JavaScript is disabled in your browser. Please enable JavaScript to view this website.
AB322207

Anti-PGAM5 antibody [RM1254]

  • 20ul selling size
  • BOND RX™ Validated
  • Recombinant
  • RabMAb
  • KO Validated
  • What is this?

Be the first to review this product! Submit a review

|

(0 Publication)

Knockout Tested Rabbit Recombinant Multiclonal PGAM5 antibody. Suitable for WB, IHC-P, ICC/IF, IP and reacts with Human, Mouse, Rat samples.

View Alternative Names

Bcl-XL-binding protein v68, Phosphoglycerate mutase family member 5, PGAM5

11 Images
Immunohistochemistry (Formalin/PFA-fixed paraffin-embedded sections) - Anti-PGAM5 antibody [RM1254] (AB322207)
  • IHC-P

Supplier Data

Immunohistochemistry (Formalin/PFA-fixed paraffin-embedded sections) - Anti-PGAM5 antibody [RM1254] (AB322207)

Immunohistochemical analysis of paraffin-embedded Human colon carcinoma tissue labeling PGAM5 with ab322207 at 1/100 (4.85 ug/ml) dilution, followed by a ready to use LeicaDS9800 (Bond™ Polymer Refine Detection).

Positive staining on human colon carcinoma. The section was incubated with ab322207 for 30 mins at room temperature.
The immunostaining was performed on a Leica Biosystems BOND® RX instrument

Counterstained with Hematoxylin.

Secondary antibody only control : Secondary antibody is a ready to use LeicaDS9800 (Bond™ Polymer Refine Detection).

Heat mediated antigen retrieval was performed with Tris-EDTA buffer (pH 9.0, Epitope Retrieval Solution2) for 20 mins

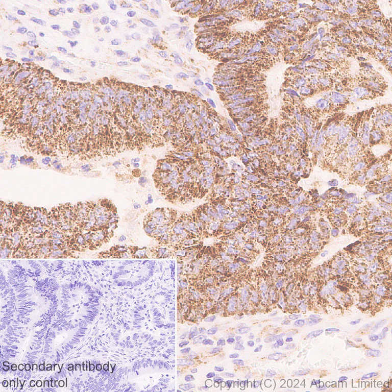
Immunohistochemistry (Formalin/PFA-fixed paraffin-embedded sections) - Anti-PGAM5 antibody [RM1254] (AB322207)
  • IHC-P

Supplier Data

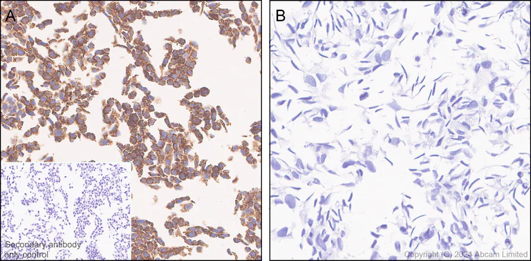
Immunohistochemistry (Formalin/PFA-fixed paraffin-embedded sections) - Anti-PGAM5 antibody [RM1254] (AB322207)

Immunohistochemical analysis of paraffin-embedded A Wild-type HeLa (human cervix adenocarcinoma epithelial cell) cell pellet B PGAM5 knockout HeLa cell pellet tissue labeling PGAM5 with ab322207 at 1/100 (4.85 ug/ml) dilution, followed by a ready to use LeicaDS9800 (Bond™ Polymer Refine Detection).

Positive staining on (A) wild-type HeLa cell pellet, no staining on (B) PGAM5 knockout HeLa cell pellet. The section was incubated with ab322207 for 30 mins at room temperature.
The immunostaining was performed on a Leica Biosystems BOND® RX instrument

Counterstained with Hematoxylin.

Secondary antibody only control : Secondary antibody is a ready to use LeicaDS9800 (Bond™ Polymer Refine Detection).

Heat mediated antigen retrieval was performed with Tris-EDTA buffer (pH 9.0, Epitope Retrieval Solution2) for 20 mins

Immunohistochemistry (Formalin/PFA-fixed paraffin-embedded sections) - Anti-PGAM5 antibody [RM1254] (AB322207)
  • IHC-P

Supplier Data

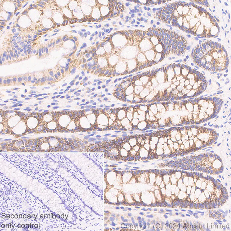
Immunohistochemistry (Formalin/PFA-fixed paraffin-embedded sections) - Anti-PGAM5 antibody [RM1254] (AB322207)

Immunohistochemical analysis of paraffin-embedded Human colon tissue labeling PGAM5 with ab322207 at 1/100 (4.85 ug/ml) dilution, followed by a ready to use LeicaDS9800 (Bond™ Polymer Refine Detection).

