JavaScript is disabled in your browser. Please enable JavaScript to view this website.
AB248313

Anti-PFDN5 antibody [EPR7755] - BSA and Azide free

Be the first to review this product! Submit a review

|

(0 Publication)

Rabbit Recombinant Monoclonal PFDN5 antibody. Carrier free. Suitable for IHC-P, WB and reacts with Human, Mouse samples.

View Alternative Names

MM1, PFD5, PFDN5, Prefoldin subunit 5, Myc modulator 1, c-Myc-binding protein Mm-1

2 Images
Western blot - Anti-PFDN5 antibody [EPR7755] - BSA and Azide free (AB248313)
  • WB

Unknown

Western blot - Anti-PFDN5 antibody [EPR7755] - BSA and Azide free (AB248313)

This data was developed using ab129116, the same antibody clone in a different buffer formulation.

All lanes:

Western blot - Anti-PFDN5 antibody [EPR7755] (<a href='/en-us/products/primary-antibodies/pfdn5-antibody-epr7755-ab129116'>ab129116</a>) at 1/1000 dilution

Lane 1:

293T cell lysate at 10 µg

Lane 2:

HeLa cell lysate at 10 µg

Lane 3:

Fetal brain lysate at 10 µg

Lane 4:

Fetal heart lysate at 10 µg

Lane 5:

Fetal kidney lysate at 10 µg

Lane 6:

Human spleen lysate at 10 µg

Lane 7:

HepG2 cell lysate at 10 µg

Lane 8:

NIH/3T3 lysate at 10 µg

Lane 9:

F9 cell lysate at 10 µg

Lane 10:

Fetal muscle lysate at 10 µg

Secondary

All lanes:

Standard HRP labelled goat anti-rabbit at 1/2000 dilution

Predicted band size: 17 kDa

false

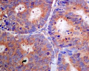
Immunohistochemistry (Formalin/PFA-fixed paraffin-embedded sections) - Anti-PFDN5 antibody [EPR7755] - BSA and Azide free (AB248313)
  • IHC-P

Unknown

Immunohistochemistry (Formalin/PFA-fixed paraffin-embedded sections) - Anti-PFDN5 antibody [EPR7755] - BSA and Azide free (AB248313)

This data was developed using ab129116, the same antibody clone in a different buffer formulation.

ab129116, at a 1/100 dilution, staining PFDN5 in paraffin-embedded Human colon carcinoma tissue by immunohistochemistry.

Perform heat mediated antigen retrieval before commencing with IHC staining protocol.

Key facts

Host species

Rabbit

Clonality

Monoclonal

Clone number

EPR7755

Isotype

IgG

Carrier free

Yes

Reacts with

Mouse, Human

Applications

IHC-P, WB

applications

Immunogen

The exact immunogen used to generate this antibody is proprietary information.

Reactivity data

{ "title": "Reactivity Data", "filters": { "stats": ["", "Species", "Dilution Info", "Notes"], "tabs": { "all-applications": {"fullname" : "All Applications", "shortname": "All Applications"}, "IHCP" : {"fullname" : "Immunohistochemistry (Formalin/PFA-fixed paraffin-embedded sections)", "shortname":"IHC-P"}, "FlowCyt" : {"fullname" : "Flow Cytometry", "shortname":"Flow Cyt"}, "WB" : {"fullname" : "Western blot", "shortname":"WB"}, "ICCIF" : {"fullname" : "Immunocytochemistry/ Immunofluorescence", "shortname":"ICC/IF"} }, "product-promise": { "all": "all", "testedAndGuaranteed": "tested", "guaranteed": "expected", "predicted": "predicted", "notRecommended": "not-recommended" } }, "values": { "Human": { "IHCP-species-checked": "testedAndGuaranteed", "IHCP-species-dilution-info": "", "IHCP-species-notes": "<p></p> Perform heat-mediated antigen retrieval before commencing with IHC staining protocol.", "FlowCyt-species-checked": "notRecommended", "FlowCyt-species-dilution-info": "", "FlowCyt-species-notes": "<p></p>", "WB-species-checked": "testedAndGuaranteed", "WB-species-dilution-info": "", "WB-species-notes": "<p></p>", "ICCIF-species-checked": "notRecommended", "ICCIF-species-dilution-info": "", "ICCIF-species-notes": "<p></p>" }, "Mouse": { "IHCP-species-checked": "guaranteed", "IHCP-species-dilution-info": "", "IHCP-species-notes": "", "FlowCyt-species-checked": "notRecommended", "FlowCyt-species-dilution-info": "", "FlowCyt-species-notes": "<p></p>", "WB-species-checked": "testedAndGuaranteed", "WB-species-dilution-info": "", "WB-species-notes": "<p></p>", "ICCIF-species-checked": "notRecommended", "ICCIF-species-dilution-info": "", "ICCIF-species-notes": "<p></p>" }, "Rat": { "IHCP-species-checked": "predicted", "IHCP-species-dilution-info": "", "IHCP-species-notes": "", "FlowCyt-species-checked": "notRecommended", "FlowCyt-species-dilution-info": "", "FlowCyt-species-notes": "", "WB-species-checked": "predicted", "WB-species-dilution-info": "", "WB-species-notes": "", "ICCIF-species-checked": "notRecommended", "ICCIF-species-dilution-info": "", "ICCIF-species-notes": "" } } }

Product details

ab248313 is the carrier-free version of ab129116.

