JavaScript is disabled in your browser. Please enable JavaScript to view this website.
AB119796

Anti-PFKP antibody [OTI1D6]

Be the first to review this product! Submit a review

|

(19 Publications)

Mouse Monoclonal PFKP antibody. Suitable for WB, IHC-P, ICC/IF, Flow Cyt (Intra) and reacts with Transfected cell lysate, Mouse, Rat, Human, Recombinant full length protein - Human samples. Cited in 19 publications. Immunogen corresponding to Recombinant Full Length Protein corresponding to Human PFKP.

View Alternative Names

PFKF, PFKP, ATP-PFK, PFK-P, 6-phosphofructokinase type C, Phosphofructo-1-kinase isozyme C, Phosphohexokinase, PFK-C

13 Images
Immunohistochemistry (Formalin/PFA-fixed paraffin-embedded sections) - Anti-PFKP antibody [OTI1D6] (AB119796)
  • IHC-P

Unknown

Immunohistochemistry (Formalin/PFA-fixed paraffin-embedded sections) - Anti-PFKP antibody [OTI1D6] (AB119796)

ab119796 at 1/150 dilution staining PFKP in Paraffin-embedded Human Kidney carcinoma tissue by Immunohistochemistry.

Flow Cytometry (Intracellular) - Anti-PFKP antibody [OTI1D6] (AB119796)
  • Flow Cyt (Intra)

Unknown

Flow Cytometry (Intracellular) - Anti-PFKP antibody [OTI1D6] (AB119796)

ab119796 at 1/100 dilution staining PFKP in Jurkat cells by Flow Cytometry (Intracellular) (Red) compared to a nonspecific negative control antibody (Blue).

Immunohistochemistry (Formalin/PFA-fixed paraffin-embedded sections) - Anti-PFKP antibody [OTI1D6] (AB119796)
  • IHC-P

Unknown

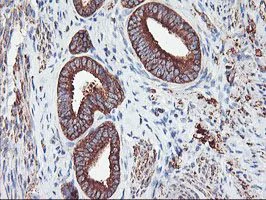
Immunohistochemistry (Formalin/PFA-fixed paraffin-embedded sections) - Anti-PFKP antibody [OTI1D6] (AB119796)

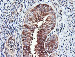
ab119796 at 1/150 dilution staining PFKP in Paraffin-embedded Human Colon tissue by Immunohistochemistry.

Immunohistochemistry (Formalin/PFA-fixed paraffin-embedded sections) - Anti-PFKP antibody [OTI1D6] (AB119796)
  • IHC-P

Unknown

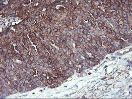
Immunohistochemistry (Formalin/PFA-fixed paraffin-embedded sections) - Anti-PFKP antibody [OTI1D6] (AB119796)

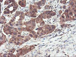
ab119796 at 1/150 dilution staining PFKP in Paraffin-embedded Human Lung carcinoma tissue by Immunohistochemistry.

Western blot - Anti-PFKP antibody [OTI1D6] (AB119796)
  • WB

Unknown

Western blot - Anti-PFKP antibody [OTI1D6] (AB119796)

HEK293T cell lysates were generated from transient transfection of the cDNA clone (RC200673)

All lanes:

Western blot - Anti-PFKP antibody [OTI1D6] (ab119796) at 1/500 dilution

Lane 1:

HEK293T cell lysate transfected with pCMV6-ENTRY control cDNA at 5 µg

Lane 2:

HEK293T cell lysate transfected with pCMV6-ENTRY PFKP cDNA at 5 µg

Predicted band size: 86 kDa

false

Immunocytochemistry/ Immunofluorescence - Anti-PFKP antibody [OTI1D6] (AB119796)
  • ICC/IF

Unknown

Immunocytochemistry/ Immunofluorescence - Anti-PFKP antibody [OTI1D6] (AB119796)

ab119796 at 1/100 dilution staining PFKP in COS7 cells transiently transfected with pCMV6-ENTRY PFKP by Immunofluorescence.

