JavaScript is disabled in your browser. Please enable JavaScript to view this website.
AB318194

Anti-PFKFB4 antibody [EPR28633-53] - BSA and Azide free

Be the first to review this product! Submit a review

|

(0 Publication)

Rabbit Recombinant Monoclonal PFKFB4 antibody. Carrier free. Suitable for WB and reacts with Transfected cell lysate - Human, Human samples.

View Alternative Names

PFK/FBPase 4, PFKFB4

3 Images
Western blot - Anti-PFKFB4 antibody [EPR28633-53] - BSA and Azide free (AB318194)
  • WB

Supplier Data

Western blot - Anti-PFKFB4 antibody [EPR28633-53] - BSA and Azide free (AB318194)

This data was developed using ab318193, the same antibody clone in a different buffer formulation.

Low expression : A549

In Western blot, Anti-GAPDH antibody [EPR16891] - Loading Control (ab181602) staining at 1/200000 dilution.

All lanes:

Western blot - Anti-PFKFB4 antibody [EPR28633-53] (<a href='/en-us/products/primary-antibodies/pfkfb4-antibody-epr28633-53-ab318193'>ab318193</a>) at 1/1000 dilution

Lane 1:

Raji (human burkitts lymphoma b lymphocyte) whole cell lysate at 50 µg with NFDM/TBST

Lane 2:

PC-3 (human prostate adenocarcinoma epithelial cell) whole cell lysate at 50 µg with NFDM/TBST

Lane 3:

A549 (human lung carcinoma epithelial cell) whole cell lysate at 50 µg with NFDM/TBST

Secondary

All lanes:

Western blot - Goat Anti-Rabbit IgG H&L (HRP) (<a href='/en-us/products/secondary-antibodies/goat-rabbit-igg-h-l-hrp-ab97051'>ab97051</a>) at 1/20000 dilution

Observed band size: 54 kDa,36 kDa

false

Exposure time: 180s

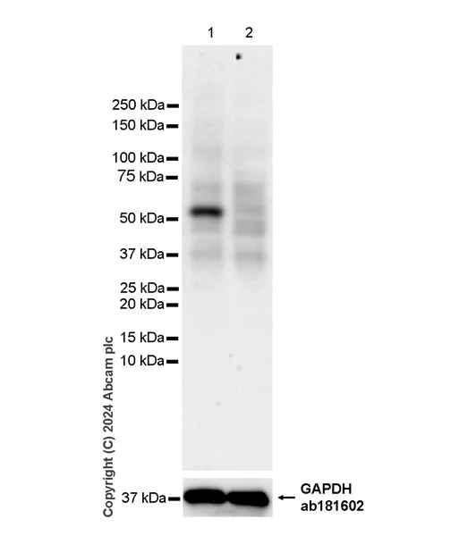
Western blot - Anti-PFKFB4 antibody [EPR28633-53] - BSA and Azide free (AB318194)
  • WB

Supplier Data

Western blot - Anti-PFKFB4 antibody [EPR28633-53] - BSA and Azide free (AB318194)

The high-sensitivity ECL substrate allows for the detection of proteins in the mid-femtogram range.

This data was developed using ab318193, the same antibody clone in a different buffer formulation.

In Western blot, Anti-GAPDH antibody [EPR16891] - Loading Control (ab181602) staining at 1/200000 dilution.

All lanes:

Western blot - Anti-PFKFB4 antibody [EPR28633-53] (<a href='/en-us/products/primary-antibodies/pfkfb4-antibody-epr28633-53-ab318193'>ab318193</a>) at 1/1000 dilution

Lane 1:

HeLa (human cervical adenocarcinoma epithelial cell) transfected with scrambled siRNA control whole cell lysate at 50 µg with NFDM/TBST

Lane 2:

HeLa transfected with siRNA specifically targeting PFKFB4 whole cell lysate at 50 µg with NFDM/TBST

Secondary

All lanes:

Western blot - Goat Anti-Rabbit IgG H&L (HRP) (<a href='/en-us/products/secondary-antibodies/goat-rabbit-igg-h-l-hrp-ab97051'>ab97051</a>) at 1/20000 dilution

Observed band size: 54 kDa,36 kDa

true

Exposure time: 81s

Western blot - Anti-PFKFB4 antibody [EPR28633-53] - BSA and Azide free (AB318194)
  • WB

Supplier Data

Western blot - Anti-PFKFB4 antibody [EPR28633-53] - BSA and Azide free (AB318194)

This data was developed using ab318193, the same antibody clone in a different buffer formulation.

