JavaScript is disabled in your browser. Please enable JavaScript to view this website.
AB92322

Anti-Peroxiredoxin 6 antibody [EPR3755]

Be the first to review this product! Submit a review

|

(2 Publications)

Rabbit Recombinant Monoclonal Peroxiredoxin 6 antibody. Suitable for IP, WB and reacts with Human, Mouse, Rat samples. Cited in 2 publications.

View Alternative Names

AOP2, KIAA0106, PRDX6, Peroxiredoxin-6, 1-Cys peroxiredoxin, 24 kDa protein, Acidic calcium-independent phospholipase A2, Antioxidant protein 2, Glutathione-dependent peroxiredoxin, Liver 2D page spot 40, Lysophosphatidylcholine acyltransferase 5, Non-selenium glutathione peroxidase, Red blood cells page spot 12, 1-Cys PRX, aiPLA2, LPC acyltransferase 5, LPCAT-5, Lyso-PC acyltransferase 5, NSGPx

3 Images
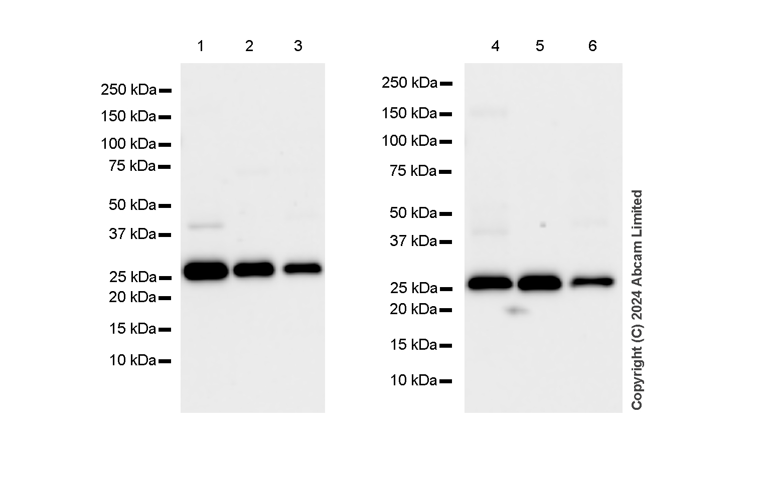
Western blot - Anti-Peroxiredoxin 6 antibody [EPR3755] (AB92322)
  • WB

Unknown

Western blot - Anti-Peroxiredoxin 6 antibody [EPR3755] (AB92322)

All lanes:

Western blot - Anti-Peroxiredoxin 6 antibody [EPR3755] (ab92322) at 1/500 dilution

Lane 1:

HeLa cell lysate at 10 µg

Lane 2:

MCF7 cell lysate at 10 µg

Lane 3:

HepG2 cell lysate at 10 µg

Lane 4:

A549 cell lysate at 10 µg

Secondary

All lanes:

HRP labelled goat anti-rabbit IgG at 1/2000 dilution

Predicted band size: 25 kDa

false

Immunoprecipitation - Anti-Peroxiredoxin 6 antibody [EPR3755] (AB92322)
  • IP

Collaborator

Immunoprecipitation - Anti-Peroxiredoxin 6 antibody [EPR3755] (AB92322)

Immunoprecipitation of PRDX6 in HAP1 cells. Lysates were prepared and immunoprecipitation was performed using 2.0μg of ab92322 pre-coupled to prot.A-Sepharose beads. Samples were washed and processed for western blot with ab133348 at 1/1000. SM=10% starting material; UB=10% unbound fraction; IP=immunoprecipitate. These data were provided by YCharOS Inc., an open science company with the mission of characterizing commercially available antibody reagents for all human proteins. Abcam and YCharOS are working together to help address the reproducibility crisis by enabling the life science community to better evaluate commercially available antibodies.

All lanes:

Immunoprecipitation - Anti-Peroxiredoxin 6 antibody [EPR3755] (ab92322)

Predicted band size: 25 kDa

false

Western blot - Anti-Peroxiredoxin 6 antibody [EPR3755] (AB92322)
  • WB

Collaborator

Western blot - Anti-Peroxiredoxin 6 antibody [EPR3755] (AB92322)

ab92322 was shown to react with PRDX6 in wild-type HAP1 cells in Western blot with loss of signal observed in a PRDX6 knockout cell line. Wild-type HAP1 and PRDX6 knockout cell lysates were subjected to SDS-PAGE. Membranes were blocked in 5% milk in TBST for 1 hr before incubation with ab92322 overnight at 4 °C at a 1/1000 dilution. Blots were incubated with goat anti-rabbit HRP secondary antibodies at 0.2ug/mL before imaging. These data were provided by YCharOS Inc., an open science company with the mission of characterizing commercially available antibody reagents for all human proteins. Abcam and YCharOS are working together to help address the reproducibility crisis by enabling the life science community to better evaluate commercially available antibodies.

