JavaScript is disabled in your browser. Please enable JavaScript to view this website.
AB227485

Anti-PF4 antibody [EPR17279-1] - BSA and Azide free

Be the first to review this product! Submit a review

|

(1 Publication)

Rabbit Recombinant Monoclonal PF4 antibody. Carrier free. Suitable for IHC-P, IP, WB and reacts with Mouse samples. Cited in 1 publication.

View Alternative Names

Cxcl4, Scyb4, Pf4, Platelet factor 4, PF-4, C-X-C motif chemokine 4

3 Images
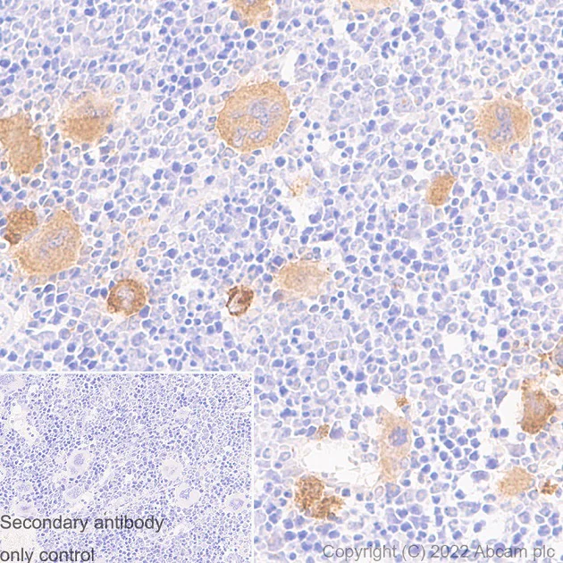
Immunohistochemistry (Formalin/PFA-fixed paraffin-embedded sections) - Anti-PF4 antibody [EPR17279-1] - BSA and Azide free (AB227485)
  • IHC-P

Lab

Immunohistochemistry (Formalin/PFA-fixed paraffin-embedded sections) - Anti-PF4 antibody [EPR17279-1] - BSA and Azide free (AB227485)

Immunohistochemical analysis of paraffin-embedded mouse bone marrow labelling PF4 with ab182988 at 1/20000 dilution (0.03 μg/ml) followed by LeicaDS9800 (Bond™ Polymer Refine Detection) secondary antibody at a ready to use concentration. Positive staining on the megakaryocytes in mouse bone marrow. The section was incubated with ab182988 for 10 mins at room temperature. The immunostaining was performed on a Leica Biosystems BOND® RX instrument. Counterstained with Hematoxylin. Heat mediated antigen retrieval with Citrate buffer (pH 6.0, epitope retrieval solution 1) for 20 mins. This data was developed using the same antibody clone in a different buffer formulation containing PBS, BSA, glycerol, and sodium azide (ab182988).

Western blot - Anti-PF4 antibody [EPR17279-1] - BSA and Azide free (AB227485)
  • WB

Supplier Data

Western blot - Anti-PF4 antibody [EPR17279-1] - BSA and Azide free (AB227485)

Blocking buffer : 5% NFDM/TBST.

Exposure times :

Lane 1 : 3 minutes;

Lane 2 : 1 second.

This data was developed using the same antibody clone in a different buffer formulation containing PBS, BSA, glycerol, and sodium azide (ab182988).

All lanes:

Western blot - Anti-PF4 antibody [EPR17279-1] (<a href='/en-us/products/primary-antibodies/pf4-antibody-epr17279-1-ab182988'>ab182988</a>) at 1/1000 dilution

Lane 1:

Mouse serum lysate at 20 µg

Lane 2:

Mouse platelet lysate at 20 µg

Secondary

All lanes:

Western blot - Goat Anti-Rabbit IgG H&L (HRP) (<a href='/en-us/products/secondary-antibodies/goat-rabbit-igg-h-l-hrp-ab97051'>ab97051</a>) at 1/20000 dilution

Predicted band size: 11 kDa

Observed band size: 11 kDa

false

Immunoprecipitation - Anti-PF4 antibody [EPR17279-1] - BSA and Azide free (AB227485)
  • IP

Supplier Data

Immunoprecipitation - Anti-PF4 antibody [EPR17279-1] - BSA and Azide free (AB227485)

PF4 was immunoprecipitated from 0.35 mg mouse serum lysate with ab182988 at 1/30 dilution. Western blot was performed from the immunoprecipitate using ab182988 at 1/1000 dilution. VeriBlot for IP Detection Reagent (HRP) (ab131366) was used for detection at 1/10,000 dilution.
Lane 1 : Mouse serum lysate 10 μg (Input).
Lane 2 : ab182988 IP in mouse serum lysate (+).
Lane 3 : Rabbit monoclonal IgG (ab172730) instead of ab182988 in mouse serum (-).
Blocking and dilution buffer and concentration : 5% NFDM/TBST.
Exposure time : 1 second.

