JavaScript is disabled in your browser. Please enable JavaScript to view this website.
AB184167

Anti-Peroxiredoxin 4 antibody [EPR15458(B)]

5

(1 Review)

|

(15 Publications)

Rabbit Recombinant Monoclonal Peroxiredoxin 4 antibody. Suitable for WB, IHC-P and reacts with Human, Mouse samples. Cited in 15 publications.

View Alternative Names

Peroxiredoxin-4, Antioxidant enzyme AOE372, Peroxiredoxin IV, Thioredoxin peroxidase AO372, Thioredoxin-dependent peroxide reductase A0372, Thioredoxin-dependent peroxiredoxin 4, AOE37-2, Prx-IV, PRDX4

4 Images
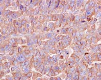
Immunohistochemistry (Formalin/PFA-fixed paraffin-embedded sections) - Anti-Peroxiredoxin 4 antibody [EPR15458(B)] (AB184167)
  • IHC-P

Supplier Data

Immunohistochemistry (Formalin/PFA-fixed paraffin-embedded sections) - Anti-Peroxiredoxin 4 antibody [EPR15458(B)] (AB184167)

Immunohistochemical analysis of, paraffin-embedded Human ovarian carcinoma tissue labeling Peroxiredoxin 4 with ab184167 at 1/250 dilution. Counter stain Hematoxylin.

Perform heat mediated antigen retrieval with EDTA buffer pH 9 before commencing with IHC staining protocol.

Immunohistochemistry (Formalin/PFA-fixed paraffin-embedded sections) - Anti-Peroxiredoxin 4 antibody [EPR15458(B)] (AB184167)
  • IHC-P

Supplier Data

Immunohistochemistry (Formalin/PFA-fixed paraffin-embedded sections) - Anti-Peroxiredoxin 4 antibody [EPR15458(B)] (AB184167)

Immunohistochemical analysis of paraffin-embedded Mouse liver tissue labeling Peroxiredoxin 4 with ab184167 at 1/250 dilution.

Counter stain Hematoxylin.

Perform heat mediated antigen retrieval with EDTA buffer pH 9 before commencing with IHC staining protocol.

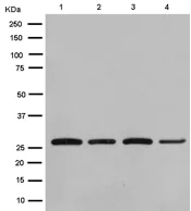
Western blot - Anti-Peroxiredoxin 4 antibody [EPR15458(B)] (AB184167)
  • WB

Supplier Data

Western blot - Anti-Peroxiredoxin 4 antibody [EPR15458(B)] (AB184167)

All lanes:

Western blot - Anti-Peroxiredoxin 4 antibody [EPR15458(B)] (ab184167) at 1/50000 dilution

Lane 1:

HepG2 cell lysate at 20 µg

Lane 2:

K562 cell lysate at 20 µg

Lane 3:

HeLa cell lysate at 20 µg

Lane 4:

Jurkat cell lysate at 20 µg

Secondary

All lanes:

Goat Anti-Rabbit IgG, (H+L), Peroxidase conjugated at 1/1000 dilution

Predicted band size: 31 kDa

Observed band size: 27 kDa

false

Western blot - Anti-Peroxiredoxin 4 antibody [EPR15458(B)] (AB184167)
  • WB

Lab

Western blot - Anti-Peroxiredoxin 4 antibody [EPR15458(B)] (AB184167)

Lanes 1-4 : Merged signal (red and green). Green - ab184167 observed at 27 kDa. Red - loading control ab8245 observed at 36 kDa.

ab184167 Anti-Peroxiredoxin 4 antibody [EPR15458(B)] was shown to specifically react with Peroxiredoxin 4 in wild-type HEK293T cells. Loss of signal was observed when knockout cell line ab266727 (knockout cell lysate ab257264) was used. Wild-type and Peroxiredoxin 4 knockout samples were subjected to SDS-PAGE. ab184167 and Anti-GAPDH antibody [6C5] - Loading Control (ab8245) were incubated at room temperature for 2. 5 hours at 1 in 1000 dilution and 1 in 20000 dilution respectively. Blots were developed with Goat anti-Rabbit IgG H&L (IRDye® 800CW) preadsorbed (ab216773) and Goat anti-Mouse IgG H&L (IRDye® 680RD) preadsorbed (ab216776) secondary antibodies at 1 in 20000 dilution for 1 hour at room temperature before imaging.

