JavaScript is disabled in your browser. Please enable JavaScript to view this website.
AB240057

Anti-Peroxiredoxin 6 antibody [EPR3754] - BSA and Azide free

Be the first to review this product! Submit a review

|

(1 Publication)

Rabbit Recombinant Monoclonal Peroxiredoxin 6 antibody. Carrier free. Suitable for IHC-P, WB and reacts with Human, Rat, Mouse samples. Cited in 1 publication.

View Alternative Names

AOP2, KIAA0106, PRDX6, Peroxiredoxin-6, 1-Cys peroxiredoxin, 24 kDa protein, Acidic calcium-independent phospholipase A2, Antioxidant protein 2, Glutathione-dependent peroxiredoxin, Liver 2D page spot 40, Lysophosphatidylcholine acyltransferase 5, Non-selenium glutathione peroxidase, Red blood cells page spot 12, 1-Cys PRX, aiPLA2, LPC acyltransferase 5, LPCAT-5, Lyso-PC acyltransferase 5, NSGPx

8 Images
Immunohistochemistry (Formalin/PFA-fixed paraffin-embedded sections) - Anti-Peroxiredoxin 6 antibody [EPR3754] - BSA and Azide free (AB240057)
  • IHC-P

Unknown

Immunohistochemistry (Formalin/PFA-fixed paraffin-embedded sections) - Anti-Peroxiredoxin 6 antibody [EPR3754] - BSA and Azide free (AB240057)

Immunohistochemical analysis of paraffin embedded normal Human testis tissue using ab133348 showing +ve staining.

This data was developed using the same antibody clone in a different buffer formulation containing PBS, BSA, glycerol, and sodium azide (ab133348).

Perform heat mediated antigen retrieval with citrate buffer pH 6 before commencing with IHC staining protocol.

Immunohistochemistry (Formalin/PFA-fixed paraffin-embedded sections) - Anti-Peroxiredoxin 6 antibody [EPR3754] - BSA and Azide free (AB240057)
  • IHC-P

Unknown

Immunohistochemistry (Formalin/PFA-fixed paraffin-embedded sections) - Anti-Peroxiredoxin 6 antibody [EPR3754] - BSA and Azide free (AB240057)

Immunohistochemical analysis of paraffin-embedded Human brain tissue labelling Peroxiredoxin 6 with ab133348 at 1/250 dilution. This data was developed using the same antibody clone in a different buffer formulation containing PBS, BSA, glycerol, and sodium azide (ab133348). Perform heat mediated antigen retrieval with citrate buffer pH 6 before commencing with IHC staining protocol.

Immunohistochemistry (Formalin/PFA-fixed paraffin-embedded sections) - Anti-Peroxiredoxin 6 antibody [EPR3754] - BSA and Azide free (AB240057)
  • IHC-P

Unknown

Immunohistochemistry (Formalin/PFA-fixed paraffin-embedded sections) - Anti-Peroxiredoxin 6 antibody [EPR3754] - BSA and Azide free (AB240057)

Immunohistochemical analysis of paraffin embedded normal Human liver tissue using ab133348 showing +ve staining. This data was developed using the same antibody clone in a different buffer formulation containing PBS, BSA, glycerol, and sodium azide (ab133348). Perform heat mediated antigen retrieval with citrate buffer pH 6 before commencing with IHC staining protocol.

Immunohistochemistry (Formalin/PFA-fixed paraffin-embedded sections) - Anti-Peroxiredoxin 6 antibody [EPR3754] - BSA and Azide free (AB240057)
  • IHC-P

Unknown

Immunohistochemistry (Formalin/PFA-fixed paraffin-embedded sections) - Anti-Peroxiredoxin 6 antibody [EPR3754] - BSA and Azide free (AB240057)

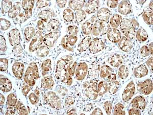
Immunohistochemical analysis of paraffin embedded normal Human stomach tissue using ab133348 showing +ve staining. This data was developed using the same antibody clone in a different buffer formulation containing PBS, BSA, glycerol, and sodium azide (ab133348). Perform heat mediated antigen retrieval with citrate buffer pH 6 before commencing with IHC staining protocol.

Immunohistochemistry (Formalin/PFA-fixed paraffin-embedded sections) - Anti-Peroxiredoxin 6 antibody [EPR3754] - BSA and Azide free (AB240057)
  • IHC-P

Unknown

Immunohistochemistry (Formalin/PFA-fixed paraffin-embedded sections) - Anti-Peroxiredoxin 6 antibody [EPR3754] - BSA and Azide free (AB240057)

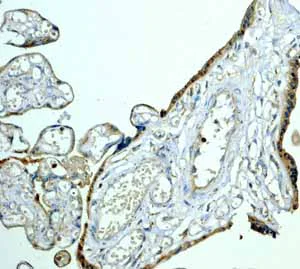
Immunohistochemical analysis of paraffin embedded normal Human placenta tissue using ab133348 showing +ve staining. This data was developed using the same antibody clone in a different buffer formulation containing PBS, BSA, glycerol, and sodium azide (ab133348). Perform heat mediated antigen retrieval with citrate buffer pH 6 before commencing with IHC staining protocol.

