JavaScript is disabled in your browser. Please enable JavaScript to view this website.
AB251740

Anti-PFAS antibody

Be the first to review this product! Submit a review

|

(2 Publications)

Rabbit Polyclonal PFAS antibody. Suitable for IHC-P, WB, ICC/IF and reacts with Human, Mouse, Rat samples. Cited in 2 publications. Immunogen corresponding to Recombinant Fragment Protein within Human PFAS aa 650-800.

View Alternative Names

KIAA0361, PFAS, Phosphoribosylformylglycinamidine synthase, FGAM synthase, FGAMS, Formylglycinamide ribonucleotide amidotransferase, Formylglycinamide ribotide amidotransferase, Phosphoribosylformylglycineamide amidotransferase, FGAR amidotransferase, FGAR-AT

9 Images
Immunohistochemistry (Formalin/PFA-fixed paraffin-embedded sections) - Anti-PFAS antibody (AB251740)
  • IHC-P

Unknown

Immunohistochemistry (Formalin/PFA-fixed paraffin-embedded sections) - Anti-PFAS antibody (AB251740)

Paraffin-embedded human tonsil tissue stained for PFAS using ab251740 at 1/20 dilution in immunohistochemical analysis.

Immunocytochemistry/ Immunofluorescence - Anti-PFAS antibody (AB251740)
  • ICC/IF

Unknown

Immunocytochemistry/ Immunofluorescence - Anti-PFAS antibody (AB251740)

PFA-fixed, Triton X-100 permeabilized A431 (human epidermoid carcinoma cell line) cells stained for PFAS (green) using ab251740 at 4 µg/ml in ICC/IF.

Immunohistochemistry (Formalin/PFA-fixed paraffin-embedded sections) - Anti-PFAS antibody (AB251740)
  • IHC-P

Unknown

Immunohistochemistry (Formalin/PFA-fixed paraffin-embedded sections) - Anti-PFAS antibody (AB251740)

Paraffin-embedded human testis tissue stained for PFAS using ab251740 at 1/20 dilution in immunohistochemical analysis.

Immunohistochemistry (Formalin/PFA-fixed paraffin-embedded sections) - Anti-PFAS antibody (AB251740)
  • IHC-P

Unknown

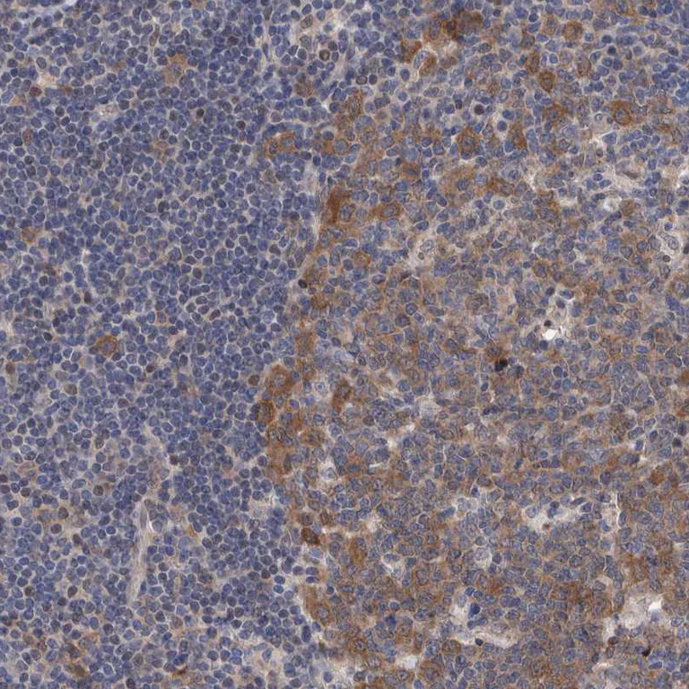
Immunohistochemistry (Formalin/PFA-fixed paraffin-embedded sections) - Anti-PFAS antibody (AB251740)