Immunohistochemistry (Formalin/PFA-fixed paraffin-embedded sections) - Anti-PFKP antibody [OTI1D6] (AB119796)
  • IHC-P

Unknown

Immunohistochemistry (Formalin/PFA-fixed paraffin-embedded sections) - Anti-PFKP antibody [OTI1D6] (AB119796)

ab119796 at 1/150 dilution staining PFKP in Paraffin-embedded Human Tonsil tissue by Immunohistochemistry.

Immunohistochemistry (Formalin/PFA-fixed paraffin-embedded sections) - Anti-PFKP antibody [OTI1D6] (AB119796)
  • IHC-P

Unknown

Immunohistochemistry (Formalin/PFA-fixed paraffin-embedded sections) - Anti-PFKP antibody [OTI1D6] (AB119796)

ab119796 at 1/150 dilution staining PFKP in Paraffin-embedded Human Endometrium tissue by Immunohistochemistry.

Immunohistochemistry (Formalin/PFA-fixed paraffin-embedded sections) - Anti-PFKP antibody [OTI1D6] (AB119796)
  • IHC-P

Unknown

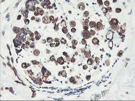
Immunohistochemistry (Formalin/PFA-fixed paraffin-embedded sections) - Anti-PFKP antibody [OTI1D6] (AB119796)

ab119796 at 1/150 dilution staining PFKP in Paraffin-embedded Human Ovary adenocarcinoma tissue by Immunohistochemistry.

Immunohistochemistry (Formalin/PFA-fixed paraffin-embedded sections) - Anti-PFKP antibody [OTI1D6] (AB119796)
  • IHC-P

Unknown

Immunohistochemistry (Formalin/PFA-fixed paraffin-embedded sections) - Anti-PFKP antibody [OTI1D6] (AB119796)

ab119796 at 1/150 dilution staining PFKP in Paraffin-embedded Human Bladder carcinoma tissue by Immunohistochemistry.

Immunohistochemistry (Formalin/PFA-fixed paraffin-embedded sections) - Anti-PFKP antibody [OTI1D6] (AB119796)
  • IHC-P

Unknown

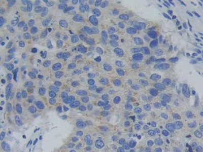
Immunohistochemistry (Formalin/PFA-fixed paraffin-embedded sections) - Anti-PFKP antibody [OTI1D6] (AB119796)

ab119796 at 1/150 dilution staining PFKP in Paraffin-embedded Human Endometrium adenocarcinoma tissue by Immunohistochemistry.

Western blot - Anti-PFKP antibody [OTI1D6] (AB119796)
  • WB

Unknown

Western blot - Anti-PFKP antibody [OTI1D6] (AB119796)

HEK293T cell lysates were generated from transient transfection of the cDNA clone (RC200673)

All lanes:

Western blot - Anti-PFKP antibody [OTI1D6] (ab119796) at 1/500 dilution

Lane 1:

HepG2 cell extract at 35 µg

Lane 2:

HeLa cell extract at 35 µg

Lane 3:

SVT2 cell extract at 35 µg

Lane 4:

A549 cell extract at 35 µg

Lane 5:

COS7 cell extract at 35 µg

Lane 6:

Jurkat cell extract at 35 µg

Lane 7:

MDCK cell extract at 35 µg

Lane 8:

PC12 cell extract at 35 µg

Lane 9:

MCF7 cell extract at 35 µg

Predicted band size: 86 kDa

false

Western blot - Anti-PFKP antibody [OTI1D6] (AB119796)
  • WB

Lab

Western blot - Anti-PFKP antibody [OTI1D6] (AB119796)

Lanes 1-3 : Merged signal (red and green). Green - ab119796 observed at 86 kDa. Red - loading control ab181602 observed at 36 kDa.

ab119796 Anti-PFKP antibody [OTI1D6] was shown to specifically react with PFKP in wild-type HeLa cells. Loss of signal was observed when knockout cell line ab265136 (knockout cell lysate ab257580) was used. Wild-type and PFKP knockout samples were subjected to SDS-PAGE. ab119796 and Anti-GAPDH antibody[EPR16891] - Loading Control (ab181602) were incubated overnight at 4°C at 1 in 1000 dilution and 1 in 20000 dilution respectively. Blots were developed with Goat anti-Rabbit IgG H&L (IRDye® 680RD) preadsorbed (ab216777) and Goat anti-Mouse IgG H&L (IRDye® 800CW) preadsorbed (ab216772) secondary antibodies at 1 in 20000 dilution for 1 hour at room temperature before imaging.

