JavaScript is disabled in your browser. Please enable JavaScript to view this website.
AB97443

Anti-PFKL antibody

Be the first to review this product! Submit a review

|

(2 Publications)

Rabbit Polyclonal PFKL antibody. Suitable for WB, ICC/IF, IHC-P and reacts with Human, Mouse samples. Cited in 2 publications. Immunogen corresponding to Recombinant Fragment Protein within Human PFKL aa 450-700.

View Alternative Names

ATP-PFK, PFK-L, 6-phosphofructokinase type B, Phosphofructo-1-kinase isozyme B, Phosphohexokinase, PFK-B, PFKL

3 Images
Immunocytochemistry/ Immunofluorescence - Anti-PFKL antibody (AB97443)
  • ICC/IF

Unknown

Immunocytochemistry/ Immunofluorescence - Anti-PFKL antibody (AB97443)

Immunofluorescence analysis of paraformaldehyde-fixed A549, using ab97443 at 1/200 dilution (upper panel) and merged with DNA probe (lower panel).

Immunohistochemistry (Formalin/PFA-fixed paraffin-embedded sections) - Anti-PFKL antibody (AB97443)
  • IHC-P

Supplier Data

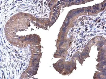
Immunohistochemistry (Formalin/PFA-fixed paraffin-embedded sections) - Anti-PFKL antibody (AB97443)

Immunohistochemical analysis of mouse cervix tissue stained for PFKL protein at cytoplasm with ab97443 at a 1/500 dilution.

Antigen retrieval : Citrate buffer, pH 6.0, 15 min.

Western blot - Anti-PFKL antibody (AB97443)
  • WB

Supplier Data

Western blot - Anti-PFKL antibody (AB97443)

Samples were separated by 7.5% SDS PAGE.

All lanes:

Western blot - Anti-PFKL antibody (ab97443) at 1/1000 dilution

All lanes:

HepG2 Whole cell extract at 30 µg

Secondary

All lanes:

HRP-conjugated anti-rabbit IgG antibody

Predicted band size: 85 kDa

false

Key facts

Host species

Rabbit

Clonality

Polyclonal

Isotype

IgG

Carrier free

No

Reacts with

Mouse, Human

Applications

WB, IHC-P, ICC/IF

applications

Immunogen

Recombinant Fragment Protein within Human PFKL aa 450-700. The exact immunogen used to generate this antibody is proprietary information.

P17858

Specificity

Based on sequence homology, this antibody may cross react with PFKP or PFKM protein.

Reactivity data

{ "title": "Reactivity Data", "filters": { "stats": ["", "Species", "Dilution Info", "Notes"], "tabs": { "all-applications": {"fullname" : "All Applications", "shortname": "All Applications"}, "WB" : {"fullname" : "Western blot", "shortname":"WB"}, "ICCIF" : {"fullname" : "Immunocytochemistry/ Immunofluorescence", "shortname":"ICC/IF"}, "IHCP" : {"fullname" : "Immunohistochemistry (Formalin/PFA-fixed paraffin-embedded sections)", "shortname":"IHC-P"} }, "product-promise": { "all": "all", "testedAndGuaranteed": "tested", "guaranteed": "expected", "predicted": "predicted", "notRecommended": "not-recommended" } }, "values": { "Human": { "WB-species-checked": "testedAndGuaranteed", "WB-species-dilution-info": "1/500 - 1/3000", "WB-species-notes": "<p></p>", "ICCIF-species-checked": "testedAndGuaranteed", "ICCIF-species-dilution-info": "1/100 - 1/1000", "ICCIF-species-notes": "<p></p>", "IHCP-species-checked": "guaranteed", "IHCP-species-dilution-info": "", "IHCP-species-notes": "" }, "Mouse": { "WB-species-checked": "guaranteed", "WB-species-dilution-info": "", "WB-species-notes": "", "ICCIF-species-checked": "guaranteed", "ICCIF-species-dilution-info": "", "ICCIF-species-notes": "", "IHCP-species-checked": "testedAndGuaranteed", "IHCP-species-dilution-info": "1/100 - 1/1000", "IHCP-species-notes": "<p></p>" }, "Rat": { "WB-species-checked": "predicted", "WB-species-dilution-info": "", "WB-species-notes": "", "ICCIF-species-checked": "predicted", "ICCIF-species-dilution-info": "", "ICCIF-species-notes": "", "IHCP-species-checked": "predicted", "IHCP-species-dilution-info": "", "IHCP-species-notes": "" }, "Cow": { "WB-species-checked": "predicted", "WB-species-dilution-info": "", "WB-species-notes": "", "ICCIF-species-checked": "predicted", "ICCIF-species-dilution-info": "", "ICCIF-species-notes": "", "IHCP-species-checked": "predicted", "IHCP-species-dilution-info": "", "IHCP-species-notes": "" } } }

