JavaScript is disabled in your browser. Please enable JavaScript to view this website.
AB232498

Anti-PFKFB3 (phospho S461) antibody [EPR19735] - BSA and Azide free

Be the first to review this product! Submit a review

|

(3 Publications)

Rabbit Recombinant Monoclonal PFKFB3 phospho S461 antibody. Carrier free. Suitable for Dot, WB, ICC/IF and reacts with Synthetic peptide, Transfected cell lysate - Human, Transfected cell lysate - Mouse, Transfected cell line - Mouse samples. Cited in 3 publications.

View Alternative Names

PFK/FBPase 3, Renal carcinoma antigen NY-REN-56, iPFK-2, PFKFB3

4 Images
Immunocytochemistry/ Immunofluorescence - Anti-PFKFB3 (phospho S461) antibody [EPR19735] - BSA and Azide free (AB232498)
  • ICC/IF

Supplier Data

Immunocytochemistry/ Immunofluorescence - Anti-PFKFB3 (phospho S461) antibody [EPR19735] - BSA and Azide free (AB232498)

Immunofluorescent analysis of 4% paraformaldehyde-fixed, 0.2% Triton X-100 permeabilized HEK-293T (Human epithelial cell line from embryonic kidney) cells labeling PFKFB3 (phospho S461) with ab202291 at 1/100 dilution. Counterstained with Anti-FLAG antibody (green).

The results showed positive staining on Flag-mPFKFB3 transfected HEK-293T cells and no staining on Flag-mPFKFB3 S461A mutant transfected HEK-293T cells. The image was provided by our collaborator Dr. Jianghuai Liu, Nanjing University MARC.

The nuclear counter stain is DAPI (blue).

This data was developed using the same antibody clone in a different buffer formulation containing PBS, BSA, glycerol, and sodium azide (ab202291).

Western blot - Anti-PFKFB3 (phospho S461) antibody [EPR19735] - BSA and Azide free (AB232498)
  • WB

Unknown

Western blot - Anti-PFKFB3 (phospho S461) antibody [EPR19735] - BSA and Azide free (AB232498)

This data was developed using the same antibody clone in a different buffer formulation containing PBS BSA glycerol and sodium azide (ab202291).

Blocking and diluting buffer and concentration : 5% NFDM/TBST.

We internally failed to obtain clear signal while detecting nature samples.

All lanes:

Western blot - Anti-PFKFB3 (phospho S461) antibody [EPR19735] (<a href='/en-us/products/primary-antibodies/pfkfb3-phospho-s461-antibody-epr19735-ab202291'>ab202291</a>) at 1/1000 dilution

Lane 1:

HEK-293T (Human epithelial cell line from embryonic kidney) transfected with empty vector, whole cell lysate at 20 µg

Lane 2:

HEK-293T (Human epithelial cell line from embryonic kidney) transfected with human PFKFB3 (WT) whole cell lysate at 20 µg

Lane 3:

HEK-293T (Human epithelial cell line from embryonic kidney) transfected with human PFKFB3 (S461A mutant) whole cell lysate at 20 µg

Lane 4:

HEK-293T (Human epithelial cell line from embryonic kidney) transfected with mouse PFKFB3 (WT) whole cell lysate at 20 µg

Lane 5:

HEK-293T (Human epithelial cell line from embryonic kidney) transfected with mouse PFKFB3 (S461A mutant) whole cell lysate at 20 µg

Secondary

All lanes:

Western blot - Goat Anti-Rabbit IgG H&L (HRP) (<a href='/en-us/products/secondary-antibodies/goat-rabbit-igg-h-l-hrp-ab97051'>ab97051</a>) at 1/20000 dilution

Predicted band size: 60 kDa

Observed band size: 60 kDa

false

Exposure time: 180s

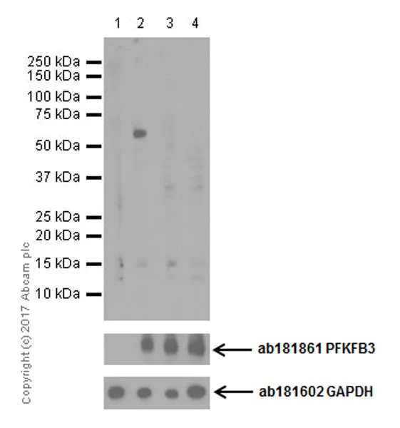
Western blot - Anti-PFKFB3 (phospho S461) antibody [EPR19735] - BSA and Azide free (AB232498)
  • WB

Supplier Data

Western blot - Anti-PFKFB3 (phospho S461) antibody [EPR19735] - BSA and Azide free (AB232498)

This data was developed using the same antibody clone in a different buffer formulation containing PBS BSA glycerol and sodium azide (ab202291).