All lanes:

Western blot - Anti-PFKP antibody [OTI1D6] (ab119796) at 1/1000 dilution

Lane 1:

Wild-type HeLa cell lysate at 20 µg

Lane 2:

PFKP knockout HeLa cell lysate at 20 µg

Lane 2:

Western blot - Human PFKP knockout HeLa cell line (<a href='/en-us/products/cell-lines/human-pfkp-knockout-hela-cell-line-ab265136'>ab265136</a>)

Lane 3:

Jurkat cell lysate at 20 µg

Secondary

All lanes:

Western blot - Goat Anti-Rabbit IgG H&L (IRDye® 680RD) preadsorbed (<a href='/en-us/products/secondary-antibodies/goat-rabbit-igg-h-l-irdye-680rd-preadsorbed-ab216777'>ab216777</a>) at 1/10000 dilution

Predicted band size: 86 kDa

Observed band size: 86 kDa

false

Key facts

Host species

Mouse

Clonality

Monoclonal

Clone number

OTI1D6

Isotype

IgG1

Carrier free

No

Reacts with

Mouse, Rat, Human

Applications

IHC-P, ICC/IF, WB, Flow Cyt (Intra)

applications

Immunogen

Recombinant Full Length Protein corresponding to Human PFKP.

Q01813

Reactivity data

{ "title": "Reactivity Data", "filters": { "stats": ["", "Species", "Dilution Info", "Notes"], "tabs": { "all-applications": {"fullname" : "All Applications", "shortname": "All Applications"}, "WB" : {"fullname" : "Western blot", "shortname":"WB"}, "IHCP" : {"fullname" : "Immunohistochemistry (Formalin/PFA-fixed paraffin-embedded sections)", "shortname":"IHC-P"}, "ICCIF" : {"fullname" : "Immunocytochemistry/ Immunofluorescence", "shortname":"ICC/IF"}, "FlowCytIntra" : {"fullname" : "Flow Cytometry (Intracellular)", "shortname":"Flow Cyt (Intra)"} }, "product-promise": { "all": "all", "testedAndGuaranteed": "tested", "guaranteed": "expected", "predicted": "predicted", "notRecommended": "not-recommended" } }, "values": { "Human": { "WB-species-checked": "testedAndGuaranteed", "WB-species-dilution-info": "1/500 - 1/2000", "WB-species-notes": "<p></p>", "IHCP-species-checked": "testedAndGuaranteed", "IHCP-species-dilution-info": "1/150", "IHCP-species-notes": "<p></p>", "ICCIF-species-checked": "guaranteed", "ICCIF-species-dilution-info": "", "ICCIF-species-notes": "", "FlowCytIntra-species-checked": "testedAndGuaranteed", "FlowCytIntra-species-dilution-info": "1/100", "FlowCytIntra-species-notes": "<p><a href='/en-us/products/primary-antibodies/mouse-igg1-kappa-monoclonal-15-6e10a7-isotype-control-ab170190'>ab170190</a> - Mouse monoclonal IgG1, is suitable for use as an isotype control with this antibody.</p>" }, "Mouse": { "WB-species-checked": "testedAndGuaranteed", "WB-species-dilution-info": "1/500 - 1/2000", "WB-species-notes": "<p></p>", "IHCP-species-checked": "guaranteed", "IHCP-species-dilution-info": "", "IHCP-species-notes": "", "ICCIF-species-checked": "guaranteed", "ICCIF-species-dilution-info": "", "ICCIF-species-notes": "", "FlowCytIntra-species-checked": "guaranteed", "FlowCytIntra-species-dilution-info": "", "FlowCytIntra-species-notes": "" }, "Rat": { "WB-species-checked": "testedAndGuaranteed", "WB-species-dilution-info": "1/500 - 1/2000", "WB-species-notes": "<p></p>", "IHCP-species-checked": "guaranteed", "IHCP-species-dilution-info": "", "IHCP-species-notes": "", "ICCIF-species-checked": "guaranteed", "ICCIF-species-dilution-info": "", "ICCIF-species-notes": "", "FlowCytIntra-species-checked": "guaranteed", "FlowCytIntra-species-dilution-info": "", "FlowCytIntra-species-notes": "" }, "Recombinant full length protein - Human": { "WB-species-checked": "notRecommended", "WB-species-dilution-info": "", "WB-species-notes": "", "IHCP-species-checked": "notRecommended", "IHCP-species-dilution-info": "", "IHCP-species-notes": "", "ICCIF-species-checked": "testedAndGuaranteed", "ICCIF-species-dilution-info": "1/100", "ICCIF-species-notes": "<p></p>", "FlowCytIntra-species-checked": "notRecommended", "FlowCytIntra-species-dilution-info": "", "FlowCytIntra-species-notes": "" }, "Transfected cell lysate": { "WB-species-checked": "testedAndGuaranteed", "WB-species-dilution-info": "1/500 - 1/2000", "WB-species-notes": "<p></p>", "IHCP-species-checked": "notRecommended", "IHCP-species-dilution-info": "", "IHCP-species-notes": "", "ICCIF-species-checked": "notRecommended", "ICCIF-species-dilution-info": "", "ICCIF-species-notes": "", "FlowCytIntra-species-checked": "notRecommended", "FlowCytIntra-species-dilution-info": "", "FlowCytIntra-species-notes": "" } } }

