JavaScript is disabled in your browser. Please enable JavaScript to view this website.
AB313559

Anti-PGC1 alpha antibody [EPR25162-281]

Be the first to review this product! Submit a review

|

(10 Publications)

Anti-PGC1 alpha antibody [EPR25162-281] (ab313559) is a rabbit monoclonal antibody detecting PGC1 alpha in Western Blot, Dot Blot. Suitable for Mouse, Rat.

- Biophysical QC for unrivalled batch-batch consistency

View Alternative Names

peroxisome proliferator-activated receptor gamma coactivator 1 beta, Peroxisome proliferative activated receptor gamma coactivator 1 alpha, Peroxisome proliferator-activated receptor gamma coactivator 1-alpha, peroxisome proliferator-activated receptor gamma, coactivator 1 beta, Peroxisome proliferative activated receptor, gamma, coactivator 1 alpha, Peroxisome proliferator activated receptor gamma coactivator 1 alpha transcript variant B4, Peroxisome proliferator activated receptor gamma coactivator 1 alpha transcript variant B5, Peroxisome proliferator activated receptor gamma coactivator 1 alpha transcript variant B4 8a, Peroxisome proliferator activated receptor gamma coactivator 1 alpha transcript variant B5 NT, Peroxisome proliferator activated receptor gamma coactivator 1 alpha transcript variant B4 3ext, LEM6, PERC, PGC1, PGC1A, PGC1v, PGC 1v, PPARGC1, PPARGC1A, Ppargc1b, PGC 1 alpha, PGC-1(beta), PGC-1-alpha, PGC-1-beta, PGC1(alpha), PRGC1_HUMAN, L PGC 1alpha, PRGC2_HUMAN, PGC 1 (alpha), PPARGC 1 alpha, PPARGC-1-alpha, PPARGC-1-beta, PPAR gamma coactivator 1, Ligand effect modulator 6, PPAR gamma coactivator-1beta, PPAR gamma coactivator 1 alpha, PPAR-gamma coactivator 1-alpha, PPAR-gamma coactivator 1-beta, PPAR gamma coactivator variant form, PGC-1-related estrogen receptor alpha coactivator, PPAR gamma coactivator 1 alpha 3 ligand effect modulator 6, Peroxisome proliferative activated receptor gamma coactivator 1, Peroxisome proliferative activated receptor, gamma, coactivator 1, Peroxisome proliferator activated receptor gamma coactivator 1 alpha, Peroxisome proliferator-activated receptor gamma coactivator 1-beta

3 Images
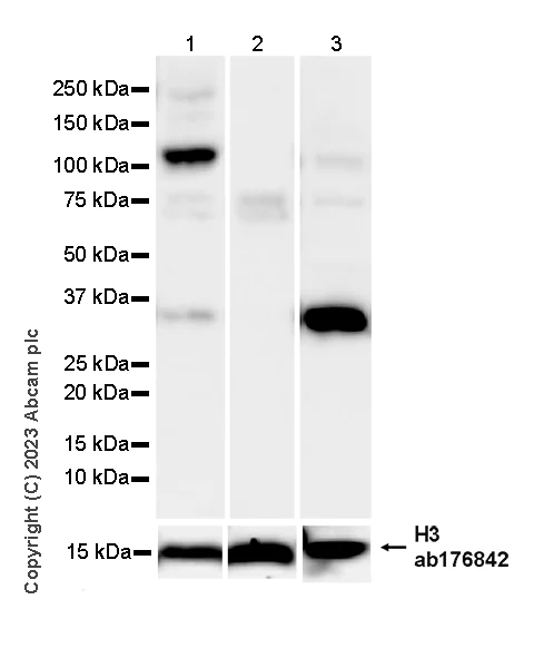
Western blot - Anti-PGC1 alpha antibody [EPR25162-281] (AB313559)
  • WB

Supplier Data

Western blot - Anti-PGC1 alpha antibody [EPR25162-281] (AB313559)