All lanes:

Western blot - Anti-Peroxiredoxin 4 antibody [EPR15458(B)] (ab184167) at 1/1000 dilution

Lane 1:

Wild-type HEK293T cell lysate at 20 µg

Lane 2:

PRDX4 knockout HEK293T cell lysate at 20 µg

Lane 2:

Western blot - Human PRDX4 (Peroxiredoxin 4) knockout HEK-293T cell line (<a href='/en-us/products/cell-lines/human-prdx4-peroxiredoxin-4-knockout-hek-293t-cell-line-ab266727'>ab266727</a>)

Lane 3:

HepG2 cell lysate at 20 µg

Secondary

All lanes:

Western blot - Goat anti-Rabbit IgG H&L (IRDye® 800CW) preadsorbed (<a href='/en-us/products/secondary-antibodies/goat-rabbit-igg-h-l-irdye-800cw-preadsorbed-ab216773'>ab216773</a>) at 1/10000 dilution

Predicted band size: 177 kDa,189 kDa,31 kDa

Observed band size: 27 kDa

false

  • Carrier free

    Anti-Peroxiredoxin 4 antibody [EPR15458(B)] - BSA and Azide free

Key facts

Host species

Rabbit

Clonality

Monoclonal

Clone number

EPR15458(B)

Isotype

IgG

Carrier free

No

Reacts with

Mouse, Human

Applications

WB, IHC-P

applications

Immunogen

The exact immunogen used to generate this antibody is proprietary information.

Reactivity data

{ "title": "Reactivity Data", "filters": { "stats": ["", "Species", "Dilution Info", "Notes"], "tabs": { "all-applications": {"fullname" : "All Applications", "shortname": "All Applications"}, "WB" : {"fullname" : "Western blot", "shortname":"WB"}, "IHCP" : {"fullname" : "Immunohistochemistry (Formalin/PFA-fixed paraffin-embedded sections)", "shortname":"IHC-P"} }, "product-promise": { "all": "all", "testedAndGuaranteed": "tested", "guaranteed": "expected", "predicted": "predicted", "notRecommended": "not-recommended" } }, "values": { "Human": { "WB-species-checked": "testedAndGuaranteed", "WB-species-dilution-info": "1/10000 - 1/50000", "WB-species-notes": "<p></p>", "IHCP-species-checked": "testedAndGuaranteed", "IHCP-species-dilution-info": "1/100 - 1/250", "IHCP-species-notes": "<p></p> Perform heat-mediated antigen retrieval with Tris/EDTA buffer pH 9.0 before commencing with IHC staining protocol." }, "Mouse": { "WB-species-checked": "guaranteed", "WB-species-dilution-info": "", "WB-species-notes": "", "IHCP-species-checked": "testedAndGuaranteed", "IHCP-species-dilution-info": "1/100 - 1/250", "IHCP-species-notes": "<p></p> Perform heat-mediated antigen retrieval with Tris/EDTA buffer pH 9.0 before commencing with IHC staining protocol." }, "Rat": { "WB-species-checked": "predicted", "WB-species-dilution-info": "", "WB-species-notes": "", "IHCP-species-checked": "predicted", "IHCP-species-dilution-info": "", "IHCP-species-notes": "" } } }

Product details

Patented technology
Our RabMAb® technology is a patented hybridoma-based technology for making rabbit monoclonal antibodies. For details on our patents, please refer to RabMAb® patents.

What are the advantages of a recombinant monoclonal antibody?
This product is a recombinant monoclonal antibody, which offers several advantages including:

  • - High batch-to-batch consistency and reproducibility
  • - Improved sensitivity and specificity
  • - Long-term security of supply
  • - Animal-free batch production

For more information, read more on recombinant antibodies.

