JavaScript is disabled in your browser. Please enable JavaScript to view this website.
AB181861

Anti-PFKFB3 antibody [EPR12594]

5

(6 Reviews)

|

(73 Publications)

Anti-PFKFB3 antibody [EPR12594] (ab181861) is a rabbit monoclonal antibody detecting PFKFB3 in Western Blot, Flow Cytometry (Intra), Flow Cytometry, IP, IHC-P, ICC/IF. Suitable for Human, Mouse, Rat.

- KO validated for confirmed specificity
- Biophysical QC for unrivalled batch-batch consistency
- Over 70 publications

View Alternative Names

PFK/FBPase 3, Renal carcinoma antigen NY-REN-56, iPFK-2, PFKFB3

10 Images
Immunoprecipitation - Anti-PFKFB3 antibody [EPR12594] (AB181861)
  • IP

Lab

Immunoprecipitation - Anti-PFKFB3 antibody [EPR12594] (AB181861)

PFKFB3 was immunoprecipitated from 0.35 mg of AR42J (rat pancreatic tumor epithelial cell) whole cell lysate with ab181861 at 1/30 dilution. Western blot was performed from the immunoprecipitate using ab181861 at 1/1000 dilution. VeriBlot for IP Detection Reagent (HRP) (ab131366), was used for detection at 1/5000 dilution. Lane 1 : AR42J (rat pancreatic tumor epithelial cell) whole cell lysate 10 μg (Input).  Lane 2 : ab181861 IP in AR42J whole cell lysate Lane 3 : Rabbit monoclonal IgG (ab172730) instead of  ab181861 in AR42J whole cell lysate Blocking and dilution buffer and concentration : 5% NFDM/TBST. Exposure time : 180 seconds.

All lanes:

Immunoprecipitation - Anti-PFKFB3 antibody [EPR12594] (ab181861)

Lane 1:

AR42J (rat pancreatic tumor epithelial cell) whole cell lysate at 10 µg

Lane 2:

Anti-PFKFB3 antibody IP in AR42J whole cell lysate

Secondary

All lanes:

Immunoprecipitation - VeriBlot for IP Detection Reagent (HRP) (<a href='/en-us/products/reagents/veriblot-for-ip-detection-reagent-hrp-ab131366'>ab131366</a>) at 1/5000 dilution

Predicted band size: 60 kDa

Observed band size: 60 kDa

false

Immunoprecipitation - Anti-PFKFB3 antibody [EPR12594] (AB181861)
  • IP

Lab

Immunoprecipitation - Anti-PFKFB3 antibody [EPR12594] (AB181861)

PFKFB3 was immunoprecipitated from 0.35 mg of Mouse skin tissue lysate with ab181861 at 1/30 dilution. Western blot was performed from the immunoprecipitate using ab181861 at 1/1000 dilution. VeriBlot for IP Detection Reagent (HRP) (ab131366), was used for detection at 1/5000 dilution.

Lane 1 : Mouse skin tissue lysate 10 μg (Input)

Lane 2 :  ab181861 at 1/30 IP in Mouse skin tissue lysate

Lane 3 :  Rabbit monoclonal IgG (ab172730) instead of  ab181861 in Mouse skin tissue lysate

Blocking and dilution buffer and concentration : 5% NFDM/TBST

This blot was developed using a high sensitivity ECL substrate. The high-sensitivity ECL substrate used allows for the detection of proteins in the mid-femtogram range.

All lanes:

Immunoprecipitation - Anti-PFKFB3 antibody [EPR12594] (ab181861) at 1/1000 dilution

Lane 1:

Mouse skin tissue lysate at 10 µg

Lane 2:

ab181861 at 1/30 IP in Mouse skin tissue lysate at 1/30 dilution

Secondary

All lanes:

Immunoprecipitation - VeriBlot for IP Detection Reagent (HRP) (<a href='/en-us/products/reagents/veriblot-for-ip-detection-reagent-hrp-ab131366'>ab131366</a>) at 1/5000 dilution

Observed band size: 60 kDa

true

Exposure time: 180s

Western blot - Anti-PFKFB3 antibody [EPR12594] (AB181861)
  • WB

Lab

Western blot - Anti-PFKFB3 antibody [EPR12594] (AB181861)

Exposure time : Lane 1-2 : 26 seconds, Lane 3-7 : 48 seconds Blocking buffer and concentration : 5% NFDM/TBST Lane 3-7 were developed using a high sensitivity ECL substrate. The expression level of PFKFB3 is upregulated during 3T3-L1 differentiation (PMID : 16306349). The band at approximately 110 kDa is likely to be PFKFB3 dimer (PMID : 31889092).