Blocking and diluting buffer and concentration : 5% NFDM/TBST Negative control : white fat (PMID : 9529258, 18728005). Low expression : brain(PMID : 9529258, 18728005). The molecular weight observed is consistent with what has been described in the literature (PMID : 29777200).Extra bands around 75 kDa and 36KDa were observed. In Western blot, anti- H3 antibody (ab176842) loading control staining at 1/100000 dilution. Exposure time : 26 seconds

All lanes:

Western blot - Anti-PGC1 alpha antibody [EPR25162-281] (ab313559) at 1/1000 dilution

Lane 1:

Mouse brown fat tissue lysate at 20 µg

Lane 2:

Mouse white fat tissue lysate at 20 µg

Lane 3:

Mouse brain tissue lysate at 20 µg

Secondary

All lanes:

Western blot - Goat Anti-Rabbit IgG H&L (HRP) (<a href='/en-us/products/secondary-antibodies/goat-rabbit-igg-h-l-hrp-ab97051'>ab97051</a>) at 1/20000 dilution

Observed band size: 113 kDa

false

Exposure time: 26s

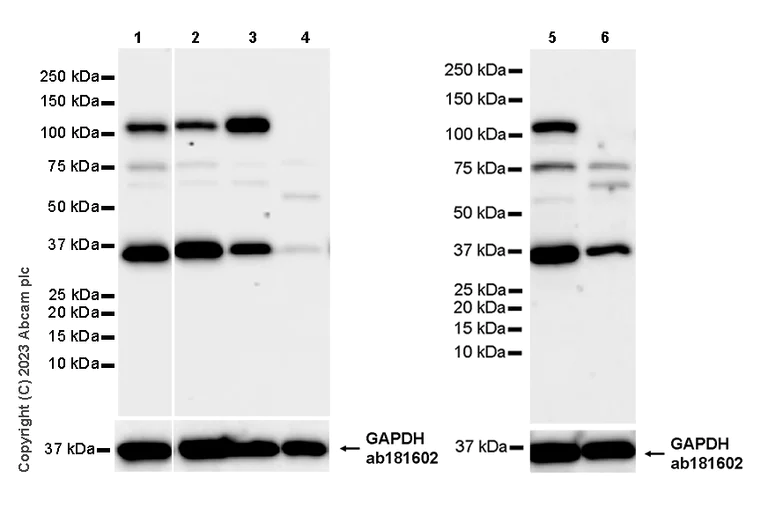
Western blot - Anti-PGC1 alpha antibody [EPR25162-281] (AB313559)
  • WB

Supplier Data

Western blot - Anti-PGC1 alpha antibody [EPR25162-281] (AB313559)

Blocking and diluting buffer and concentration : 5% NFDM/TBST Negative control : white fat, lung (PMID : 9529258, 18728005). The molecular weight observed is consistent with what has been described in the literature (PMID : 29777200, 28611589).Extra bands around 75 kDa and 36KDa were observed. In Western blot, anti-GAPDH antibody (ab181602) loading control staining at 1/200000 dilution. Exposure time : Lane 1-4 : 15 seconds; Lane 5-6 : 48 seconds

All lanes:

Western blot - Anti-PGC1 alpha antibody [EPR25162-281] (ab313559) at 1/1000 dilution

Lane 1:

Mouse heart tissue lysate at 20 µg

Lane 2:

Rat heart tissue lysate at 20 µg

Lane 3:

Rat brown fat tissue lysate at 20 µg

Lane 4:

Rat white fat tissue lysate at 20 µg

Lane 5:

Rat kidney tissue lysate at 20 µg

Lane 6:

Rat lung tissue lysate at 20 µg

Secondary

All lanes:

Western blot - Goat Anti-Rabbit IgG H&L (HRP) (<a href='/en-us/products/secondary-antibodies/goat-rabbit-igg-h-l-hrp-ab97051'>ab97051</a>) at 1/20000 dilution