Properties and storage information

Form
Liquid
Purification technique
Affinity purification Protein A
Storage buffer
pH: 7.2 Preservative: 0.01% Sodium azide Constituents: PBS, 40% Glycerol (glycerin, glycerine), 0.05% BSA
Shipped at conditions
Blue Ice
Appropriate short-term storage duration
1-2 weeks
Appropriate short-term storage conditions
+4°C
Appropriate long-term storage conditions
-20°C
Aliquoting information
Upon delivery aliquot
Storage information
Avoid freeze / thaw cycle

Supplementary information

This supplementary information is collated from multiple sources and compiled automatically.

Peroxiredoxin 4 also known as Prdx4 is a protein that acts as an antioxidant enzyme and belongs to the peroxiredoxin family. It influences the reduction of hydrogen peroxide and organic hydroperoxides. The molecular mass of Prdx4 is approximately 31 kDa. It is expressed mainly in the endoplasmic reticulum but you can find some expression in the cytosol as well.
Biological function summary

Prdx4 plays a list of roles in cellular defense against oxidative stress. It not only reduces peroxides but also contributes to the maintenance of protein folding by modifying disulfide bonds in the endoplasmic reticulum. Prdx4 does not function as part of a larger complex but acts independently within its compartments. The protective functions of Prdx4 are important for cell survival and proper cellular function.

Pathways

Prdx4 interacts with oxidative stress response pathways. Specifically it participates in the redox signaling pathways that regulate cellular reactive oxygen species levels. Peroxiredoxin 4 is closely associated with proteins such as thioredoxin in these pathways. Together they regulate the cellular redox environment which is important for maintaining cellular homeostasis.

Oxidative stress imbalance implicates Prdx4 in conditions like diabetes and cancer. For example in diabetes altered Prdx4 levels disturb normal cell function due to increased oxidative stress. In cancer Prdx4 can influence tumor progression by modulating the antioxidant capacity within cells. Prdx4 also shows a functional connection to proteins like glutathione peroxidase in regulating oxidative stress-related pathologies.

Product protocols

For this product, it's our understanding that no specific protocols are required. You can visit:

Target data

Thiol-specific peroxidase that catalyzes the reduction of hydrogen peroxide and organic hydroperoxides to water and alcohols, respectively. Plays a role in cell protection against oxidative stress by detoxifying peroxides and as sensor of hydrogen peroxide-mediated signaling events. Regulates the activation of NF-kappa-B in the cytosol by a modulation of I-kappa-B-alpha phosphorylation.
See full target information PRDX4

Publications (15)

Recent publications for all applications. Explore the full list and refine your search

Cell discovery 10:111 PubMed39496598

2024

Stem cell transplantation extends the reproductive life span of naturally aging cynomolgus monkeys.

Applications

Unspecified application

Species

Unspecified reactive species

Long Yan,Wan Tu,Xuehan Zhao,Haifeng Wan,Jiaqi Wu,Yan Zhao,Jun Wu,Yingpu Sun,Lan Zhu,Yingying Qin,Linli Hu,Hua Yang,Qiong Ke,Wenzhe Zhang,Wei Luo,Zhenyu Xiao,Xueyu Chen,Qiqian Wu,Beijia He,Man Teng,Shanjun Dai,Jinglei Zhai,Hao Wu,Xiaokui Yang,Fan Guo,Hongmei Wang

Translational psychiatry 14:415 PubMed39362869

2024

Oral antioxidant edaravone protects against cognitive deficits induced by chronic hypobaric hypoxia at high altitudes.

Applications

Unspecified application

Species

Unspecified reactive species

Yuan-Yuan Ma,Xin Li,Zhong-Yuan Yu,Tong Luo,Cheng-Rong Tan,Yu-Di Bai,Gang Xu,Bin-Da Sun,Xian-Le Bu,Yu-Hui Liu,Wang-Sheng Jin,Yu-Qi Gao,Xin-Fu Zhou,Juan Liu,Yan-Jiang Wang

Cell death & disease 15:399 PubMed38849335

2024

DDAH-1 maintains endoplasmic reticulum-mitochondria contacts and protects dopaminergic neurons in Parkinson's disease.

