JavaScript is disabled in your browser. Please enable JavaScript to view this website.
AB129116

Anti-PFDN5 antibody [EPR7755]

Be the first to review this product! Submit a review

|

(6 Publications)

Rabbit Recombinant Monoclonal PFDN5 antibody. Suitable for IHC-P, WB and reacts with Human, Mouse samples. Cited in 6 publications.

View Alternative Names

MM1, PFD5, PFDN5, Prefoldin subunit 5, Myc modulator 1, c-Myc-binding protein Mm-1

2 Images
Western blot - Anti-PFDN5 antibody [EPR7755] (AB129116)
  • WB

Unknown

Western blot - Anti-PFDN5 antibody [EPR7755] (AB129116)

All lanes:

Western blot - Anti-PFDN5 antibody [EPR7755] (ab129116) at 1/1000 dilution

Lane 1:

293T cell lysate at 10 µg

Lane 2:

HeLa cell lysate at 10 µg

Lane 3:

Fetal brain lysate at 10 µg

Lane 4:

Fetal heart lysate at 10 µg

Lane 5:

Fetal kidney lysate at 10 µg

Lane 6:

Human spleen lysate at 10 µg

Lane 7:

HepG2 cell lysate at 10 µg

Lane 8:

NIH/3T3 lysate at 10 µg

Lane 9:

F9 cell lysate at 10 µg

Lane 10:

Fetal muscle lysate at 10 µg

Secondary

All lanes:

Standard HRP labelled goat anti-rabbit at 1/2000 dilution

Predicted band size: 17 kDa

false

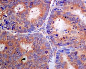
Immunohistochemistry (Formalin/PFA-fixed paraffin-embedded sections) - Anti-PFDN5 antibody [EPR7755] (AB129116)
  • IHC-P

Unknown

Immunohistochemistry (Formalin/PFA-fixed paraffin-embedded sections) - Anti-PFDN5 antibody [EPR7755] (AB129116)

ab129116 at a 1/100 dilution staining PFDN5 in paraffin-embedded Human colon carcinoma tissue by immunohistochemistry.

Perform heat mediated antigen retrieval before commencing with IHC staining protocol.

Key facts

Host species

Rabbit

Clonality

Monoclonal

Clone number

EPR7755

Isotype

IgG

Carrier free

No

Reacts with

Mouse, Human

Applications

WB, IHC-P

applications

Immunogen

The exact immunogen used to generate this antibody is proprietary information.

Reactivity data

{ "title": "Reactivity Data", "filters": { "stats": ["", "Species", "Dilution Info", "Notes"], "tabs": { "all-applications": {"fullname" : "All Applications", "shortname": "All Applications"}, "IHCP" : {"fullname" : "Immunohistochemistry (Formalin/PFA-fixed paraffin-embedded sections)", "shortname":"IHC-P"}, "ICCIF" : {"fullname" : "Immunocytochemistry/ Immunofluorescence", "shortname":"ICC/IF"}, "FlowCyt" : {"fullname" : "Flow Cytometry", "shortname":"Flow Cyt"}, "WB" : {"fullname" : "Western blot", "shortname":"WB"} }, "product-promise": { "all": "all", "testedAndGuaranteed": "tested", "guaranteed": "expected", "predicted": "predicted", "notRecommended": "not-recommended" } }, "values": { "Human": { "IHCP-species-checked": "testedAndGuaranteed", "IHCP-species-dilution-info": "1/100 - 1/250", "IHCP-species-notes": "<p></p> Perform heat-mediated antigen retrieval before commencing with IHC staining protocol.", "ICCIF-species-checked": "notRecommended", "ICCIF-species-dilution-info": "", "ICCIF-species-notes": "<p></p>", "FlowCyt-species-checked": "notRecommended", "FlowCyt-species-dilution-info": "", "FlowCyt-species-notes": "<p></p>", "WB-species-checked": "testedAndGuaranteed", "WB-species-dilution-info": "1/1000 - 1/10000", "WB-species-notes": "<p></p>" }, "Mouse": { "IHCP-species-checked": "guaranteed", "IHCP-species-dilution-info": "", "IHCP-species-notes": "", "ICCIF-species-checked": "notRecommended", "ICCIF-species-dilution-info": "", "ICCIF-species-notes": "<p></p>", "FlowCyt-species-checked": "notRecommended", "FlowCyt-species-dilution-info": "", "FlowCyt-species-notes": "<p></p>", "WB-species-checked": "testedAndGuaranteed", "WB-species-dilution-info": "1/1000 - 1/10000", "WB-species-notes": "<p></p>" }, "Rat": { "IHCP-species-checked": "predicted", "IHCP-species-dilution-info": "", "IHCP-species-notes": "", "ICCIF-species-checked": "notRecommended", "ICCIF-species-dilution-info": "", "ICCIF-species-notes": "", "FlowCyt-species-checked": "notRecommended", "FlowCyt-species-dilution-info": "", "FlowCyt-species-notes": "", "WB-species-checked": "predicted", "WB-species-dilution-info": "", "WB-species-notes": "" } } }

Product details

Patented technology
Our RabMAb® technology is a patented hybridoma-based technology for making rabbit monoclonal antibodies. For details on our patents, please refer to RabMAb® patents.

What are the advantages of a recombinant monoclonal antibody?
This product is a recombinant monoclonal antibody, which offers several advantages including:

  • - High batch-to-batch consistency and reproducibility
  • - Improved sensitivity and specificity
  • - Long-term security of supply
  • - Animal-free batch production

For more information, read more on recombinant antibodies.