Patented technology
Our RabMAb® technology is a patented hybridoma-based technology for making rabbit monoclonal antibodies. For details on our patents, please refer to RabMAb® patents.

What are the advantages of a recombinant monoclonal antibody?
This product is a recombinant monoclonal antibody, which offers several advantages including:

  • - High batch-to-batch consistency and reproducibility
  • - Improved sensitivity and specificity
  • - Long-term security of supply
  • - Animal-free batch production

For more information, read more on recombinant antibodies.

Conjugation ready
Our carrier-free antibodies are typically supplied in a PBS-only formulation, purified and free of BSA, sodium azide and glycerol. This conjugation-ready format is designed for use with fluorochromes, metal isotopes, oligonucleotides, and enzymes, which makes them ideal for antibody labelling, functional and cell-based assays, flow-based assays (e.g. mass cytometry) and Multiplex Imaging applications.

Use our conjugation kits for antibody conjugates that are ready-to-use in as little as 20 minutes with 1 minute hands-on-time and 100% antibody recovery: available for fluorescent dyes, HRP, biotin and gold.

Compatibility
This product is compatible with the Maxpar® Antibody Labeling Kit from Fluidigm, without the need for antibody preparation. Maxpar® is a trademark of Fluidigm Canada Inc.

Properties and storage information

Form
Liquid
Purification technique
Affinity purification Protein A
Storage buffer
pH: 7.2 - 7.4 Constituents: PBS
Shipped at conditions
Blue Ice
Appropriate short-term storage conditions
+4°C
Appropriate long-term storage conditions
+4°C
Storage information
Do Not Freeze

Supplementary information

This supplementary information is collated from multiple sources and compiled automatically.

The Prefoldin Subunit 5 (PFDN5) also known as PFD5 or MKBP is a protein that forms part of the prefoldin complex. This protein which has a mass of around 15.7 kDa plays an important mechanical role in delivering nascent polypeptide chains to the chaperonin complex for proper folding. PFDN5 is expressed widely across various tissues with notable expression in the brain and testis. Its involvement in such fundamental processes suggests it supports maintaining cellular stability and homeostasis.
Biological function summary

PFDN5 contributes to the assembly and stabilization of cytoskeletal structures by participating in tubulin folding processes. It functions as a component of the prefoldin complex a hexameric molecular chaperone. Through its action PFDN5 assists in the folding and assembly of cytoskeletal proteins such as actin and tubulin ensuring proper cellular architecture and transport functions. The protein’s interaction within the complex highlights its support in cellular dynamics and structural maintenance.

Pathways

PFDN5 integrates into important cellular pathways related to protein folding and cytoskeletal assembly. It participates prominently in the tubulin folding pathway which is essential for microtubule formation. In this context PFDN5 interacts significantly with chaperonin-containing T-complex protein 1 (CCT) to facilitate the assembly of tubulin monomers into functional microtubules. These interactions highlight PFDN5’s role in maintaining cellular integrity and facilitating intracellular transport mechanisms.

PFDN5 presents associations with certain cancers particularly glioma. Altered expression or function of PFDN5 can disrupt normal cytoskeletal processes contributing to the irregular cell proliferation observed in gliomas. It has shown interactions with proteins like CCT2 in such pathological conditions. Furthermore PFDN5’s involvement in neurodegenerative processes links it to diseases like amyotrophic lateral sclerosis (ALS). In these contexts PFDN5 might influence disease progression through its impact on protein stability and cellular architecture.

Product protocols

For this product, it's our understanding that no specific protocols are required. You can visit:

Target data

Binds specifically to cytosolic chaperonin (c-CPN) and transfers target proteins to it. Binds to nascent polypeptide chain and promotes folding in an environment in which there are many competing pathways for nonnative proteins. Represses the transcriptional activity of MYC.
See full target information PFDN5

Product promise

We are committed to supporting your work with high-quality reagents, and we're here for you every step of the way. In the unlikely event that one of our products does not perform as expected, you're protected by our Product Promise.
For full details, please see our Terms & Conditions

Please note: All products are 'FOR RESEARCH USE ONLY. NOT FOR USE IN DIAGNOSTIC OR THERAPEUTIC PROCEDURES'.

For licensing inquiries, please contact partnerships@abcam.com