This antibody does not cross-react with human PFKFB1, PFKFB2, PFKFB3.

In Western blot, Anti-GAPDH antibody [EPR16891] - Loading Control (ab181602) staining at 1/200000 dilution.

In Western blot, Anti-6X His tag antibody [EPR20547]-CHIP Grade (ab213204) staining at 1/5000 dilution.

All lanes:

Western blot - Anti-PFKFB4 antibody [EPR28633-53] (<a href='/en-us/products/primary-antibodies/pfkfb4-antibody-epr28633-53-ab318193'>ab318193</a>) at 1/1000 dilution

Lane 1:

293T cells transfected with a Human PFKFB1 expression vector containing a His-tag, whole cell lysate at 4 µg with NFDM/TBST

Lane 2:

293T cells transfected with a Human PFKFB2 expression vector containing a His-tag, whole cell lysate at 4 µg with NFDM/TBST

Lane 3:

293T cells transfected with a Human PFKFB3 expression vector containing a His-tag, whole cell lysate at 4 µg with NFDM/TBST

Lane 4:

293T cells transfected with a Human PFKFB4 expression vector containing a His-tag, whole cell lysate at 4 µg with NFDM/TBST

Secondary

All lanes:

Western blot - Goat Anti-Rabbit IgG H&L (HRP) (<a href='/en-us/products/secondary-antibodies/goat-rabbit-igg-h-l-hrp-ab97051'>ab97051</a>) at 1/100000 dilution

Observed band size: 54 kDa,36 kDa

false

Exposure time: 15s

Key facts

Host species

Rabbit

Clonality

Monoclonal

Clone number

EPR28633-53

Isotype

IgG

Carrier free

Yes

Reacts with

Human

Applications

WB

applications

Immunogen

The exact immunogen used to generate this antibody is proprietary information.

Reactivity data

{ "title": "Reactivity Data", "filters": { "stats": ["", "Species", "Dilution Info", "Notes"], "tabs": { "all-applications": {"fullname" : "All Applications", "shortname": "All Applications"}, "WB" : {"fullname" : "Western blot", "shortname":"WB"}, "IHCP" : {"fullname" : "Immunohistochemistry (Formalin/PFA-fixed paraffin-embedded sections)", "shortname":"IHC-P"}, "IP" : {"fullname" : "Immunoprecipitation", "shortname":"IP"} }, "product-promise": { "all": "all", "testedAndGuaranteed": "tested", "guaranteed": "expected", "predicted": "predicted", "notRecommended": "not-recommended" } }, "values": { "Human": { "WB-species-checked": "testedAndGuaranteed", "WB-species-dilution-info": "", "WB-species-notes": "<p></p>", "IHCP-species-checked": "notRecommended", "IHCP-species-dilution-info": "", "IHCP-species-notes": "<p></p>", "IP-species-checked": "notRecommended", "IP-species-dilution-info": "", "IP-species-notes": "<p></p>" }, "Mouse": { "WB-species-checked": "notRecommended", "WB-species-dilution-info": "", "WB-species-notes": "<p></p>", "IHCP-species-checked": "notRecommended", "IHCP-species-dilution-info": "", "IHCP-species-notes": "<p></p>", "IP-species-checked": "notRecommended", "IP-species-dilution-info": "", "IP-species-notes": "" }, "Rat": { "WB-species-checked": "notRecommended", "WB-species-dilution-info": "", "WB-species-notes": "<p></p>", "IHCP-species-checked": "notRecommended", "IHCP-species-dilution-info": "", "IHCP-species-notes": "<p></p>", "IP-species-checked": "notRecommended", "IP-species-dilution-info": "", "IP-species-notes": "" }, "Transfected cell lysate - Human": { "WB-species-checked": "testedAndGuaranteed", "WB-species-dilution-info": "", "WB-species-notes": "<p></p>", "IHCP-species-checked": "notRecommended", "IHCP-species-dilution-info": "", "IHCP-species-notes": "", "IP-species-checked": "notRecommended", "IP-species-dilution-info": "", "IP-species-notes": "" } } }

Product details

ab318194 is the carrier-free version of ab318193.