Properties and storage information

Form
Liquid
Purification technique
Affinity purification Protein A
Storage buffer
pH: 7.2 - 7.4 Preservative: 0.01% Sodium azide Constituents: PBS, 40% Glycerol (glycerin, glycerine), 0.05% BSA
Shipped at conditions
Blue Ice
Appropriate short-term storage conditions
+4°C
Appropriate long-term storage conditions
-20°C
Storage information
Stable for 12 months at -20°C

Supplementary information

This supplementary information is collated from multiple sources and compiled automatically.

The Prefoldin Subunit 5 (PFDN5) also known as PFD5 or MKBP is a protein that forms part of the prefoldin complex. This protein which has a mass of around 15.7 kDa plays an important mechanical role in delivering nascent polypeptide chains to the chaperonin complex for proper folding. PFDN5 is expressed widely across various tissues with notable expression in the brain and testis. Its involvement in such fundamental processes suggests it supports maintaining cellular stability and homeostasis.
Biological function summary

PFDN5 contributes to the assembly and stabilization of cytoskeletal structures by participating in tubulin folding processes. It functions as a component of the prefoldin complex a hexameric molecular chaperone. Through its action PFDN5 assists in the folding and assembly of cytoskeletal proteins such as actin and tubulin ensuring proper cellular architecture and transport functions. The protein’s interaction within the complex highlights its support in cellular dynamics and structural maintenance.

Pathways

PFDN5 integrates into important cellular pathways related to protein folding and cytoskeletal assembly. It participates prominently in the tubulin folding pathway which is essential for microtubule formation. In this context PFDN5 interacts significantly with chaperonin-containing T-complex protein 1 (CCT) to facilitate the assembly of tubulin monomers into functional microtubules. These interactions highlight PFDN5’s role in maintaining cellular integrity and facilitating intracellular transport mechanisms.

PFDN5 presents associations with certain cancers particularly glioma. Altered expression or function of PFDN5 can disrupt normal cytoskeletal processes contributing to the irregular cell proliferation observed in gliomas. It has shown interactions with proteins like CCT2 in such pathological conditions. Furthermore PFDN5’s involvement in neurodegenerative processes links it to diseases like amyotrophic lateral sclerosis (ALS). In these contexts PFDN5 might influence disease progression through its impact on protein stability and cellular architecture.

Product protocols

For this product, it's our understanding that no specific protocols are required. You can visit:

Target data

Binds specifically to cytosolic chaperonin (c-CPN) and transfers target proteins to it. Binds to nascent polypeptide chain and promotes folding in an environment in which there are many competing pathways for nonnative proteins. Represses the transcriptional activity of MYC.
See full target information PFDN5

Publications (6)

Recent publications for all applications. Explore the full list and refine your search

Molecular medicine (Cambridge, Mass.) 30:9 PubMed38216914

2024

Lysine demethylase 5C inhibits transcription of prefoldin subunit 5 to activate c-Myc signal transduction and colorectal cancer progression.

Applications

Unspecified application

Species

Unspecified reactive species

Fulong Yu,Liang Li,Yimei Gu,Song Wang,Lianbang Zhou,Xiaohu Cheng,Heng Jiang,Yang Huang,Yingfeng Zhang,Wenbao Qian,Xianghua Li,Zhining Liu

Photodermatology, photoimmunology & photomedicine 37:395-403 PubMed33565151

2021

Ultraviolet B irradiation up-regulates MM1 and induces photoageing of the epidermis.

Applications

Unspecified application

Species

Unspecified reactive species

Xuan Zheng,Li Chen,Shuguang Jin,Lidan Xiong,Huimin Chen,Ke Hu,Xueying Fan,Shijie Fan,Chenghua Li

Biochemical and biophysical research communication 533:613-619 PubMed32981679

2020

Prefoldin subunit MM1 promotes cell migration via facilitating filopodia formation.

Applications

Unspecified application

Species

Unspecified reactive species

Shijie Fan,Yonglong Chen,Yunhui Jiang,Ke Hu,Chenghua Li

Molecular & cellular proteomics : MCP 19:1281-1302 PubMed32434922

2020

Changes in the Oligodendrocyte Progenitor Cell Proteome with Ageing.

Applications

Unspecified application

Species

Unspecified reactive species

Alerie G de la Fuente,Rayner M L Queiroz,Tanay Ghosh,Christopher E McMurran,Juan F Cubillos,Dwight E Bergles,Denise C Fitzgerald,Clare A Jones,Kathryn S Lilley,Colin P Glover,Robin J M Franklin

Cell death and differentiation 25:2118-2129 PubMed29880857

2018

ΔNp63α down-regulates c-Myc modulator MM1 via E3 ligase HERC3 in the regulation of cell senescence.

Applications

Unspecified application

Species

Unspecified reactive species

Yonglong Chen,Yimin Li,Yougong Peng,Xuan Zheng,Shijie Fan,Yong Yi,Peng Zeng,Hu Chen,Han Kang,Yujun Zhang,Zhi-Xiong Xiao,Chenghua Li

Oncotarget 7:44277-44287 PubMed27341130

2016

p63α modulates c-Myc activity via direct interaction and regulation of MM1 protein stability.

Applications

IP, WB

Species

Human, Human

Anning Han,Juan Li,Yimin Li,Yang Wang,Johann Bergholz,Yujun Zhang,Chenghua Li,Zhi-Xiong Xiao
View all publications

Product promise

We are committed to supporting your work with high-quality reagents, and we're here for you every step of the way. In the unlikely event that one of our products does not perform as expected, you're protected by our Product Promise.
For full details, please see our Terms & Conditions

Please note: All products are 'FOR RESEARCH USE ONLY. NOT FOR USE IN DIAGNOSTIC OR THERAPEUTIC PROCEDURES'.

For licensing inquiries, please contact partnerships@abcam.com