JavaScript is disabled in your browser. Please enable JavaScript to view this website.
AB250643

Anti-PGAM2 antibody [EPR15193(B)] - BSA and Azide free

5

(1 Review)

|

(0 Publication)

Rabbit Recombinant Monoclonal PGAM2 antibody. Carrier free. Suitable for IHC-P, IP, WB, Flow Cyt (Intra) and reacts with Human samples.

View Alternative Names

PGAMM, PGAM2, Phosphoglycerate mutase 2, BPG-dependent PGAM 2, Muscle-specific phosphoglycerate mutase, Phosphoglycerate mutase isozyme M, PGAM-M

5 Images
Flow Cytometry (Intracellular) - Anti-PGAM2 antibody [EPR15193(B)] - BSA and Azide free (AB250643)
  • Flow Cyt (Intra)

Supplier Data

Flow Cytometry (Intracellular) - Anti-PGAM2 antibody [EPR15193(B)] - BSA and Azide free (AB250643)

This data was developed using ab183027, the same antibody clone in a different buffer formulation.

Intracellular Flow Cytometry analysis of Jurkat cells fixed with 2% paraformaldehyde, labeling PGAM2 with ab183027 at 1/20 dilution. Goatanti Rabbit IgG secondary antibody used at 1/150 dilution.

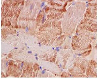
Immunohistochemistry (Formalin/PFA-fixed paraffin-embedded sections) - Anti-PGAM2 antibody [EPR15193(B)] - BSA and Azide free (AB250643)
  • IHC-P

Supplier Data

Immunohistochemistry (Formalin/PFA-fixed paraffin-embedded sections) - Anti-PGAM2 antibody [EPR15193(B)] - BSA and Azide free (AB250643)

This data was developed using ab183027, the same antibody clone in a different buffer formulation.

Immunohistochemistry analysis of paraffin embedded Human skeletal muscle tissue, labeling PGAM2 with ab183027 at 1/500 dilution. Counterstained with Hematoxylin.

Perform heat mediated antigen retrieval with citrate buffer pH 6 before commencing with IHC staining protocol.

Immunoprecipitation - Anti-PGAM2 antibody [EPR15193(B)] - BSA and Azide free (AB250643)
  • IP

Supplier Data

Immunoprecipitation - Anti-PGAM2 antibody [EPR15193(B)] - BSA and Azide free (AB250643)

This data was developed using ab183027, the same antibody clone in a different buffer formulation.

Immunopreciptation analysis of Human skletal muscle lysate, labeling PGAM2 with ab183027 at 1/50 dilution (lane 1) and negative control (lane 2) Anti-Rabbit IgG (HRP) secondary antibody used at 1/1500 dilution (lane 1) and blocking buffer was 5% NFDM/TBST.

All lanes:

Immunoprecipitation - Anti-PGAM2 antibody [EPR15193(B)] (<a href='/en-us/products/primary-antibodies/pgam2-antibody-epr15193b-ab183027'>ab183027</a>)

Predicted band size: 29 kDa

false

Western blot - Anti-PGAM2 antibody [EPR15193(B)] - BSA and Azide free (AB250643)
  • WB

Supplier Data

Western blot - Anti-PGAM2 antibody [EPR15193(B)] - BSA and Azide free (AB250643)

This data was developed using ab183027, the same antibody clone in a different buffer formulation.

All lanes:

Western blot - Anti-PGAM2 antibody [EPR15193(B)] (<a href='/en-us/products/primary-antibodies/pgam2-antibody-epr15193b-ab183027'>ab183027</a>) at 1/20000 dilution

Lane 1:

Human skeletal muscle tissue lysate at 10 µg

Lane 2:

Human fetal heart tissue lysate at 10 µg

Secondary

All lanes:

Goat Anti-Rabbit IgG, (H+L), Peroxidase conjugated at 1/1000 dilution

Predicted band size: 29 kDa

false

Western blot - Anti-PGAM2 antibody [EPR15193(B)] - BSA and Azide free (AB250643)
  • WB

Lab

Western blot - Anti-PGAM2 antibody [EPR15193(B)] - BSA and Azide free (AB250643)

This data was developed using the same antibody clone in a different buffer formulation (ab183027).