All lanes:

Western blot - Anti-PFKFB3 antibody [EPR12594] (ab181861) at 1/1000 dilution

Lane 1:

A431 (human epidermoid carcinoma epithelial cell), whole cell lysate at 20 µg

Lane 2:

bEnd.3 (mouse brain endothelial cell), whole cell lysate at 20 µg

Lane 3:

NIH/3T3 (mouse embryonic fibroblast), whole cell lysate at 20 µg

Lane 4:

4T1 (mouse mammary gland carcinoma epithelial cell), whole cell lysate at 20 µg

Lane 5:

Undifferentiated 3T3-L1 (mouse embryonic fibroblast), whole cell lysate at 20 µg

Lane 6:

3T3-L1 (mouse embryonic fibroblast) differentiated into adipocyte-like cells, whole cell lysate at 20 µg

Lane 7:

C2C12 (mouse myoblast), whole cell lysate at 20 µg

Secondary

All lanes:

Western blot - Goat Anti-Rabbit IgG H&L (HRP) (<a href='/en-us/products/secondary-antibodies/goat-rabbit-igg-h-l-hrp-ab97051'>ab97051</a>) at 1/20000 dilution

Predicted band size: 60 kDa

Observed band size: 60 kDa

true

Western blot - Anti-PFKFB3 antibody [EPR12594] (AB181861)
  • WB

Lab

Western blot - Anti-PFKFB3 antibody [EPR12594] (AB181861)

Blocking and diluting buffer and concentration : 5% NFDM/TBST.

This blot was developed using a high sensitivity ECL substrate. The high-sensitivity ECL substrate used allows for the detection of proteins in the mid-femtogram range.

All lanes:

Western blot - Anti-PFKFB3 antibody [EPR12594] (ab181861) at 1/1000 dilution

Lane 1:

A431 (human epidermoid carcinoma epithelial cell) whole cell lysate at 20 µg

Lane 2:

Mouse skin tissue lysate at 20 µg

Lane 3:

Rat breast tissue lysate at 20 µg

Lane 4:

AR42J (rat pancreatic tumor epithelial cell) whole cell lysate at 20 µg

Lane 5:

L6 (rat skeletal muscle myoblast) whole cell lysate at 20 µg

Secondary

All lanes:

Western blot - Goat Anti-Rabbit IgG H&L (HRP) (<a href='/en-us/products/secondary-antibodies/goat-rabbit-igg-h-l-hrp-ab97051'>ab97051</a>) at 1/20000 dilution

Predicted band size: 60 kDa

Observed band size: 60 kDa

true

Exposure time: 15s

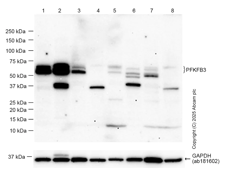
Western blot - Anti-PFKFB3 antibody [EPR12594] (AB181861)
  • WB

Lab

Western blot - Anti-PFKFB3 antibody [EPR12594] (AB181861)

Low expression : kidney tissue (PMID : 34660743).

In Western blot, Anti-GAPDH antibody [EPR16891] - Loading Control (ab181602) staining at 1/1000000 dilution.

All lanes:

Western blot - Anti-PFKFB3 antibody [EPR12594] (ab181861) at 1/1000 dilution

Lane 1:

Mouse lung tissue lysate at 20 µg

Lane 2:

Mouse liver tissue lysate at 20 µg

Lane 3:

Mouse heart tissue lysate at 20 µg

Lane 4:

Mouse kidney tissue lysate at 20 µg

Lane 5:

Rat lung tissue lysate at 20 µg

Lane 6:

Rat liver tissue lysate at 20 µg

Lane 7:

Rat heart tissue lysate at 20 µg

Lane 8:

Rat kidney tissue lysate at 20 µg

Secondary

All lanes:

Western blot - Goat Anti-Rabbit IgG H&L (HRP) (<a href='/en-us/products/secondary-antibodies/goat-rabbit-igg-h-l-hrp-ab97051'>ab97051</a>) at 1/20000 dilution

Observed band size: 60 kDa

true

Exposure time: 180s

Immunocytochemistry/ Immunofluorescence - Anti-PFKFB3 antibody [EPR12594] (AB181861)
  • ICC/IF

Supplier Data

Immunocytochemistry/ Immunofluorescence - Anti-PFKFB3 antibody [EPR12594] (AB181861)

Immunofluorescent analysis of 4% paraformaldehyde-fixed A431 cells labeling PFKFB3 with ab181861 at 1/100 dilution, followed by Goat anti rabbit IgG (Alexa Fluor®555) at 1/200 dilution. Counter stained with Dapi (blue).