All lanes:

Western blot - Anti-Peroxiredoxin 6 antibody [EPR3755] (ab92322) at 1/1000 dilution

Lane 1:

Wild-type HAP1 cell lysate at 20 µg

Lane 2:

PRDX6 knockout HAP1 cell lysate at 20 µg

Predicted band size: 25 kDa

false

  • Carrier free

    Anti-Peroxiredoxin 6 antibody [EPR3755] - BSA and Azide free

Key facts

Host species

Rabbit

Clonality

Monoclonal

Clone number

EPR3755

Isotype

IgG

Carrier free

No

Reacts with

Human

Applications

WB, IP

applications

Immunogen

The exact immunogen used to generate this antibody is proprietary information.

Reactivity data

{ "title": "Reactivity Data", "filters": { "stats": ["", "Species", "Dilution Info", "Notes"], "tabs": { "all-applications": {"fullname" : "All Applications", "shortname": "All Applications"}, "IP" : {"fullname" : "Immunoprecipitation", "shortname":"IP"}, "FlowCyt" : {"fullname" : "Flow Cytometry", "shortname":"Flow Cyt"}, "WB" : {"fullname" : "Western blot", "shortname":"WB"}, "ICCIF" : {"fullname" : "Immunocytochemistry/ Immunofluorescence", "shortname":"ICC/IF"} }, "product-promise": { "all": "all", "testedAndGuaranteed": "tested", "guaranteed": "expected", "predicted": "predicted", "notRecommended": "not-recommended" } }, "values": { "Human": { "IP-species-checked": "testedAndGuaranteed", "IP-species-dilution-info": "", "IP-species-notes": "<p></p>", "FlowCyt-species-checked": "notRecommended", "FlowCyt-species-dilution-info": "", "FlowCyt-species-notes": "<p></p>", "WB-species-checked": "testedAndGuaranteed", "WB-species-dilution-info": "1/500 - 1/1000", "WB-species-notes": "<p></p>", "ICCIF-species-checked": "notRecommended", "ICCIF-species-dilution-info": "", "ICCIF-species-notes": "<p></p>" }, "Mouse": { "IP-species-checked": "predicted", "IP-species-dilution-info": "", "IP-species-notes": "", "FlowCyt-species-checked": "notRecommended", "FlowCyt-species-dilution-info": "", "FlowCyt-species-notes": "", "WB-species-checked": "guaranteed", "WB-species-dilution-info": "", "WB-species-notes": "<p></p>", "ICCIF-species-checked": "notRecommended", "ICCIF-species-dilution-info": "", "ICCIF-species-notes": "" }, "Rat": { "IP-species-checked": "predicted", "IP-species-dilution-info": "", "IP-species-notes": "", "FlowCyt-species-checked": "notRecommended", "FlowCyt-species-dilution-info": "", "FlowCyt-species-notes": "", "WB-species-checked": "guaranteed", "WB-species-dilution-info": "", "WB-species-notes": "<p></p>", "ICCIF-species-checked": "notRecommended", "ICCIF-species-dilution-info": "", "ICCIF-species-notes": "" } } }

Product details

Patented technology
Our RabMAb® technology is a patented hybridoma-based technology for making rabbit monoclonal antibodies. For details on our patents, please refer to RabMAb® patents.

What are the advantages of a recombinant monoclonal antibody?
This product is a recombinant monoclonal antibody, which offers several advantages including:

  • - High batch-to-batch consistency and reproducibility
  • - Improved sensitivity and specificity
  • - Long-term security of supply
  • - Animal-free batch production

For more information, read more on recombinant antibodies.

Properties and storage information

Form
Liquid
Purification technique
Affinity purification Protein A
Storage buffer
pH: 7.2 - 7.4 Preservative: 0.01% Sodium azide Constituents: 50% Tissue culture supernatant, 40% Glycerol (glycerin, glycerine), 9% PBS, 0.05% BSA
Shipped at conditions
Blue Ice
Appropriate short-term storage conditions
+4°C
Appropriate long-term storage conditions
-20°C
Storage information
Stable for 12 months at -20°C

Supplementary information

This supplementary information is collated from multiple sources and compiled automatically.