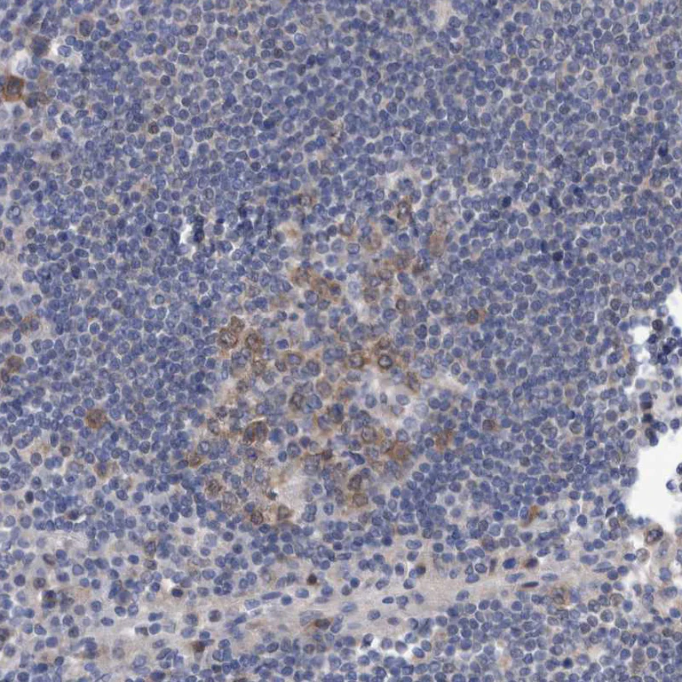
Paraffin-embedded human lymph node tissue stained for PFAS using ab251740 at 1/20 dilution in immunohistochemical analysis.

Immunohistochemistry (Formalin/PFA-fixed paraffin-embedded sections) - Anti-PFAS antibody (AB251740)
  • IHC-P

Unknown

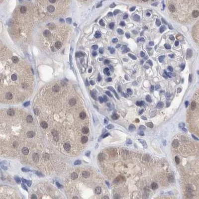
Immunohistochemistry (Formalin/PFA-fixed paraffin-embedded sections) - Anti-PFAS antibody (AB251740)

Paraffin-embedded human kidney tissue stained for PFAS using ab251740 at 1/20 dilution in immunohistochemical analysis.

Immunohistochemistry (Formalin/PFA-fixed paraffin-embedded sections) - Anti-PFAS antibody (AB251740)
  • IHC-P

Unknown

Immunohistochemistry (Formalin/PFA-fixed paraffin-embedded sections) - Anti-PFAS antibody (AB251740)

Paraffin-embedded human endometrium tissue stained for PFAS using ab251740 at 1/20 dilution in immunohistochemical analysis.

Immunohistochemistry (Formalin/PFA-fixed paraffin-embedded sections) - Anti-PFAS antibody (AB251740)
  • IHC-P

Unknown

Immunohistochemistry (Formalin/PFA-fixed paraffin-embedded sections) - Anti-PFAS antibody (AB251740)

Paraffin-embedded human skeletal muscle tissue stained for PFAS using ab251740 at 1/20 dilution in immunohistochemical analysis. No positivity, as expected.

Western blot - Anti-PFAS antibody (AB251740)
  • WB

Unknown

Western blot - Anti-PFAS antibody (AB251740)

All lanes:

Western blot - Anti-PFAS antibody (ab251740) at 0.4 µg/mL

Lane 1:

RT4 (human urinary bladder cancer cell line) whole cell lysate

Lane 2:

U-251 MG (human brain glioma cell line) whole cell lysate

Lane 3:

Human plasma

Lane 4:

Human liver lysate

Lane 5:

Human tonsil lysate

Predicted band size: 145 kDa

false

Western blot - Anti-PFAS antibody (AB251740)
  • WB

Unknown

Western blot - Anti-PFAS antibody (AB251740)

All lanes:

Western blot - Anti-PFAS antibody (ab251740) at 0.4 µg/mL

Lane 1:

NIH/3T3 (mouse embryo fibroblast cell line) whole cell lysate

Lane 2:

NBT-II (rat Wistar bladder tumor cell line) whole cell lysate

Predicted band size: 145 kDa

false

Key facts

Host species

Rabbit

Clonality

Polyclonal

Isotype

IgG

Carrier free

No

Reacts with

Mouse, Rat, Human

Applications

ICC/IF, IHC-P, WB

applications

Immunogen

Recombinant Fragment Protein within Human PFAS aa 650-800. The exact immunogen used to generate this antibody is proprietary information.