Western blot - Anti-Peroxiredoxin 6 antibody [EPR3754] - BSA and Azide free (AB240057)
  • WB

Lab

Western blot - Anti-Peroxiredoxin 6 antibody [EPR3754] - BSA and Azide free (AB240057)

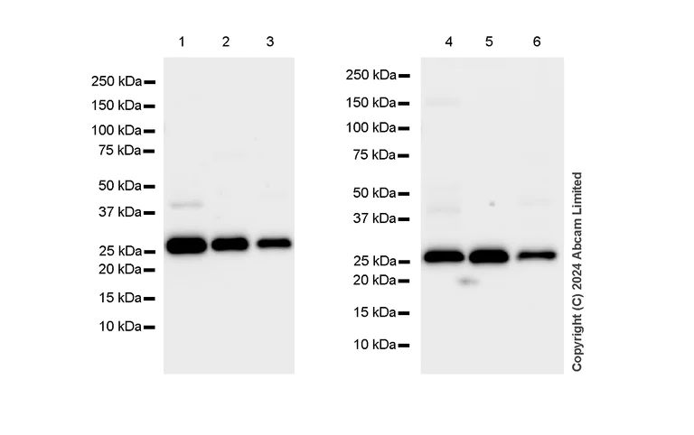
This data was developed using the same antibody clone in a different buffer formulation containing PBS, BSA, glycerol, and sodium azide (ab133348). Blocking/Diluting buffer and concentration : 5% NFDM/TBST

Lanes 1 - 6:

Western blot - Anti-Peroxiredoxin 6 antibody [EPR3754] (<a href='/en-us/products/primary-antibodies/peroxiredoxin-6-antibody-epr3754-ab133348'>ab133348</a>) at 1/1000 dilution

Lanes 1 - 6:

Western blot - Anti-Peroxiredoxin 6 antibody [EPR3754] - BSA and Azide free (ab240057)

Lane 1:

Mouse liver whole cell lysate at 20 µg

Lane 2:

Mouse testis whole cell lysate at 20 µg

Lane 3:

Mouse spleen whole cell lysate at 20 µg

Lane 4:

Rat liver whole cell lysate at 20 µg

Lane 5:

Rat testis whole cell lysate at 20 µg

Lane 6:

Rat spleen whole cell lysate at 20 µg

Secondary

All lanes:

Western blot - Goat Anti-Rabbit IgG H&L (HRP) (<a href='/en-us/products/secondary-antibodies/goat-rabbit-igg-h-l-hrp-ab97051'>ab97051</a>) at 1/20000 dilution

false

Exposure time: 15s

Western blot - Anti-Peroxiredoxin 6 antibody [EPR3754] - BSA and Azide free (AB240057)
  • WB

Lab

Western blot - Anti-Peroxiredoxin 6 antibody [EPR3754] - BSA and Azide free (AB240057)

Lanes 1 - 4 : Merged signal (red and green). Green - ab133348 observed at 25 kDa. Red - loading control, ab9484, observed at 37 kDa.

ab133348 was shown to specifically react with Peroxiredoxin 6 in wild-type HAP1 cells as signal was lost in PRDX6 (Peroxiredoxin 6) knockout cells. Wild-type and PRDX6 (Peroxiredoxin 6) knockout samples were subjected to SDS-PAGE. ab133348 and ab9484 (Mouse anti-GAPDH loading control) were incubated overnight at 4°C at 1/1000 dilution and 1/20000 dilution respectively. Blots were developed with Goat anti-Rabbit IgG H&L (IRDye® 800CW) preabsorbed ab216773 and Goat anti-Mouse IgG H&L (IRDye® 680RD) preabsorbed ab216776 secondary antibodies at 1/20000 dilution for 1 hour at room temperature before imaging.

