow Cyt (Intra)

Lab

Flow Cytometry (Intracellular) - Anti-Peroxiredoxin 3/PRDX3 antibody [EPR8114] - BSA and Azide free (AB248350)

This data was developed using ab129206, the same antibody clone in a different buffer formulation.

Intracellular Flow Cytometry analysis of MCF-7 (human breast carcinoma) cells labeling Peroxiredoxin 3/PRDX3 with unpurified ab129206 at 1/150 dilution (10ug/ml) (red). Cells were fixed with 4% paraformaldehyde and permeabilised with 90% methanol. A Goat anti rabbit IgG (Alexa Fluor® 488) (1/2000 dilution) was used as the secondary antibody. Rabbit monoclonal IgG (Black) was used as the isotype control, cells without incubation with primary antibody and secondary antibody (Blue) were used as the unlabeled control.

Immunocytochemistry/ Immunofluorescence - Anti-Peroxiredoxin 3/PRDX3 antibody [EPR8114] - BSA and Azide free (AB248350)
  • ICC/IF

Unknown

Immunocytochemistry/ Immunofluorescence - Anti-Peroxiredoxin 3/PRDX3 antibody [EPR8114] - BSA and Azide free (AB248350)

This data was developed using ab129206, the same antibody clone in a different buffer formulation.

ab129206, at 1/50 dilution, staining Peroxiredoxin 3/PRDX3 in MCF-7 cells by Immunofluorescence.

Western blot - Anti-Peroxiredoxin 3/PRDX3 antibody [EPR8114] - BSA and Azide free (AB248350)
  • WB

Unknown

Western blot - Anti-Peroxiredoxin 3/PRDX3 antibody [EPR8114] - BSA and Azide free (AB248350)

This data was developed using ab129206, the same antibody clone in a different buffer formulation.

All lanes:

Western blot - Anti-Peroxiredoxin 3/PRDX3 antibody [EPR8114] (<a href='/en-us/products/primary-antibodies/peroxiredoxin-3-prdx3-antibody-epr8114-ab129206'>ab129206</a>) at 1/50000 dilution

Lane 1:

HeLa cell lysate at 10 µg

Lane 2:

293T (Human embryonic kidney epithelial cell) cell lysate at 10 µg

Lane 3:

MCF7 cell lysate at 10 µg

Lane 4:

A431 cell lysate at 10 µg

Secondary

All lanes:

Goat anti-rabbit HRP at 1/2000 dilution

Predicted band size: 28 kDa

Observed band size: 26 kDa

false

Western blot - Anti-Peroxiredoxin 3/PRDX3 antibody [EPR8114] - BSA and Azide free (AB248350)
  • WB

Lab

Western blot - Anti-Peroxiredoxin 3/PRDX3 antibody [EPR8114] - BSA and Azide free (AB248350)

This data was developed using ab129206, the same antibody clone in a different buffer formulation.

Lane 1 Wild-type HAP1 cell lysate (20 Âμg)

Lane 2 Peroxiredoxin 3/PRDX3 knockout HAP1 cell lysate (20 Âμg)

Lane 3 MCF7 cell lysate (20 Âμg)

Lane 4 A431 cell lysate (20 Âμg)

Lanes 1 - 4 Merged signal (red and green). Green - ab129206 observed at 24 kDa. Red - loading control, ab8245, observed at 37 kDa.

ab129206 was shown to specifically react with Peroxiredoxin 3/PRDX3 when Peroxiredoxin 3/PRDX3 knockout samples were used. Wild-type and Peroxiredoxin 3/PRDX3 knockout samples were subjected to SDS-PAGE. ab129206 and ab8245 (loading control to GAPDH) were both diluted 1/50000 and 1/10000 respectively and incubated overnight at 4°C. Blots were developed with Goat anti-Rabbit IgG H&L (IRDye® 800CW) preadsorbed ab216773 and Goat anti-Mouse IgG H&L (IRDye® 680RD) preadsorbed ab216776 secondary antibodies at 1/10000 dilution for 1 h at room temperature before imaging.

All lanes:

Western blot - Anti-Peroxiredoxin 3/PRDX3 antibody [EPR8114] (<a href='/en-us/products/primary-antibodies/peroxiredoxin-3-prdx3-antibody-epr8114-ab129206'>ab129206</a>)

Predicted band size: 28 kDa

false

  • Unconjugated

    Anti-Peroxiredoxin 3/PRDX3 antibody [EPR8114]

Key facts

Host species

Rabbit

Clonality

Monoclonal

Clone number

EPR8114

Isotype

IgG

Carrier free

Yes

Reacts with

Human

Applications

ICC/IF, Flow Cyt (Intra), IHC-P, WB

applications

Immunogen

The exact immunogen used to generate this antibody is proprietary information.