Product details

The clone number has been updated from 1D6 to OTI1D6, both clone numbers name the same clone.

Dilute in PBS (pH 7.3) before use.

Properties and storage information

Form
Liquid
Purification technique
Affinity purification Protein G
Purification notes
Purified from TCS
Storage buffer
pH: 7.3 Preservative: 0.02% Sodium azide Constituents: PBS, 50% Glycerol (glycerin, glycerine), 1% BSA
Shipped at conditions
Blue Ice
Appropriate short-term storage duration
1-2 weeks
Appropriate short-term storage conditions
+4°C
Appropriate long-term storage conditions
-20°C
Aliquoting information
Upon delivery aliquot

Supplementary information

This supplementary information is collated from multiple sources and compiled automatically.

PFKP also known as 6-phosphofructokinase platelet type functions as an important glycolytic enzyme that catalyzes the phosphorylation of fructose 6-phosphate to fructose 16-bisphosphate using ATP. This process shows the rate-limiting step in glycolysis. The PFKP protein weighs approximately 85 kDa. Expression occurs in various tissues with high presence in platelets and muscle tissues indicating its significant role in energy metabolism.
Biological function summary

PFKP plays an essential role in maintaining energy supply ensuring efficient glycolysis during high energy demands. It associates with other isoforms PFKM (muscle) and PFKL (liver) to form a tetrameric complex which can adapt its activity based on the energy needs of the cell. This adaptability defines its contribution to cellular metabolism regulation considering energy substrates and signaling molecules.

Pathways

The function of PFKP ties closely to glycolysis and the larger metabolic pathways managing energy production such as the tricarboxylic acid (TCA) cycle. Within these pathways PFKP interacts with other metabolic regulators including AMP-activated protein kinase (AMPK) which influences cell metabolism in response to energy availability. Connections with PFKL and PFKM reveal that PFKP's activity relates to the overall glycolytic flux and energy balance.

PFKP's alterations contribute to metabolic conditions like cancer and diabetes. Its dysregulation in cancer cells supports the Warburg effect where tumor cells prefer glycolysis. The link with metabolic proteins such as AMPK also indicates a potential role in diabetes as both disorders involve shifts in energy metabolism. Understanding PFKP's impact on these diseases helps in developing therapeutic strategies targeting metabolic pathways.

Product protocols

For this product, it's our understanding that no specific protocols are required. You can visit:

Target data

Catalyzes the phosphorylation of D-fructose 6-phosphate to fructose 1,6-bisphosphate by ATP, the first committing step of glycolysis.
See full target information PFKP

Publications (19)

Recent publications for all applications. Explore the full list and refine your search

European journal of medical research 30:765 PubMed40830974

2025

Coordinating oncogenesis and immune evasion: KPNA2, GOLM1, and TK1 as novel CAR T-cell targets in lung adenocarcinoma.