Flow Cytometry (Intracellular) - Anti-PFKFB3 antibody [EPR12594] (AB181861)
  • Flow Cyt (Intra)

Unknown

Flow Cytometry (Intracellular) - Anti-PFKFB3 antibody [EPR12594] (AB181861)

Intracellular Flow Cytometry analysis of A431 (human epidermoid carcinoma) cells labeling PFKFB3 with purified ab181861 at 1/210 dilution (10ug/ml) (red). Cells were fixed with 4% paraformaldehyde and permeabilised with 90% methanol. A Goat anti rabbit IgG (Alexa Fluor® 488) (1/2000 dilution) was used as the secondary antibody. Rabbit monoclonal IgG (Black) was used as the isotype control, cells without incubation with primary antibody and secondary antibody (Blue) was used as the unlabeled control.

Immunocytochemistry/ Immunofluorescence - Anti-PFKFB3 antibody [EPR12594] (AB181861)
  • ICC/IF

Supplier Data

Immunocytochemistry/ Immunofluorescence - Anti-PFKFB3 antibody [EPR12594] (AB181861)

Immunofluorescent analysis of acetone-fixed HeLa cells labeling PFKFB3 with ab181861 at 1/100 dilution, followed by Goat anti rabbit IgG (Alexa Fluor®555) at 1/200 dilution. Counter stained with Dapi (blue).

Immunohistochemistry (Formalin/PFA-fixed paraffin-embedded sections) - Anti-PFKFB3 antibody [EPR12594] (AB181861)
  • IHC-P

Supplier Data

Immunohistochemistry (Formalin/PFA-fixed paraffin-embedded sections) - Anti-PFKFB3 antibody [EPR12594] (AB181861)

Immunohistochemical analysis of paraffin-embedded human melanoma tissue labeling PFKFB3 with ab181861 at 1/50 dilution followed by prediluted HRP Polymer for Rabbit IgG. Counter stained with Hematoxylin.

Perform heat mediated antigen retrieval with EDTA buffer pH 9 before commencing with IHC staining protocol.

Immunoprecipitation - Anti-PFKFB3 antibody [EPR12594] (AB181861)
  • IP

Supplier Data

Immunoprecipitation - Anti-PFKFB3 antibody [EPR12594] (AB181861)

Western blot analysis of PFKFB3 in HeLa cell lysate immunoprecipitated using ab181861 at 1/50 dilution (Lane 1). Lane 2 : Negative control.

Secondary antibody : Anti-Rabbit IgG (HRP), specific to the non-reduced form of IgG at 1/1500 dilution.

All lanes:

Immunoprecipitation - Anti-PFKFB3 antibody [EPR12594] (ab181861)

Predicted band size: 60 kDa

false

Key facts

Host species

Rabbit

Clonality

Monoclonal

Clone number

EPR12594

Isotype

IgG

Carrier free

No

Reacts with

Mouse, Rat, Human

Applications

IHC-P, ICC/IF, WB, Flow Cyt (Intra), IP

applications

Immunogen

The exact immunogen used to generate this antibody is proprietary information.

