JavaScript is disabled in your browser. Please enable JavaScript to view this website.
AB196827

Anti-PEX10 antibody

Be the first to review this product! Submit a review

|

(2 Publications)

Rabbit Polyclonal PEX10 antibody. Suitable for WB, IHC-P and reacts with Human samples. Cited in 2 publications. Immunogen corresponding to Synthetic Peptide within Human PEX10.

View Alternative Names

RNF69, PEX10, Peroxisome biogenesis factor 10, Peroxin-10, Peroxisomal biogenesis factor 10, Peroxisome assembly protein 10, RING finger protein 69

2 Images
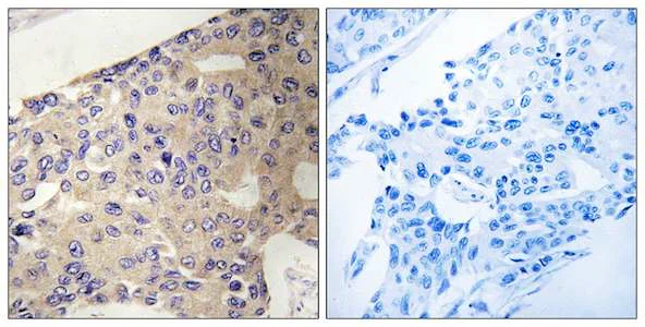
Immunohistochemistry (Formalin/PFA-fixed paraffin-embedded sections) - Anti-PEX10 antibody (AB196827)
  • IHC-P

Supplier Data

Immunohistochemistry (Formalin/PFA-fixed paraffin-embedded sections) - Anti-PEX10 antibody (AB196827)

Immunohistochemical analysis of paraffin-embedded Human breast carcinoma tissue labeling PEX10 with ab196827 at 1/50. Right panel was preincubated with blocking peptide.

Western blot - Anti-PEX10 antibody (AB196827)
  • WB

Supplier Data

Western blot - Anti-PEX10 antibody (AB196827)

All lanes:

Western blot - Anti-PEX10 antibody (ab196827) at 1/500 dilution

Lane 1:

Jurkat cell extract

Lane 2:

Jurkat cell extract with synthesized peptide

Predicted band size: 37 kDa

false

Key facts

Host species

Rabbit

Clonality

Polyclonal

Isotype

IgG

Carrier free

No

Reacts with

Human

Applications

WB, IHC-P

applications

Immunogen

Synthetic Peptide within Human PEX10. The exact immunogen used to generate this antibody is proprietary information.

O60683

Reactivity data

{ "title": "Reactivity Data", "filters": { "stats": ["", "Species", "Dilution Info", "Notes"], "tabs": { "all-applications": {"fullname" : "All Applications", "shortname": "All Applications"}, "WB" : {"fullname" : "Western blot", "shortname":"WB"}, "IHCP" : {"fullname" : "Immunohistochemistry (Formalin/PFA-fixed paraffin-embedded sections)", "shortname":"IHC-P"} }, "product-promise": { "all": "all", "testedAndGuaranteed": "tested", "guaranteed": "expected", "predicted": "predicted", "notRecommended": "not-recommended" } }, "values": { "Human": { "WB-species-checked": "testedAndGuaranteed", "WB-species-dilution-info": "1/500 - 1/3000", "WB-species-notes": "<p></p>", "IHCP-species-checked": "testedAndGuaranteed", "IHCP-species-dilution-info": "1/50 - 1/100", "IHCP-species-notes": "<p></p>" } } }

Properties and storage information

Form
Liquid
Purification technique
Affinity purification Immunogen
Storage buffer
pH: 7.4 Preservative: 0.02% Sodium azide Constituents: PBS, 50% Glycerol (glycerin, glycerine), 0.87% Sodium chloride
Shipped at conditions
Blue Ice
Appropriate short-term storage duration
1-2 weeks
Appropriate short-term storage conditions
+4°C
Appropriate long-term storage conditions
-20°C
Aliquoting information
Upon delivery aliquot
Storage information
Avoid freeze / thaw cycle

Supplementary information

This supplementary information is collated from multiple sources and compiled automatically.

