JavaScript is disabled in your browser. Please enable JavaScript to view this website.
AB191838

Anti-PGC1 alpha antibody

5

(2 Reviews)

|

(124 Publications)

Anti-PGC1 alpha antibody (ab191838) is a rabbit polyclonal antibody detecting PGC1 alpha in Western Blot, IHC-P, ICC/IF. Suitable for Human, Mouse, Rat.

- Over 60 publications

View Alternative Names

peroxisome proliferator-activated receptor gamma coactivator 1 beta, Peroxisome proliferative activated receptor gamma coactivator 1 alpha, Peroxisome proliferator-activated receptor gamma coactivator 1-alpha, peroxisome proliferator-activated receptor gamma, coactivator 1 beta, Peroxisome proliferative activated receptor, gamma, coactivator 1 alpha, Peroxisome proliferator activated receptor gamma coactivator 1 alpha transcript variant B4, Peroxisome proliferator activated receptor gamma coactivator 1 alpha transcript variant B5, Peroxisome proliferator activated receptor gamma coactivator 1 alpha transcript variant B4 8a, Peroxisome proliferator activated receptor gamma coactivator 1 alpha transcript variant B5 NT, Peroxisome proliferator activated receptor gamma coactivator 1 alpha transcript variant B4 3ext, LEM6, PERC, PGC1, PGC1A, PGC1v, PGC 1v, PPARGC1, PPARGC1A, Ppargc1b, PGC 1 alpha, PGC-1(beta), PGC-1-alpha, PGC-1-beta, PGC1(alpha), PRGC1_HUMAN, L PGC 1alpha, PRGC2_HUMAN, PGC 1 (alpha), PPARGC 1 alpha, PPARGC-1-alpha, PPARGC-1-beta, PPAR gamma coactivator 1, Ligand effect modulator 6, PPAR gamma coactivator-1beta, PPAR gamma coactivator 1 alpha, PPAR-gamma coactivator 1-alpha, PPAR-gamma coactivator 1-beta, PPAR gamma coactivator variant form, PGC-1-related estrogen receptor alpha coactivator, PPAR gamma coactivator 1 alpha 3 ligand effect modulator 6, Peroxisome proliferative activated receptor gamma coactivator 1, Peroxisome proliferative activated receptor, gamma, coactivator 1, Peroxisome proliferator activated receptor gamma coactivator 1 alpha, Peroxisome proliferator-activated receptor gamma coactivator 1-beta

8 Images
Western blot - Anti-PGC1 alpha antibody (AB191838)
  • WB

Unknown

Western blot - Anti-PGC1 alpha antibody (AB191838)

ab191838 was incubated for 1 hour at room temperature in 5% NFDM/TBST.

Exposure : 5 min

All lanes:

Western blot - Anti-PGC1 alpha antibody (ab191838) at 2 µg/mL

All lanes:

Rat kidney lysate at 15 µg

Secondary

All lanes:

Goat Anti-Rabbit IgG HRP at 1/10000 dilution

Predicted band size: 91 kDa

false

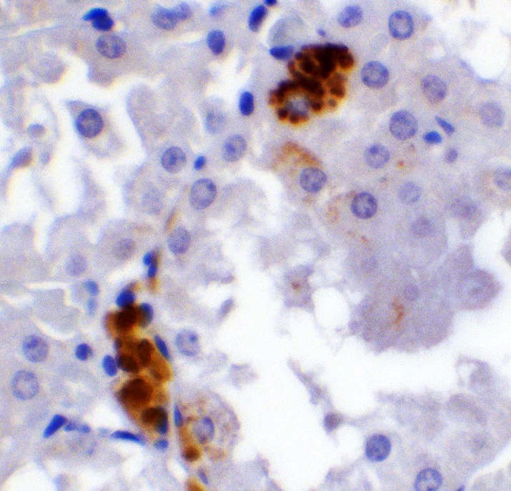
Immunohistochemistry (Formalin/PFA-fixed paraffin-embedded sections) - Anti-PGC1 alpha antibody (AB191838)
  • IHC-P

Unknown

Immunohistochemistry (Formalin/PFA-fixed paraffin-embedded sections) - Anti-PGC1 alpha antibody (AB191838)

Immunohistochemistry (Formalin-fixed paraffin embedded sections) of human pancreas tissue labeling PGC1 alpha with Anti-PGC1 alpha antibody - N-terminal (ab191838) at a 1/500 dilution. ABC HRP Kit (Rabbit IgG) was used as a secondary antibody at 1/200 dilution.

