JavaScript is disabled in your browser. Please enable JavaScript to view this website.
AB303495

Anti-PF4 antibody [EPR26306-65] - BSA and Azide free

  • BOND RX™ Validated
  • KO Validated
  • RabMAb
  • Recombinant
  • What is this?

Be the first to review this product! Submit a review

|

(0 Publication)

Rabbit Recombinant Monoclonal PF4 antibody. Carrier free. Suitable for WB, IHC-P, ICC/IF, Flow Cyt (Intra), IP and reacts with Mouse samples.

View Alternative Names

Cxcl4, Scyb4, Pf4, Platelet factor 4, PF-4, C-X-C motif chemokine 4

7 Images
Immunohistochemistry (Formalin/PFA-fixed paraffin-embedded sections) - Anti-PF4 antibody [EPR26306-65] - BSA and Azide free (AB303495)
  • IHC-P

Supplier Data

Immunohistochemistry (Formalin/PFA-fixed paraffin-embedded sections) - Anti-PF4 antibody [EPR26306-65] - BSA and Azide free (AB303495)

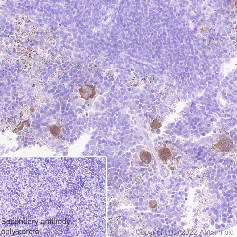
This data was developed using ab303494, the same antibody clone in a different buffer formulation.Immunohistochemical analysis of paraffin-embedded Mouse spleen tissue labeling PF4 with ab303494 at 1/5000 (0.09 ug/ml) followed by a ready to use Goat Anti-Rabbit IgG H&L (HRP polymer). Positive staining on megakaryocytes and platelets of mouse spleen (PMID : 11468158). The section was incubated with ab303494 at 4°C overnight. Counterstained with Hematoxylin. Secondary antibody only control : Secondary antibody is a ready to use Goat Anti-Rabbit IgG H&L (HRP polymer).Heat mediated antigen retrieval with Tris-EDTA buffer (pH 9.0, epitope retrieval solution2) for 20 mins

Immunohistochemistry (Formalin/PFA-fixed paraffin-embedded sections) - Anti-PF4 antibody [EPR26306-65] - BSA and Azide free (AB303495)
  • IHC-P

Supplier Data

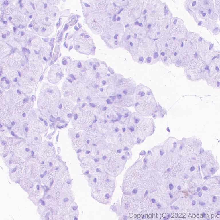
Immunohistochemistry (Formalin/PFA-fixed paraffin-embedded sections) - Anti-PF4 antibody [EPR26306-65] - BSA and Azide free (AB303495)

This data was developed using ab303494, the same antibody clone in a different buffer formulation.Immunohistochemical analysis of paraffin-embedded Mouse pancreas tissue labeling PF4 with ab303494 at 1/5000 (0.09 ug/ml) followed by a ready to use Goat Anti-Rabbit IgG H&L (HRP polymer). Negative control : No staining on mouse pancreas.The section was incubated with ab303494 at 4°C overnight. Counterstained with Hematoxylin. Secondary antibody only control : Secondary antibody is a ready to use Goat Anti-Rabbit IgG H&L (HRP polymer).Heat mediated antigen retrieval with Tris-EDTA buffer (pH 9.0, epitope retrieval solution2) for 20 mins

Immunocytochemistry/ Immunofluorescence - Anti-PF4 antibody [EPR26306-65] - BSA and Azide free (AB303495)
  • ICC/IF

Supplier Data

Immunocytochemistry/ Immunofluorescence - Anti-PF4 antibody [EPR26306-65] - BSA and Azide free (AB303495)