Observed band size: 113 kDa

false

Dot Blot - Anti-PGC1 alpha antibody [EPR25162-281] (AB313559)
  • Dot

Supplier Data

Dot Blot - Anti-PGC1 alpha antibody [EPR25162-281] (AB313559)

Dot blot analysis of PGC1 alpha using ab313559 at 1 : 1000 (0.51 ug/ml) followed by a Goat Anti-Rabbit IgG, (H+L), Peroxidase conjugated (ab97051) at 1 : 100,000 dilution. Lane 1 : PGC1 alpha peptide Lane 2 : PGC1 beta peptide Exposure time : 180 seconds Blocking and diluting buffer and concentration : 5% NFDM/TBST

  • Carrier free

    Anti-PGC1 alpha antibody [EPR25162-281] - BSA and Azide free

Key facts

Host species

Rabbit

Clonality

Monoclonal

Clone number

EPR25162-281

Isotype

IgG

Carrier free

No

Reacts with

Mouse, Rat

Applications

Dot, WB

applications

Immunogen

The exact immunogen used to generate this antibody is proprietary information.

Reactivity data

{ "title": "Reactivity Data", "filters": { "stats": ["", "Species", "Dilution Info", "Notes"], "tabs": { "all-applications": {"fullname" : "All Applications", "shortname": "All Applications"}, "WB" : {"fullname" : "Western blot", "shortname":"WB"}, "Dot" : {"fullname" : "Dot Blot", "shortname":"Dot"}, "IHCP" : {"fullname" : "Immunohistochemistry (Formalin/PFA-fixed paraffin-embedded sections)", "shortname":"IHC-P"}, "IHCFr" : {"fullname" : "Immunohistochemistry (Frozen sections)", "shortname":"IHC-Fr"}, "IP" : {"fullname" : "Immunoprecipitation", "shortname":"IP"}, "ICCIF" : {"fullname" : "Immunocytochemistry/ Immunofluorescence", "shortname":"ICC/IF"}, "FlowCytIntra" : {"fullname" : "Flow Cytometry (Intracellular)", "shortname":"Flow Cyt (Intra)"} }, "product-promise": { "all": "all", "testedAndGuaranteed": "tested", "guaranteed": "expected", "predicted": "predicted", "notRecommended": "not-recommended" } }, "values": { "Human": { "WB-species-checked": "notRecommended", "WB-species-dilution-info": "", "WB-species-notes": "<p></p>", "Dot-species-checked": "notRecommended", "Dot-species-dilution-info": "", "Dot-species-notes": "", "IHCP-species-checked": "notRecommended", "IHCP-species-dilution-info": "", "IHCP-species-notes": "<p></p>", "IHCFr-species-checked": "notRecommended", "IHCFr-species-dilution-info": "", "IHCFr-species-notes": "", "IP-species-checked": "notRecommended", "IP-species-dilution-info": "", "IP-species-notes": "", "ICCIF-species-checked": "notRecommended", "ICCIF-species-dilution-info": "", "ICCIF-species-notes": "<p></p>", "FlowCytIntra-species-checked": "notRecommended", "FlowCytIntra-species-dilution-info": "", "FlowCytIntra-species-notes": "<p></p>" }, "Mouse": { "WB-species-checked": "testedAndGuaranteed", "WB-species-dilution-info": "1/1000", "WB-species-notes": "<p></p>", "Dot-species-checked": "guaranteed", "Dot-species-dilution-info": "", "Dot-species-notes": "", "IHCP-species-checked": "notRecommended", "IHCP-species-dilution-info": "", "IHCP-species-notes": "<p></p>", "IHCFr-species-checked": "notRecommended", "IHCFr-species-dilution-info": "", "IHCFr-species-notes": "<p></p>", "IP-species-checked": "notRecommended", "IP-species-dilution-info": "", "IP-species-notes": "<p></p>", "ICCIF-species-checked": "notRecommended", "ICCIF-species-dilution-info": "", "ICCIF-species-notes": "<p></p>", "FlowCytIntra-species-checked": "notRecommended", "FlowCytIntra-species-dilution-info": "", "FlowCytIntra-species-notes": "<p></p>" }, "Rat": { "WB-species-checked": "testedAndGuaranteed", "WB-species-dilution-info": "1/1000", "WB-species-notes": "<p></p>", "Dot-species-checked": "guaranteed", "Dot-species-dilution-info": "", "Dot-species-notes": "", "IHCP-species-checked": "notRecommended", "IHCP-species-dilution-info": "", "IHCP-species-notes": "<p></p>", "IHCFr-species-checked": "notRecommended", "IHCFr-species-dilution-info": "", "IHCFr-species-notes": "<p></p>", "IP-species-checked": "notRecommended", "IP-species-dilution-info": "", "IP-species-notes": "<p></p>", "ICCIF-species-checked": "notRecommended", "ICCIF-species-dilution-info": "", "ICCIF-species-notes": "<p></p>", "FlowCytIntra-species-checked": "notRecommended", "FlowCytIntra-species-dilution-info": "", "FlowCytIntra-species-notes": "<p></p>" }, "Synthetic peptide": { "WB-species-checked": "notRecommended", "WB-species-dilution-info": "", "WB-species-notes": "", "Dot-species-checked": "testedAndGuaranteed", "Dot-species-dilution-info": "1/1000", "Dot-species-notes": "<p></p>", "IHCP-species-checked": "notRecommended", "IHCP-species-dilution-info": "", "IHCP-species-notes": "", "IHCFr-species-checked": "notRecommended", "IHCFr-species-dilution-info": "", "IHCFr-species-notes": "", "IP-species-checked": "notRecommended", "IP-species-dilution-info": "", "IP-species-notes": "", "ICCIF-species-checked": "notRecommended", "ICCIF-species-dilution-info": "", "ICCIF-species-notes": "", "FlowCytIntra-species-checked": "notRecommended", "FlowCytIntra-species-dilution-info": "", "FlowCytIntra-species-notes": "" } } }