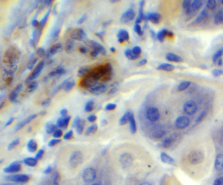
Immunohistochemistry (Formalin/PFA-fixed paraffin-embedded sections) - Anti-PGC1 alpha antibody (AB191838)
  • IHC-P

Unknown

Immunohistochemistry (Formalin/PFA-fixed paraffin-embedded sections) - Anti-PGC1 alpha antibody (AB191838)

Immunohistochemistry (Formalin-fixed paraffin embedded sections) of human pancreas tissue labeling PGC1 alpha with Anti-PGC1 alpha antibody - N-terminal (ab191838) at a 1/500 dilution. ABC HRP Kit (Rabbit IgG) was used as a secondary antibody at 1/200 dilution.

Immunocytochemistry/ Immunofluorescence - Anti-PGC1 alpha antibody (AB191838)
  • ICC/IF

Unknown

Immunocytochemistry/ Immunofluorescence - Anti-PGC1 alpha antibody (AB191838)

Immunofluorescent analysis of Hela cells (4% PFA, RT, 15min, 0.1% Triton X-100 in PBS, RT, 4min) labeling PGC1 alpha with ab191838 at 1/500 dilution. Rabbit IgG antibody (Alexa Fluor 488) was used as a secondary antibody at 1 : 2000.

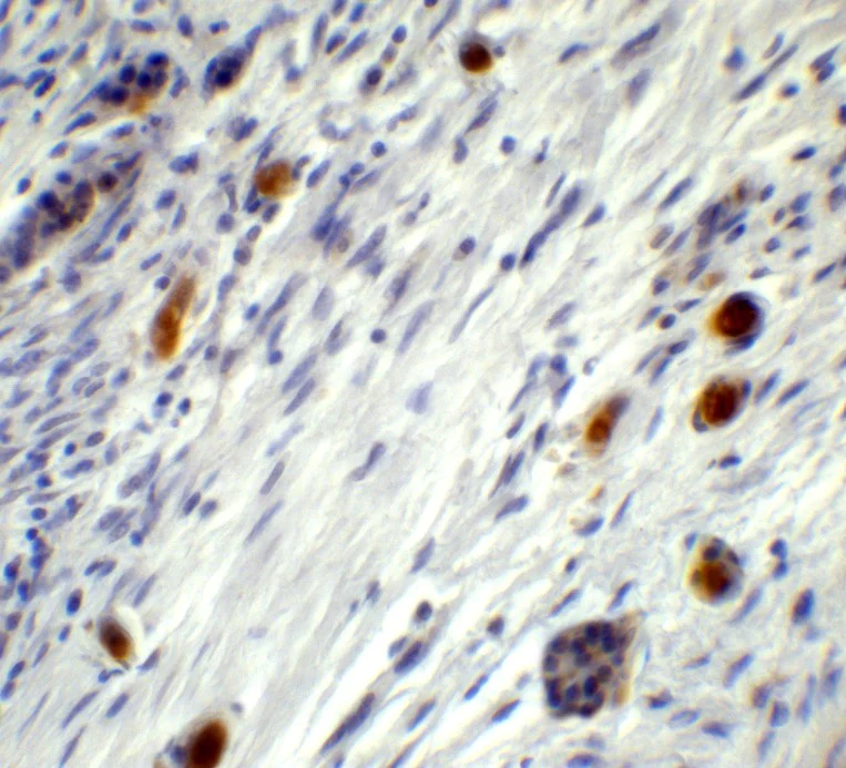
Immunohistochemistry (Formalin/PFA-fixed paraffin-embedded sections) - Anti-PGC1 alpha antibody (AB191838)
  • IHC-P