O15067

Reactivity data

{ "title": "Reactivity Data", "filters": { "stats": ["", "Species", "Dilution Info", "Notes"], "tabs": { "all-applications": {"fullname" : "All Applications", "shortname": "All Applications"}, "IHCP" : {"fullname" : "Immunohistochemistry (Formalin/PFA-fixed paraffin-embedded sections)", "shortname":"IHC-P"}, "WB" : {"fullname" : "Western blot", "shortname":"WB"}, "ICCIF" : {"fullname" : "Immunocytochemistry/ Immunofluorescence", "shortname":"ICC/IF"} }, "product-promise": { "all": "all", "testedAndGuaranteed": "tested", "guaranteed": "expected", "predicted": "predicted", "notRecommended": "not-recommended" } }, "values": { "Human": { "IHCP-species-checked": "testedAndGuaranteed", "IHCP-species-dilution-info": "1/20 - 1/50", "IHCP-species-notes": "<p></p> Perform heat-mediated antigen retrieval with citrate buffer pH 6 before commencing with IHC staining protocol.", "WB-species-checked": "testedAndGuaranteed", "WB-species-dilution-info": "0.04-0.4 µg/mL", "WB-species-notes": "<p></p>", "ICCIF-species-checked": "testedAndGuaranteed", "ICCIF-species-dilution-info": "0.25-2 µg/mL", "ICCIF-species-notes": "<p>Fixation/Permeabilization: PFA/Triton X-100.</p>" }, "Mouse": { "IHCP-species-checked": "guaranteed", "IHCP-species-dilution-info": "", "IHCP-species-notes": "", "WB-species-checked": "testedAndGuaranteed", "WB-species-dilution-info": "0.04-0.4 µg/mL", "WB-species-notes": "<p></p>", "ICCIF-species-checked": "guaranteed", "ICCIF-species-dilution-info": "", "ICCIF-species-notes": "" }, "Rat": { "IHCP-species-checked": "guaranteed", "IHCP-species-dilution-info": "", "IHCP-species-notes": "", "WB-species-checked": "testedAndGuaranteed", "WB-species-dilution-info": "0.04-0.4 µg/mL", "WB-species-notes": "<p></p>", "ICCIF-species-checked": "guaranteed", "ICCIF-species-dilution-info": "", "ICCIF-species-notes": "" } } }

Properties and storage information

Form
Liquid
Purification technique
Affinity purification Immunogen
Storage buffer
pH: 7.2 Preservative: 0.02% Sodium azide Constituents: PBS, 40% Glycerol (glycerin, glycerine)
Shipped at conditions
Blue Ice
Appropriate short-term storage duration
1-2 weeks
Appropriate short-term storage conditions
+4°C
Appropriate long-term storage conditions
-20°C
Aliquoting information
Upon delivery aliquot
Storage information
Avoid freeze / thaw cycle

Product protocols

For this product, it's our understanding that no specific protocols are required. You can visit:

Target data

Phosphoribosylformylglycinamidine synthase involved in the purines biosynthetic pathway. Catalyzes the ATP-dependent conversion of formylglycinamide ribonucleotide (FGAR) and glutamine to yield formylglycinamidine ribonucleotide (FGAM) and glutamate.
See full target information PFAS

Publications (2)

Recent publications for all applications. Explore the full list and refine your search

International journal of molecular sciences 26: PubMed40869249

2025

Methodological Development of a Test for Salivary Proteome Analysis Useful in Lung Cancer Screening.

Applications

Unspecified application

Species

Unspecified reactive species

Leonarda Barra,Elena Carestia,Giulia Ferri,Mohammad Kazemi,Massoumeh Ramahi,Uditanshu Priyadarshi,Velia Di Resta,Fabrizio Di Giuseppe,Renata Ciccarelli,Achille Lococo,Stefania Angelucci

The Journal of experimental medicine 217: PubMed32453420

2020

Targeting CLK3 inhibits the progression of cholangiocarcinoma by reprogramming nucleotide metabolism.

Applications

Unspecified application

Species

Unspecified reactive species

Qingxin Zhou,Meihua Lin,Xing Feng,Fei Ma,Yuekun Zhu,Xing Liu,Chao Qu,Hong Sui,Bei Sun,Anlong Zhu,Heng Zhang,He Huang,Zhi Gao,Yongxiang Zhao,Jiangyun Sun,Yuxian Bai,Junfei Jin,Xuehui Hong,Chang Zou,Zhiyong Zhang
View all publications

Product promise

We are committed to supporting your work with high-quality reagents, and we're here for you every step of the way. In the unlikely event that one of our products does not perform as expected, you're protected by our Product Promise.
For full details, please see our Terms & Conditions

Please note: All products are 'FOR RESEARCH USE ONLY. NOT FOR USE IN DIAGNOSTIC OR THERAPEUTIC PROCEDURES'.

For licensing inquiries, please contact partnerships@abcam.com