Blocking/Dilution buffer : 2% BSA/TBST.

The plasmids were kindly provided by our collaborator Dr. Jianghuai Liu, Nanjing University MARC.

All lanes:

Western blot - Anti-PFKFB3 (phospho S461) antibody [EPR19735] (<a href='/en-us/products/primary-antibodies/pfkfb3-phospho-s461-antibody-epr19735-ab202291'>ab202291</a>) at 1/1000 dilution

Lane 1:

HEK-293T (Human epithelial cell line from embryonic kidney) transfected with empty vector (vector control), whole cell lysate at 10 µg

Lane 2:

HEK-293T (Human epithelial cell line from embryonic kidney) transfected with mPFKFB3 (WT) whole cell lysate at 10 µg

Lane 3:

HEK-293T (Human epithelial cell line from embryonic kidney) transfected with mPFKFB3 (WT), then treated with alkaline phosphatase for 1 hour, whole cell lysate at 10 µg

Lane 4:

HEK-293T (Human epithelial cell line from embryonic kidney) transfected with mPFKFB3 S461A mutant, whole cell lysate at 10 µg

Secondary

All lanes:

Western blot - Goat Anti-Rabbit IgG H&L (HRP) (<a href='/en-us/products/secondary-antibodies/goat-rabbit-igg-h-l-hrp-ab97051'>ab97051</a>) at 1/50000 dilution

Predicted band size: 60 kDa,92 kDa

Observed band size: 140 kDa,30 kDa,60 kDa

false

Exposure time: 3min

Dot Blot - Anti-PFKFB3 (phospho S461) antibody [EPR19735] - BSA and Azide free (AB232498)
  • Dot

Supplier Data

Dot Blot - Anti-PFKFB3 (phospho S461) antibody [EPR19735] - BSA and Azide free (AB232498)

Dot blot analysis of PFKFB3 (phospho S461) labeled with ab202291 at 1/1000 dilution.

Lane 1 : PFKFB3 (phospho S461) peptide;

Lane 2 : PFKFB3 non-phospho peptide.

Goat Anti-Rabbit IgG, (H+L), Peroxidase conjugated (ab97051) at 1/20000 was used as secondary antibody.

Blocking and diluting buffer : 5% NFDM/TBST.

Exposure time : 10 seconds.

This data was developed using the same antibody clone in a different buffer formulation containing PBS, BSA, glycerol, and sodium azide (ab202291).

  • Unconjugated

    Anti-PFKFB3 (phospho S461) antibody [EPR19735]

Key facts

Host species

Rabbit

Clonality

Monoclonal

Clone number

EPR19735

Isotype

IgG

Carrier free

Yes

Reacts with

Mouse, Human

Applications

WB, Dot, ICC/IF

applications

Immunogen

The exact immunogen used to generate this antibody is proprietary information.