Western blot : Anti-PGAM antibody [EPR15193(B)] (ab183027) staining at 1/10000 dilution, shown in green; Mouse anti-Alpha Tubulin [DM1A] (ab7291) loading control staining at 1/20000 dilution, shown in magenta. In Western blot, ab183027 was shown to bind specifically to PGAM. First, samples were run on an SDS-PAGE gel then transferred onto a nitrocellulose membrane. Membranes were blocked in 3 % milk in TBS-0.1 % Tween® 20 (TBS-T) before incubation with primary antibodies overnight at 4 °C. Blots were washed four times in TBS-T, incubated with secondary antibodies for 1 h at room temperature, washed again four times then imaged. Secondary antibodies used were Goat anti-Rabbit IgG H&L 800CW and Goat anti-Mouse IgG H&L 680RD at 1/20000 dilution.

All lanes:

Western blot - Anti-PGAM2 antibody [EPR15193(B)] (<a href='/en-us/products/primary-antibodies/pgam2-antibody-epr15193b-ab183027'>ab183027</a>) at 1/10000 dilution

Lane 1:

Recombinant human PGAM2 protein (Active) <a href='/en-us/products/proteins-peptides/recombinant-human-pgam2-protein-active-ab219276'>ab219276</a> cell lysate at 0.1 µg

Lane 2:

Recombinant human PGAM1 protein (Active) <a href='/en-us/products/proteins-peptides/recombinant-human-pgam1-protein-active-ab289791'>ab289791</a> cell lysate at 0.1 µg

Lane 3:

PGAM4 Human Recombinant Protein cell lysate at 0.1 µg

Lane 4:

Jurkat cell lysate at 20 µg

Lane 5:

A431 cell lysate at 20 µg

Lane 6:

Raji cell lysate at 20 µg

Secondary

All lanes:

Goat anti-Rabbit IgG H&L 800CW and Goat anti-Mouse IgG H&L 680RD at 1/20000 dilution

Predicted band size: 29 kDa

Observed band size: 29 kDa

false

Key facts

Host species

Rabbit

Clonality

Monoclonal

Clone number

EPR15193(B)

Isotype

IgG

Carrier free

Yes

Reacts with

Human

Applications

IHC-P, WB, Flow Cyt (Intra), IP

applications

Immunogen

The exact immunogen used to generate this antibody is proprietary information.

Reactivity data

{ "title": "Reactivity Data", "filters": { "stats": ["", "Species", "Dilution Info", "Notes"], "tabs": { "all-applications": {"fullname" : "All Applications", "shortname": "All Applications"}, "IHCP" : {"fullname" : "Immunohistochemistry (Formalin/PFA-fixed paraffin-embedded sections)", "shortname":"IHC-P"}, "IP" : {"fullname" : "Immunoprecipitation", "shortname":"IP"}, "WB" : {"fullname" : "Western blot", "shortname":"WB"}, "FlowCytIntra" : {"fullname" : "Flow Cytometry (Intracellular)", "shortname":"Flow Cyt (Intra)"} }, "product-promise": { "all": "all", "testedAndGuaranteed": "tested", "guaranteed": "expected", "predicted": "predicted", "notRecommended": "not-recommended" } }, "values": { "Human": { "IHCP-species-checked": "testedAndGuaranteed", "IHCP-species-dilution-info": "", "IHCP-species-notes": "<p></p>", "IP-species-checked": "testedAndGuaranteed", "IP-species-dilution-info": "", "IP-species-notes": "<p></p>", "WB-species-checked": "testedAndGuaranteed", "WB-species-dilution-info": "", "WB-species-notes": "<p></p>", "FlowCytIntra-species-checked": "testedAndGuaranteed", "FlowCytIntra-species-dilution-info": "", "FlowCytIntra-species-notes": "<p></p>" }, "Mouse": { "IHCP-species-checked": "predicted", "IHCP-species-dilution-info": "", "IHCP-species-notes": "", "IP-species-checked": "predicted", "IP-species-dilution-info": "", "IP-species-notes": "", "WB-species-checked": "predicted", "WB-species-dilution-info": "", "WB-species-notes": "", "FlowCytIntra-species-checked": "predicted", "FlowCytIntra-species-dilution-info": "", "FlowCytIntra-species-notes": "" }, "Rat": { "IHCP-species-checked": "predicted", "IHCP-species-dilution-info": "", "IHCP-species-notes": "", "IP-species-checked": "predicted", "IP-species-dilution-info": "", "IP-species-notes": "", "WB-species-checked": "predicted", "WB-species-dilution-info": "", "WB-species-notes": "", "FlowCytIntra-species-checked": "predicted", "FlowCytIntra-species-dilution-info": "", "FlowCytIntra-species-notes": "" } } }

Product details

ab250643 is the carrier-free version of ab183027.