Product details

What is this antibody validated in?
Anti-PGC1 alpha antibody [EPR25162-281] (ab313559) is a rabbit recombinant monoclonal antibody and is validated for use in Western Blot (WB), Dot Blot in Mouse, Rat samples.

What is the molecular weight of PGC1 alpha?
Anti-PGC1 alpha [EPR25162-281] (ab313559) specifically detects a band for PGC1 alpha (UniProt: Q9UBK2) at a molecular weight of 91kDa.

Trial sizes available!
Test your antibody or perform pre-screening before committing to a larger quantity. Sold in 10µl. Discover our selection of trial-size antibodies.

Other related products
We have a range of other formats of antibody clone [EPR25162-281] also available for your convenience: ab313559, Carrier free - ab313560

Patented technology
Our RabMAb® technology is a patented hybridoma-based technology for making rabbit monoclonal antibodies. For details on our patents, please refer to RabMAb® patents.

What are the advantages of a recombinant monoclonal antibody?
This product is a recombinant monoclonal antibody, which offers several advantages including:

  • - High batch-to-batch consistency and reproducibility
  • - Improved sensitivity and specificity
  • - Long-term security of supply
  • - Animal-free batch production

For more information, read more on recombinant antibodies.

Properties and storage information

Form
Liquid
Purification technique
Affinity purification Protein A
Storage buffer
pH: 7.2 - 7.4 Preservative: 0.01% Sodium azide Constituents: PBS, 40% Glycerol (glycerin, glycerine), 0.05% BSA
Shipped at conditions
Blue Ice
Appropriate short-term storage duration
1-2 weeks
Appropriate short-term storage conditions
+4°C
Appropriate long-term storage conditions
-20°C
Aliquoting information
Upon delivery aliquot
Storage information
Avoid freeze / thaw cycle

Supplementary information

This supplementary information is collated from multiple sources and compiled automatically.