Positive staining on human colon. The section was incubated with ab322207 for 30 mins at room temperature.
The immunostaining was performed on a Leica Biosystems BOND® RX instrument

Counterstained with Hematoxylin.

Secondary antibody only control : Secondary antibody is a ready to use LeicaDS9800 (Bond™ Polymer Refine Detection).

Heat mediated antigen retrieval was performed with Tris-EDTA buffer (pH 9.0, Epitope Retrieval Solution2) for 20 mins

Immunocytochemistry/ Immunofluorescence - Anti-PGAM5 antibody [RM1254] (AB322207)
  • ICC/IF

Supplier Data

Immunocytochemistry/ Immunofluorescence - Anti-PGAM5 antibody [RM1254] (AB322207)

Immunofluorescent analysis of 4% Paraformaldehyde-fixed, 0.1% TritonX-100 permeabilized PGAM5 KO HeLa (PGAM5 knockout human cervical adenocarcinoma epithelial cell) (ab265141) cells labelling PGAM5 with ab322207 at 1/100 (4.85 ug/ml) dilution, followed by ab150081 Goat Anti-Rabbit IgG H&L (Alexa Fluor® 488) preadsorbed antibody at 1/ 1000 2ug/ml dilution (Green).

Confocal image showing mitochondria staining in parental HeLa cells (shown in green). The counterstain was observed in magenta. Nuclear DNA was labelled with DAPI (shown in blue). Image was taken with a confocal microscope (Leica-Microsystems, TCS SP8).

anti-COX IV mouse monoclonal antibody - Mitochondrial Marker was used to counterstain tubulin at 1/200 2.5 dilution (Magenta). The Nuclear counterstain was DAPI (Blue).

Secondary antibody only control : Secondary antibody is ab150081 Goat Anti-Rabbit IgG H&L (Alexa Fluor® 488) preadsorbed at 1/ 1000 2ug/ml dilution.

Immunoprecipitation - Anti-PGAM5 antibody [RM1254] (AB322207)
  • IP

Supplier Data

Immunoprecipitation - Anti-PGAM5 antibody [RM1254] (AB322207)

PGAM5 was immunoprecipitated from 0.35 mg HeLa (human cervical adenocarcinoma epithelial cell) whole cell lysate with ab322207 at 1/30 dilution (2ug in 0.35mg lysates). Western blot was performed on the immunoprecipitate using ab322207 at 1/1000 dilution. VeriBlot for IP secondary antibody(HRP)(ab131366) was used at 1/5000 dilution.

Lane 1 : HeLa (human cervical adenocarcinoma epithelial cell) whole cell lysate
Lane 2 : ab322207 IP in HeLa (human cervical adenocarcinoma epithelial cell) whole cell lysate
Lane 3 : Rabbit monoclonal IgG (ab172730) instead of ab322207 in HeLa whole cell lysate

Blocking and dilution buffer and concentration : 5% NFDM/TBST

All lanes:

Immunoprecipitation - Anti-PGAM5 antibody [RM1254] (ab322207) at 1/30 dilution

All lanes:

HeLa (human cervical adenocarcinoma epithelial cell) whole cell lysate

Secondary

All lanes:

Immunoprecipitation - VeriBlot for IP Detection Reagent (HRP) (<a href='/en-us/products/reagents/veriblot-for-ip-detection-reagent-hrp-ab131366'>ab131366</a>) at 1/5000 dilution

false

Exposure time: 8s

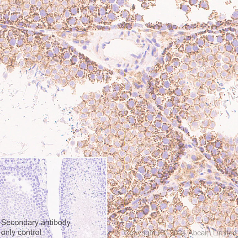
Immunohistochemistry (Formalin/PFA-fixed paraffin-embedded sections) - Anti-PGAM5 antibody [RM1254] (AB322207)
  • IHC-P

Supplier Data

Immunohistochemistry (Formalin/PFA-fixed paraffin-embedded sections) - Anti-PGAM5 antibody [RM1254] (AB322207)

Immunohistochemical analysis of paraffin-embedded Mouse testis tissue labeling PGAM5 with ab322207 at 1/100 (4.85 ug/ml) dilution, followed by a ready to use LeicaDS9800 (Bond™ Polymer Refine Detection).