Unknown

Immunohistochemistry (Formalin/PFA-fixed paraffin-embedded sections) - Anti-PGC1 alpha antibody (AB191838)

Immunohistochemistry (Formalin-fixed paraffin embedded sections) of rat kidney tissue labeling PGC1 alpha with Anti-PGC1 alpha antibody - N-terminal (ab191838) at a 1/500 dilution. ABC HRP Kit (Rabbit IgG) was used as a secondary antibody at 1/200 dilution.

Western blot - Anti-PGC1 alpha antibody (AB191838)
  • WB

Unknown

Western blot - Anti-PGC1 alpha antibody (AB191838)

ab191838 was incubated for 1 hour at room temperature in 5% NFDM/TBST.

Exposure : 1 min

All lanes:

Western blot - Anti-PGC1 alpha antibody (ab191838) at 2 µg/mL

Lane 1:

Duadi whole cell lysate at 15 µg

Lane 2:

K562 whole cell lysate at 15 µg

Secondary

All lanes:

Goat Anti-Rabbit IgG HRP at 1/10000 dilution

Predicted band size: 91 kDa

false

Western blot - Anti-PGC1 alpha antibody (AB191838)
  • WB

Unknown

Western blot - Anti-PGC1 alpha antibody (AB191838)

ab191838 was incubated for 1 hour at room temperature in 5% NFDM/TBST.

Exposure : 5 min

All lanes:

Western blot - Anti-PGC1 alpha antibody (ab191838) at 2 µg/mL

All lanes:

Human lung lysate at 15 µg

Secondary

All lanes:

Goat Anti-Rabbit IgG HRP at 1/10000 dilution

Predicted band size: 91 kDa

false

Western blot - Anti-PGC1 alpha antibody (AB191838)
  • WB

Unknown

Western blot - Anti-PGC1 alpha antibody (AB191838)

ab191838 was incubated for 1 hour at room temperature in 5% NFDM/TBST.

Exposure : 5 min

All lanes:

Western blot - Anti-PGC1 alpha antibody (ab191838) at 2 µg/mL

All lanes:

Mouse skin lysate at 15 µg

Secondary

All lanes:

Goat Anti-Rabbit IgG HRP at 1/10000 dilution

Predicted band size: 91 kDa

false

Key facts

Host species

Rabbit

Clonality

Polyclonal

Isotype

IgG

Carrier free

No

Reacts with

Mouse, Rat, Human

Applications

ICC/IF, IHC-P, WB

applications

Immunogen

Synthetic Peptide within Human PPARGC1A aa 200-250. The exact immunogen used to generate this antibody is proprietary information.

Q9UBK2

Specificity

At least three isoforms of PGC1 alpha are known to exist; this antibody will detect all three isoforms.