This data was developed using ab303494, the same antibody clone in a different buffer formulation. Immunofluorescent analysis of 4% Paraformaldehyde-fixed, 0.1% TritonX-100 permeabilized mouse splenocytes cells labelling PF4 with ab303494 at 1/50 (9.0 ug/ml) dilution, followed by ab150081 Goat Anti-Rabbit IgG H&L (Alexa Fluor® 488) preadsorbed antibody at 1/1000 2 ug/ml dilution (Green). Confocal image showing cytoplasmic and membranous staining in subsets of mouse splenocytes. The image was taken with a confocal microscope (Leica-Microsystems, TCS SP8). is observed. ab195889 Anti-alpha Tubulin mouse monoclonal antibody - Microtubule Marker (Alexa Fluor® 594) was used to counterstain tubulin at 1/200 2.5 ug/ml dilution (Red). The Nuclear counterstain was DAPI (Blue). Secondary antibody only control : Secondary antibody is ab150081 Goat Anti-Rabbit IgG H&L (Alexa Fluor® 488) preadsorbed at 1/1000 2 ug/ml dilution.

Flow Cytometry (Intracellular) - Anti-PF4 antibody [EPR26306-65] - BSA and Azide free (AB303495)
  • Flow Cyt (Intra)

Supplier Data

Flow Cytometry (Intracellular) - Anti-PF4 antibody [EPR26306-65] - BSA and Azide free (AB303495)

This data was developed using ab303494, the same antibody clone in a different buffer formulation.Flow cytometric analysis of 2% paraformaldehyde fixed 0.1% Tween-20 permeabilized Mouse blood cells cells labelling PF4 with ab303494 at 1/500 dilution (0.1ug)/ Right (Red) compared with a Rabbit monoclonal IgG (ab172730) / Left isotype control and an unlabelled control (cells without incubation with primary antibody and secondary antibody) (Blue). A Goat Anti-Rabbit IgG (Alexa Fluor® 488, ab150081) at 1/2000 dilution was used as the secondary antibody. Cells were stained with anti-CD41 conjugated to Alexa Fluor® 647. Fixed with 2% PFA for 10 min followed by intracellularly staining with rabbit IgG or ab303494.

Immunohistochemistry (Formalin/PFA-fixed paraffin-embedded sections) - Anti-PF4 antibody [EPR26306-65] - BSA and Azide free (AB303495)
  • IHC-P

Lab

Immunohistochemistry (Formalin/PFA-fixed paraffin-embedded sections) - Anti-PF4 antibody [EPR26306-65] - BSA and Azide free (AB303495)

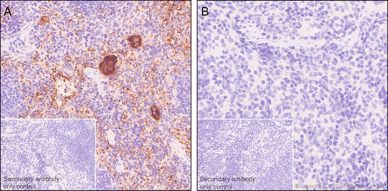
This data was developed using ab303494, the same antibody clone in a different buffer formulation. Immunohistochemical analysis of paraffin-embedded ((A) Bone marrow tissue from wild-type C57BL/6JGpt mice (B) Bone marrow tissue from PF4 knockout mice labeling PF4 with ab303494 at 1/5000 dilution (0.11 µg/mL), followed by a ready to use LeicaDS9800 (Bond™ Polymer Refine Detection). Antigen retrieval  was heat mediated  with Citrate buffer (pH 6.0, Epitope Retrieval Solution 1) for 20 mins. Counterstain was hematoxylin. Positive staining on (A) Bone marrow tissue from wild-type C57BL/6JGpt mice and no staining on (B) Bone marrow tissue from PF4 knockout mice. The section was incubated with ab303494 for 30 mins at room temperature. The immunostaining was performed on a Leica Biosystems BOND® RX instrument. The tissue samples were kindly provided by GemPharmatech. C57BL/6JGpt wildtype mice and Pf4-KO homozygous mice (Strain ID : T011518).

