JavaScript is disabled in your browser. Please enable JavaScript to view this website.
AB202291

Anti-PFKFB3 (phospho S461) antibody [EPR19735]

3

(3 Reviews)

|

(7 Publications)

Rabbit Recombinant Monoclonal PFKFB3 phospho S461 antibody. Suitable for WB, Dot, ICC/IF and reacts with Transfected cell lysate - Human, Transfected cell lysate - Mouse, Synthetic peptide, Transfected cell line - Mouse samples. Cited in 7 publications.

View Alternative Names

PFK/FBPase 3, Renal carcinoma antigen NY-REN-56, iPFK-2, PFKFB3

4 Images
Immunocytochemistry/ Immunofluorescence - Anti-PFKFB3 (phospho S461) antibody [EPR19735] (AB202291)
  • ICC/IF

Supplier Data

Immunocytochemistry/ Immunofluorescence - Anti-PFKFB3 (phospho S461) antibody [EPR19735] (AB202291)

Immunofluorescent analysis of 4% paraformaldehyde-fixed, 0.2% Triton X-100 permeabilized HEK-293T (Human epithelial cell line from embryonic kidney) cells labeling PFKFB3 (phospho S461) with ab202291 at 1/100 dilution. Counterstained with Anti-FLAG antibody (green).

The results showed positive staining on Flag-mPFKFB3 transfected HEK-293T cells and no staining on Flag-mPFKFB3 S461A mutant transfected HEK-293T cells. The image was provided by our collaborator Dr. Jianghuai Liu, Nanjing University MARC.

The nuclear counter stain is DAPI (blue).

Western blot - Anti-PFKFB3 (phospho S461) antibody [EPR19735] (AB202291)
  • WB

Unknown

Western blot - Anti-PFKFB3 (phospho S461) antibody [EPR19735] (AB202291)

Blocking and diluting buffer and concentration : 5% NFDM/TBST.

We internally failed to obtain clear signal while detecting nature samples.

All lanes:

Western blot - Anti-PFKFB3 (phospho S461) antibody [EPR19735] (ab202291) at 1/1000 dilution

Lane 1:

HEK-293T (Human epithelial cell line from embryonic kidney) transfected with empty vector, whole cell lysate at 20 µg

Lane 2:

HEK-293T (Human epithelial cell line from embryonic kidney) transfected with human PFKFB3 (WT) whole cell lysate at 20 µg

Lane 3:

HEK-293T (Human epithelial cell line from embryonic kidney) transfected with human PFKFB3 (S461A mutant) whole cell lysate at 20 µg

Lane 4:

HEK-293T (Human epithelial cell line from embryonic kidney) transfected with mouse PFKFB3 (WT) whole cell lysate at 20 µg

Lane 5:

HEK-293T (Human epithelial cell line from embryonic kidney) transfected with mouse PFKFB3 (S461A mutant) whole cell lysate at 20 µg

Secondary

All lanes:

Western blot - Goat Anti-Rabbit IgG H&L (HRP) (<a href='/en-us/products/secondary-antibodies/goat-rabbit-igg-h-l-hrp-ab97051'>ab97051</a>) at 1/20000 dilution

Predicted band size: 60 kDa

Observed band size: 60 kDa

false

Exposure time: 180s

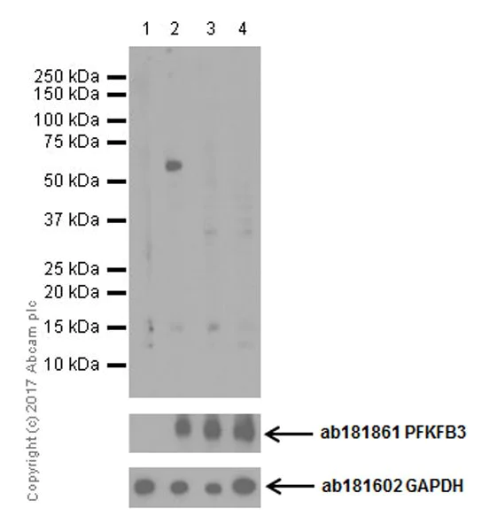
Western blot - Anti-PFKFB3 (phospho S461) antibody [EPR19735] (AB202291)
  • WB

Supplier Data

Western blot - Anti-PFKFB3 (phospho S461) antibody [EPR19735] (AB202291)

Blocking/Dilution buffer : 2% BSA/TBST.