Positive staining on mouse testis. The section was incubated with ab322207 for 30 mins at room temperature.
The immunostaining was performed on a Leica Biosystems BOND® RX instrument

Counterstained with Hematoxylin.

Secondary antibody only control : Secondary antibody is a ready to use LeicaDS9800 (Bond™ Polymer Refine Detection).

Heat mediated antigen retrieval was performed with Tris-EDTA buffer (pH 9.0, Epitope Retrieval Solution2) for 20 mins

Immunohistochemistry (Formalin/PFA-fixed paraffin-embedded sections) - Anti-PGAM5 antibody [RM1254] (AB322207)
  • IHC-P

Supplier Data

Immunohistochemistry (Formalin/PFA-fixed paraffin-embedded sections) - Anti-PGAM5 antibody [RM1254] (AB322207)

Immunohistochemical analysis of paraffin-embedded Rat testis tissue labeling PGAM5 with ab322207 at 1/100 (4.85 ug/ml) dilution, followed by a ready to use LeicaDS9800 (Bond™ Polymer Refine Detection).

Positive staining on rat testis. The section was incubated with ab322207 for 30 mins at room temperature.
The immunostaining was performed on a Leica Biosystems BOND® RX instrument

Counterstained with Hematoxylin.

Secondary antibody only control : Secondary antibody is a ready to use LeicaDS9800 (Bond™ Polymer Refine Detection).

Heat mediated antigen retrieval was performed with Tris-EDTA buffer (pH 9.0, Epitope Retrieval Solution2) for 20 mins

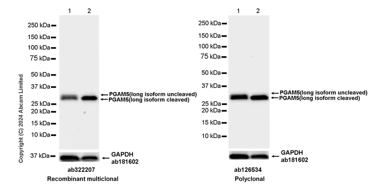
Western blot - Anti-PGAM5 antibody [RM1254] (AB322207)
  • WB

Supplier Data

Western blot - Anti-PGAM5 antibody [RM1254] (AB322207)

Blocking and diluting buffer and concentration : 5% NFDM/TBST.

The expression profile/ molecular weight observed is consistent with what has been described in the literature (PMID : 22915595 and PMID : 30250224).

In Western blot, Anti-GAPDH antibody [EPR16891] - Loading Control (ab181602) staining at 1/200000 dilution.

All lanes:

Western blot - Anti-PGAM5 antibody [RM1254] (ab322207) at 1/1000 dilution

Lane 1:

Untreated PANC-1(human pancreatic epithelioid carcinoma epithelial cell) whole cell lysate at 20 µg

Lane 2:

PANC-1 treated with 100 uM CCCP (<a href='/en-us/products/biochemicals/cccp-mitochondrial-oxidative-phosphorylation-uncoupler-ab141229'>ab141229</a>) for 2 hours, whole cell lysate at 20 µg

Secondary

All lanes:

Western blot - Goat Anti-Rabbit IgG H&L (HRP) (<a href='/en-us/products/secondary-antibodies/goat-rabbit-igg-h-l-hrp-ab97051'>ab97051</a>) at 1/100000 dilution

Observed band size: 32 kDa,36 kDa

false

Exposure time: 26s

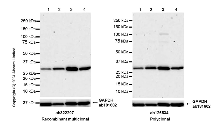
Western blot - Anti-PGAM5 antibody [RM1254] (AB322207)
  • WB

Supplier Data

Western blot - Anti-PGAM5 antibody [RM1254] (AB322207)

Blocking and diluting buffer and concentration : 5% NFDM/TBST.

In Western blot, ab322207 was shown to bind specifically to PGAM5. Target of interest was observed at 32 kDa in wild-type HeLa cell lysates (lane 1) with no signal observed at this size in PGAM5 knockout cell line (lane 2) (lane 2, knockout cell line ab265141 / knockout cell lysate ab257581).

Exposure time : Left panel : 180 seconds; right panel : 70 seconds

In Western blot, Anti-GAPDH antibody [EPR16891] - Loading Control (ab181602) staining at 1/200000 dilution.