Patented technology
Our RabMAb® technology is a patented hybridoma-based technology for making rabbit monoclonal antibodies. For details on our patents, please refer to RabMAb® patents.

What are the advantages of a recombinant monoclonal antibody?
This product is a recombinant monoclonal antibody, which offers several advantages including:

  • - High batch-to-batch consistency and reproducibility
  • - Improved sensitivity and specificity
  • - Long-term security of supply
  • - Animal-free batch production

For more information, read more on recombinant antibodies.

Conjugation ready
Our carrier-free antibodies are typically supplied in a PBS-only formulation, purified and free of BSA, sodium azide and glycerol. This conjugation-ready format is designed for use with fluorochromes, metal isotopes, oligonucleotides, and enzymes, which makes them ideal for antibody labelling, functional and cell-based assays, flow-based assays (e.g. mass cytometry) and Multiplex Imaging applications.

Use our conjugation kits for antibody conjugates that are ready-to-use in as little as 20 minutes with 1 minute hands-on-time and 100% antibody recovery: available for fluorescent dyes, HRP, biotin and gold.

Compatibility
This product is compatible with the Maxpar® Antibody Labeling Kit from Fluidigm, without the need for antibody preparation. Maxpar® is a trademark of Fluidigm Canada Inc.

Properties and storage information

Form
Liquid
Purification technique
Affinity purification Protein A
Storage buffer
pH: 7.2 - 7.4 Constituents: PBS
Shipped at conditions
Blue Ice
Appropriate short-term storage conditions
+4°C
Appropriate long-term storage conditions
+4°C
Storage information
Do Not Freeze

Supplementary information

This supplementary information is collated from multiple sources and compiled automatically.

PGAM2 or phosphoglycerate mutase 2 is an enzyme and plays an important role in glycolysis. This enzyme catalyzes the conversion of 3-phosphoglycerate to 2-phosphoglycerate. PGAM2 is known for its molecular weight of approximately 29 kDa. It expresses in skeletal muscle tissue predominantly allowing it to help meet the energy demands during muscle contraction. The activity of PGAM2 is essential in tissues that require high energy supply.
Biological function summary

The enzyme PGAM2 is important in energy metabolism within the cells. It participates in the glycolytic pathway which leads to ATP production necessary for cell survival and functioning. PGAM2 acts as part of the glycolytic enzyme complex. By enabling the conversion of intermediates PGAM2 facilitates the continuous flow of the glycolytic cascade necessary for efficient energy extraction from glucose.

Pathways

PGAM2's function is central in glycolysis and gluconeogenesis. These pathways are essential for energy production and glucose homeostasis respectively. It collaborates with proteins such as enolase the enzyme responsible for converting 2-phosphoglycerate to phosphoenolpyruvate further down the glycolytic pathway. These interactions support the efficient production of ATP and gluconeogenic capabilities of the liver and kidney where energy conservation and storage are fundamental.

PGAM2 deficiency has connections to metabolic and muscular conditions. One of the diseases associated with PGAM2 is glycogen storage disease type X also known as muscle phosphoglycerate mutase deficiency. It affects muscle function by disrupting glycolysis. Additionally aberrations in PGAM2 activity can associate with metabolic dysfunctions often connected to proteins such as lactate dehydrogenase which gatekeeps the final steps of anaerobic glycolysis. Studying PGAM2 deeply and its links to these diseases provides insights for potential therapeutic targets.

Product protocols

For this product, it's our understanding that no specific protocols are required. You can visit:

Target data

Interconversion of 3- and 2-phosphoglycerate with 2,3-bisphosphoglycerate as the primer of the reaction. Can also catalyze the reaction of EC 5.4.2.4 (synthase), but with a reduced activity.
See full target information PGAM2

Product promise

We are committed to supporting your work with high-quality reagents, and we're here for you every step of the way. In the unlikely event that one of our products does not perform as expected, you're protected by our Product Promise.
For full details, please see our Terms & Conditions

Please note: All products are 'FOR RESEARCH USE ONLY. NOT FOR USE IN DIAGNOSTIC OR THERAPEUTIC PROCEDURES'.

For licensing inquiries, please contact partnerships@abcam.com