Reactivity data

{ "title": "Reactivity Data", "filters": { "stats": ["", "Species", "Dilution Info", "Notes"], "tabs": { "all-applications": {"fullname" : "All Applications", "shortname": "All Applications"}, "ICCIF" : {"fullname" : "Immunocytochemistry/ Immunofluorescence", "shortname":"ICC/IF"}, "WB" : {"fullname" : "Western blot", "shortname":"WB"}, "IHCP" : {"fullname" : "Immunohistochemistry (Formalin/PFA-fixed paraffin-embedded sections)", "shortname":"IHC-P"} }, "product-promise": { "all": "all", "testedAndGuaranteed": "tested", "guaranteed": "expected", "predicted": "predicted", "notRecommended": "not-recommended" } }, "values": { "Human": { "ICCIF-species-checked": "testedAndGuaranteed", "ICCIF-species-dilution-info": "1/500", "ICCIF-species-notes": "<p></p>", "WB-species-checked": "testedAndGuaranteed", "WB-species-dilution-info": "1-2 µg/mL", "WB-species-notes": "<p>Blocking in 5% non-fat milk in TBS at 4 overnight. ab191838 incubation at room temperature for 1 hour.</p>", "IHCP-species-checked": "testedAndGuaranteed", "IHCP-species-dilution-info": "1/500", "IHCP-species-notes": "<p></p>" }, "Mouse": { "ICCIF-species-checked": "guaranteed", "ICCIF-species-dilution-info": "", "ICCIF-species-notes": "", "WB-species-checked": "testedAndGuaranteed", "WB-species-dilution-info": "1-2 µg/mL", "WB-species-notes": "<p>Blocking in 5% non-fat milk in TBS at 4 overnight. ab191838 incubation at room temperature for 1 hour.</p>", "IHCP-species-checked": "guaranteed", "IHCP-species-dilution-info": "", "IHCP-species-notes": "" }, "Rat": { "ICCIF-species-checked": "guaranteed", "ICCIF-species-dilution-info": "", "ICCIF-species-notes": "", "WB-species-checked": "testedAndGuaranteed", "WB-species-dilution-info": "1-2 µg/mL", "WB-species-notes": "<p>Blocking in 5% non-fat milk in TBS at 4 overnight. ab191838 incubation at room temperature for 1 hour.</p>", "IHCP-species-checked": "testedAndGuaranteed", "IHCP-species-dilution-info": "1/500", "IHCP-species-notes": "<p></p>" }, "Cow": { "ICCIF-species-checked": "predicted", "ICCIF-species-dilution-info": "", "ICCIF-species-notes": "", "WB-species-checked": "predicted", "WB-species-dilution-info": "", "WB-species-notes": "", "IHCP-species-checked": "predicted", "IHCP-species-dilution-info": "", "IHCP-species-notes": "" }, "Pig": { "ICCIF-species-checked": "predicted", "ICCIF-species-dilution-info": "", "ICCIF-species-notes": "", "WB-species-checked": "predicted", "WB-species-dilution-info": "", "WB-species-notes": "", "IHCP-species-checked": "predicted", "IHCP-species-dilution-info": "", "IHCP-species-notes": "" } } }

Product details

This product may be covered by one or more of the following U.S. Patents.

6,166,192
6,426,411
6,525,178
6,872,391
6,908,987
7,250,283
7,091,006
7,354,738
8,105,774
8,445,233

Product Specifications
Anti-PGC1 alpha antibody (ab191838) is a rabbit polyclonal antibody and is validated for use in ICC/IF, IHC-P, WB in human, mouse, rat samples.
Anti-PGC1 alpha antibody (ab191838) specifically detects PGC1 alpha (UniProt ID: Q9UBK2; Molecular weight: 91kDa) and is sold in 100 µg selling sizes.

Quality and Validation
Abcam's high quality validation processes ensure Anti-PGC1 alpha antibody (ab191838) has high sensitivity and specificity.
Anti-PGC1 alpha antibody (ab191838) has been cited over 68 times in peer reviewed journals and is trusted by the scientific community.

Properties and storage information

Form
Liquid
Purification technique
Affinity purification Immunogen
Storage buffer
pH: 7.2 Preservative: 0.02% Sodium azide Constituents: PBS
Shipped at conditions
Blue Ice
Appropriate short-term storage duration
1-2 weeks
Appropriate short-term storage conditions
+4°C
Appropriate long-term storage conditions
-20°C
Aliquoting information
Upon delivery aliquot
Storage information
Avoid freeze / thaw cycle

Supplementary information

This supplementary information is collated from multiple sources and compiled automatically.

The protein PGC1 alpha also known as peroxisome proliferator-activated receptor gamma coactivator 1-alpha has a molecular weight of around 91 kDa. It functions mechanically as a transcription coactivator activating transcriptional protein pathways by binding to various transcription factors. It expresses in tissues with high energy demands notably in brown adipose tissue muscle liver heart and kidney. Scientists often investigate PGC1 alpha through various methods including PGC1 alpha Western blot analysis.
Biological function summary

PGC1 alpha plays a significant role in regulating genes involved in energy metabolism. This protein exists as part of larger transcription complexes interacting with nuclear receptors to control mitochondrial biogenesis and activity. It enhances oxidative phosphorylation and adaptive thermogenesis adapting to changes in energy balance. PGC1 alpha is also important in the regulation of blood pressure cholesterol homeostasis and fatty acid oxidation.