Immunohistochemistry (Formalin/PFA-fixed paraffin-embedded sections) - Anti-PF4 antibody [EPR26306-65] - BSA and Azide free (AB303495)
  • IHC-P

Lab

Immunohistochemistry (Formalin/PFA-fixed paraffin-embedded sections) - Anti-PF4 antibody [EPR26306-65] - BSA and Azide free (AB303495)

This data was developed using ab303494, the same antibody clone in a different buffer formulation. Immunohistochemical analysis of paraffin-embedded (A) Spleen tissue from wild-type C57BL/6JGpt mice (B) Spleen tissue from PF4 knockout mice labeling PF4 with ab303494 at 1/5000 dilution (0.11 µg/mL), followed by a ready to use LeicaDS9800 (Bond™ Polymer Refine Detection). Antigen retrieval  was heat mediated  with Citrate buffer (pH 6.0, Epitope Retrieval Solution 1) for 20 mins. Counterstain was hematoxylin. Positive staining on (A) Spleen tissue from wild-type C57BL/6JGpt mice and no staining on (B) Spleen tissue from PF4 knockout mice. The section was incubated with ab303494 for 30 mins at room temperature. The immunostaining was performed on a Leica Biosystems BOND® RX instrument. The tissue samples were kindly provided by GemPharmatech. C57BL/6JGpt wildtype mice and Pf4-KO homozygous mice (Strain ID : T011518).

Western blot - Anti-PF4 antibody [EPR26306-65] - BSA and Azide free (AB303495)
  • WB

Lab

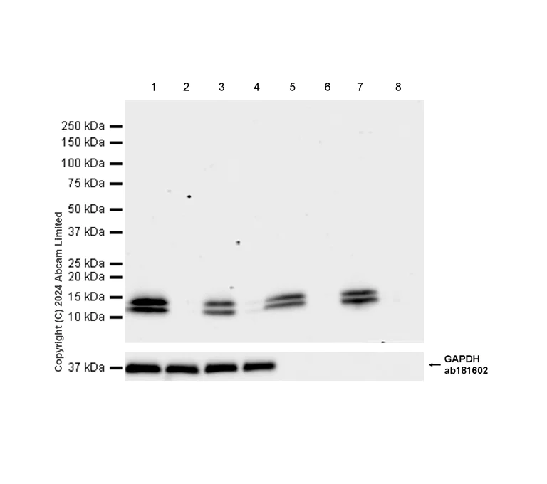
Western blot - Anti-PF4 antibody [EPR26306-65] - BSA and Azide free (AB303495)

This data was developed using ab303494, the same antibody clone in a different buffer formulation. Loading control : Anti-GAPDH antibody [EPR16891] - Loading Control (ab181602) (1 : 200000) (36KDa) Blocking/Diluting buffer and concentration : 5% NFDM/TBST The tissue samples were kindly provided by GemPharmatech. C57BL/6JGpt wildtype mice and Pf4-KO homozygous mice (Strain ID : T011518).

Lanes 1 - 8:

Western blot - Anti-PF4 antibody [EPR26306-65] (<a href='/en-us/products/primary-antibodies/pf4-antibody-epr26306-65-ab303494'>ab303494</a>) at 1/1000 dilution

Lanes 1 - 8:

Western blot - Anti-PF4 antibody [EPR26306-65] - BSA and Azide free (ab303495)

Lane 1:

Wild-type mouse spleen tissue lysate (male)

Lane 2:

PF4 knockout spleen tissue lysate (male)

Lane 3:

Wild-type mouse spleen tissue lysate (female)

Lane 4:

PF4 knockout spleen tissue lysate (female)

Lane 5:

Wild-type mouse bone marrow tissue lysate (male)

Lane 6:

PF4 knockout bone marrow tissue lysate (male)

Lane 7:

Wild-type mouse bone marrow tissue lysate (female)

Lane 8:

PF4 knockout bone marrow tissue lysate (female)

false

Exposure time: 38s

Key facts

Host species

Rabbit

Clonality

Monoclonal

Clone number

EPR26306-65

Isotype

IgG

Carrier free

Yes

Reacts with

Mouse

Applications

IHC-P, WB, ICC/IF, Flow Cyt (Intra), IP

applications

Immunogen

The exact immunogen used to generate this antibody is proprietary information.

