JavaScript is disabled in your browser. Please enable JavaScript to view this website.
AB313560

Anti-PGC1 alpha antibody [EPR25162-281] - BSA and Azide free

Be the first to review this product! Submit a review

|

(0 Publication)

Rabbit Recombinant Monoclonal PGC1 alpha antibody. Carrier free. Suitable for WB, Dot and reacts with Mouse, Rat, Synthetic peptide samples.

View Alternative Names

peroxisome proliferator-activated receptor gamma coactivator 1 beta, Peroxisome proliferative activated receptor gamma coactivator 1 alpha, Peroxisome proliferator-activated receptor gamma coactivator 1-alpha, peroxisome proliferator-activated receptor gamma, coactivator 1 beta, Peroxisome proliferative activated receptor, gamma, coactivator 1 alpha, Peroxisome proliferator activated receptor gamma coactivator 1 alpha transcript variant B4, Peroxisome proliferator activated receptor gamma coactivator 1 alpha transcript variant B5, Peroxisome proliferator activated receptor gamma coactivator 1 alpha transcript variant B4 8a, Peroxisome proliferator activated receptor gamma coactivator 1 alpha transcript variant B5 NT, Peroxisome proliferator activated receptor gamma coactivator 1 alpha transcript variant B4 3ext, LEM6, PERC, PGC1, PGC1A, PGC1v, PGC 1v, PPARGC1, PPARGC1A, Ppargc1b, PGC 1 alpha, PGC-1(beta), PGC-1-alpha, PGC-1-beta, PGC1(alpha), PRGC1_HUMAN, L PGC 1alpha, PRGC2_HUMAN, PGC 1 (alpha), PPARGC 1 alpha, PPARGC-1-alpha, PPARGC-1-beta, PPAR gamma coactivator 1, Ligand effect modulator 6, PPAR gamma coactivator-1beta, PPAR gamma coactivator 1 alpha, PPAR-gamma coactivator 1-alpha, PPAR-gamma coactivator 1-beta, PPAR gamma coactivator variant form, PGC-1-related estrogen receptor alpha coactivator, PPAR gamma coactivator 1 alpha 3 ligand effect modulator 6, Peroxisome proliferative activated receptor gamma coactivator 1, Peroxisome proliferative activated receptor, gamma, coactivator 1, Peroxisome proliferator activated receptor gamma coactivator 1 alpha, Peroxisome proliferator-activated receptor gamma coactivator 1-beta

3 Images
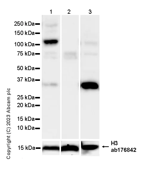
Western blot - Anti-PGC1 alpha antibody [EPR25162-281] - BSA and Azide free (AB313560)
  • WB

Supplier Data

Western blot - Anti-PGC1 alpha antibody [EPR25162-281] - BSA and Azide free (AB313560)

This data was developed using ab313559, the same antibody clone in a different buffer formulation. Blocking and diluting buffer and concentration : 5% NFDM/TBST Negative control : white fat (PMID : 9529258, 18728005). Low expression : brain(PMID : 9529258, 18728005). The molecular weight observed is consistent with what has been described in the literature (PMID : 29777200).Extra bands around 75 kDa and 36KDa were observed. In Western blot, anti- H3 antibody (ab176842) loading control staining at 1/100000 dilution. Exposure time : 26 seconds

All lanes:

Western blot - Anti-PGC1 alpha antibody [EPR25162-281] (<a href='/en-us/products/primary-antibodies/pgc1-alpha-antibody-epr25162-281-ab313559'>ab313559</a>) at 1/1000 dilution

Lane 1:

Mouse brown fat tissue lysate at 20 µg

Lane 2:

Mouse white fat tissue lysate at 20 µg

Lane 3:

Mouse brain tissue lysate at 20 µg

Secondary

All lanes:

Western blot - Goat Anti-Rabbit IgG H&L (HRP) (<a href='/en-us/products/secondary-antibodies/goat-rabbit-igg-h-l-hrp-ab97051'>ab97051</a>) at 1/20000 dilution

Observed band size: 113 kDa

false

Exposure time: 26s

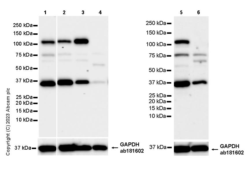
Western blot - Anti-PGC1 alpha antibody [EPR25162-281] - BSA and Azide free (AB313560)
  • WB