All lanes:

Western blot - Anti-Peroxiredoxin 6 antibody [EPR3754] (<a href='/en-us/products/primary-antibodies/peroxiredoxin-6-antibody-epr3754-ab133348'>ab133348</a>) at 1/1000 dilution

Lane 1:

Wild-type HAP1 whole cell lysate at 20 µg

Lane 2:

PRDX6 (Peroxiredoxin 6) knockout HAP1 whole cell lysate at 20 µg

Lane 3:

A431 whole cell lysate at 20 µg

Lane 4:

PC3 whole cell lysate at 20 µg

Predicted band size: 25 kDa

false

Western blot - Anti-Peroxiredoxin 6 antibody [EPR3754] - BSA and Azide free (AB240057)
  • WB

Collaborator

Western blot - Anti-Peroxiredoxin 6 antibody [EPR3754] - BSA and Azide free (AB240057)

This data was developed using the same antibody in a different buffer formulation (ab133348).

ab133348 was shown to react with PRDX6 in wild-type HAP1 cells in Western blot with loss of signal observed in a PRDX6 knockout cell line. Wild-type HAP1 and PRDX6 knockout cell lysates were subjected to SDS-PAGE. Membranes were blocked in 5% milk in TBST for 1 hr before incubation with ab133348 overnight at 4 °C at a 1/1000 dilution. Blots were incubated with goat anti-rabbit HRP secondary antibodies at 0.2ug/mL before imaging. These data were provided by YCharOS Inc., an open science company with the mission of characterizing commercially available antibody reagents for all human proteins. Abcam and YCharOS are working together to help address the reproducibility crisis by enabling the life science community to better evaluate commercially available antibodies.

All lanes:

Western blot - Anti-Peroxiredoxin 6 antibody [EPR3754] (<a href='/en-us/products/primary-antibodies/peroxiredoxin-6-antibody-epr3754-ab133348'>ab133348</a>) at 1/1000 dilution

Lane 1:

Wild-type HAP1 cell lysate at 20 µg

Lane 2:

PRDX6 knockout HAP1 cell lysate at 20 µg

Predicted band size: 25 kDa

false

Key facts

Host species

Rabbit

Clonality

Monoclonal

Clone number

EPR3754

Isotype

IgG

Carrier free

Yes

Reacts with

Mouse, Rat, Human

Applications

WB, IHC-P

applications

Immunogen

The exact immunogen used to generate this antibody is proprietary information.

Reactivity data

{ "title": "Reactivity Data", "filters": { "stats": ["", "Species", "Dilution Info", "Notes"], "tabs": { "all-applications": {"fullname" : "All Applications", "shortname": "All Applications"}, "IHCP" : {"fullname" : "Immunohistochemistry (Formalin/PFA-fixed paraffin-embedded sections)", "shortname":"IHC-P"}, "IP" : {"fullname" : "Immunoprecipitation", "shortname":"IP"}, "WB" : {"fullname" : "Western blot", "shortname":"WB"} }, "product-promise": { "all": "all", "testedAndGuaranteed": "tested", "guaranteed": "expected", "predicted": "predicted", "notRecommended": "not-recommended" } }, "values": { "Human": { "IHCP-species-checked": "testedAndGuaranteed", "IHCP-species-dilution-info": "", "IHCP-species-notes": "<p></p>", "IP-species-checked": "notRecommended", "IP-species-dilution-info": "", "IP-species-notes": "<p></p>", "WB-species-checked": "testedAndGuaranteed", "WB-species-dilution-info": "", "WB-species-notes": "<p></p>" }, "Mouse": { "IHCP-species-checked": "guaranteed", "IHCP-species-dilution-info": "", "IHCP-species-notes": "<p></p>", "IP-species-checked": "notRecommended", "IP-species-dilution-info": "", "IP-species-notes": "<p></p>", "WB-species-checked": "testedAndGuaranteed", "WB-species-dilution-info": "", "WB-species-notes": "<p></p>" }, "Rat": { "IHCP-species-checked": "guaranteed", "IHCP-species-dilution-info": "", "IHCP-species-notes": "", "IP-species-checked": "notRecommended", "IP-species-dilution-info": "", "IP-species-notes": "", "WB-species-checked": "testedAndGuaranteed", "WB-species-dilution-info": "", "WB-species-notes": "<p></p>" }, "Pig": { "IHCP-species-checked": "predicted", "IHCP-species-dilution-info": "", "IHCP-species-notes": "", "IP-species-checked": "notRecommended", "IP-species-dilution-info": "", "IP-species-notes": "", "WB-species-checked": "predicted", "WB-species-dilution-info": "", "WB-species-notes": "" } } }

Product details

ab240057 is the carrier-free version of ab133348.

Patented technology
Our RabMAb® technology is a patented hybridoma-based technology for making rabbit monoclonal antibodies. For details on our patents, please refer to RabMAb® patents.

What are the advantages of a recombinant monoclonal antibody?
This product is a recombinant monoclonal antibody, which offers several advantages including:

  • - High batch-to-batch consistency and reproducibility
  • - Improved sensitivity and specificity
  • - Long-term security of supply
  • - Animal-free batch production

For more information, read more on recombinant antibodies.

Conjugation ready
Our carrier-free antibodies are typically supplied in a PBS-only formulation, purified and free of BSA, sodium azide and glycerol. This conjugation-ready format is designed for use with fluorochromes, metal isotopes, oligonucleotides, and enzymes, which makes them ideal for antibody labelling, functional and cell-based assays, flow-based assays (e.g. mass cytometry) and Multiplex Imaging applications.