The plasmids were kindly provided by our collaborator Dr. Jianghuai Liu, Nanjing University MARC.

All lanes:

Western blot - Anti-PFKFB3 (phospho S461) antibody [EPR19735] (ab202291) at 1/1000 dilution

Lane 1:

HEK-293T (Human epithelial cell line from embryonic kidney) transfected with empty vector (vector control), whole cell lysate at 10 µg

Lane 2:

HEK-293T (Human epithelial cell line from embryonic kidney) transfected with mPFKFB3 (WT) whole cell lysate at 10 µg

Lane 3:

HEK-293T (Human epithelial cell line from embryonic kidney) transfected with mPFKFB3 (WT), then treated with alkaline phosphatase for 1 hour, whole cell lysate at 10 µg

Lane 4:

HEK-293T (Human epithelial cell line from embryonic kidney) transfected with mPFKFB3 S461A mutant, whole cell lysate at 10 µg

Secondary

All lanes:

Western blot - Goat Anti-Rabbit IgG H&L (HRP) (<a href='/en-us/products/secondary-antibodies/goat-rabbit-igg-h-l-hrp-ab97051'>ab97051</a>) at 1/50000 dilution

Predicted band size: 60 kDa,92 kDa

Observed band size: 140 kDa,30 kDa,60 kDa

false

Exposure time: 3min

Dot Blot - Anti-PFKFB3 (phospho S461) antibody [EPR19735] (AB202291)
  • Dot

Supplier Data

Dot Blot - Anti-PFKFB3 (phospho S461) antibody [EPR19735] (AB202291)

Dot blot analysis of PFKFB3 (phospho S461) labeled with ab202291 at 1/1000 dilution.

Lane 1 : PFKFB3 (phospho S461) peptide;
Lane 2 : PFKFB3 non-phospho peptide.

Goat Anti-Rabbit IgG, (H+L), Peroxidase conjugated (ab97051) at 1/20000 was used as secondary antibody.

Blocking and diluting buffer : 5% NFDM/TBST.

Exposure time : 10 seconds.

Key facts

Host species

Rabbit

Clonality

Monoclonal

Clone number

EPR19735

Isotype

IgG

Carrier free

No

Reacts with

Mouse, Human

Applications

Dot, ICC/IF, WB

applications

Immunogen

The exact immunogen used to generate this antibody is proprietary information.

Reactivity data

{ "title": "Reactivity Data", "filters": { "stats": ["", "Species", "Dilution Info", "Notes"], "tabs": { "all-applications": {"fullname" : "All Applications", "shortname": "All Applications"}, "WB" : {"fullname" : "Western blot", "shortname":"WB"}, "Dot" : {"fullname" : "Dot Blot", "shortname":"Dot"}, "ICCIF" : {"fullname" : "Immunocytochemistry/ Immunofluorescence", "shortname":"ICC/IF"} }, "product-promise": { "all": "all", "testedAndGuaranteed": "tested", "guaranteed": "expected", "predicted": "predicted", "notRecommended": "not-recommended" } }, "values": { "Human": { "WB-species-checked": "predicted", "WB-species-dilution-info": "", "WB-species-notes": "", "Dot-species-checked": "predicted", "Dot-species-dilution-info": "", "Dot-species-notes": "", "ICCIF-species-checked": "predicted", "ICCIF-species-dilution-info": "", "ICCIF-species-notes": "" }, "Mouse": { "WB-species-checked": "predicted", "WB-species-dilution-info": "", "WB-species-notes": "", "Dot-species-checked": "predicted", "Dot-species-dilution-info": "", "Dot-species-notes": "", "ICCIF-species-checked": "predicted", "ICCIF-species-dilution-info": "", "ICCIF-species-notes": "" }, "Synthetic peptide": { "WB-species-checked": "notRecommended", "WB-species-dilution-info": "", "WB-species-notes": "", "Dot-species-checked": "testedAndGuaranteed", "Dot-species-dilution-info": "1/1000", "Dot-species-notes": "<p></p>", "ICCIF-species-checked": "notRecommended", "ICCIF-species-dilution-info": "", "ICCIF-species-notes": "" }, "Transfected cell line - Mouse": { "WB-species-checked": "notRecommended", "WB-species-dilution-info": "", "WB-species-notes": "", "Dot-species-checked": "notRecommended", "Dot-species-dilution-info": "", "Dot-species-notes": "", "ICCIF-species-checked": "testedAndGuaranteed", "ICCIF-species-dilution-info": "1/100", "ICCIF-species-notes": "<p></p>" }, "Transfected cell lysate - Human": { "WB-species-checked": "testedAndGuaranteed", "WB-species-dilution-info": "1/1000", "WB-species-notes": "<p></p>", "Dot-species-checked": "notRecommended", "Dot-species-dilution-info": "", "Dot-species-notes": "", "ICCIF-species-checked": "notRecommended", "ICCIF-species-dilution-info": "", "ICCIF-species-notes": "" }, "Transfected cell lysate - Mouse": { "WB-species-checked": "testedAndGuaranteed", "WB-species-dilution-info": "1/1000", "WB-species-notes": "<p></p>", "Dot-species-checked": "notRecommended", "Dot-species-dilution-info": "", "Dot-species-notes": "", "ICCIF-species-checked": "notRecommended", "ICCIF-species-dilution-info": "", "ICCIF-species-notes": "" } } }