Applications

Unspecified application

Species

Unspecified reactive species

Yichen Zhao,Weiwei Shen,Minjie Zhang,Min Guo,Yunxiao Dou,Sida Han,Jintai Yu,Mei Cui,Yanxin Zhao

Translational cancer research 13:81-101 PubMed38410208

2024

Validation of the interaction between PRDX4 and TXNDC5 in gastric cancer and the significance of the gene in gastric cancer based on a data mining analysis.

Applications

Unspecified application

Species

Unspecified reactive species

Lin Zhang,Kai Wu,Yanhong Hou,Xianghui Li

Molecular cell 83:3931-3939.e5 PubMed37863053

2023

Identification of hyperoxidized PRDX3 as a ferroptosis marker reveals ferroptotic damage in chronic liver diseases.

Applications

Unspecified application

Species

Unspecified reactive species

Shaojie Cui,Anchal Ghai,Yaqin Deng,Shili Li,Ruihui Zhang,Christopher Egbulefu,Guosheng Liang,Samuel Achilefu,Jin Ye

Antioxidants (Basel, Switzerland) 12: PubMed36829926

2023

Critical Role of the Sulfiredoxin-Peroxiredoxin IV Axis in Urethane-Induced Non-Small Cell Lung Cancer.

Applications

Unspecified application

Species

Unspecified reactive species

Yanning Hao,Hong Jiang,Pratik Thapa,Na Ding,Aziza Alshahrani,Junichi Fujii,Michel B Toledano,Qiou Wei

eLife 12: PubMed36735291

2023

Peroxiredoxin 5 regulates osteogenic differentiation through interaction with hnRNPK during bone regeneration.

Applications

Unspecified application

Species

Unspecified reactive species

Eunjin Cho,Xiangguo Che,Mary Jasmin Ang,Seongmin Cheon,Jinkyung Lee,Kwang Soo Kim,Chang Hoon Lee,Sang-Yeop Lee,Hee-Young Yang,Changjong Moon,Chungoo Park,Je-Yong Choi,Tae-Hoon Lee

The European journal of neuroscience 56:5177-5190 PubMed36083288

2022

Astrocytes show increased levels of Ero1α in multiple sclerosis and its experimental autoimmune encephalomyelitis animal model.

Applications

Unspecified application

Species

Unspecified reactive species

Samira Samtleben,Lucas Mina,Megan C Yap,William G Branton,Muhammad Saad Yousuf,Gustavo Tenorio,Klaus Ballanyi,Fabrizio Giuliani,Bradley J Kerr,Christopher Power,Thomas Simmen

The Journal of biological chemistry 298:102123 PubMed35697073

2022

Peroxiredoxin IV plays a critical role in cancer cell growth and radioresistance through the activation of the Akt/GSK3 signaling pathways.

Applications

Unspecified application

Species

Unspecified reactive species

Na Ding,Hong Jiang,Pratik Thapa,Yanning Hao,Aziza Alshahrani,Derek Allison,Tadahide Izumi,Vivek M Rangnekar,Xiaoqi Liu,Qiou Wei

Nature communications 12:6626 PubMed34785665

2021

Hydrogen peroxide signaling via its transformation to a stereospecific alkyl hydroperoxide that escapes reductive inactivation.

Applications

Unspecified application

Species

Unspecified reactive species

Raphael F Queiroz,Christopher P Stanley,Kathryn Wolhuter,Stephanie M Y Kong,Ragul Rajivan,Naomi McKinnon,Giang T H Nguyen,Antonella Roveri,Sebastian Guttzeit,Philip Eaton,William A Donald,Fulvio Ursini,Christine C Winterbourn,Anita Ayer,Roland Stocker
View all publications

Product promise

We are committed to supporting your work with high-quality reagents, and we're here for you every step of the way. In the unlikely event that one of our products does not perform as expected, you're protected by our Product Promise.
For full details, please see our Terms & Conditions

Please note: All products are 'FOR RESEARCH USE ONLY. NOT FOR USE IN DIAGNOSTIC OR THERAPEUTIC PROCEDURES'.

For licensing inquiries, please contact partnerships@abcam.com