JavaScript is disabled in your browser. Please enable JavaScript to view this website.
AB126534

Anti-PGAM5 antibody

5

(2 Reviews)

|

(36 Publications)

Rabbit Polyclonal PGAM5 antibody. Suitable for IHC-P, WB, ICC/IF and reacts with Human samples. Cited in 36 publications. Immunogen corresponding to Recombinant Fragment Protein within Human PGAM5 aa 50-150.

View Alternative Names

Bcl-XL-binding protein v68, Phosphoglycerate mutase family member 5, PGAM5

7 Images
Immunocytochemistry/ Immunofluorescence - Anti-PGAM5 antibody (AB126534)
  • ICC/IF

Unknown

Immunocytochemistry/ Immunofluorescence - Anti-PGAM5 antibody (AB126534)

Immunocytochemical analysis of MCF7 (Human breast adenocarcinoma cell line) whole cells labeling PGAM5 in the mitochondria with ab126534 2 μg/ml.

Immunohistochemistry (Formalin/PFA-fixed paraffin-embedded sections) - Anti-PGAM5 antibody (AB126534)
  • IHC-P

Unknown

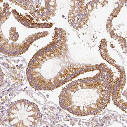
Immunohistochemistry (Formalin/PFA-fixed paraffin-embedded sections) - Anti-PGAM5 antibody (AB126534)

Immunohistochemical analysis of human colon tissue labeling PGAM5 in the granular cytoplasm of glandular cells with ab126534 at a 1/200 dilution.

Performed heat mediated antigen retrieval with citrate buffer pH 6 before commencing with IHC staining protocol.

Immunohistochemistry (Formalin/PFA-fixed paraffin-embedded sections) - Anti-PGAM5 antibody (AB126534)
  • IHC-P

Unknown

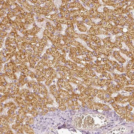
Immunohistochemistry (Formalin/PFA-fixed paraffin-embedded sections) - Anti-PGAM5 antibody (AB126534)

Immunohistochemical analysis of human liver tissue labeling PGAM5 in the granular cytoplasm of hepatocytes with ab126534 at a 1/200 dilution.

Performed heat mediated antigen retrieval with citrate buffer pH 6 before commencing with IHC staining protocol.

Immunohistochemistry (Formalin/PFA-fixed paraffin-embedded sections) - Anti-PGAM5 antibody (AB126534)
  • IHC-P

Unknown

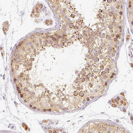
Immunohistochemistry (Formalin/PFA-fixed paraffin-embedded sections) - Anti-PGAM5 antibody (AB126534)

Immunohistochemical analysis of human testis tissue labeling PGAM5 in the granular cytoplasm of cells in seminiferous ducts with ab126534 at a 1/200 dilution.

Performed heat mediated antigen retrieval with citrate buffer pH 6 before commencing with IHC staining protocol.

Immunohistochemistry (Formalin/PFA-fixed paraffin-embedded sections) - Anti-PGAM5 antibody (AB126534)
  • IHC-P

Unknown

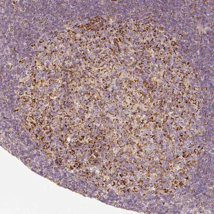
Immunohistochemistry (Formalin/PFA-fixed paraffin-embedded sections) - Anti-PGAM5 antibody (AB126534)

Immunohistochemical analysis of human tonsil tissue labeling PGAM5 in the granular cytoplasm of germinal center cells with ab126534 at a 1/200 dilution.

Performed heat mediated antigen retrieval with citrate buffer pH 6 before commencing with IHC staining protocol.

Western blot - Anti-PGAM5 antibody (AB126534)
  • WB

Supplier Data

Western blot - Anti-PGAM5 antibody (AB126534)

Loading control : Anti-PPIB

Genetic validation in WB by siRNA knockdown.

All lanes:

Western blot - Anti-PGAM5 antibody (ab126534) at 0.4 µg/mL

Lane 1:

Control siRNA transfected into RT4 (Human urinary bladder cancer cell line) whole cell lysate

Lane 2:

siRNA probe #1 transfected into RT4 whole cell lysate

Lane 3:

siRNA probe #2 transfected into RT4 whole cell lysate

Predicted band size: 32 kDa

false

Western blot - Anti-PGAM5 antibody (AB126534)
  • WB

Supplier Data

Western blot - Anti-PGAM5 antibody (AB126534)

Blocking and diluting buffer and concentration : 5% NFDM/TBST.