Pathways

PGC1 alpha interacts with several key metabolic pathways. It is involved in the regulation of the PPAR (peroxisome proliferator-activated receptor) pathway impacting both lipid metabolism and glucose homeostasis. Furthermore PGC1 alpha influences the activity of transcription factors like NRF1 and NRF2 which play important roles in cellular energy homeostasis and response to oxidative stress.

PGC1 alpha is linked to metabolic conditions such as type 2 diabetes and obesity. It interacts with proteins like PPAR gamma relevant in these metabolic disorders. Changes in PGC1 alpha expression or function can disrupt energy balance and mitochondrial function contributing to the pathophysiology of these diseases by impairing metabolic regulation and increasing susceptibility to insulin resistance.

Product protocols

For this product, it's our understanding that no specific protocols are required. You can visit:

Target data

Transcriptional coactivator for steroid receptors and nuclear receptors (PubMed : 10713165, PubMed : 20005308, PubMed : 21376232). Greatly increases the transcriptional activity of PPARG and thyroid hormone receptor on the uncoupling protein promoter (PubMed : 10713165, PubMed : 20005308, PubMed : 21376232). Can regulate key mitochondrial genes that contribute to the program of adaptive thermogenesis (PubMed : 10713165, PubMed : 20005308, PubMed : 21376232). Plays an essential role in metabolic reprogramming in response to dietary availability through coordination of the expression of a wide array of genes involved in glucose and fatty acid metabolism (PubMed : 10713165, PubMed : 20005308, PubMed : 21376232). Acts as a key regulator of gluconeogenesis : stimulates hepatic gluconeogenesis by increasing the expression of gluconeogenic enzymes, and acting together with FOXO1 to promote the fasting gluconeogenic program (PubMed : 16753578, PubMed : 23142079). Induces the expression of PERM1 in the skeletal muscle in an ESRRA-dependent manner (PubMed : 23836911). Also involved in the integration of the circadian rhythms and energy metabolism (By similarity). Required for oscillatory expression of clock genes, such as BMAL1 and NR1D1, through the coactivation of RORA and RORC, and metabolic genes, such as PDK4 and PEPCK (By similarity).
See full target information PPARGC1A

Publications (124)

Recent publications for all applications. Explore the full list and refine your search

iScience 28:113449 PubMed41050429

2025

Exploring multiorgan mitochondrial dysfunction in the switch toward progressive MASLD in AMLN mice.

Applications

Unspecified application

Species

Unspecified reactive species

Marica Meroni,Erika Paolini,Miriam Longo,Michele Battistin,Daniele Dondossola,Michela Ripolone,Laura Napoli,Ettore Mosca,Stefania Corti,Paola Dongiovanni

Histology and histopathology :18991 PubMed40985203

2025

Asiatic acid alleviates dexamethasone-induced muscle atrophy through regulating the Sirt1/PGC-1α/FOXO3 pathway.

Applications

Unspecified application

Species

Unspecified reactive species

Dongfang Ji,Mingxin Cui,Chao Tian,Kaili Chen,Jing Shao

Frontiers in cellular neuroscience 19:1603657 PubMed40958776

2025

APOE genotype-dependent differences in human astrocytic energy metabolism.

Applications

Unspecified application

Species

Unspecified reactive species

Vanessa Budny,Chantal Bodenmann,Kathrin J Zürcher,Maik Krüger,Sherida M de Leeuw,Rebecca Z Weber,Ruslan Rust,Luca Ravotto,Iván Ruminot,L Felipe Barros,Bruno Weber,Christian Tackenberg

International journal of molecular sciences 26: PubMed40943295

2025

Zileuton Attenuates Acute Kidney Injury in Glycerol-Induced Rhabdomyolysis by Regulating Myeloid-Derived Suppressor Cells in Mice.