PEX10 also known as Peroxisome Biogenesis Factor 10 is an important component in the formation and maintenance of peroxisomes small organelles involved in various metabolic processes. This protein is encoded by the PEX10 gene and has a mass of approximately 39 kDa. PEX10 is primarily expressed in the peroxisomes of liver and kidney cells where it plays a mechanical role in importing peroxisomal matrix proteins. It acts through interactions that allow the development and functionality of peroxisomes.
Biological function summary

PEX10 is critical for peroxisome assembly and stability. It is part of a multiprotein complex working closely with other peroxins like PEX2 and PEX12 in facilitating the import of matrix proteins necessary for peroxisomal function. This ensures the proper enzymatic activities within peroxisomes which are essential for lipid metabolism and detoxification processes. Through its role in these metabolic functions PEX10 helps maintain cellular homeostasis.

Pathways

PEX10 significantly participates in peroxisome biogenesis and maintenance pathways. It engages in interactions within the peroxin complex coordinating with other proteins like PEX5 and PEX7 which are involved in receptor recycling and protein import. These pathways are important for maintaining lipid metabolism and reactive oxygen species detoxification impacting various aspects of cellular metabolic efficiency.

Mutations or dysfunction in PEX10 are linked to peroxisomal biogenesis disorders such as Zellweger spectrum disorders (ZSD). These disorders arise due to defective peroxisomal protein import leading to severe metabolic dysfunctions. PEX10's interaction with proteins like PEX13 plays a part in these disorders highlighting specific molecular disruptions that can give rise to clinical symptoms associated with ZSD. Understanding PEX10's role provides insight into potential therapeutic targets for treating these conditions.

Product protocols

For this product, it's our understanding that no specific protocols are required. You can visit:

Target data

E3 ubiquitin-protein ligase component of a retrotranslocation channel required for peroxisome organization by mediating export of the PEX5 receptor from peroxisomes to the cytosol, thereby promoting PEX5 recycling (PubMed : 24662292). The retrotranslocation channel is composed of PEX2, PEX10 and PEX12; each subunit contributing transmembrane segments that coassemble into an open channel that specifically allows the passage of PEX5 through the peroxisomal membrane (By similarity). PEX10 also regulates PEX5 recycling by acting as a E3 ubiquitin-protein ligase (PubMed : 24662292). When PEX5 recycling is compromised, PEX10 catalyzes polyubiquitination of PEX5 during its passage through the retrotranslocation channel, leading to its degradation (By similarity).
See full target information PEX10

Publications (2)

Recent publications for all applications. Explore the full list and refine your search

Autophagy 19:1781-1802 PubMed36541703

2022

PEX13 prevents pexophagy by regulating ubiquitinated PEX5 and peroxisomal ROS.

Applications

Unspecified application

Species

Unspecified reactive species

Nicholas D Demers,Victoria Riccio,Doo Sin Jo,Sushil Bhandari,Kelsey B Law,Weifang Liao,Choy Kim,G Angus McQuibban,Seong-Kyu Choe,Dong-Hyung Cho,Peter K Kim

Human reproduction (Oxford, England) 37:1229-1243 PubMed35526154

2022

Taurine and its transporter TAUT positively affect male reproduction and early embryo development.

Applications

Unspecified application

Species

Unspecified reactive species

Hua Wu,Xinyue Zhang,Jihong Yang,Ting Feng,Yao Chen,Ruizhi Feng,Hui Wang,Yun Qian
View all publications

Product promise

We are committed to supporting your work with high-quality reagents, and we're here for you every step of the way. In the unlikely event that one of our products does not perform as expected, you're protected by our Product Promise.
For full details, please see our Terms & Conditions

Please note: All products are 'FOR RESEARCH USE ONLY. NOT FOR USE IN DIAGNOSTIC OR THERAPEUTIC PROCEDURES'.

For licensing inquiries, please contact partnerships@abcam.com