Peroxiredoxin 6 also known as Prdx6 or peroxiredoxin-6 is a unique member of the peroxiredoxin family. It distinguishes itself by possessing both peroxidase and phospholipase A2 activities. This protein weighs approximately 25 kDa and is ubiquitously expressed in various tissues showing a high concentration in the lung. The expression pattern suggests its importance across different physiological contexts.
Biological function summary

We can understand peroxiredoxin 6 as a versatile enzyme that reduces hydrogen peroxide and organic hydroperoxides. It does not form a complex like some other peroxiredoxins. Instead it acts independently in cellular protection against oxidative stress. This role is mainly due to its peroxidase activity which helps in maintaining cellular redox balance and mitigating oxidative damage.

Pathways

Multiple cellular processes incorporate the enzymatic functions of peroxiredoxin 6. It plays an important role in the antioxidant defense pathway by collaborating with glutathione peroxidase to detoxify hydrogen peroxide. Another major pathway that involves Prdx6 is the phospholipid metabolism where it participates in the repair of oxidatively damaged cell membranes. This protein interacts with cytoplasmic thioredoxin proteins forming a network for managing intracellular reactive oxygen species.

Peroxiredoxin 6 has significant implications. Researchers have linked it to lung cancer where its expression levels correlate with disease progression possibly interacting with oncogenic proteins like NF-kB. In addition peroxiredoxin 6 is associated with neurodegenerative diseases such as Alzheimer’s disease. Its function in oxidative stress regulation might influence the aggregation of proteins like Tau which is a hallmark of Alzheimer's pathology.

Product protocols

For this product, it's our understanding that no specific protocols are required. You can visit:

Target data

Thiol-specific peroxidase that catalyzes the reduction of hydrogen peroxide and organic hydroperoxides to water and alcohols, respectively (PubMed : 10893423, PubMed : 9497358). Can reduce H(2)O(2) and short chain organic, fatty acid, and phospholipid hydroperoxides (PubMed : 10893423). Also has phospholipase activity, can therefore either reduce the oxidized sn-2 fatty acyl group of phospholipids (peroxidase activity) or hydrolyze the sn-2 ester bond of phospholipids (phospholipase activity) (PubMed : 10893423, PubMed : 26830860). These activities are dependent on binding to phospholipids at acidic pH and to oxidized phospholipds at cytosolic pH (PubMed : 10893423). Plays a role in cell protection against oxidative stress by detoxifying peroxides and in phospholipid homeostasis (PubMed : 10893423). Exhibits acyl-CoA-dependent lysophospholipid acyltransferase which mediates the conversion of lysophosphatidylcholine (1-acyl-sn-glycero-3-phosphocholine or LPC) into phosphatidylcholine (1,2-diacyl-sn-glycero-3-phosphocholine or PC) (PubMed : 26830860). Shows a clear preference for LPC as the lysophospholipid and for palmitoyl CoA as the fatty acyl substrate (PubMed : 26830860).
See full target information PRDX6

Publications (2)

Recent publications for all applications. Explore the full list and refine your search

Frontiers in neurology 6:68 PubMed25870583

2015

Multivariate analysis of traumatic brain injury: development of an assessment score.

Applications

Unspecified application

Species

Unspecified reactive species

John E Buonora,Angela M Yarnell,Rachel C Lazarus,Michael Mousseau,Lawrence L Latour,Sandro B Rizoli,Andrew J Baker,Shawn G Rhind,Ramon Diaz-Arrastia,Gregory P Mueller

Molecular cancer 9:254 PubMed20860785

2010

Malignant transformation in a defined genetic background: proteome changes displayed by 2D-PAGE.

Applications

WB

Species

Human

Stephanie M Pütz,Fotini Vogiatzi,Thorsten Stiewe,Albert Sickmann
View all publications

Product promise

We are committed to supporting your work with high-quality reagents, and we're here for you every step of the way. In the unlikely event that one of our products does not perform as expected, you're protected by our Product Promise.
For full details, please see our Terms & Conditions

Please note: All products are 'FOR RESEARCH USE ONLY. NOT FOR USE IN DIAGNOSTIC OR THERAPEUTIC PROCEDURES'.

For licensing inquiries, please contact partnerships@abcam.com