Supplier Data

Western blot - Anti-PGC1 alpha antibody [EPR25162-281] - BSA and Azide free (AB313560)

This data was developed using ab313559, the same antibody clone in a different buffer formulation. Blocking and diluting buffer and concentration : 5% NFDM/TBST Negative control : white fat, lung (PMID : 9529258, 18728005). The molecular weight observed is consistent with what has been described in the literature (PMID : 29777200, 28611589).Extra bands around 75 kDa and 36KDa were observed. In Western blot, anti-GAPDH antibody (ab181602) loading control staining at 1/200000 dilution. Exposure time : Lane 1-4 : 15 seconds; Lane 5-6 : 48 seconds

All lanes:

Western blot - Anti-PGC1 alpha antibody [EPR25162-281] (<a href='/en-us/products/primary-antibodies/pgc1-alpha-antibody-epr25162-281-ab313559'>ab313559</a>) at 1/1000 dilution

Lane 1:

Mouse heart tissue lysate at 20 µg

Lane 2:

Rat heart tissue lysate at 20 µg

Lane 3:

Rat brown fat tissue lysate at 20 µg

Lane 4:

Rat white fat tissue lysate at 20 µg

Lane 5:

Rat kidney tissue lysate at 20 µg

Lane 6:

Rat lung tissue lysate at 20 µg

Secondary

All lanes:

Western blot - Goat Anti-Rabbit IgG H&L (HRP) (<a href='/en-us/products/secondary-antibodies/goat-rabbit-igg-h-l-hrp-ab97051'>ab97051</a>) at 1/20000 dilution

Observed band size: 113 kDa

false

Dot Blot - Anti-PGC1 alpha antibody [EPR25162-281] - BSA and Azide free (AB313560)
  • Dot

Supplier Data

Dot Blot - Anti-PGC1 alpha antibody [EPR25162-281] - BSA and Azide free (AB313560)

This data was developed using ab313559, the same antibody clone in a different buffer formulation. Dot blot analysis of PGC1 alpha using ab313559 at 1 : 1000 (0.51 ug/ml) followed by a Goat Anti-Rabbit IgG, (H+L), Peroxidase conjugated (ab97051) at 1 : 100,000 dilution. Lane 1 : PGC1 alpha peptide Lane 2 : PGC1 beta peptide Exposure time : 180 seconds Blocking and diluting buffer and concentration : 5% NFDM/TBST

Key facts

Host species

Rabbit

Clonality

Monoclonal

Clone number

EPR25162-281

Isotype

IgG

Carrier free

Yes

Reacts with

Mouse, Rat

Applications

Dot, WB

applications

Immunogen

The exact immunogen used to generate this antibody is proprietary information.