All lanes:

Western blot - Anti-PGAM5 antibody [RM1254] (ab322207) at 1/1000 dilution

Lane 1:

Wild-type HeLa (human cervix adenocarcinoma epithelial cell) whole cell lysate at 20 µg

Lane 2:

Western blot - Human PGAM5 knockout HeLa cell lysate (<a href='/en-us/products/cell-lysates/human-pgam5-knockout-hela-cell-lysate-ab257581'>ab257581</a>) at 20 µg

Lane 3:

A549 (human lung carcinoma epithelial cell) whole cell lysate at 20 µg

Lane 4:

HepG2 (human hepatocellar carcinoma epithelial cell) whole cell lysate at 20 µg

Lane 5:

MCF7 (human breast adenocarcinoma epithelial cell) whole cell lysate at 20 µg

Secondary

All lanes:

Western blot - Goat Anti-Rabbit IgG H&L (HRP) (<a href='/en-us/products/secondary-antibodies/goat-rabbit-igg-h-l-hrp-ab97051'>ab97051</a>) at 1/100000 dilution

Observed band size: 32 kDa,36 kDa

false

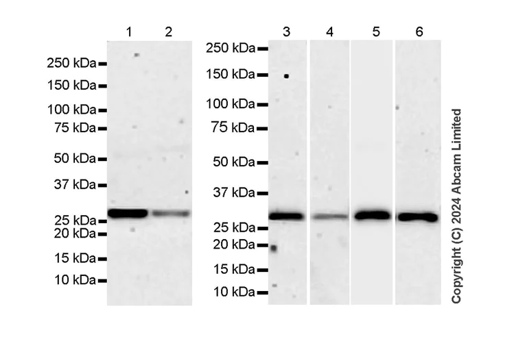
Western blot - Anti-PGAM5 antibody [RM1254] (AB322207)
  • WB

Supplier Data

Western blot - Anti-PGAM5 antibody [RM1254] (AB322207)

Blocking and diluting buffer and concentration : 5% NFDM/TBST.

Lanes 1-2 are applied with Goat Anti-Rabbit IgG (HRP) with minimal cross-reactivity with human IgG at 1/2000. Lanes 3-6 are applied with Goat Anti-Rabbit IgG, (H+L), Peroxidase conjugated (ab97051) at 1/100000.

Exposure time : Lanes 1-4 and 6 : 180 seconds; Lane 5 : 26 seconds

All lanes:

Western blot - Anti-PGAM5 antibody [RM1254] (ab322207) at 1/1000 dilution

Lane 1:

Human liver tissue lysate at 20 µg

Lane 2:

Human tonsil tissue lysate at 20 µg

Lane 3:

Mouse colon tissue lysate at 20 µg

Lane 4:

Mouse kidney tissue lysate at 20 µg

Lane 5:

Rat colon tissue lysate at 20 µg

Lane 6:

Rat liver tissue lysate at 20 µg

Secondary

Lanes 1 - 2:

Goat Anti-Rabbit IgG (HRP) with minimal cross-reactivity with human IgG at 1/2000 dilution

Lanes 3 - 6:

Western blot - Goat Anti-Rabbit IgG H&L (HRP) (<a href='/en-us/products/secondary-antibodies/goat-rabbit-igg-h-l-hrp-ab97051'>ab97051</a>) at 1/100000 dilution

Observed band size: 32 kDa

false

Western blot - Anti-PGAM5 antibody [RM1254] (AB322207)
  • WB

Supplier Data

Western blot - Anti-PGAM5 antibody [RM1254] (AB322207)

Blocking and diluting buffer and concentration : 5% NFDM/TBST.

In Western blot, Anti-GAPDH antibody [EPR16891] - Loading Control (ab181602) staining at 1/200000 dilution.

All lanes:

Western blot - Anti-PGAM5 antibody [RM1254] (ab322207) at 1/1000 dilution

Lane 1:

RAW 264.7 (mouse Abelson murine leukemia virus-induced tumor macrophage) whole cell lysate at 20 µg

Lane 2:

MEF (mouse embryo fibroblast) whole cell lysate at 20 µg

Lane 3:

C6 (rat glial tumor glial cell) whole cell lysate at 20 µg

Lane 4:

PC-12 (rat adrenal gland pheochromocytoma cell) whole cell lysate at 20 µg

Secondary

All lanes:

Western blot - Goat Anti-Rabbit IgG H&L (HRP) (<a href='/en-us/products/secondary-antibodies/goat-rabbit-igg-h-l-hrp-ab97051'>ab97051</a>) at 1/100000 dilution

Observed band size: 32 kDa,36 kDa

false

Exposure time: 180s

Key facts

Host species

Rabbit

Clonality

Multiclonal

Clone number

RM1254

Isotype

IgG

Carrier free

No

Reacts with

Human, Mouse, Rat

Applications

IHC-P, IP, ICC/IF, WB

applications

Immunogen

The exact immunogen used to generate this antibody is proprietary information.