Use our conjugation kits for antibody conjugates that are ready-to-use in as little as 20 minutes with 1 minute hands-on-time and 100% antibody recovery: available for fluorescent dyes, HRP, biotin and gold.

Compatibility
This product is compatible with the Maxpar® Antibody Labeling Kit from Fluidigm, without the need for antibody preparation. Maxpar® is a trademark of Fluidigm Canada Inc.

Properties and storage information

Form
Liquid
Purification technique
Affinity purification Protein A
Storage buffer
pH: 7.2 - 7.4 Constituents: PBS
Shipped at conditions
Blue Ice
Appropriate short-term storage conditions
+4°C
Appropriate long-term storage conditions
+4°C
Storage information
Do Not Freeze

Supplementary information

This supplementary information is collated from multiple sources and compiled automatically.

Peroxiredoxin 6 also known as Prdx6 or peroxiredoxin-6 is a unique member of the peroxiredoxin family. It distinguishes itself by possessing both peroxidase and phospholipase A2 activities. This protein weighs approximately 25 kDa and is ubiquitously expressed in various tissues showing a high concentration in the lung. The expression pattern suggests its importance across different physiological contexts.
Biological function summary

We can understand peroxiredoxin 6 as a versatile enzyme that reduces hydrogen peroxide and organic hydroperoxides. It does not form a complex like some other peroxiredoxins. Instead it acts independently in cellular protection against oxidative stress. This role is mainly due to its peroxidase activity which helps in maintaining cellular redox balance and mitigating oxidative damage.

Pathways

Multiple cellular processes incorporate the enzymatic functions of peroxiredoxin 6. It plays an important role in the antioxidant defense pathway by collaborating with glutathione peroxidase to detoxify hydrogen peroxide. Another major pathway that involves Prdx6 is the phospholipid metabolism where it participates in the repair of oxidatively damaged cell membranes. This protein interacts with cytoplasmic thioredoxin proteins forming a network for managing intracellular reactive oxygen species.

Peroxiredoxin 6 has significant implications. Researchers have linked it to lung cancer where its expression levels correlate with disease progression possibly interacting with oncogenic proteins like NF-kB. In addition peroxiredoxin 6 is associated with neurodegenerative diseases such as Alzheimer’s disease. Its function in oxidative stress regulation might influence the aggregation of proteins like Tau which is a hallmark of Alzheimer's pathology.

Product protocols

For this product, it's our understanding that no specific protocols are required. You can visit:

Target data

Thiol-specific peroxidase that catalyzes the reduction of hydrogen peroxide and organic hydroperoxides to water and alcohols, respectively (PubMed : 10893423, PubMed : 9497358). Can reduce H(2)O(2) and short chain organic, fatty acid, and phospholipid hydroperoxides (PubMed : 10893423). Also has phospholipase activity, can therefore either reduce the oxidized sn-2 fatty acyl group of phospholipids (peroxidase activity) or hydrolyze the sn-2 ester bond of phospholipids (phospholipase activity) (PubMed : 10893423, PubMed : 26830860). These activities are dependent on binding to phospholipids at acidic pH and to oxidized phospholipds at cytosolic pH (PubMed : 10893423). Plays a role in cell protection against oxidative stress by detoxifying peroxides and in phospholipid homeostasis (PubMed : 10893423). Exhibits acyl-CoA-dependent lysophospholipid acyltransferase which mediates the conversion of lysophosphatidylcholine (1-acyl-sn-glycero-3-phosphocholine or LPC) into phosphatidylcholine (1,2-diacyl-sn-glycero-3-phosphocholine or PC) (PubMed : 26830860). Shows a clear preference for LPC as the lysophospholipid and for palmitoyl CoA as the fatty acyl substrate (PubMed : 26830860).
See full target information PRDX6

Publications (1)

Recent publications for all applications. Explore the full list and refine your search

Frontiers in molecular biosciences 9:1055356 PubMed36518851

2022

The copper transporter CTR1 and cisplatin accumulation at the single-cell level by LA-ICP-TOFMS.

Applications

Unspecified application

Species

Unspecified reactive species

Anna Schoeberl,Michael Gutmann,Sarah Theiner,Mario Corte-Rodríguez,Gabriel Braun,Petra Vician,Walter Berger,Gunda Koellensperger
View all publications

Product promise

We are committed to supporting your work with high-quality reagents, and we're here for you every step of the way. In the unlikely event that one of our products does not perform as expected, you're protected by our Product Promise.
For full details, please see our Terms & Conditions

Please note: All products are 'FOR RESEARCH USE ONLY. NOT FOR USE IN DIAGNOSTIC OR THERAPEUTIC PROCEDURES'.

For licensing inquiries, please contact partnerships@abcam.com