Reactivity data

{ "title": "Reactivity Data", "filters": { "stats": ["", "Species", "Dilution Info", "Notes"], "tabs": { "all-applications": {"fullname" : "All Applications", "shortname": "All Applications"}, "WB" : {"fullname" : "Western blot", "shortname":"WB"}, "Dot" : {"fullname" : "Dot Blot", "shortname":"Dot"}, "IHCP" : {"fullname" : "Immunohistochemistry (Formalin/PFA-fixed paraffin-embedded sections)", "shortname":"IHC-P"}, "IHCFr" : {"fullname" : "Immunohistochemistry (Frozen sections)", "shortname":"IHC-Fr"}, "IP" : {"fullname" : "Immunoprecipitation", "shortname":"IP"}, "ICCIF" : {"fullname" : "Immunocytochemistry/ Immunofluorescence", "shortname":"ICC/IF"}, "FlowCytIntra" : {"fullname" : "Flow Cytometry (Intracellular)", "shortname":"Flow Cyt (Intra)"} }, "product-promise": { "all": "all", "testedAndGuaranteed": "tested", "guaranteed": "expected", "predicted": "predicted", "notRecommended": "not-recommended" } }, "values": { "Human": { "WB-species-checked": "notRecommended", "WB-species-dilution-info": "", "WB-species-notes": "<p></p>", "Dot-species-checked": "notRecommended", "Dot-species-dilution-info": "", "Dot-species-notes": "", "IHCP-species-checked": "notRecommended", "IHCP-species-dilution-info": "", "IHCP-species-notes": "<p></p>", "IHCFr-species-checked": "notRecommended", "IHCFr-species-dilution-info": "", "IHCFr-species-notes": "", "IP-species-checked": "notRecommended", "IP-species-dilution-info": "", "IP-species-notes": "", "ICCIF-species-checked": "notRecommended", "ICCIF-species-dilution-info": "", "ICCIF-species-notes": "<p></p>", "FlowCytIntra-species-checked": "notRecommended", "FlowCytIntra-species-dilution-info": "", "FlowCytIntra-species-notes": "<p></p>" }, "Mouse": { "WB-species-checked": "testedAndGuaranteed", "WB-species-dilution-info": "", "WB-species-notes": "<p></p>", "Dot-species-checked": "guaranteed", "Dot-species-dilution-info": "", "Dot-species-notes": "", "IHCP-species-checked": "notRecommended", "IHCP-species-dilution-info": "", "IHCP-species-notes": "<p></p>", "IHCFr-species-checked": "notRecommended", "IHCFr-species-dilution-info": "", "IHCFr-species-notes": "<p></p>", "IP-species-checked": "notRecommended", "IP-species-dilution-info": "", "IP-species-notes": "<p></p>", "ICCIF-species-checked": "notRecommended", "ICCIF-species-dilution-info": "", "ICCIF-species-notes": "<p></p>", "FlowCytIntra-species-checked": "notRecommended", "FlowCytIntra-species-dilution-info": "", "FlowCytIntra-species-notes": "<p></p>" }, "Rat": { "WB-species-checked": "testedAndGuaranteed", "WB-species-dilution-info": "", "WB-species-notes": "<p></p>", "Dot-species-checked": "guaranteed", "Dot-species-dilution-info": "", "Dot-species-notes": "", "IHCP-species-checked": "notRecommended", "IHCP-species-dilution-info": "", "IHCP-species-notes": "<p></p>", "IHCFr-species-checked": "notRecommended", "IHCFr-species-dilution-info": "", "IHCFr-species-notes": "<p></p>", "IP-species-checked": "notRecommended", "IP-species-dilution-info": "", "IP-species-notes": "<p></p>", "ICCIF-species-checked": "notRecommended", "ICCIF-species-dilution-info": "", "ICCIF-species-notes": "<p></p>", "FlowCytIntra-species-checked": "notRecommended", "FlowCytIntra-species-dilution-info": "", "FlowCytIntra-species-notes": "<p></p>" }, "Synthetic peptide": { "WB-species-checked": "notRecommended", "WB-species-dilution-info": "", "WB-species-notes": "", "Dot-species-checked": "testedAndGuaranteed", "Dot-species-dilution-info": "", "Dot-species-notes": "<p></p>", "IHCP-species-checked": "notRecommended", "IHCP-species-dilution-info": "", "IHCP-species-notes": "", "IHCFr-species-checked": "notRecommended", "IHCFr-species-dilution-info": "", "IHCFr-species-notes": "", "IP-species-checked": "notRecommended", "IP-species-dilution-info": "", "IP-species-notes": "", "ICCIF-species-checked": "notRecommended", "ICCIF-species-dilution-info": "", "ICCIF-species-notes": "", "FlowCytIntra-species-checked": "notRecommended", "FlowCytIntra-species-dilution-info": "", "FlowCytIntra-species-notes": "" } } }

Product details

Patented technology
Our RabMAb® technology is a patented hybridoma-based technology for making rabbit monoclonal antibodies. For details on our patents, please refer to RabMAb® patents.

What are the advantages of a recombinant monoclonal antibody?
This product is a recombinant monoclonal antibody, which offers several advantages including:

  • - High batch-to-batch consistency and reproducibility
  • - Improved sensitivity and specificity
  • - Long-term security of supply
  • - Animal-free batch production

For more information, read more on recombinant antibodies.

Conjugation ready
Our carrier-free antibodies are typically supplied in a PBS-only formulation, purified and free of BSA, sodium azide and glycerol. This conjugation-ready format is designed for use with fluorochromes, metal isotopes, oligonucleotides, and enzymes, which makes them ideal for antibody labelling, functional and cell-based assays, flow-based assays (e.g. mass cytometry) and Multiplex Imaging applications.

