JavaScript is disabled in your browser. Please enable JavaScript to view this website.
AB245772

Anti-Peroxiredoxin 4 antibody [EPR15458(B)] - BSA and Azide free

Be the first to review this product! Submit a review

|

(1 Publication)

Rabbit Recombinant Monoclonal Peroxiredoxin 4 antibody. Carrier free. Suitable for WB, IHC-P and reacts with Human, Mouse samples. Cited in 1 publication.

View Alternative Names

Peroxiredoxin-4, Antioxidant enzyme AOE372, Peroxiredoxin IV, Thioredoxin peroxidase AO372, Thioredoxin-dependent peroxide reductase A0372, Thioredoxin-dependent peroxiredoxin 4, AOE37-2, Prx-IV, PRDX4

3 Images
Immunohistochemistry (Formalin/PFA-fixed paraffin-embedded sections) - Anti-Peroxiredoxin 4 antibody [EPR15458(B)] - BSA and Azide free (AB245772)
  • IHC-P

Unknown

Immunohistochemistry (Formalin/PFA-fixed paraffin-embedded sections) - Anti-Peroxiredoxin 4 antibody [EPR15458(B)] - BSA and Azide free (AB245772)

Immunohistochemical analysis of, paraffin-embedded Human ovarian carcinoma tissue labeling Peroxiredoxin 4 with ab184167 at 1/250 dilution. Counter stain Hematoxylin.

This data was developed using the same antibody clone in a different buffer formulation containing PBS#44; BSA#44; glycerol and sodium azide (ab184167)

Western blot - Anti-Peroxiredoxin 4 antibody [EPR15458(B)] - BSA and Azide free (AB245772)
  • WB

Lab

Western blot - Anti-Peroxiredoxin 4 antibody [EPR15458(B)] - BSA and Azide free (AB245772)

This data was developed using the same antibody clone in a different buffer formulation (ab184167).

Lanes 1-4 : Merged signal (red and green). Green - ab184167 observed at 27 kDa. Red - loading control ab8245 observed at 36 kDa.

ab184167 Anti-Peroxiredoxin 4 antibody [EPR15458(B)] was shown to specifically react with Peroxiredoxin 4 in wild-type HEK293T cells. Loss of signal was observed when knockout cell line ab266727 (knockout cell lysate ab257264) was used. Wild-type and Peroxiredoxin 4 knockout samples were subjected to SDS-PAGE. ab184167 and Anti-GAPDH antibody [6C5] - Loading Control (ab8245) were incubated at room temperature for 2. 5 hours at 1 in 1000 dilution and 1 in 20000 dilution respectively. Blots were developed with Goat anti-Rabbit IgG H&L (IRDye® 800CW) preadsorbed (ab216773) and Goat anti-Mouse IgG H&L (IRDye® 680RD) preadsorbed (ab216776) secondary antibodies at 1 in 20000 dilution for 1 hour at room temperature before imaging.

All lanes:

Western blot - Anti-Peroxiredoxin 4 antibody [EPR15458(B)] (<a href='/en-us/products/primary-antibodies/peroxiredoxin-4-antibody-epr15458b-ab184167'>ab184167</a>) at 1/1000 dilution

Lane 1:

Wild-type HEK293T cell lysate at 20 µg

Lane 2:

PRDX4 knockout HEK293T cell lysate at 20 µg

Lane 2:

Western blot - Human PRDX4 (Peroxiredoxin 4) knockout HEK-293T cell line (<a href='/en-us/products/cell-lines/human-prdx4-peroxiredoxin-4-knockout-hek-293t-cell-line-ab266727'>ab266727</a>)

Lane 3:

HepG2 cell lysate at 20 µg

Secondary

All lanes:

Western blot - Goat anti-Rabbit IgG H&L (IRDye® 800CW) preadsorbed (<a href='/en-us/products/secondary-antibodies/goat-rabbit-igg-h-l-irdye-800cw-preadsorbed-ab216773'>ab216773</a>) at 1/10000 dilution

