JavaScript is disabled in your browser. Please enable JavaScript to view this website.
AB151708

Anti-PFDN1 antibody [EPR8547]

Be the first to review this product! Submit a review

|

(3 Publications)

Rabbit Recombinant Monoclonal PFDN1 antibody. Suitable for IHC-P, WB, Flow Cyt (Intra) and reacts with Human, Mouse, Rat samples. Cited in 3 publications.

View Alternative Names

PFD1, PFDN1, Prefoldin subunit 1

5 Images
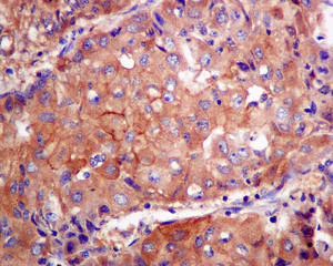
Immunohistochemistry (Formalin/PFA-fixed paraffin-embedded sections) - Anti-PFDN1 antibody [EPR8547] (AB151708)
  • IHC-P

Unknown

Immunohistochemistry (Formalin/PFA-fixed paraffin-embedded sections) - Anti-PFDN1 antibody [EPR8547] (AB151708)

Immunohistochemical analysis of paraffin-embedded Human hepatocellular carcinoma tissue labeling PFDN1 with ab151708 at 1/100 dilution.

Perform heat mediated antigen retrieval before commencing with IHC staining protocol.

Immunohistochemistry (Formalin/PFA-fixed paraffin-embedded sections) - Anti-PFDN1 antibody [EPR8547] (AB151708)
  • IHC-P

Unknown

Immunohistochemistry (Formalin/PFA-fixed paraffin-embedded sections) - Anti-PFDN1 antibody [EPR8547] (AB151708)

Immunohistochemical analysis of paraffin-embedded Human kidney tissue labeling PFDN1 with ab151708 at 1/100 dilution.

Perform heat mediated antigen retrieval before commencing with IHC staining protocol.

Flow Cytometry (Intracellular) - Anti-PFDN1 antibody [EPR8547] (AB151708)
  • Flow Cyt (Intra)

Unknown

Flow Cytometry (Intracellular) - Anti-PFDN1 antibody [EPR8547] (AB151708)

Intracellular flow cytometric analysis of permeabilized PC12 cells labeling PFDN1 with ab151708 at 1/100 dilution (red). Rabbit IgG negative control (green).

Western blot - Anti-PFDN1 antibody [EPR8547] (AB151708)
  • WB

Unknown

Western blot - Anti-PFDN1 antibody [EPR8547] (AB151708)

All lanes:

Western blot - Anti-PFDN1 antibody [EPR8547] (ab151708) at 1/1000 dilution

Lane 1:

Human fetal brain tissue lysate at 10 µg

Lane 2:

HepG2 cell lysate at 10 µg

Lane 3:

HT1080 cell lysate at 10 µg

Lane 4:

PC12 cell lysate at 10 µg

Lane 5:

NIH/3T3 cell lysate at 10 µg

Secondary

All lanes:

Goat anti-rabbit HRP at 1/2000 dilution

Predicted band size: 14 kDa

false

Western blot - Anti-PFDN1 antibody [EPR8547] (AB151708)
  • WB

CiteAb

Western blot - Anti-PFDN1 antibody [EPR8547] (AB151708)

PFDN1 western blot using anti-PFDN1 antibody [EPR8547] ab151708. Publication image and figure legend from Gao, Q., Lei, F., et al., 2020, Int J Biol Sci, PubMed 32140072.

ab151708 was used in this publication in western blot. This may not be the same as the application(s) guaranteed by Abcam. For a full list of applications guaranteed by Abcam for ab151708 please see the product overview.

Direct targeting of miR-2277-3p and miR-26b-3p on NUPR1L and PFDN1. (a) Luciferase reporter vectors containing wild-type or mutated 3'-UTR of NUPR1L were constructed to test direct targeting of miR-2277-3p on NUPR1L mRNA. (b) Luciferase reporter vectors containing wild-type or mutated 3'-UTR of PFDN1 were const. Ructed to test direct targeting of miR-26b-3p on PFDN1 mRNA. (c) The effect of miR-2277-3p on mRNA and protein expression of NUPR1L was examined by qPCR and Western blot. (d) The effect of miR-26b-3p on mRNA and protein expression of PFDN1 was examined by qPCR and Western blot. Data are the means ± SD. of three independent experiments. *p < 0.05 and ** p<0.01 versus control.

false

  • Carrier free

    Anti-PFDN1 antibody [EPR8547] - BSA and Azide free

Key facts

Host species

Rabbit

Clonality

Monoclonal

Clone number

EPR8547

Isotype

IgG

Carrier free

No

Reacts with

Mouse, Rat, Human

Applications

Flow Cyt (Intra), WB, IHC-P

applications

Immunogen

The exact immunogen used to generate this antibody is proprietary information.