The protein PGC1 alpha also known as peroxisome proliferator-activated receptor gamma coactivator 1-alpha has a molecular weight of around 91 kDa. It functions mechanically as a transcription coactivator activating transcriptional protein pathways by binding to various transcription factors. It expresses in tissues with high energy demands notably in brown adipose tissue muscle liver heart and kidney. Scientists often investigate PGC1 alpha through various methods including PGC1 alpha Western blot analysis.
Biological function summary

PGC1 alpha plays a significant role in regulating genes involved in energy metabolism. This protein exists as part of larger transcription complexes interacting with nuclear receptors to control mitochondrial biogenesis and activity. It enhances oxidative phosphorylation and adaptive thermogenesis adapting to changes in energy balance. PGC1 alpha is also important in the regulation of blood pressure cholesterol homeostasis and fatty acid oxidation.

Pathways

PGC1 alpha interacts with several key metabolic pathways. It is involved in the regulation of the PPAR (peroxisome proliferator-activated receptor) pathway impacting both lipid metabolism and glucose homeostasis. Furthermore PGC1 alpha influences the activity of transcription factors like NRF1 and NRF2 which play important roles in cellular energy homeostasis and response to oxidative stress.

PGC1 alpha is linked to metabolic conditions such as type 2 diabetes and obesity. It interacts with proteins like PPAR gamma relevant in these metabolic disorders. Changes in PGC1 alpha expression or function can disrupt energy balance and mitochondrial function contributing to the pathophysiology of these diseases by impairing metabolic regulation and increasing susceptibility to insulin resistance.

Product protocols

For this product, it's our understanding that no specific protocols are required. You can visit:

Target data

Transcriptional coactivator for steroid receptors and nuclear receptors (PubMed : 10713165, PubMed : 20005308, PubMed : 21376232). Greatly increases the transcriptional activity of PPARG and thyroid hormone receptor on the uncoupling protein promoter (PubMed : 10713165, PubMed : 20005308, PubMed : 21376232). Can regulate key mitochondrial genes that contribute to the program of adaptive thermogenesis (PubMed : 10713165, PubMed : 20005308, PubMed : 21376232). Plays an essential role in metabolic reprogramming in response to dietary availability through coordination of the expression of a wide array of genes involved in glucose and fatty acid metabolism (PubMed : 10713165, PubMed : 20005308, PubMed : 21376232). Acts as a key regulator of gluconeogenesis : stimulates hepatic gluconeogenesis by increasing the expression of gluconeogenic enzymes, and acting together with FOXO1 to promote the fasting gluconeogenic program (PubMed : 16753578, PubMed : 23142079). Induces the expression of PERM1 in the skeletal muscle in an ESRRA-dependent manner (PubMed : 23836911). Also involved in the integration of the circadian rhythms and energy metabolism (By similarity). Required for oscillatory expression of clock genes, such as BMAL1 and NR1D1, through the coactivation of RORA and RORC, and metabolic genes, such as PDK4 and PEPCK (By similarity).
See full target information PPARGC1A

Publications (10)

Recent publications for all applications. Explore the full list and refine your search

Journal of clinical biochemistry and nutrition 77:136-143 PubMed40963727

2025

Poricoic acid a inhibits mitochondrial dysfunction in myocardial infarction by activating SIRT3.

Applications

Unspecified application

Species

Unspecified reactive species

Jinzhu Yin,Qu Jin,Zhaozheng Liu

Cellular & molecular biology letters 30:102 PubMed40877798

2025

Growth differentiation factor 11 attenuates sepsis-associated acute kidney injury by reducing inflammation and coagulation via PGC-1α/Nrf2 activation.

Applications

Unspecified application

Species

Unspecified reactive species

Hong-Wei Wang,Min-Min Wu,Mian-Mian Zhu,Yu-Ying Qin,Ke-Qi Wang,Chen-Yu Wu,Rong-Rong Zhang,Yin Wang,Chen Zhou,Shuang Luo,Chao-Sheng Lu,Jing-Ye Pan

Journal of cell communication and signaling 19:e70015 PubMed40557397

2025

Naa10p impairs PGC-1α/Pparγ2 interaction to inhibit mitochondrial protection in pancreatitis.