Reactivity data

{ "title": "Reactivity Data", "filters": { "stats": ["", "Species", "Dilution Info", "Notes"], "tabs": { "all-applications": {"fullname" : "All Applications", "shortname": "All Applications"}, "IP" : {"fullname" : "Immunoprecipitation", "shortname":"IP"}, "WB" : {"fullname" : "Western blot", "shortname":"WB"}, "ICCIF" : {"fullname" : "Immunocytochemistry/ Immunofluorescence", "shortname":"ICC/IF"}, "FlowCytIntra" : {"fullname" : "Flow Cytometry (Intracellular)", "shortname":"Flow Cyt (Intra)"}, "IHCP" : {"fullname" : "Immunohistochemistry (Formalin/PFA-fixed paraffin-embedded sections)", "shortname":"IHC-P"} }, "product-promise": { "all": "all", "testedAndGuaranteed": "tested", "guaranteed": "expected", "predicted": "predicted", "notRecommended": "not-recommended" } }, "values": { "Human": { "IP-species-checked": "testedAndGuaranteed", "IP-species-dilution-info": "1/50", "IP-species-notes": "<p></p>", "WB-species-checked": "testedAndGuaranteed", "WB-species-dilution-info": "1/1000 - 1/10000", "WB-species-notes": "<p></p>", "ICCIF-species-checked": "testedAndGuaranteed", "ICCIF-species-dilution-info": "1/100", "ICCIF-species-notes": "<p></p>", "FlowCytIntra-species-checked": "testedAndGuaranteed", "FlowCytIntra-species-dilution-info": "", "FlowCytIntra-species-notes": "<p></p>", "IHCP-species-checked": "testedAndGuaranteed", "IHCP-species-dilution-info": "1/50", "IHCP-species-notes": "<p></p> Perform heat-mediated antigen retrieval with Tris/EDTA buffer pH 9.0 before commencing with IHC staining protocol." }, "Mouse": { "IP-species-checked": "testedAndGuaranteed", "IP-species-dilution-info": "1/50", "IP-species-notes": "<p></p>", "WB-species-checked": "testedAndGuaranteed", "WB-species-dilution-info": "1/1000 - 1/10000", "WB-species-notes": "<p></p>", "ICCIF-species-checked": "notRecommended", "ICCIF-species-dilution-info": "", "ICCIF-species-notes": "<p></p>", "FlowCytIntra-species-checked": "guaranteed", "FlowCytIntra-species-dilution-info": "", "FlowCytIntra-species-notes": "", "IHCP-species-checked": "notRecommended", "IHCP-species-dilution-info": "", "IHCP-species-notes": "<p></p>" }, "Rat": { "IP-species-checked": "testedAndGuaranteed", "IP-species-dilution-info": "1/50", "IP-species-notes": "<p></p>", "WB-species-checked": "testedAndGuaranteed", "WB-species-dilution-info": "1/1000 - 1/10000", "WB-species-notes": "<p></p>", "ICCIF-species-checked": "notRecommended", "ICCIF-species-dilution-info": "", "ICCIF-species-notes": "<p></p>", "FlowCytIntra-species-checked": "guaranteed", "FlowCytIntra-species-dilution-info": "", "FlowCytIntra-species-notes": "", "IHCP-species-checked": "notRecommended", "IHCP-species-dilution-info": "", "IHCP-species-notes": "<p></p>" } } }

You may be interested in:

AB155898

Phosphofructokinase Activity Assay Kit (6-PFK, Colorimetric)

0

0 Reviews

View product

We recommend this product because it’s often used in the same experiment or related research.

We advise that you always check the datasheet to ensure it fits your experiments, or contact ourtechnical teamfor help.

Product details

What is this antibody validated in?
Anti-PFKFB3 antibody [EPR12594] (ab181861) is a rabbit recombinant monoclonal antibody and is validated for use in Western Blot (WB), Flow Cytometry (Intra), Flow Cytometry (Flow Cyt), Immunoprecipitation (IP), Immunohistochemistry (IHC-P), Immunocytochemistry/immunofluorescence (ICC/IF) in Human, Mouse, Rat samples.

What is the molecular weight of PFKFB3?
Anti-PFKFB3 [EPR12594] (ab181861) specifically detects a band for PFKFB3 (UniProt: Q16875) at a molecular weight of 60kDa.

Trusted by the scientific community
Anti-PFKFB3 [EPR12594] (ab181861) was first used in a scientific publication in 2014 and has been cited over 70 times in peer-reviewed journals.

Reviewed by scientists
Anti-PFKFB3 [EPR12594] (ab181861) has over 5 independent reviews from customers.

Trial sizes available!
Test your antibody or perform pre-screening before committing to a larger quantity. Sold in 10µl. Discover our selection of trial-size antibodies.

Specificity confirmed
The specificity of Anti-PFKFB3 antibody [EPR12594] (ab181861) has been confirmed by Western blot testing in PFKFB3 Knockout HAP1 cells.

Other related products
We have a range of other formats of antibody clone [EPR12594] also available for your convenience: ab181861, Alexa Fluor® 647 - ab203651, Alexa Fluor® 488 - ab203984, Carrier free - ab218121

Patented technology
Our RabMAb® technology is a patented hybridoma-based technology for making rabbit monoclonal antibodies. For details on our patents, please refer to RabMAb® patents.