This data was developed using the same antibody clone in a different buffer formulation containing PBS, BSA, glycerol, and sodium azide (ab182988).

All lanes:

Immunoprecipitation - Anti-PF4 antibody [EPR17279-1] (<a href='/en-us/products/primary-antibodies/pf4-antibody-epr17279-1-ab182988'>ab182988</a>)

Predicted band size: 11 kDa

Observed band size: 11 kDa

false

Key facts

Host species

Rabbit

Clonality

Monoclonal

Clone number

EPR17279-1

Isotype

IgG

Carrier free

Yes

Reacts with

Mouse

Applications

WB, IP, IHC-P

applications

Immunogen

The exact immunogen used to generate this antibody is proprietary information.

Specificity

Not suitable for Human.

Reactivity data

{ "title": "Reactivity Data", "filters": { "stats": ["", "Species", "Dilution Info", "Notes"], "tabs": { "all-applications": {"fullname" : "All Applications", "shortname": "All Applications"}, "FlowCytIntra" : {"fullname" : "Flow Cytometry (Intracellular)", "shortname":"Flow Cyt (Intra)"}, "ICCIF" : {"fullname" : "Immunocytochemistry/ Immunofluorescence", "shortname":"ICC/IF"}, "IHCP" : {"fullname" : "Immunohistochemistry (Formalin/PFA-fixed paraffin-embedded sections)", "shortname":"IHC-P"}, "IP" : {"fullname" : "Immunoprecipitation", "shortname":"IP"}, "WB" : {"fullname" : "Western blot", "shortname":"WB"} }, "product-promise": { "all": "all", "testedAndGuaranteed": "tested", "guaranteed": "expected", "predicted": "predicted", "notRecommended": "not-recommended" } }, "values": { "Human": { "FlowCytIntra-species-checked": "notRecommended", "FlowCytIntra-species-dilution-info": "", "FlowCytIntra-species-notes": "<p></p>", "ICCIF-species-checked": "notRecommended", "ICCIF-species-dilution-info": "", "ICCIF-species-notes": "<p></p>", "IHCP-species-checked": "notRecommended", "IHCP-species-dilution-info": "", "IHCP-species-notes": "<p></p>", "IP-species-checked": "notRecommended", "IP-species-dilution-info": "", "IP-species-notes": "", "WB-species-checked": "notRecommended", "WB-species-dilution-info": "", "WB-species-notes": "" }, "Mouse": { "FlowCytIntra-species-checked": "notRecommended", "FlowCytIntra-species-dilution-info": "", "FlowCytIntra-species-notes": "", "ICCIF-species-checked": "notRecommended", "ICCIF-species-dilution-info": "", "ICCIF-species-notes": "", "IHCP-species-checked": "testedAndGuaranteed", "IHCP-species-dilution-info": "", "IHCP-species-notes": "<p></p>", "IP-species-checked": "testedAndGuaranteed", "IP-species-dilution-info": "", "IP-species-notes": "<p></p>", "WB-species-checked": "testedAndGuaranteed", "WB-species-dilution-info": "", "WB-species-notes": "<p></p>" } } }

Product details

ab227485 is the carrier-free version of ab182988.

Patented technology
Our RabMAb® technology is a patented hybridoma-based technology for making rabbit monoclonal antibodies. For details on our patents, please refer to RabMAb® patents.

What are the advantages of a recombinant monoclonal antibody?
This product is a recombinant monoclonal antibody, which offers several advantages including:

  • - High batch-to-batch consistency and reproducibility
  • - Improved sensitivity and specificity
  • - Long-term security of supply
  • - Animal-free batch production

For more information, read more on recombinant antibodies.

Conjugation ready
Our carrier-free antibodies are typically supplied in a PBS-only formulation, purified and free of BSA, sodium azide and glycerol. This conjugation-ready format is designed for use with fluorochromes, metal isotopes, oligonucleotides, and enzymes, which makes them ideal for antibody labelling, functional and cell-based assays, flow-based assays (e.g. mass cytometry) and Multiplex Imaging applications.

Use our conjugation kits for antibody conjugates that are ready-to-use in as little as 20 minutes with 1 minute hands-on-time and 100% antibody recovery: available for fluorescent dyes, HRP, biotin and gold.

Compatibility
This product is compatible with the Maxpar® Antibody Labeling Kit from Fluidigm, without the need for antibody preparation. Maxpar® is a trademark of Fluidigm Canada Inc.