Reactivity data

{ "title": "Reactivity Data", "filters": { "stats": ["", "Species", "Dilution Info", "Notes"], "tabs": { "all-applications": {"fullname" : "All Applications", "shortname": "All Applications"}, "WB" : {"fullname" : "Western blot", "shortname":"WB"}, "IHCP" : {"fullname" : "Immunohistochemistry (Formalin/PFA-fixed paraffin-embedded sections)", "shortname":"IHC-P"}, "ICCIF" : {"fullname" : "Immunocytochemistry/ Immunofluorescence", "shortname":"ICC/IF"}, "FlowCytIntra" : {"fullname" : "Flow Cytometry (Intracellular)", "shortname":"Flow Cyt (Intra)"}, "IP" : {"fullname" : "Immunoprecipitation", "shortname":"IP"} }, "product-promise": { "all": "all", "testedAndGuaranteed": "tested", "guaranteed": "expected", "predicted": "predicted", "notRecommended": "not-recommended" } }, "values": { "Human": { "WB-species-checked": "notRecommended", "WB-species-dilution-info": "", "WB-species-notes": "<p></p>", "IHCP-species-checked": "notRecommended", "IHCP-species-dilution-info": "", "IHCP-species-notes": "<p></p>", "ICCIF-species-checked": "notRecommended", "ICCIF-species-dilution-info": "", "ICCIF-species-notes": "", "FlowCytIntra-species-checked": "notRecommended", "FlowCytIntra-species-dilution-info": "", "FlowCytIntra-species-notes": "", "IP-species-checked": "notRecommended", "IP-species-dilution-info": "", "IP-species-notes": "<p></p>" }, "Mouse": { "WB-species-checked": "testedAndGuaranteed", "WB-species-dilution-info": "", "WB-species-notes": "<p></p>", "IHCP-species-checked": "testedAndGuaranteed", "IHCP-species-dilution-info": "", "IHCP-species-notes": "<p></p>", "ICCIF-species-checked": "testedAndGuaranteed", "ICCIF-species-dilution-info": "", "ICCIF-species-notes": "<p></p>", "FlowCytIntra-species-checked": "testedAndGuaranteed", "FlowCytIntra-species-dilution-info": "", "FlowCytIntra-species-notes": "<p></p>", "IP-species-checked": "testedAndGuaranteed", "IP-species-dilution-info": "", "IP-species-notes": "<p></p>" }, "Rat": { "WB-species-checked": "notRecommended", "WB-species-dilution-info": "", "WB-species-notes": "<p></p>", "IHCP-species-checked": "notRecommended", "IHCP-species-dilution-info": "", "IHCP-species-notes": "<p></p>", "ICCIF-species-checked": "notRecommended", "ICCIF-species-dilution-info": "", "ICCIF-species-notes": "", "FlowCytIntra-species-checked": "notRecommended", "FlowCytIntra-species-dilution-info": "", "FlowCytIntra-species-notes": "", "IP-species-checked": "notRecommended", "IP-species-dilution-info": "", "IP-species-notes": "" } } }

Product details

Patented technology
Our RabMAb® technology is a patented hybridoma-based technology for making rabbit monoclonal antibodies. For details on our patents, please refer to RabMAb® patents.

What are the advantages of a recombinant monoclonal antibody?
This product is a recombinant monoclonal antibody, which offers several advantages including:

  • - High batch-to-batch consistency and reproducibility
  • - Improved sensitivity and specificity
  • - Long-term security of supply
  • - Animal-free batch production

For more information, read more on recombinant antibodies.

Conjugation ready
Our carrier-free antibodies are typically supplied in a PBS-only formulation, purified and free of BSA, sodium azide and glycerol. This conjugation-ready format is designed for use with fluorochromes, metal isotopes, oligonucleotides, and enzymes, which makes them ideal for antibody labelling, functional and cell-based assays, flow-based assays (e.g. mass cytometry) and Multiplex Imaging applications.

Use our conjugation kits for antibody conjugates that are ready-to-use in as little as 20 minutes with 1 minute hands-on-time and 100% antibody recovery: available for fluorescent dyes, HRP, biotin and gold.