Product details

Patented technology
Our RabMAb® technology is a patented hybridoma-based technology for making rabbit monoclonal antibodies. For details on our patents, please refer to RabMAb® patents.

What are the advantages of a recombinant monoclonal antibody?
This product is a recombinant monoclonal antibody, which offers several advantages including:

  • - High batch-to-batch consistency and reproducibility
  • - Improved sensitivity and specificity
  • - Long-term security of supply
  • - Animal-free batch production

For more information, read more on recombinant antibodies.

Properties and storage information

Form
Liquid
Purification technique
Affinity purification Protein A
Storage buffer
pH: 7.2 - 7.4 Preservative: 0.01% Sodium azide Constituents: PBS, 40% Glycerol (glycerin, glycerine), 0.05% BSA
Shipped at conditions
Blue Ice
Appropriate short-term storage duration
1-2 weeks
Appropriate short-term storage conditions
+4°C
Appropriate long-term storage conditions
-20°C
Aliquoting information
Upon delivery aliquot
Storage information
Avoid freeze / thaw cycle

Supplementary information

This supplementary information is collated from multiple sources and compiled automatically.

PFKFB3 also known as 6-phosphofructo-2-kinase/fructose-26-bisphosphatase 3 serves a significant role in regulating glycolysis. This bifunctional enzyme weighs approximately 58 kDa and manages levels of fructose-26-bisphosphate a potent activator of another enzyme called phosphofructokinase-1. PFKFB3 expression occurs in various tissues but is especially high in areas with active cell proliferation like the brain and tumors. This enzyme's activity affects glycolytic flux critical for energy production and biosynthesis especially under conditions requiring rapid energy supply.
Biological function summary

PFKFB3 regulates cellular energy metabolism serving as a switch for converting carbohydrates into energy and building blocks for growth. This enzyme is part of a glycolytic complex coordinating energy needs during proliferation and survival. Its activity is important in processes demanding increased energy and anabolic precursors such as cell division. The enzyme's modulation affects fructose-26-bisphosphate levels influencing cellular responses to stress and nutrient availability directly impacting metabolic adaptation.

Pathways

PFKFB3 integrates into the glycolytic pathway and the pentose phosphate pathway. PFKFB3's control over fructose-26-bisphosphate levels influences phosphofructokinase-1 modulating the glycolytic pathway's rate. This modulation impacts energy production efficiency and the provision of metabolites required for nucleotide synthesis linking to the pentose phosphate pathway. Proline-rich AKT substrate of 40 kDa (PRAS40) and AKT may also interact indirectly to regulate PFKFB3 activity in these metabolic pathways.

PFKFB3 links strongly to cancer and diabetes. Its upregulation in cancerous tissues supports tumor growth by promoting glycolysis known as the Warburg effect. Cancer-associated proteins such as KRAS often rely on PFKFB3's glycolytic control to sustain proliferative signaling. Additionally in diabetes altered PFKFB3 activity can contribute to insulin resistance due to disrupted metabolic homeostasis with insulin pathway proteins like IRS1 potentially interacting with it in this context.