Applications

Unspecified application

Species

Unspecified reactive species

Jie Du,Hai Jiang,Taizhe Zhang,Chuanming Zheng,Zhong Ji

Scientific reports 15:15583 PubMed40320408

2025

Irisin suppressed the progression of TBI via modulating AMPK/MerTK/autophagy and SYK/ROS/inflammatory signaling.

Applications

Unspecified application

Species

Unspecified reactive species

Kuo Zhang,Yihui Du,Sihui Yang,Guozhu Sun

Pharmaceuticals (Basel, Switzerland) 18: PubMed40283937

2025

Ginsenoside Rb Ameliorates Heart Failure Ventricular Remodeling by Regulating the Twist1/PGC-1α/PPARα Signaling Pathway.

Applications

Unspecified application

Species

Unspecified reactive species

Ziwei Zhou,Zhimin Song,Xiaomeng Guo,Qi Wang,Meijing Li,Minyu Zhang,Muxin Gong

Journal of nanobiotechnology 23:114 PubMed39962465

2025

RGD hydrogel-loaded ADSC extracellular vesicles mitigate uranium-induced renal injury via TLR4/NF-κB pathway inhibition.

Applications

Unspecified application

Species

Unspecified reactive species

Xi Chen,Chun-Mei Dai,Bin Zhang,Wan-Xin Zhang,Zheng-Hong Huang,Jiu-Yi Jiang,Shi-Qi Hu,Jia-Hua Ma,Jia-Fu Feng

Frontiers in pharmacology 15:1491315 PubMed39726785

2024

JiangyaTongluo decoction ameliorates tubulointerstitial fibrosis via regulating the SIRT1/PGC-1α/mitophagy axis in hypertensive nephropathy.

Applications

Unspecified application

Species

Unspecified reactive species

Yun Zhao,Qi Jia,Gaimei Hao,Lin Han,Yushan Gao,Xiaoyu Zhang,Ziming Yan,Boyang Li,Yiping Wu,Boya Zhang,Yubo Li,Jianguo Qin

Cell death discovery 10:446 PubMed39433752

2024

Sleep restriction exacerbates cardiac dysfunction in diabetic mice by causing cardiomyocyte death and fibrosis through mitochondrial damage.

Applications

Unspecified application

Species

Unspecified reactive species

Jingyi Zhang,Xu Zhao,Jing Tang,Ce Liu,Yining Zhang,Cheng Cai,Qingfeng Du

Molecular medicine (Cambridge, Mass.) 30:171 PubMed39390392

2024

Acetylcholine receptor-β inhibition by interleukin-6 in skeletal muscles contributes to modulating neuromuscular junction during aging.

Applications

Unspecified application

Species

Unspecified reactive species

Yanling Zhao,Han Yan,Ke Liu,Jiangping Ma,Wenlan Sun,Hejin Lai,Hongli Li,Jianbang Gu,He Huang

MedComm 5:e650 PubMed38988496

2024

Identification of an alternative ligand-binding pocket in peroxisome proliferator-activated receptor gamma and its correlated selective agonist for promoting beige adipocyte differentiation.

Applications

Unspecified application

Species

Unspecified reactive species

Qiang Tian,Miaohua Wang,Xueting Wang,Zhenli Lei,Owais Ahmad,Dianhua Chen,Wei Zheng,Pingping Shen,Nanfei Yang
View all publications

Product promise

We are committed to supporting your work with high-quality reagents, and we're here for you every step of the way. In the unlikely event that one of our products does not perform as expected, you're protected by our Product Promise.
For full details, please see our Terms & Conditions

Please note: All products are 'FOR RESEARCH USE ONLY. NOT FOR USE IN DIAGNOSTIC OR THERAPEUTIC PROCEDURES'.

For licensing inquiries, please contact partnerships@abcam.com