In Western blot, ab322207 was shown to bind specifically to PGAM5. Target of interest was observed at 32 kDa in wild-type HeLa cell lysates (lane 1) with no signal observed at this size in PGAM5 knockout cell line (lane 2) (lane 2, knockout cell line ab265141 / knockout cell lysate ab257581).

Exposure time : Left panel : 180 seconds; right panel : 70 seconds

In Western blot, Anti-GAPDH antibody [EPR16891] - Loading Control (ab181602) staining at 1/200000 dilution.

All lanes:

Western blot - Anti-PGAM5 antibody [RM1254] (<a href='/en-us/products/primary-antibodies/pgam5-antibody-rm1254-ab322207'>ab322207</a>) at 1/1000 dilution

Lane 1:

Wild-type HeLa (human cervix adenocarcinoma epithelial cell) whole cell lysate at 20 µg

Lane 2:

Western blot - Human PGAM5 knockout HeLa cell lysate (<a href='/en-us/products/cell-lysates/human-pgam5-knockout-hela-cell-lysate-ab257581'>ab257581</a>) at 20 µg

Lane 3:

A549 (human lung carcinoma epithelial cell) whole cell lysate at 20 µg

Lane 4:

HepG2 (human hepatocellar carcinoma epithelial cell) whole cell lysate at 20 µg

Lane 5:

MCF7 (human breast adenocarcinoma epithelial cell) whole cell lysate at 20 µg

Secondary

All lanes:

Western blot - Goat Anti-Rabbit IgG H&L (HRP) (<a href='/en-us/products/secondary-antibodies/goat-rabbit-igg-h-l-hrp-ab97051'>ab97051</a>) at 1/100000 dilution

Observed band size: 32 kDa,36 kDa

false

Key facts

Host species

Rabbit

Clonality

Polyclonal

Isotype

IgG

Carrier free

No

Reacts with

Human

Applications

WB, ICC/IF, IHC-P

applications

Immunogen

Recombinant Fragment Protein within Human PGAM5 aa 50-150. The exact immunogen used to generate this antibody is proprietary information.

Q96HS1

Reactivity data

{ "title": "Reactivity Data", "filters": { "stats": ["", "Species", "Dilution Info", "Notes"], "tabs": { "all-applications": {"fullname" : "All Applications", "shortname": "All Applications"}, "IHCP" : {"fullname" : "Immunohistochemistry (Formalin/PFA-fixed paraffin-embedded sections)", "shortname":"IHC-P"}, "WB" : {"fullname" : "Western blot", "shortname":"WB"}, "ICCIF" : {"fullname" : "Immunocytochemistry/ Immunofluorescence", "shortname":"ICC/IF"} }, "product-promise": { "all": "all", "testedAndGuaranteed": "tested", "guaranteed": "expected", "predicted": "predicted", "notRecommended": "not-recommended" } }, "values": { "Human": { "IHCP-species-checked": "testedAndGuaranteed", "IHCP-species-dilution-info": "1/200 - 1/500", "IHCP-species-notes": "<p></p> Perform heat-mediated antigen retrieval with citrate buffer pH 6 before commencing with IHC staining protocol.", "WB-species-checked": "testedAndGuaranteed", "WB-species-dilution-info": "0.04-0.4 µg/mL", "WB-species-notes": "<p></p>", "ICCIF-species-checked": "testedAndGuaranteed", "ICCIF-species-dilution-info": "0.25-2 µg/mL", "ICCIF-species-notes": "<p></p>" } } }

Properties and storage information

Form
Liquid
Purification technique
Affinity purification Immunogen
Storage buffer
pH: 7.2 Preservative: 0.02% Sodium azide Constituents: PBS, 40% Glycerol (glycerin, glycerine)
Shipped at conditions
Blue Ice
Appropriate short-term storage conditions
+4°C
Appropriate long-term storage conditions
-20°C
Aliquoting information
Upon delivery aliquot
Storage information
Avoid freeze / thaw cycle

Supplementary information

This supplementary information is collated from multiple sources and compiled automatically.