Predicted band size: 177 kDa,189 kDa,31 kDa

Observed band size: 27 kDa

false

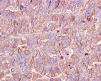
Immunohistochemistry (Formalin/PFA-fixed paraffin-embedded sections) - Anti-Peroxiredoxin 4 antibody [EPR15458(B)] - BSA and Azide free (AB245772)
  • IHC-P

Supplier Data

Immunohistochemistry (Formalin/PFA-fixed paraffin-embedded sections) - Anti-Peroxiredoxin 4 antibody [EPR15458(B)] - BSA and Azide free (AB245772)

Immunohistochemical analysis of paraffin-embedded Mouse liver tissue labeling Peroxiredoxin 4 with ab184167 at 1/250 dilution.

Counter stain Hematoxylin.

This data was developed using the same antibody clone in a different buffer formulation containing PBS, BSA, glycerol and sodium azide (ab184167).

Perform heat mediated antigen retrieval with EDTA buffer pH 9 before commencing with IHC staining protocol.

Key facts

Host species

Rabbit

Clonality

Monoclonal

Clone number

EPR15458(B)

Isotype

IgG

Carrier free

Yes

Reacts with

Mouse, Human

Applications

WB, IHC-P

applications

Immunogen

The exact immunogen used to generate this antibody is proprietary information.

Reactivity data

{ "title": "Reactivity Data", "filters": { "stats": ["", "Species", "Dilution Info", "Notes"], "tabs": { "all-applications": {"fullname" : "All Applications", "shortname": "All Applications"}, "WB" : {"fullname" : "Western blot", "shortname":"WB"}, "IHCP" : {"fullname" : "Immunohistochemistry (Formalin/PFA-fixed paraffin-embedded sections)", "shortname":"IHC-P"} }, "product-promise": { "all": "all", "testedAndGuaranteed": "tested", "guaranteed": "expected", "predicted": "predicted", "notRecommended": "not-recommended" } }, "values": { "Human": { "WB-species-checked": "testedAndGuaranteed", "WB-species-dilution-info": "", "WB-species-notes": "<p></p> Perform heat-mediated antigen retrieval with Tris/EDTA buffer pH 9.0 before commencing with IHC staining protocol.", "IHCP-species-checked": "testedAndGuaranteed", "IHCP-species-dilution-info": "", "IHCP-species-notes": "<p></p> Perform heat-mediated antigen retrieval with Tris/EDTA buffer pH 9.0 before commencing with IHC staining protocol." }, "Mouse": { "WB-species-checked": "guaranteed", "WB-species-dilution-info": "", "WB-species-notes": "", "IHCP-species-checked": "testedAndGuaranteed", "IHCP-species-dilution-info": "", "IHCP-species-notes": "<p></p> Perform heat-mediated antigen retrieval with Tris/EDTA buffer pH 9.0 before commencing with IHC staining protocol." }, "Rat": { "WB-species-checked": "predicted", "WB-species-dilution-info": "", "WB-species-notes": "", "IHCP-species-checked": "predicted", "IHCP-species-dilution-info": "", "IHCP-species-notes": "" } } }

Product details

ab245772 is the carrier-free version of ab184167.

Patented technology
Our RabMAb® technology is a patented hybridoma-based technology for making rabbit monoclonal antibodies. For details on our patents, please refer to RabMAb® patents.

What are the advantages of a recombinant monoclonal antibody?
This product is a recombinant monoclonal antibody, which offers several advantages including:

  • - High batch-to-batch consistency and reproducibility
  • - Improved sensitivity and specificity
  • - Long-term security of supply
  • - Animal-free batch production

For more information, read more on recombinant antibodies.

Conjugation ready
Our carrier-free antibodies are typically supplied in a PBS-only formulation, purified and free of BSA, sodium azide and glycerol. This conjugation-ready format is designed for use with fluorochromes, metal isotopes, oligonucleotides, and enzymes, which makes them ideal for antibody labelling, functional and cell-based assays, flow-based assays (e.g. mass cytometry) and Multiplex Imaging applications.