Properties and storage information

Form
Liquid
Purification technique
Affinity purification Immunogen
Storage buffer
pH: 7 Preservative: 0.01% Thimerosal (merthiolate) Constituents: 10% Glycerol (glycerin, glycerine), 1.21% Tris, 0.75% Glycine
Shipped at conditions
Blue Ice
Appropriate short-term storage conditions
+4°C
Appropriate long-term storage conditions
-20°C
Aliquoting information
Upon delivery aliquot
Storage information
Avoid freeze / thaw cycle

Supplementary information

This supplementary information is collated from multiple sources and compiled automatically.

PFKL also known as phosphofructokinase liver type is an important enzyme in glycolysis. It catalyzes the conversion of fructose-6-phosphate to fructose-16-bisphosphate. This enzyme plays a significant role in regulating the glycolytic flux due to its allosteric nature. Weighing approximately 85 kDa PFKL is found abundantly in liver tissues but you can also find it in various other tissues such as muscle and brain. Its expression adapts according to the metabolic demand reflecting its importance in energy homeostasis.
Biological function summary

Phosphofructokinase liver type is an integral component of cellular energy production. It functions in the cytoplasmic compartment and often operates as a part of a tetrameric complex. The enzyme activity is subject to regulation by several metabolites including ATP ADP and citrate which modulate its activity for efficient energy use. It acts as a metabolic checkpoint influencing the rate of glucose breakdown in response to cellular energy needs.

Pathways

Phosphofructokinase liver type plays a central role in the glycolytic pathway. This pathway is critical for ATP generation especially in conditions where cells rely heavily on glucose. It cooperates with other enzymes like hexokinase and pyruvate kinase to ensure a smooth conversion of glucose to pyruvate facilitating subsequent processes like the citric acid cycle. By integrating signals from multiple pathways it serves as a nodal point for metabolic control affecting various physiological and biochemical processes.

Dysregulation of phosphofructokinase liver type can lead to metabolic diseases such as type 2 diabetes and cancer. Altered activity or expression of PFKL influences glucose metabolism potentially resulting in insulin resistance or enhanced tumor glycolysis respectively. Moreover PFKL shares connections with other proteins like insulin receptor substrates in diabetes and oncogenes in cancer influencing disease progression and response to therapies. Understanding PFKL's function and regulation can aid in developing strategies for these conditions.

Product protocols

For this product, it's our understanding that no specific protocols are required. You can visit:

Target data

Catalyzes the phosphorylation of D-fructose 6-phosphate to fructose 1,6-bisphosphate by ATP, the first committing step of glycolysis (PubMed : 22923583). Negatively regulates the phagocyte oxidative burst in response to bacterial infection by controlling cellular NADPH biosynthesis and NADPH oxidase-derived reactive oxygen species. Upon macrophage activation, drives the metabolic switch toward glycolysis, thus preventing glucose turnover that produces NADPH via pentose phosphate pathway (By similarity).
See full target information PFKL

Publications (2)

Recent publications for all applications. Explore the full list and refine your search

Journal of translational medicine 22:193 PubMed38388430

2024

Ubiquitin-specific protease 14 targets PFKL-mediated glycolysis to promote the proliferation and migration of oral squamous cell carcinoma.

Applications

Unspecified application

Species

Unspecified reactive species

Xingming Zhang,Lou Geng,Yi Tang,Yingying Wang,Youping Zhang,Chujiao Zhu,Hu Lei,Hanzhang Xu,Qi Zhu,Yingli Wu,Wenli Gu

Oncology letters 26:366 PubMed37559594

2023

Identification of ATP6V0A4 as a potential biomarker in renal cell carcinoma using integrated bioinformatics analysis.

Applications

Unspecified application

Species

Unspecified reactive species

Jinming Xu,Jiahao Jiang,Cong Yin,Yan Wang,Bentao Shi
View all publications

Product promise

We are committed to supporting your work with high-quality reagents, and we're here for you every step of the way. In the unlikely event that one of our products does not perform as expected, you're protected by our Product Promise.
For full details, please see our Terms & Conditions

Please note: All products are 'FOR RESEARCH USE ONLY. NOT FOR USE IN DIAGNOSTIC OR THERAPEUTIC PROCEDURES'.

For licensing inquiries, please contact partnerships@abcam.com