Specificity

Unsuitable for mouse and rat IP.

Unsuitable for mouse and rat ICC.

Reactivity data

{ "title": "Reactivity Data", "filters": { "stats": ["", "Species", "Dilution Info", "Notes"], "tabs": { "all-applications": {"fullname" : "All Applications", "shortname": "All Applications"}, "WB" : {"fullname" : "Western blot", "shortname":"WB"}, "IHCP" : {"fullname" : "Immunohistochemistry (Formalin/PFA-fixed paraffin-embedded sections)", "shortname":"IHC-P"}, "ICCIF" : {"fullname" : "Immunocytochemistry/ Immunofluorescence", "shortname":"ICC/IF"}, "IP" : {"fullname" : "Immunoprecipitation", "shortname":"IP"}, "FlowCytIntra" : {"fullname" : "Flow Cytometry (Intracellular)", "shortname":"Flow Cyt (Intra)"} }, "product-promise": { "all": "all", "testedAndGuaranteed": "tested", "guaranteed": "expected", "predicted": "predicted", "notRecommended": "not-recommended" } }, "values": { "Human": { "WB-species-checked": "testedAndGuaranteed", "WB-species-dilution-info": "1/1000", "WB-species-notes": "<p></p>", "IHCP-species-checked": "testedAndGuaranteed", "IHCP-species-dilution-info": "1/100", "IHCP-species-notes": "<p></p> Perform heat-mediated antigen retrieval with Tris/EDTA buffer pH 9.0 before commencing with IHC staining protocol.", "ICCIF-species-checked": "testedAndGuaranteed", "ICCIF-species-dilution-info": "1/100", "ICCIF-species-notes": "<p></p>", "IP-species-checked": "testedAndGuaranteed", "IP-species-dilution-info": "1/30", "IP-species-notes": "<p></p>", "FlowCytIntra-species-checked": "notRecommended", "FlowCytIntra-species-dilution-info": "", "FlowCytIntra-species-notes": "<p></p>" }, "Mouse": { "WB-species-checked": "testedAndGuaranteed", "WB-species-dilution-info": "1/1000", "WB-species-notes": "<p></p>", "IHCP-species-checked": "testedAndGuaranteed", "IHCP-species-dilution-info": "1/100", "IHCP-species-notes": "<p></p> Perform heat-mediated antigen retrieval with Tris/EDTA buffer pH 9.0 before commencing with IHC staining protocol.", "ICCIF-species-checked": "notRecommended", "ICCIF-species-dilution-info": "", "ICCIF-species-notes": "<p></p>", "IP-species-checked": "notRecommended", "IP-species-dilution-info": "", "IP-species-notes": "<p></p>", "FlowCytIntra-species-checked": "notRecommended", "FlowCytIntra-species-dilution-info": "", "FlowCytIntra-species-notes": "<p></p>" }, "Rat": { "WB-species-checked": "testedAndGuaranteed", "WB-species-dilution-info": "1/1000", "WB-species-notes": "<p></p>", "IHCP-species-checked": "testedAndGuaranteed", "IHCP-species-dilution-info": "1/100", "IHCP-species-notes": "<p></p> Perform heat-mediated antigen retrieval with Tris/EDTA buffer pH 9.0 before commencing with IHC staining protocol.", "ICCIF-species-checked": "notRecommended", "ICCIF-species-dilution-info": "", "ICCIF-species-notes": "<p></p>", "IP-species-checked": "notRecommended", "IP-species-dilution-info": "", "IP-species-notes": "<p></p>", "FlowCytIntra-species-checked": "notRecommended", "FlowCytIntra-species-dilution-info": "", "FlowCytIntra-species-notes": "<p></p>" } } }

Product details

What are recombinant multiclonals?
Recombinant multiclonals are a mixture of recombinant antibodies co-expressed from a library of heavy and light chains. They offer several advantages including:

  • - The sensitivity of polyclonal antibodies by recognising multiple epitopes
  • - High batch-to-batch consistency and reproducibility
  • - Improved sensitivity and specificity
  • - Long-term security of supply
  • - Animal-free batch production

View our range of recombinant multiclonal antibodies.