Use our conjugation kits for antibody conjugates that are ready-to-use in as little as 20 minutes with 1 minute hands-on-time and 100% antibody recovery: available for fluorescent dyes, HRP, biotin and gold.

Compatibility
This product is compatible with the Maxpar® Antibody Labeling Kit from Fluidigm, without the need for antibody preparation. Maxpar® is a trademark of Fluidigm Canada Inc.

Properties and storage information

Form
Liquid
Purification technique
Affinity purification Protein A
Storage buffer
pH: 7.2 - 7.4 Constituents: PBS
Shipped at conditions
Blue Ice
Appropriate short-term storage conditions
+4°C
Appropriate long-term storage conditions
+4°C
Storage information
Do Not Freeze

Supplementary information

This supplementary information is collated from multiple sources and compiled automatically.

Peroxiredoxin 4 also known as Prdx4 is a protein that acts as an antioxidant enzyme and belongs to the peroxiredoxin family. It influences the reduction of hydrogen peroxide and organic hydroperoxides. The molecular mass of Prdx4 is approximately 31 kDa. It is expressed mainly in the endoplasmic reticulum but you can find some expression in the cytosol as well.
Biological function summary

Prdx4 plays a list of roles in cellular defense against oxidative stress. It not only reduces peroxides but also contributes to the maintenance of protein folding by modifying disulfide bonds in the endoplasmic reticulum. Prdx4 does not function as part of a larger complex but acts independently within its compartments. The protective functions of Prdx4 are important for cell survival and proper cellular function.

Pathways

Prdx4 interacts with oxidative stress response pathways. Specifically it participates in the redox signaling pathways that regulate cellular reactive oxygen species levels. Peroxiredoxin 4 is closely associated with proteins such as thioredoxin in these pathways. Together they regulate the cellular redox environment which is important for maintaining cellular homeostasis.

Oxidative stress imbalance implicates Prdx4 in conditions like diabetes and cancer. For example in diabetes altered Prdx4 levels disturb normal cell function due to increased oxidative stress. In cancer Prdx4 can influence tumor progression by modulating the antioxidant capacity within cells. Prdx4 also shows a functional connection to proteins like glutathione peroxidase in regulating oxidative stress-related pathologies.

Product protocols

For this product, it's our understanding that no specific protocols are required. You can visit:

Target data

Thiol-specific peroxidase that catalyzes the reduction of hydrogen peroxide and organic hydroperoxides to water and alcohols, respectively. Plays a role in cell protection against oxidative stress by detoxifying peroxides and as sensor of hydrogen peroxide-mediated signaling events. Regulates the activation of NF-kappa-B in the cytosol by a modulation of I-kappa-B-alpha phosphorylation.
See full target information PRDX4

Publications (1)

Recent publications for all applications. Explore the full list and refine your search

Translational andrology and urology 10:4275-4287 PubMed34984192

2022

Inflammation induced by lipopolysaccharide advanced androgen receptor expression and epithelial-mesenchymal transition progress in prostatitis and prostate cancer.

Applications

Unspecified application

Species

Unspecified reactive species

Guang-Chun Wang,Tian-Run Huang,Ke-Yi Wang,Zong-Lin Wu,Jin-Bo Xie,Hou-Liang Zhang,Lei Yin,Wen-Long Tang,Bo Peng
View all publications

Product promise

We are committed to supporting your work with high-quality reagents, and we're here for you every step of the way. In the unlikely event that one of our products does not perform as expected, you're protected by our Product Promise.
For full details, please see our Terms & Conditions

Please note: All products are 'FOR RESEARCH USE ONLY. NOT FOR USE IN DIAGNOSTIC OR THERAPEUTIC PROCEDURES'.

For licensing inquiries, please contact partnerships@abcam.com