Reactivity data

{ "title": "Reactivity Data", "filters": { "stats": ["", "Species", "Dilution Info", "Notes"], "tabs": { "all-applications": {"fullname" : "All Applications", "shortname": "All Applications"}, "IHCP" : {"fullname" : "Immunohistochemistry (Formalin/PFA-fixed paraffin-embedded sections)", "shortname":"IHC-P"}, "WB" : {"fullname" : "Western blot", "shortname":"WB"}, "ICCIF" : {"fullname" : "Immunocytochemistry/ Immunofluorescence", "shortname":"ICC/IF"}, "FlowCytIntra" : {"fullname" : "Flow Cytometry (Intracellular)", "shortname":"Flow Cyt (Intra)"} }, "product-promise": { "all": "all", "testedAndGuaranteed": "tested", "guaranteed": "expected", "predicted": "predicted", "notRecommended": "not-recommended" } }, "values": { "Human": { "IHCP-species-checked": "testedAndGuaranteed", "IHCP-species-dilution-info": "1/100 - 1/250", "IHCP-species-notes": "<p></p>", "WB-species-checked": "testedAndGuaranteed", "WB-species-dilution-info": "1/1000 - 1/10000", "WB-species-notes": "<p></p>", "ICCIF-species-checked": "notRecommended", "ICCIF-species-dilution-info": "", "ICCIF-species-notes": "<p></p>", "FlowCytIntra-species-checked": "guaranteed", "FlowCytIntra-species-dilution-info": "", "FlowCytIntra-species-notes": "" }, "Mouse": { "IHCP-species-checked": "guaranteed", "IHCP-species-dilution-info": "", "IHCP-species-notes": "", "WB-species-checked": "testedAndGuaranteed", "WB-species-dilution-info": "1/1000 - 1/10000", "WB-species-notes": "<p></p>", "ICCIF-species-checked": "notRecommended", "ICCIF-species-dilution-info": "", "ICCIF-species-notes": "<p></p>", "FlowCytIntra-species-checked": "guaranteed", "FlowCytIntra-species-dilution-info": "", "FlowCytIntra-species-notes": "" }, "Rat": { "IHCP-species-checked": "guaranteed", "IHCP-species-dilution-info": "", "IHCP-species-notes": "", "WB-species-checked": "testedAndGuaranteed", "WB-species-dilution-info": "1/1000 - 1/10000", "WB-species-notes": "<p></p>", "ICCIF-species-checked": "notRecommended", "ICCIF-species-dilution-info": "", "ICCIF-species-notes": "<p></p>", "FlowCytIntra-species-checked": "testedAndGuaranteed", "FlowCytIntra-species-dilution-info": "1/100 - 1/500", "FlowCytIntra-species-notes": "<p><a href='/en-us/products/primary-antibodies/rabbit-igg-monoclonal-epr25a-isotype-control-ab172730'>ab172730</a> - Rabbit monoclonal IgG, is suitable for use as an isotype control with this antibody.</p>" } } }

Product details

Patented technology
Our RabMAb® technology is a patented hybridoma-based technology for making rabbit monoclonal antibodies. For details on our patents, please refer to RabMAb® patents.

What are the advantages of a recombinant monoclonal antibody?
This product is a recombinant monoclonal antibody, which offers several advantages including:

  • - High batch-to-batch consistency and reproducibility
  • - Improved sensitivity and specificity
  • - Long-term security of supply
  • - Animal-free batch production

For more information, read more on recombinant antibodies.

Properties and storage information

Form
Liquid
Purification technique
Affinity purification Protein A
Storage buffer
pH: 7.2 - 7.4 Preservative: 0.01% Sodium azide Constituents: PBS, 50% Tissue culture supernatant, 40% Glycerol (glycerin, glycerine), 0.05% BSA
Shipped at conditions
Blue Ice
Appropriate short-term storage conditions
+4°C
Appropriate long-term storage conditions
-20°C

Supplementary information

This supplementary information is collated from multiple sources and compiled automatically.