Patented technology
Our RabMAb® technology is a patented hybridoma-based technology for making rabbit monoclonal antibodies. For details on our patents, please refer to RabMAb® patents.

Properties and storage information

Form
Liquid
Purification technique
Affinity purification Protein A
Storage buffer
pH: 7.2 - 7.4 Preservative: 0.01% Sodium azide Constituents: PBS, 40% Glycerol (glycerin, glycerine), 0.05% BSA
Shipped at conditions
Blue Ice
Appropriate short-term storage duration
1-2 weeks
Appropriate short-term storage conditions
+4°C
Appropriate long-term storage conditions
-20°C
Aliquoting information
Upon delivery aliquot
Storage information
Avoid freeze / thaw cycle

Supplementary information

This supplementary information is collated from multiple sources and compiled automatically.

PGAM5 also known as Phosphoglycerate Mutase Family Member 5 is a mitochondrial protein with a known mass of around 32 kDa. It acts as a serine/threonine phosphatase without intrinsic catalytic phosphoglycerate mutase activity. PGAM5 localizes to the inner membrane of mitochondria and exhibits expression in tissues where metabolic regulation is significant. It plays a role in removing phosphate groups from target substrates influencing multiple cellular mechanisms.
Biological function summary

PGAM5 impacts pathways related to cellular stress responses and energy metabolism. It participates in programmed cell death and modulates mitochondrial dynamics. It can serve as part of a complex with other proteins adjusting the balance between mitophagy and apoptosis. Through interaction with key signaling molecules PGAM5 bridges various biochemical processes relevant to cell survival and energy utilization.

Pathways

Its function integrates into mitophagy and necroptosis. PGAM5 collaborates with proteins like PINK1 and PARKIN contributing to the clearance of damaged mitochondria via the mitophagy pathway. In necroptosis PGAM5 interacts with RIPK1 and RIPK3 regulating necrotic cell death. These interactions position PGAM5 at the crossroads of pathways critical to maintaining cellular homeostasis and response to stress.

PGAM5 relates to neurodegenerative diseases and cancer. Mutations or dysregulation of PGAM5 connect to Parkinson's disease where impaired mitochondrial function and mitophagy play a role. In cancer altered PGAM5 activity may disrupt normal apoptotic processes leading to unchecked cell growth. In these contexts PGAM5's interaction with proteins like PINK1 PARKIN RIPK1 and RIPK3 underpins its relevance to disease mechanisms.

Product protocols

For this product, it's our understanding that no specific protocols are required. You can visit:

Target data

Mitochondrial serine/threonine phosphatase that dephosphorylates various substrates and thus plays a role in different biological processes including cellular senescence or mitophagy (PubMed : 24746696, PubMed : 32439975). Modulates cellular senescence by regulating mitochondrial dynamics. Mechanistically, participates in mitochondrial fission through dephosphorylating DNM1L/DRP1 (PubMed : 32439975). Additionally, dephosphorylates MFN2 in a stress-sensitive manner and consequently protects it from ubiquitination and degradation to promote mitochondrial network formation (PubMed : 37498743). Regulates mitophagy independent of PARKIN by interacting with and dephosphorylating FUNDC1, which interacts with LC3 (PubMed : 24746696). Regulates anti-oxidative response by forming a tertiary complex with KEAP1 and NRF2 (PubMed : 18387606). Regulates necroptosis by acting as a RIPK3 target and recruiting the RIPK1-RIPK3-MLKL necrosis 'attack' complex to mitochondria (PubMed : 22265414).
See full target information PGAM5

Product promise

We are committed to supporting your work with high-quality reagents, and we're here for you every step of the way. In the unlikely event that one of our products does not perform as expected, you're protected by our Product Promise.
For full details, please see our Terms & Conditions

Please note: All products are 'FOR RESEARCH USE ONLY. NOT FOR USE IN DIAGNOSTIC OR THERAPEUTIC PROCEDURES'.

For licensing inquiries, please contact partnerships@abcam.com