Patented technology
Our RabMAb® technology is a patented hybridoma-based technology for making rabbit monoclonal antibodies. For details on our patents, please refer to RabMAb® patents.

What are the advantages of a recombinant monoclonal antibody?
This product is a recombinant monoclonal antibody, which offers several advantages including:

  • - High batch-to-batch consistency and reproducibility
  • - Improved sensitivity and specificity
  • - Long-term security of supply
  • - Animal-free batch production

For more information, read more on recombinant antibodies.

Conjugation ready
Our carrier-free antibodies are typically supplied in a PBS-only formulation, purified and free of BSA, sodium azide and glycerol. This conjugation-ready format is designed for use with fluorochromes, metal isotopes, oligonucleotides, and enzymes, which makes them ideal for antibody labelling, functional and cell-based assays, flow-based assays (e.g. mass cytometry) and Multiplex Imaging applications.

Use our conjugation kits for antibody conjugates that are ready-to-use in as little as 20 minutes with 1 minute hands-on-time and 100% antibody recovery: available for fluorescent dyes, HRP, biotin and gold.

Compatibility
This product is compatible with the Maxpar® Antibody Labeling Kit from Fluidigm, without the need for antibody preparation. Maxpar® is a trademark of Fluidigm Canada Inc.

Properties and storage information

Form
Liquid
Purification technique
Affinity purification Protein A
Storage buffer
pH: 7.2 - 7.4 Constituents: PBS
Shipped at conditions
Blue Ice
Appropriate short-term storage conditions
+4°C
Appropriate long-term storage conditions
+4°C

Supplementary information

This supplementary information is collated from multiple sources and compiled automatically.

PFKFB4 also known as 6-phosphofructo-2-kinase/fructose-26-bisphosphatase 4 is an enzyme with a molecular mass of approximately 66 kDa. It regulates the levels of fructose-26-bisphosphate by catalyzing both its synthesis and degradation. This enzyme predominantly exists in the cytoplasm and shows higher expression in tissues with fast cell growth and high glycolytic demand like the liver and various cancerous cells. PFKFB4 serves as an important regulatory node in cellular metabolism by controlling the flux of glucose through glycolysis.
Biological function summary

PFKFB4 influences metabolic reprogramming during cell proliferation and stress conditions. It is particularly important in the glycolytic shift known as the Warburg effect where cancer cells prefer glycolysis over oxidative phosphorylation leading to rapid glycolysis and lactic acid production even in the presence of oxygen. The enzyme is often part of a complex involving other glycolytic enzymes affecting both energy production and biosynthetic processes necessary for tumor growth and survival.

Pathways

PFKFB4 plays an integral role in the glycolytic and pentose phosphate pathways. It regulates glycolysis by modulating the concentration of fructose-26-bisphosphate which is an allosteric activator of phosphofructokinase-1 (PFK-1). PFKFB4 also interfaces with AMPK signaling which ties energy status of the cell to metabolic pathways further linking it to responses to energy stress and hypoxia in cancer cells.

PFKFB4 has strong associations with cancer and metabolic disorders. Overexpression of PFKFB4 is found in several cancer types including breast and prostate cancer where it supports anabolic processes and survival under metabolic stress. The enzyme closely relates to oncogenic proteins such as MYC which drives glycolytic gene expression and HIF-1α a factor that promotes glycolysis under hypoxia. Analyzing PFKFB4 provides insights into therapeutic approaches focused on targeting metabolic pathways in cancer.

Product protocols

For this product, it's our understanding that no specific protocols are required. You can visit:

Target data

Synthesis and degradation of fructose 2,6-bisphosphate.
See full target information PFKFB4

Product promise

We are committed to supporting your work with high-quality reagents, and we're here for you every step of the way. In the unlikely event that one of our products does not perform as expected, you're protected by our Product Promise.
For full details, please see our Terms & Conditions

Please note: All products are 'FOR RESEARCH USE ONLY. NOT FOR USE IN DIAGNOSTIC OR THERAPEUTIC PROCEDURES'.

For licensing inquiries, please contact partnerships@abcam.com