Reactivity data

{ "title": "Reactivity Data", "filters": { "stats": ["", "Species", "Dilution Info", "Notes"], "tabs": { "all-applications": {"fullname" : "All Applications", "shortname": "All Applications"}, "Dot" : {"fullname" : "Dot Blot", "shortname":"Dot"}, "WB" : {"fullname" : "Western blot", "shortname":"WB"}, "ICCIF" : {"fullname" : "Immunocytochemistry/ Immunofluorescence", "shortname":"ICC/IF"} }, "product-promise": { "all": "all", "testedAndGuaranteed": "tested", "guaranteed": "expected", "predicted": "predicted", "notRecommended": "not-recommended" } }, "values": { "Human": { "Dot-species-checked": "predicted", "Dot-species-dilution-info": "", "Dot-species-notes": "", "WB-species-checked": "predicted", "WB-species-dilution-info": "", "WB-species-notes": "", "ICCIF-species-checked": "predicted", "ICCIF-species-dilution-info": "", "ICCIF-species-notes": "" }, "Mouse": { "Dot-species-checked": "predicted", "Dot-species-dilution-info": "", "Dot-species-notes": "", "WB-species-checked": "predicted", "WB-species-dilution-info": "", "WB-species-notes": "", "ICCIF-species-checked": "predicted", "ICCIF-species-dilution-info": "", "ICCIF-species-notes": "" }, "Synthetic peptide": { "Dot-species-checked": "testedAndGuaranteed", "Dot-species-dilution-info": "", "Dot-species-notes": "<p></p>", "WB-species-checked": "notRecommended", "WB-species-dilution-info": "", "WB-species-notes": "", "ICCIF-species-checked": "notRecommended", "ICCIF-species-dilution-info": "", "ICCIF-species-notes": "" }, "Transfected cell line - Mouse": { "Dot-species-checked": "notRecommended", "Dot-species-dilution-info": "", "Dot-species-notes": "", "WB-species-checked": "notRecommended", "WB-species-dilution-info": "", "WB-species-notes": "", "ICCIF-species-checked": "testedAndGuaranteed", "ICCIF-species-dilution-info": "", "ICCIF-species-notes": "<p></p>" }, "Transfected cell lysate - Human": { "Dot-species-checked": "notRecommended", "Dot-species-dilution-info": "", "Dot-species-notes": "", "WB-species-checked": "testedAndGuaranteed", "WB-species-dilution-info": "", "WB-species-notes": "<p></p>", "ICCIF-species-checked": "notRecommended", "ICCIF-species-dilution-info": "", "ICCIF-species-notes": "" }, "Transfected cell lysate - Mouse": { "Dot-species-checked": "notRecommended", "Dot-species-dilution-info": "", "Dot-species-notes": "", "WB-species-checked": "testedAndGuaranteed", "WB-species-dilution-info": "", "WB-species-notes": "<p></p>", "ICCIF-species-checked": "notRecommended", "ICCIF-species-dilution-info": "", "ICCIF-species-notes": "" } } }

Product details

ab232498 is the carrier-free version of ab202291.

Patented technology
Our RabMAb® technology is a patented hybridoma-based technology for making rabbit monoclonal antibodies. For details on our patents, please refer to RabMAb® patents.

What are the advantages of a recombinant monoclonal antibody?
This product is a recombinant monoclonal antibody, which offers several advantages including:

  • - High batch-to-batch consistency and reproducibility
  • - Improved sensitivity and specificity
  • - Long-term security of supply
  • - Animal-free batch production

For more information, read more on recombinant antibodies.

Conjugation ready
Our carrier-free antibodies are typically supplied in a PBS-only formulation, purified and free of BSA, sodium azide and glycerol. This conjugation-ready format is designed for use with fluorochromes, metal isotopes, oligonucleotides, and enzymes, which makes them ideal for antibody labelling, functional and cell-based assays, flow-based assays (e.g. mass cytometry) and Multiplex Imaging applications.

Use our conjugation kits for antibody conjugates that are ready-to-use in as little as 20 minutes with 1 minute hands-on-time and 100% antibody recovery: available for fluorescent dyes, HRP, biotin and gold.

Compatibility
This product is compatible with the Maxpar® Antibody Labeling Kit from Fluidigm, without the need for antibody preparation. Maxpar® is a trademark of Fluidigm Canada Inc.

Properties and storage information

Form
Liquid
Purification technique
Affinity purification Protein A
Storage buffer
pH: 7.2 - 7.4 Constituents: PBS
Shipped at conditions
Blue Ice
Appropriate short-term storage conditions
+4°C
Appropriate long-term storage conditions
+4°C
Storage information
Do Not Freeze

Supplementary information

This supplementary information is collated from multiple sources and compiled automatically.