The PFDN1 protein also known as prefoldin subunit 1 functions as part of the chaperone pathway in protein folding. It helps in the stabilization of nascent polypeptides facilitating their correct folding into functional structures. The molecular mass of PFDN1 is approximately 15 kDa. Expression of PFDN1 occurs in various tissues which include both highly proliferative and differentiated cells. The protein has a wider tissue distribution suggesting its fundamental role in several cellular processes.
Biological function summary

The prefoldin complex which includes PFDN1 assists in the proper folding of actin and tubulin proteins. This complex functions as a co-chaperone directing unfolded proteins to the cytosolic chaperonin TriC/CCT complex for further refolding. By interacting with actin and tubulin PFDN1 ensures that key structural proteins maintain their integrity and availability for cellular functions. This interaction plays a critical role in cytoskeleton dynamics affecting cellular shape and movement.

Pathways

PFDN1 plays a significant role in the protein folding pathway and the regulation of actin cytoskeleton pathway. Within these pathways PFDN1 helps coordinate with other proteins such as TCP1 part of the TriC/CCT complex. This cooperation ensures efficient protein maturation and structural arrangement within cells. The correct functioning of these pathways relies on well-folded actin and tubulin proteins impacting cellular architecture and intracellular transport mechanisms.

Malfunction of PFDN1 can contribute to neurodegenerative diseases and cancer. The disruption of proper protein folding might result in aggregates characteristic of neurodegenerative conditions. Proteins like APOE have been studied in relation to how PFDN1 disruptions might contribute to neurodegenerative disease pathways. In cancer altered PFDN1 expression affects cell proliferation and survival. This alteration connects with oncogenes and tumor suppressor genes influencing tumor growth and progression. Understanding these associations provides insight into the therapeutic targeting of PFDN1 in disease contexts.

Product protocols

For this product, it's our understanding that no specific protocols are required. You can visit:

Target data

Binds specifically to cytosolic chaperonin (c-CPN) and transfers target proteins to it. Binds to nascent polypeptide chain and promotes folding in an environment in which there are many competing pathways for nonnative proteins.
See full target information PFDN1

Publications (3)

Recent publications for all applications. Explore the full list and refine your search

Cancers 12: PubMed32344577

2020

Overexpression of Canonical Prefoldin Associates with the Risk of Mortality and Metastasis in Non-Small Cell Lung Cancer.

Applications

Unspecified application

Species

Unspecified reactive species

Xenia Peñate,Juan Manuel Praena-Fernández,Pedro Romero Pareja,María Del Valle Enguix-Riego,Laura Payán-Bravo,Begoña Vieites,Lourdes Gomez-Izquierdo,Javier Jaen Olasolo,Eleonor Rivin Del Campo,Jose Carlos Reyes,Sebastián Chávez,Jose Luis Lopez Guerra

International journal of biological sciences 16:1044-1058 PubMed32140072

2020

Functional Passenger-Strand miRNAs in Exosomes Derived from Human Colon Cancer Cells and Their Heterogeneous Paracrine Effects.

Applications

Unspecified application

Species

Unspecified reactive species

Qingkun Gao,Fuming Lei,Qingmin Zeng,Zhaoya Gao,Pengfei Niu, Junnan, Ning,Jie Li,Jun Zhang

Molecules (Basel, Switzerland) 22: PubMed28858244

2017

Andrographolide Suppresses MV4-11 Cell Proliferation through the Inhibition of FLT3 Signaling, Fatty Acid Synthesis and Cellular Iron Uptake.

Applications

Unspecified application

Species

Unspecified reactive species

Xiao Chen,Jianbin Zhang,Lixia Yuan,Yifei Lay,Yin Kwan Wong,Teck Kwang Lim,Chye Sun Ong,Qingsong Lin,Jigang Wang,Zichun Hua
View all publications

Product promise

We are committed to supporting your work with high-quality reagents, and we're here for you every step of the way. In the unlikely event that one of our products does not perform as expected, you're protected by our Product Promise.
For full details, please see our Terms & Conditions

Please note: All products are 'FOR RESEARCH USE ONLY. NOT FOR USE IN DIAGNOSTIC OR THERAPEUTIC PROCEDURES'.

For licensing inquiries, please contact partnerships@abcam.com