Applications

Unspecified application

Species

Unspecified reactive species

Wangrui Liu,Hui Zou,Lei Guo,Zhonghua Zhou,Yahui Xie,Huaqi Guo,Gang Wei,Kai Zhang,Hui Yin,Shiyin Wei,Jiachang Chi

Cancer cell international 24:310 PubMed39252014

2024

A comprehensive prognostic and immunological implications of PFKP in pan-cancer.

Applications

Unspecified application

Species

Unspecified reactive species

Xiaodong Ling,Luquan Zhang,Chengyuan Fang,Hao Liang,Jianqun Ma

Journal of cellular and molecular medicine 28:e18465 PubMed39022816

2024

EIF4A3-Induced CircDHTKD1 regulates glycolysis in non-small cell lung cancer via stabilizing PFKL.

Applications

Unspecified application

Species

Unspecified reactive species

Zhenghua Liu,Wenya Li,Ziyi Wang,Qiwei Yang,Liang Chen,Weiyang Chen,Xiaohan Qu

Heliyon 10:e30959 PubMed38813227

2024

TFAIP6 facilitates hepatocellular carcinoma cell glycolysis through upregulating c-myc/PKM2 axis.

Applications

Unspecified application

Species

Unspecified reactive species

Kecai Duan,Kunpeng Fang,Chengjun Sui

Cell death & disease 14:816 PubMed38086793

2023

Inhibition of PFKP in renal tubular epithelial cell restrains TGF-β induced glycolysis and renal fibrosis.

Applications

Unspecified application

Species

Unspecified reactive species

Shu Yang,Han Wu,Yanchun Li,Lixin Li,Jiaqing Xiang,Lin Kang,Guangyan Yang,Zhen Liang

BioFactors (Oxford, England) 49:600-611 PubMed36585756

2023

Redox-metabolic reprogramming of skin in mice lacking functional Nrf2 under basal conditions and cold acclimation.

Applications

Unspecified application

Species

Unspecified reactive species

Tamara Zakic,Sara Stojanovic,Aleksandra Jankovic,Aleksandra Korac,Vanja Pekovic-Vaughan,Bato Korac

Cell communication and signaling : CCS 20:194 PubMed36536346

2022

Docetaxel suppressed cell proliferation through Smad3/HIF-1α-mediated glycolysis in prostate cancer cells.

Applications

Unspecified application

Species

Unspecified reactive species

Junming Peng,Zhijun He,Yeqing Yuan,Jing Xie,Yu Zhou,Baochun Guo,Jinan Guo

Bioactive materials 18:492-506 PubMed35415308

2022

The PCK2-glycolysis axis assists three-dimensional-stiffness maintaining stem cell osteogenesis.

Applications

Unspecified application

Species

Unspecified reactive species

Zheng Li,Muxin Yue,Xuenan Liu,Yunsong Liu,Longwei Lv,Ping Zhang,Yongsheng Zhou

Cancers 13: PubMed34073074

2021

Tissue-Specific Warburg Effect in Breast Cancer and Cancer-Associated Adipose Tissue-Relationship between AMPK and Glycolysis.

Applications

Unspecified application

Species

Unspecified reactive species

Andjelika Kalezic,Mirjana Udicki,Biljana Srdic Galic,Marija Aleksic,Aleksandra Korac,Aleksandra Jankovic,Bato Korac

Molecular medicine reports 23: PubMed33236133

2020

Platelet isoform of phosphofructokinase promotes aerobic glycolysis and the progression of non‑small cell lung cancer.

Applications

Unspecified application

Species

Unspecified reactive species

Fuan Wang,Ling Li,Zhen Zhang
View all publications

Product promise

We are committed to supporting your work with high-quality reagents, and we're here for you every step of the way. In the unlikely event that one of our products does not perform as expected, you're protected by our Product Promise.
For full details, please see our Terms & Conditions

Please note: All products are 'FOR RESEARCH USE ONLY. NOT FOR USE IN DIAGNOSTIC OR THERAPEUTIC PROCEDURES'.

For licensing inquiries, please contact partnerships@abcam.com