Use our conjugation kits for antibody conjugates that are ready-to-use in as little as 20 minutes with 1 minute hands-on-time and 100% antibody recovery: available for fluorescent dyes, HRP, biotin and gold.

Compatibility
This product is compatible with the Maxpar® Antibody Labeling Kit from Fluidigm, without the need for antibody preparation. Maxpar® is a trademark of Fluidigm Canada Inc.

Properties and storage information

Form
Liquid
Purification technique
Affinity purification Protein A
Storage buffer
pH: 7.2 - 7.4 Constituents: PBS
Shipped at conditions
Blue Ice
Appropriate short-term storage conditions
+4°C
Appropriate long-term storage conditions
+4°C

Supplementary information

This supplementary information is collated from multiple sources and compiled automatically.

The protein PGC1 alpha also known as peroxisome proliferator-activated receptor gamma coactivator 1-alpha has a molecular weight of around 91 kDa. It functions mechanically as a transcription coactivator activating transcriptional protein pathways by binding to various transcription factors. It expresses in tissues with high energy demands notably in brown adipose tissue muscle liver heart and kidney. Scientists often investigate PGC1 alpha through various methods including PGC1 alpha Western blot analysis.
Biological function summary

PGC1 alpha plays a significant role in regulating genes involved in energy metabolism. This protein exists as part of larger transcription complexes interacting with nuclear receptors to control mitochondrial biogenesis and activity. It enhances oxidative phosphorylation and adaptive thermogenesis adapting to changes in energy balance. PGC1 alpha is also important in the regulation of blood pressure cholesterol homeostasis and fatty acid oxidation.

Pathways

PGC1 alpha interacts with several key metabolic pathways. It is involved in the regulation of the PPAR (peroxisome proliferator-activated receptor) pathway impacting both lipid metabolism and glucose homeostasis. Furthermore PGC1 alpha influences the activity of transcription factors like NRF1 and NRF2 which play important roles in cellular energy homeostasis and response to oxidative stress.

PGC1 alpha is linked to metabolic conditions such as type 2 diabetes and obesity. It interacts with proteins like PPAR gamma relevant in these metabolic disorders. Changes in PGC1 alpha expression or function can disrupt energy balance and mitochondrial function contributing to the pathophysiology of these diseases by impairing metabolic regulation and increasing susceptibility to insulin resistance.

Product protocols

For this product, it's our understanding that no specific protocols are required. You can visit:

Target data

Transcriptional coactivator for steroid receptors and nuclear receptors (PubMed : 10713165, PubMed : 20005308, PubMed : 21376232). Greatly increases the transcriptional activity of PPARG and thyroid hormone receptor on the uncoupling protein promoter (PubMed : 10713165, PubMed : 20005308, PubMed : 21376232). Can regulate key mitochondrial genes that contribute to the program of adaptive thermogenesis (PubMed : 10713165, PubMed : 20005308, PubMed : 21376232). Plays an essential role in metabolic reprogramming in response to dietary availability through coordination of the expression of a wide array of genes involved in glucose and fatty acid metabolism (PubMed : 10713165, PubMed : 20005308, PubMed : 21376232). Acts as a key regulator of gluconeogenesis : stimulates hepatic gluconeogenesis by increasing the expression of gluconeogenic enzymes, and acting together with FOXO1 to promote the fasting gluconeogenic program (PubMed : 16753578, PubMed : 23142079). Induces the expression of PERM1 in the skeletal muscle in an ESRRA-dependent manner (PubMed : 23836911). Also involved in the integration of the circadian rhythms and energy metabolism (By similarity). Required for oscillatory expression of clock genes, such as BMAL1 and NR1D1, through the coactivation of RORA and RORC, and metabolic genes, such as PDK4 and PEPCK (By similarity).
See full target information PPARGC1A

Product promise

We are committed to supporting your work with high-quality reagents, and we're here for you every step of the way. In the unlikely event that one of our products does not perform as expected, you're protected by our Product Promise.
For full details, please see our Terms & Conditions

Please note: All products are 'FOR RESEARCH USE ONLY. NOT FOR USE IN DIAGNOSTIC OR THERAPEUTIC PROCEDURES'.

For licensing inquiries, please contact partnerships@abcam.com