What are the advantages of a recombinant monoclonal antibody?
This product is a recombinant monoclonal antibody, which offers several advantages including:

  • - High batch-to-batch consistency and reproducibility
  • - Improved sensitivity and specificity
  • - Long-term security of supply
  • - Animal-free batch production

For more information, read more on recombinant antibodies.

Properties and storage information

Form
Liquid
Purification technique
Affinity purification Protein A
Storage buffer
Preservative: 0.01% Sodium azide Constituents: 59% PBS, 40% Glycerol (glycerin, glycerine), 0.05% BSA
Shipped at conditions
Blue Ice
Appropriate short-term storage duration
1-2 weeks
Appropriate short-term storage conditions
+4°C
Appropriate long-term storage conditions
-20°C
Aliquoting information
Upon delivery aliquot
Storage information
Avoid freeze / thaw cycle

Supplementary information

This supplementary information is collated from multiple sources and compiled automatically.

PFKFB3 also known as 6-phosphofructo-2-kinase/fructose-26-bisphosphatase 3 serves a significant role in regulating glycolysis. This bifunctional enzyme weighs approximately 58 kDa and manages levels of fructose-26-bisphosphate a potent activator of another enzyme called phosphofructokinase-1. PFKFB3 expression occurs in various tissues but is especially high in areas with active cell proliferation like the brain and tumors. This enzyme's activity affects glycolytic flux critical for energy production and biosynthesis especially under conditions requiring rapid energy supply.
Biological function summary

PFKFB3 regulates cellular energy metabolism serving as a switch for converting carbohydrates into energy and building blocks for growth. This enzyme is part of a glycolytic complex coordinating energy needs during proliferation and survival. Its activity is important in processes demanding increased energy and anabolic precursors such as cell division. The enzyme's modulation affects fructose-26-bisphosphate levels influencing cellular responses to stress and nutrient availability directly impacting metabolic adaptation.

Pathways

PFKFB3 integrates into the glycolytic pathway and the pentose phosphate pathway. PFKFB3's control over fructose-26-bisphosphate levels influences phosphofructokinase-1 modulating the glycolytic pathway's rate. This modulation impacts energy production efficiency and the provision of metabolites required for nucleotide synthesis linking to the pentose phosphate pathway. Proline-rich AKT substrate of 40 kDa (PRAS40) and AKT may also interact indirectly to regulate PFKFB3 activity in these metabolic pathways.

PFKFB3 links strongly to cancer and diabetes. Its upregulation in cancerous tissues supports tumor growth by promoting glycolysis known as the Warburg effect. Cancer-associated proteins such as KRAS often rely on PFKFB3's glycolytic control to sustain proliferative signaling. Additionally in diabetes altered PFKFB3 activity can contribute to insulin resistance due to disrupted metabolic homeostasis with insulin pathway proteins like IRS1 potentially interacting with it in this context.

Product protocols

For this product, it's our understanding that no specific protocols are required. You can visit:

Target data

Catalyzes both the synthesis and degradation of fructose 2,6-bisphosphate.
See full target information PFKFB3

Publications (73)

Recent publications for all applications. Explore the full list and refine your search

Frontiers in immunology 14:1259434 PubMed38035106

2023

Myeloid PFKFB3-mediated glycolysis promotes kidney fibrosis.

Applications

Unspecified application

Species

Unspecified reactive species

Qiuhua Yang,Emily Huo,Yongfeng Cai,Zhidan Zhang,Charles Dong,John M Asara,Huidong Shi,Qingqing Wei

Cancer cell international 23:257 PubMed37919747

2023

Comparative clinical significance and biological roles of PFKFB family members in oral squamous cell carcinoma.

Applications

Unspecified application

Species

Unspecified reactive species

Kai-Fang Hu,Chih-Wen Shu,Cheng-Hsin Lee,Ching-Jiunn Tseng,Yu-Hsiang Chou,Pei-Feng Liu

Open life sciences 18:20220697 PubMed37941780

2023

Knockdown of SETD5 inhibited glycolysis and tumor growth in gastric cancer cells by down-regulating Akt signaling pathway.

Applications

Unspecified application

Species

Unspecified reactive species

Jing Shi,Litao Yu,Changhong Zhu,Haiyan Zhong

Cells 12: PubMed37626891

2023

PFKFB3-Mediated Glycolysis Boosts Fibroblast Activation and Subsequent Kidney Fibrosis.