Compatibility
This product is compatible with the Maxpar® Antibody Labeling Kit from Fluidigm, without the need for antibody preparation. Maxpar® is a trademark of Fluidigm Canada Inc.

Properties and storage information

Form
Liquid
Purification technique
Affinity purification Protein A
Storage buffer
pH: 7.2 - 7.4 Constituents: PBS
Shipped at conditions
Blue Ice
Appropriate short-term storage conditions
+4°C
Appropriate long-term storage conditions
+4°C
Storage information
Do Not Freeze

Supplementary information

This supplementary information is collated from multiple sources and compiled automatically.

The protein Platelet Factor 4 (PF4) also known as CXCL4 is a member of the chemokine (C-X-C motif) ligand family. This small protein has a molecular weight of approximately 7.8 kDa. PF4 is mainly expressed in megakaryocytes and stored in the alpha granules of platelets. During platelet activation PF4 releases into the bloodstream where it interacts with other proteins and cell types. Researchers measure PF4 levels with methods such as PF4 ELISA to study its expression and functions under various physiological and pathological conditions.
Biological function summary

PF4 plays an important role in modulating the immune response and coagulation processes. PF4 is not part of a stable protein complex but can interact dynamically with heparin on the surface of endothelial cells and glycosaminoglycans. It inhibits the action of heparin promoting clot formation and angiogenesis. PF4 also attracts and activates different types of leukocytes and can regulate inflammatory processes influencing how the immune system responds to injury.

Pathways

PF4 significantly interacts with both the coagulation and inflammation pathways. In the coagulation pathway PF4 acts to neutralize heparin-like molecules thereby enhancing thrombosis. It works closely with proteins such as thrombin and fibrinogen contributing to the blood clot cascade. Within the inflammatory pathway PF4's chemokine activity helps direct leukocytes to sites of tissue damage or infection linking it to cytokines and other chemokines that mediate immune responses.

Researchers associate PF4 with conditions such as thrombosis and autoimmune pathologies. In thrombosis the overexpression of PF4 can lead to excessive clot formation pointing to its interaction with proteins like thrombin. PF4 also plays a role in heparin-induced thrombocytopenia (HIT) a disorder where the immune system mistakenly produces antibodies against heparin-PF4 complexes further indicating its direct involvement with immune and coagulation pathways.

Product protocols

For this product, it's our understanding that no specific protocols are required. You can visit:

Target data

Chemokine released during platelet aggregation that plays a role in different biological processes including hematopoiesis, cell proliferation, differentiation, and activation. Acts via different functional receptors including CCR1, CXCR3A or CXCR3B. Upon interaction with CXCR3A receptor, induces activated T-lymphocytes migration mediated via downstream Ras/extracellular signal-regulated kinase (ERK) signaling. Neutralizes the anticoagulant effect of heparin by binding more strongly to heparin than to the chondroitin-4-sulfate chains of the carrier molecule. Plays a role in the inhibition of hematopoiesis and in the maintenance of hematopoietic stem cell (HSC) quiescence. Chemotactic for neutrophils and monocytes via CCR1. Inhibits endothelial cell proliferation. In cooperation with toll-like receptor 8/TLR8, induces chromatin remodeling and activates inflammatory gene expression via the TBK1-IRF5 axis. In addition, induces myofibroblast differentiation and collagen synthesis in different precursor cells, including endothelial cells, by stimulating endothelial-to-mesenchymal transition. Interacts with thrombomodulin/THBD to enhance the activation of protein C and thus potentiates its anticoagulant activity.
See full target information Pf4

Product promise

We are committed to supporting your work with high-quality reagents, and we're here for you every step of the way. In the unlikely event that one of our products does not perform as expected, you're protected by our Product Promise.
For full details, please see our Terms & Conditions

Please note: All products are 'FOR RESEARCH USE ONLY. NOT FOR USE IN DIAGNOSTIC OR THERAPEUTIC PROCEDURES'.

For licensing inquiries, please contact partnerships@abcam.com