PGAM5 also known as Phosphoglycerate Mutase Family Member 5 is a mitochondrial protein with a known mass of around 32 kDa. It acts as a serine/threonine phosphatase without intrinsic catalytic phosphoglycerate mutase activity. PGAM5 localizes to the inner membrane of mitochondria and exhibits expression in tissues where metabolic regulation is significant. It plays a role in removing phosphate groups from target substrates influencing multiple cellular mechanisms.
Biological function summary

PGAM5 impacts pathways related to cellular stress responses and energy metabolism. It participates in programmed cell death and modulates mitochondrial dynamics. It can serve as part of a complex with other proteins adjusting the balance between mitophagy and apoptosis. Through interaction with key signaling molecules PGAM5 bridges various biochemical processes relevant to cell survival and energy utilization.

Pathways

Its function integrates into mitophagy and necroptosis. PGAM5 collaborates with proteins like PINK1 and PARKIN contributing to the clearance of damaged mitochondria via the mitophagy pathway. In necroptosis PGAM5 interacts with RIPK1 and RIPK3 regulating necrotic cell death. These interactions position PGAM5 at the crossroads of pathways critical to maintaining cellular homeostasis and response to stress.

PGAM5 relates to neurodegenerative diseases and cancer. Mutations or dysregulation of PGAM5 connect to Parkinson's disease where impaired mitochondrial function and mitophagy play a role. In cancer altered PGAM5 activity may disrupt normal apoptotic processes leading to unchecked cell growth. In these contexts PGAM5's interaction with proteins like PINK1 PARKIN RIPK1 and RIPK3 underpins its relevance to disease mechanisms.

Product protocols

For this product, it's our understanding that no specific protocols are required. You can visit:

Target data

Mitochondrial serine/threonine phosphatase that dephosphorylates various substrates and thus plays a role in different biological processes including cellular senescence or mitophagy (PubMed : 24746696, PubMed : 32439975). Modulates cellular senescence by regulating mitochondrial dynamics. Mechanistically, participates in mitochondrial fission through dephosphorylating DNM1L/DRP1 (PubMed : 32439975). Additionally, dephosphorylates MFN2 in a stress-sensitive manner and consequently protects it from ubiquitination and degradation to promote mitochondrial network formation (PubMed : 37498743). Regulates mitophagy independent of PARKIN by interacting with and dephosphorylating FUNDC1, which interacts with LC3 (PubMed : 24746696). Regulates anti-oxidative response by forming a tertiary complex with KEAP1 and NRF2 (PubMed : 18387606). Regulates necroptosis by acting as a RIPK3 target and recruiting the RIPK1-RIPK3-MLKL necrosis 'attack' complex to mitochondria (PubMed : 22265414).
See full target information PGAM5

Publications (36)

Recent publications for all applications. Explore the full list and refine your search

Nature communications 16:5465 PubMed40593619

2025

Mitophagy mitigates mitochondrial fatty acid β-oxidation deficient cardiomyopathy.

Applications

Unspecified application

Species

Unspecified reactive species

Nuo Sun,Hayley Barta,Samhita Chaudhuri,Kangxuan Chen,Jiacheng Jin,Hongke Luo,Mingchong Yang,Judith Krigman,Ruohan Zhang,Shridhar Sanghvi,Shiori Sekine,Hannah Sanders,Dominic Kolonay,Mudra Patel,Kedryn Baskin,Harpreet Singh,Pengyi Zhang,Gang Xin,Toren Finkel

International journal of chronic obstructive pulmonary disease 20:551-564 PubMed40078929

2025

PGAM5 Modulates Macrophage Polarization, Aggravating Inflammation in COPD via the NF-κB Pathway.

Applications

Unspecified application

Species

Unspecified reactive species

Yu Zheng,Yujie Wang,Jia Li,Shaomao Zheng,Lipeng Zhang,Qiaoyu Li,Fayu Ling,Qiuli Nie,Qiong Feng,Jing Wang,Chengji Jin

PloS one 19:e0312853 PubMed39471139

2024

Melatonin attenuates liver ischemia-reperfusion injury via inhibiting the PGAM5-mPTP pathway.