Applications

Unspecified application

Species

Unspecified reactive species

Tae Won Lee,Eunjin Bae,Jin Hyun Kim,Myeong Hee Jung,Dong Jun Park

Current issues in molecular biology 47: PubMed40864772

2025

Obesity-Induced MASLD Is Reversed by Capsaicin via Hepatic TRPV1 Activation.

Applications

Unspecified application

Species

Unspecified reactive species

Padmamalini Baskaran,Ryan Christensen,Kimberley D Bruce,Robert H Eckel

Orphanet journal of rare diseases 20:453 PubMed40849475

2025

Alpha-lipoic acid supplementation improves pathological alterations in cellular models of Friedreich ataxia.

Applications

Unspecified application

Species

Unspecified reactive species

Marta Talaverón-Rey,Diana Reche-López,Suleva Povea-Cabello,Mónica Álvarez-Córdoba,David Gómez-Fernández,Ana Romero-González,Paula Cilleros-Holgado,José Manuel Romero-Domínguez,Alejandra López-Cabrera,Rocío Piñero-Pérez,Susana González-Granero,José Manuel García-Verdugo,José A Sánchez-Alcázar

Chinese medicine 20:112 PubMed40660305

2025

Acupuncture promotes muscle cells ATP metabolism in ST36 acupoint local exerting effect by activating TRPV1/CaMKII/AMPK/PGC1α signaling pathway.

Applications

Unspecified application

Species

Unspecified reactive species

Zhihan Chen,Kaifang Yao,Xinrui Wang,Yangyang Liu,Simin Du,Shenjun Wang,Yuxin Fang,Yuan Xu,Zhifang Xu,Xiaowei Lin,Yi Guo

International journal of biological sciences 21:4027-4050 PubMed40612676

2025

Exogenous SPD inhibits trastuzumab-mediated cardiomyocyte pyroptosis through SIRT3-regulated mitochondrial quality control.

Applications

Unspecified application

Species

Unspecified reactive species

Xue Yu,Yan Yang,Tianzuo Chen,Qianbing Wang,Zitong Wang,Xi Gao,Qianxue Wang,Jinxiang Guo,Yuqin Wang,Yajie Zhao,Shilin Wang,Wei Lu,Xing Luo,Tielei Gao,Jiayuan Kou,Hong Li,Liming Yang

Naunyn-Schmiedeberg's archives of pharmacology : PubMed40514518

2025

Alpha-asarone relieves nasal inflammation, epithelial barrier damage, and mitochondrial damage in allergic rhinitis by inhibiting mitochondrial ROS via the SIRT1/PGC-1α pathway.

Applications

Unspecified application

Species

Unspecified reactive species

Bin Xu,Weimin Gao,Haitong Li,Xiaojuan Cao,Xiaohong Chen,Nannan Dong,Lingfang Wu,Yunzhen Luo

Aging and disease : PubMed40423631

2025

Postbiotic Parabacteroides Distasonis Supplementation Enhances Intestinal and Skeletal Muscle Function in Aged Mice.

Applications

Unspecified application

Species

Unspecified reactive species

Pablo Morgado-Cáceres,Hernán Huerta,Cristian Bergman,Reinaldo Figueroa,Paula Farias,Gabriel Quiroz,Ute Woehlbier,Karen Mella,Osmán Díaz-Rivera,Sergio Linsambarth,Paulina Calderón-Romero,Felipe A Court,Denisse Sepulveda,Daniela Sauma,Patricia Luz-Crawford,Anibal A Vargas,Catalina Gonzalez-Seguel,J César Cárdenas,Alenka Lovy
View all publications

Product promise

We are committed to supporting your work with high-quality reagents, and we're here for you every step of the way. In the unlikely event that one of our products does not perform as expected, you're protected by our Product Promise.
For full details, please see our Terms & Conditions

Please note: All products are 'FOR RESEARCH USE ONLY. NOT FOR USE IN DIAGNOSTIC OR THERAPEUTIC PROCEDURES'.

For licensing inquiries, please contact partnerships@abcam.com