PFKFB3 also known as 6-phosphofructo-2-kinase/fructose-26-bisphosphatase 3 serves a significant role in regulating glycolysis. This bifunctional enzyme weighs approximately 58 kDa and manages levels of fructose-26-bisphosphate a potent activator of another enzyme called phosphofructokinase-1. PFKFB3 expression occurs in various tissues but is especially high in areas with active cell proliferation like the brain and tumors. This enzyme's activity affects glycolytic flux critical for energy production and biosynthesis especially under conditions requiring rapid energy supply.
Biological function summary

PFKFB3 regulates cellular energy metabolism serving as a switch for converting carbohydrates into energy and building blocks for growth. This enzyme is part of a glycolytic complex coordinating energy needs during proliferation and survival. Its activity is important in processes demanding increased energy and anabolic precursors such as cell division. The enzyme's modulation affects fructose-26-bisphosphate levels influencing cellular responses to stress and nutrient availability directly impacting metabolic adaptation.

Pathways

PFKFB3 integrates into the glycolytic pathway and the pentose phosphate pathway. PFKFB3's control over fructose-26-bisphosphate levels influences phosphofructokinase-1 modulating the glycolytic pathway's rate. This modulation impacts energy production efficiency and the provision of metabolites required for nucleotide synthesis linking to the pentose phosphate pathway. Proline-rich AKT substrate of 40 kDa (PRAS40) and AKT may also interact indirectly to regulate PFKFB3 activity in these metabolic pathways.

PFKFB3 links strongly to cancer and diabetes. Its upregulation in cancerous tissues supports tumor growth by promoting glycolysis known as the Warburg effect. Cancer-associated proteins such as KRAS often rely on PFKFB3's glycolytic control to sustain proliferative signaling. Additionally in diabetes altered PFKFB3 activity can contribute to insulin resistance due to disrupted metabolic homeostasis with insulin pathway proteins like IRS1 potentially interacting with it in this context.

Product protocols

For this product, it's our understanding that no specific protocols are required. You can visit:

Target data

Catalyzes both the synthesis and degradation of fructose 2,6-bisphosphate.
See full target information PFKFB3 phospho S461

Publications (3)

Recent publications for all applications. Explore the full list and refine your search

Oncoimmunology 11:2079182 PubMed35707221

2022

Glucose metabolism inhibitor PFK-015 combined with immune checkpoint inhibitor is an effective treatment regimen in cancer.

Applications

Unspecified application

Species

Unspecified reactive species

Jia Bo Zheng,Chau Wei Wong,Jia Liu,Xiao-Jing Luo,Wei-Yi Zhou,Yan-Xing Chen,Hui-Yan Luo,Zhao-Lei Zeng,Chao Ren,Xiao-Ming Xie,De-Shen Wang

Journal of cellular and molecular medicine 24:8772-8778 PubMed32610368

2020

Secretion of proteins and antibody fragments from transiently transfected endothelial progenitor cells.

Applications

Unspecified application

Species

Unspecified reactive species

Loree Heller,Reynald Thinard,Melanie Chevalier,Sezgi Arpag,Yu Jing,Ruth Greferath,Richard Heller,Claude Nicolau

Nature communications 11:1507 PubMed32198345

2020

Long noncoding RNA AGPG regulates PFKFB3-mediated tumor glycolytic reprogramming.

Applications

Unspecified application

Species

Unspecified reactive species

Jia Liu,Ze-Xian Liu,Qi-Nian Wu,Yun-Xin Lu,Chau-Wei Wong,Lei Miao,Yun Wang,Zixian Wang,Ying Jin,Ming-Ming He,Chao Ren,De-Shen Wang,Dong-Liang Chen,Heng-Ying Pu,Lin Feng,Bo Li,Dan Xie,Mu-Sheng Zeng,Peng Huang,Aifu Lin,Dongxin Lin,Rui-Hua Xu,Huai-Qiang Ju
View all publications

Product promise

We are committed to supporting your work with high-quality reagents, and we're here for you every step of the way. In the unlikely event that one of our products does not perform as expected, you're protected by our Product Promise.
For full details, please see our Terms & Conditions

Please note: All products are 'FOR RESEARCH USE ONLY. NOT FOR USE IN DIAGNOSTIC OR THERAPEUTIC PROCEDURES'.

For licensing inquiries, please contact partnerships@abcam.com