Applications

Unspecified application

Species

Unspecified reactive species

Xiaoyi Shi,Jiakai Zhang,Jie Gao,Danfeng Guo,Shuijun Zhang,Xu Chen,Hongwei Tang

Cell discovery 10:24 PubMed38409220

2024

The E3 ubiquitin ligase MARCH2 protects against myocardial ischemia-reperfusion injury through inhibiting pyroptosis via negative regulation of PGAM5/MAVS/NLRP3 axis.

Applications

Unspecified application

Species

Unspecified reactive species

Shuolin Liu,Yaguang Bi,Tianting Han,Yiran E Li,Qihang Wang,Ne Natalie Wu,Chenguo Xu,Junbo Ge,Ronggui Hu,Yingmei Zhang

Acta pharmacologica Sinica 45:125-136 PubMed37684381

2023

PGAM5 exacerbates acute renal injury by initiating mitochondria-dependent apoptosis by facilitating mitochondrial cytochrome c release.

Applications

Unspecified application

Species

Unspecified reactive species

Jing-Yao Li,Xi-Ang Sun,Xin Wang,Ning-Hao Yang,Hong-Yan Xie,Heng-Jiang Guo,Li Lu,Xin Xie,Li Zhou,Jun Liu,Wei Zhang,Li-Min Lu

CNS neuroscience & therapeutics 30:e14377 PubMed37622283

2023

PGAM5 knockout causes depressive-like behaviors in mice via ATP deficiency in the prefrontal cortex.

Applications

Unspecified application

Species

Unspecified reactive species

Weiwei Cui,Chunhui Chen,Liya Gong,Junyan Wen,Shanshan Yang,Min Zheng,Baogui Gao,Junxiong You,Xuecong Lin,Yanyu Hao,Zhimin Chen,Ziqi Wu,Liaoming Gao,Jiayu Tang,Zhen Yuan,Xuegang Sun,Linlin Jing,Ge Wen

Biomedicines 11: PubMed37626656

2023

Colitis Is Associated with Loss of the Histidine Phosphatase LHPP and Upregulation of Histidine Phosphorylation in Intestinal Epithelial Cells.

Applications

Unspecified application

Species

Unspecified reactive species

Markus Linder,Dritan Liko,Venkatesh Kancherla,Salvatore Piscuoglio,Michael N Hall

Immunity 55:2059-2073.e8 PubMed36351375

2022

Expansion of T memory stem cells with superior anti-tumor immunity by Urolithin A-induced mitophagy.

Applications

Unspecified application

Species

Unspecified reactive species

Dominic Denk,Valentina Petrocelli,Claire Conche,Moritz Drachsler,Paul K Ziegler,Angela Braun,Alena Kress,Adele M Nicolas,Kathleen Mohs,Christoph Becker,Markus F Neurath,Henner F Farin,Christian J Buchholz,Pénélope A Andreux,Chris Rinsch,Florian R Greten

International journal of molecular sciences 23: PubMed35887094

2022

Microsporidia Promote Host Mitochondrial Fragmentation by Modulating DRP1 Phosphorylation.

Applications

Unspecified application

Species

Unspecified reactive species

Jian Luo,Jinzhi Xu,Chaolu Xie,Zuoming Zhao,Junrui Guo,Yuan Wen,Tian Li,Zeyang Zhou

World journal of clinical cases 10:4368-4379 PubMed35663086

2022

Clinical and prognostic significance of expression of phosphoglycerate mutase family member 5 and Parkin in advanced colorectal cancer.

Applications

Unspecified application

Species

Unspecified reactive species

Can Wu,Ming-Liang Feng,Tai-Wei Jiao,Ming-Jun Sun
View all publications

Product promise

We are committed to supporting your work with high-quality reagents, and we're here for you every step of the way. In the unlikely event that one of our products does not perform as expected, you're protected by our Product Promise.
For full details, please see our Terms & Conditions

Please note: All products are 'FOR RESEARCH USE ONLY. NOT FOR USE IN DIAGNOSTIC OR THERAPEUTIC PROCEDURES'.

For licensing inquiries, please contact partnerships@abcam.com