Applications

Unspecified application

Species

Unspecified reactive species

Qiuhua Yang,Emily Huo,Yongfeng Cai,Zhidan Zhang,Charles Dong,John M Asara,Qingqing Wei

Renal failure 45:2230318 PubMed37427767

2023

PFKFB3 downregulation aggravates Angiotensin II-induced podocyte detachment.

Applications

Unspecified application

Species

Unspecified reactive species

Xiaoxiao Huang,Zhaowei Chen,Zilv Luo,Yiqun Hao,Jun Feng,Zijing Zhu,Xueyan Yang,Zongwei Zhang,Jijia Hu,Wei Liang,Guohua Ding

Frontiers in immunology 14:1148216 PubMed37350964

2023

Metabolic reprogramming through mitochondrial biogenesis drives adenosine anti-inflammatory effects: new mechanism controlling gingival fibroblast hyper-inflammatory state.

Applications

Unspecified application

Species

Unspecified reactive species

Nathalie Paladines,Shantiece Dawson,Weston Ryan,Rogelio Serrano-Lopez,Regina Messer,Yuqing Huo,Christopher W Cutler,Erivan S Ramos-Junior,Ana Carolina Morandini

BMC oral health 23:103 PubMed36793034

2023

Hexokinase 2-mediated glycolysis supports inflammatory responses to Porphyromonas gingivalis in gingival fibroblasts.

Applications

Unspecified application

Species

Unspecified reactive species

Wenqi Su,Jingwen Li,Lishan Jiang,Lang Lei,Houxuan Li

Molecular neurobiology 60:3044-3053 PubMed36781739

2023

Acute Stress, Induced by IFNγ  + Aβ, and Chronic Stress, Induced by Age, Affect Microglia in a Sex-Specific Manner.

Applications

Unspecified application

Species

Unspecified reactive species

Virginia Mela,Aline Sayd Gaban,Paul Marie Shatz,Marie-Victoire Guillot-Sestier,Marina A Lynch

Frontiers in immunology 13:1080501 PubMed36733385

2023

PFKFB3 overexpression in monocytes of patients with colon but not rectal cancer programs pro-tumor macrophages and is indicative for higher risk of tumor relapse.

Applications

Unspecified application

Species

Unspecified reactive species

Irina Larionova,Marina Patysheva,Pavel Iamshchikov,Elena Kazakova,Anna Kazakova,Militsa Rakina,Evgeniya Grigoryeva,Anna Tarasova,Sergei Afanasiev,Natalia Bezgodova,Artem Kiselev,Alexey Dobrodeev,Dmitriy Kostromitskiy,Nadezhda Cherdyntseva,Julia Kzhyshkowska

Journal of animal physiology and animal nutrition 107:1110-1124 PubMed36688451

2023

Hen egg only diets support healthy aging in adult mice.

Applications

Unspecified application

Species

Unspecified reactive species

Naomi Nishio,Ken-Ichi Isobe
View all publications

Product promise

We are committed to supporting your work with high-quality reagents, and we're here for you every step of the way. In the unlikely event that one of our products does not perform as expected, you're protected by our Product Promise.
For full details, please see our Terms & Conditions

Associated Products

Select an associated product type
Alternative Product
Primary Antibodies

AB202291

Anti-PFKFB3 (phospho S461) antibody [EPR19735]

primary-antibodies

pfkfb3-phospho-s461-antibody-epr19735-ab202291

3

(3 reviews)

Alternative Product
Primary Antibodies

AB232498

Anti-PFKFB3 (phospho S461) antibody [EPR19735] - BSA and Azide free

primary-antibodies

pfkfb3-phospho-s461-antibody-epr19735-bsa-and-azide-free-ab232498

0

(0 reviews)

Alternative Product
Primary Antibodies

AB96699

Anti-PFKFB3 antibody

primary-antibodies

pfkfb3-antibody-ab96699

0

(0 reviews)

Alternative Version
Primary Antibodies

AB224262

Anti-Indoleamine 2, 3-dioxygenase antibody [EPR1230Y] - Low endotoxin, Azide free

primary-antibodies

indoleamine-2-3-dioxygenase-antibody-epr1230y-low-endotoxin-azide-free-ab224262

0

(0 reviews)

Please note: All products are 'FOR RESEARCH USE ONLY. NOT FOR USE IN DIAGNOSTIC OR THERAPEUTIC PROCEDURES'.

For licensing inquiries, please contact partnerships@abcam.com