Product protocols

For this product, it's our understanding that no specific protocols are required. You can visit:

Target data

Catalyzes both the synthesis and degradation of fructose 2,6-bisphosphate.
See full target information PFKFB3 phospho S461

Publications (7)

Recent publications for all applications. Explore the full list and refine your search

Cell death & disease 14:224 PubMed36990998

2023

Targeting Aurora-A inhibits tumor progression and sensitizes thyroid carcinoma to Sorafenib by decreasing PFKFB3-mediated glycolysis.

Applications

Unspecified application

Species

Unspecified reactive species

Zhi Jingtai,Hu Linfei,Qian Yuyang,Kang Ning,Yun Xinwei,Wang Xin,Ruan Xianhui,Huang Dongmei,Yang Weiwei,Meng Xiangrui,Zhu Tianze,Wang Wei,Zheng Xiangqian

eLife 11: PubMed36448541

2022

An ER phospholipid hydrolase drives ER-associated mitochondrial constriction for fission and fusion.

Applications

Unspecified application

Species

Unspecified reactive species

Tricia T Nguyen,Gia K Voeltz

Cellular and molecular life sciences : CMLS 79:89 PubMed35072776

2022

miR-193a-3p increases glycolysis under hypoxia by facilitating Akt phosphorylation and PFKFB3 activation in human macrophages.

Applications

Unspecified application

Species

Unspecified reactive species

Dominik C Fuhrmann,Bernhard Brüne

Communications biology 4:188 PubMed33580152

2021

Amylin deposition activates HIF1α and 6-phosphofructo-2-kinase/fructose-2, 6-biphosphatase 3 (PFKFB3) signaling in failing hearts of non-human primates.

Applications

Unspecified application

Species

Unspecified reactive species

Miao Liu,Nan Li,Chun Qu,Yilin Gao,Lijie Wu,Liangbiao George Hu

Scientific reports 9:18859 PubMed31827136

2019

Mutant IDH1 confers resistance to energy stress in normal biliary cells through PFKP-induced aerobic glycolysis and AMPK activation.

Applications

Unspecified application

Species

Unspecified reactive species

Hiroaki Fujiwara,Keisuke Tateishi,Kento Misumi,Akimasa Hayashi,Kaori Igarashi,Hiroyuki Kato,Takuma Nakatsuka,Nobumi Suzuki,Keisuke Yamamoto,Yotaro Kudo,Yoku Hayakawa,Hayato Nakagawa,Yasuo Tanaka,Hideaki Ijichi,Hirofumi Kogure,Yosuke Nakai,Hiroyuki Isayama,Kiyoshi Hasegawa,Masashi Fukayama,Tomoyoshi Soga,Kazuhiko Koike

Diabetologia 63:149-161 PubMed31720731

2019

Activation of the HIF1α/PFKFB3 stress response pathway in beta cells in type 1 diabetes.

Applications

Unspecified application

Species

Unspecified reactive species

Hiroshi Nomoto,Lina Pei,Chiara Montemurro,Madeline Rosenberger,Allison Furterer,Giovanni Coppola,Brian Nadel,Matteo Pellegrini,Tatyana Gurlo,Peter C Butler,Slavica Tudzarova

Cell metabolism 30:157-173.e7 PubMed31155494

2019

CircACC1 Regulates Assembly and Activation of AMPK Complex under Metabolic Stress.

Applications

Unspecified application

Species

Unspecified reactive species

Qidong Li,Yichun Wang,Shuang Wu,Zhong Zhou,Xiaojuan Ding,Ronghua Shi,Rick F Thorne,Xu Dong Zhang,Wanglai Hu,Mian Wu
View all publications

Product promise

We are committed to supporting your work with high-quality reagents, and we're here for you every step of the way. In the unlikely event that one of our products does not perform as expected, you're protected by our Product Promise.
For full details, please see our Terms & Conditions

Please note: All products are 'FOR RESEARCH USE ONLY. NOT FOR USE IN DIAGNOSTIC OR THERAPEUTIC PROCEDURES'.

For licensing inquiries, please contact partnerships@abcam.com