Reactivity data

{ "title": "Reactivity Data", "filters": { "stats": ["", "Species", "Dilution Info", "Notes"], "tabs": { "all-applications": {"fullname" : "All Applications", "shortname": "All Applications"}, "IHCP" : {"fullname" : "Immunohistochemistry (Formalin/PFA-fixed paraffin-embedded sections)", "shortname":"IHC-P"}, "ICCIF" : {"fullname" : "Immunocytochemistry/ Immunofluorescence", "shortname":"ICC/IF"}, "IP" : {"fullname" : "Immunoprecipitation", "shortname":"IP"}, "WB" : {"fullname" : "Western blot", "shortname":"WB"}, "FlowCytIntra" : {"fullname" : "Flow Cytometry (Intracellular)", "shortname":"Flow Cyt (Intra)"} }, "product-promise": { "all": "all", "testedAndGuaranteed": "tested", "guaranteed": "expected", "predicted": "predicted", "notRecommended": "not-recommended" } }, "values": { "Human": { "IHCP-species-checked": "testedAndGuaranteed", "IHCP-species-dilution-info": "", "IHCP-species-notes": "<p></p>", "ICCIF-species-checked": "testedAndGuaranteed", "ICCIF-species-dilution-info": "", "ICCIF-species-notes": "<p></p>", "IP-species-checked": "notRecommended", "IP-species-dilution-info": "", "IP-species-notes": "<p></p>", "WB-species-checked": "testedAndGuaranteed", "WB-species-dilution-info": "", "WB-species-notes": "<p></p>", "FlowCytIntra-species-checked": "testedAndGuaranteed", "FlowCytIntra-species-dilution-info": "", "FlowCytIntra-species-notes": "<p></p>" } } }

Product details

ab248350 is the carrier-free version of ab129206.

Species reactivity
Mouse, Rat: We have preliminary internal testing data to indicate this antibody may not react with these species.
Please contact us for more information.

Patented technology
Our RabMAb® technology is a patented hybridoma-based technology for making rabbit monoclonal antibodies. For details on our patents, please refer to RabMAb® patents.

What are the advantages of a recombinant monoclonal antibody?
This product is a recombinant monoclonal antibody, which offers several advantages including:

  • - High batch-to-batch consistency and reproducibility
  • - Improved sensitivity and specificity
  • - Long-term security of supply
  • - Animal-free batch production

For more information, read more on recombinant antibodies.

Conjugation ready
Our carrier-free antibodies are typically supplied in a PBS-only formulation, purified and free of BSA, sodium azide and glycerol. This conjugation-ready format is designed for use with fluorochromes, metal isotopes, oligonucleotides, and enzymes, which makes them ideal for antibody labelling, functional and cell-based assays, flow-based assays (e.g. mass cytometry) and Multiplex Imaging applications.

Use our conjugation kits for antibody conjugates that are ready-to-use in as little as 20 minutes with 1 minute hands-on-time and 100% antibody recovery: available for fluorescent dyes, HRP, biotin and gold.

Compatibility
This product is compatible with the Maxpar® Antibody Labeling Kit from Fluidigm, without the need for antibody preparation. Maxpar® is a trademark of Fluidigm Canada Inc.

Properties and storage information

Form
Liquid
Purification technique
Affinity purification Protein A
Storage buffer
pH: 7.2 - 7.4 Constituents: PBS
Shipped at conditions
Blue Ice
Appropriate short-term storage conditions
+4°C
Appropriate long-term storage conditions
+4°C
Storage information
Do Not Freeze

Supplementary information

This supplementary information is collated from multiple sources and compiled automatically.

Peroxiredoxin 3 also known as PRDX3 is an antioxidant enzyme that plays a critical role in the reduction of hydrogen peroxide to water. This protein has a mass of around 25 kDa and belongs to the thioredoxin peroxidase family. It functions within the mitochondria and is expressed in a wide variety of tissues with higher levels in the heart liver and kidney. PRDX3 acts as a protective buffer against oxidative stress by maintaining redox balance in cells.
Biological function summary

The enzyme helps to safeguard cells from oxidative damage by reducing peroxides produced during cellular metabolism. PRDX3 participates in antioxidant defense mechanisms and may form functional complexes with other proteins to enhance its peroxidase activity. Its antioxidant properties contribute to the maintenance of mitochondrial integrity and influence cellular survival and apoptosis processes.

Pathways

PRDX3 integrates into the cellular antioxidant defense system prominently in the thioredoxin pathway. In this pathway PRDX3 synergizes with thioredoxin to neutralize harmful oxidative molecules. PRDX3's activity is interconnected with proteins such as thioredoxin and glutaredoxin which also partake in counteracting oxidative stress bolstering an organism's defense against cellular damage.

Alterations in PRDX3 activity associate with conditions like cancer and neurodegenerative disorders. Overexpression of PRDX3 has been observed in certain types of cancer suggesting a potential role in tumor growth through its influence on cell proliferation and survival. In neurodegenerative diseases dysfunctional PRDX3 contributes to neuronal injury. It interacts with proteins like DJ-1 which relate to pathways involved in Parkinson's disease indicating its impact on maintaining neuronal health.

Product protocols

For this product, it's our understanding that no specific protocols are required. You can visit:

Target data

Thiol-specific peroxidase that catalyzes the reduction of hydrogen peroxide and organic hydroperoxides to water and alcohols, respectively. Plays a role in cell protection against oxidative stress by detoxifying peroxides (PubMed : 17707404, PubMed : 29438714, PubMed : 33889951, PubMed : 7733872). Acts synergistically with MAP3K13 to regulate the activation of NF-kappa-B in the cytosol (PubMed : 12492477). Required for the maintenance of physical strength (By similarity).
See full target information PRDX3

Product promise

We are committed to supporting your work with high-quality reagents, and we're here for you every step of the way. In the unlikely event that one of our products does not perform as expected, you're protected by our Product Promise.
For full details, please see our Terms & Conditions

Please note: All products are 'FOR RESEARCH USE ONLY. NOT FOR USE IN DIAGNOSTIC OR THERAPEUTIC PROCEDURES'.

For licensing inquiries, please contact partnerships@abcam.com