Properties and storage information

Form
Liquid
Purification technique
Affinity purification Protein A
Storage buffer
pH: 7.2 - 7.4 Constituents: PBS
Shipped at conditions
Blue Ice
Appropriate short-term storage conditions
+4°C
Appropriate long-term storage conditions
+4°C
Storage information
Do Not Freeze

Supplementary information

This supplementary information is collated from multiple sources and compiled automatically.

The protein Platelet Factor 4 (PF4) also known as CXCL4 is a member of the chemokine (C-X-C motif) ligand family. This small protein has a molecular weight of approximately 7.8 kDa. PF4 is mainly expressed in megakaryocytes and stored in the alpha granules of platelets. During platelet activation PF4 releases into the bloodstream where it interacts with other proteins and cell types. Researchers measure PF4 levels with methods such as PF4 ELISA to study its expression and functions under various physiological and pathological conditions.
Biological function summary

PF4 plays an important role in modulating the immune response and coagulation processes. PF4 is not part of a stable protein complex but can interact dynamically with heparin on the surface of endothelial cells and glycosaminoglycans. It inhibits the action of heparin promoting clot formation and angiogenesis. PF4 also attracts and activates different types of leukocytes and can regulate inflammatory processes influencing how the immune system responds to injury.

Pathways

PF4 significantly interacts with both the coagulation and inflammation pathways. In the coagulation pathway PF4 acts to neutralize heparin-like molecules thereby enhancing thrombosis. It works closely with proteins such as thrombin and fibrinogen contributing to the blood clot cascade. Within the inflammatory pathway PF4's chemokine activity helps direct leukocytes to sites of tissue damage or infection linking it to cytokines and other chemokines that mediate immune responses.

Researchers associate PF4 with conditions such as thrombosis and autoimmune pathologies. In thrombosis the overexpression of PF4 can lead to excessive clot formation pointing to its interaction with proteins like thrombin. PF4 also plays a role in heparin-induced thrombocytopenia (HIT) a disorder where the immune system mistakenly produces antibodies against heparin-PF4 complexes further indicating its direct involvement with immune and coagulation pathways.

Product protocols

For this product, it's our understanding that no specific protocols are required. You can visit:

Target data

Chemokine released during platelet aggregation that plays a role in different biological processes including hematopoiesis, cell proliferation, differentiation, and activation. Acts via different functional receptors including CCR1, CXCR3A or CXCR3B. Upon interaction with CXCR3A receptor, induces activated T-lymphocytes migration mediated via downstream Ras/extracellular signal-regulated kinase (ERK) signaling. Neutralizes the anticoagulant effect of heparin by binding more strongly to heparin than to the chondroitin-4-sulfate chains of the carrier molecule. Plays a role in the inhibition of hematopoiesis and in the maintenance of hematopoietic stem cell (HSC) quiescence. Chemotactic for neutrophils and monocytes via CCR1. Inhibits endothelial cell proliferation. In cooperation with toll-like receptor 8/TLR8, induces chromatin remodeling and activates inflammatory gene expression via the TBK1-IRF5 axis. In addition, induces myofibroblast differentiation and collagen synthesis in different precursor cells, including endothelial cells, by stimulating endothelial-to-mesenchymal transition. Interacts with thrombomodulin/THBD to enhance the activation of protein C and thus potentiates its anticoagulant activity.
See full target information Pf4

Publications (1)

Recent publications for all applications. Explore the full list and refine your search

Cell death & disease 14:725 PubMed37938546

2023

Crosstalk with lung fibroblasts shapes the growth and therapeutic response of mesothelioma cells.

Applications

Unspecified application

Species

Unspecified reactive species

Yakinthi Chrisochoidou,Rajat Roy,Pooyeh Farahmand,Guadalupe Gonzalez,Jennifer Doig,Lukas Krasny,Ella F Rimmer,Anne E Willis,Marion MacFarlane,Paul H Huang,Neil O Carragher,Alison F Munro,Daniel J Murphy,Kirill Veselkov,Michael J Seckl,Miriam F Moffatt,William O C Cookson,Olivier E Pardo
View all publications

Product promise

We are committed to supporting your work with high-quality reagents, and we're here for you every step of the way. In the unlikely event that one of our products does not perform as expected, you're protected by our Product Promise.
For full details, please see our Terms & Conditions

Please note: All products are 'FOR RESEARCH USE ONLY. NOT FOR USE IN DIAGNOSTIC OR THERAPEUTIC PROCEDURES'.

For licensing inquiries, please contact partnerships@abcam.com