JavaScript is disabled in your browser. Please enable JavaScript to view this website.
AB86808

Anti-PGP9.5 antibody [346CT2.5.1] - Neuronal Marker

5

(5 Reviews)

|

(3 Publications)

Mouse Recombinant Monoclonal PGP9.5 antibody. Suitable for WB, Flow Cyt (Intra), ICC/IF and reacts with Human, Mouse, Rat samples. Cited in 3 publications.

View Alternative Names

Ubiquitin carboxyl-terminal hydrolase isozyme L1, UCH-L1, Neuron cytoplasmic protein 9.5, PGP 9.5, Ubiquitin thioesterase L1, PGP9.5, UCHL1

8 Images
Flow Cytometry (Intracellular) - Anti-PGP9.5 antibody [346CT2.5.1] - Neuronal Marker (AB86808)
  • Flow Cyt (Intra)

Lab

Flow Cytometry (Intracellular) - Anti-PGP9.5 antibody [346CT2.5.1] - Neuronal Marker (AB86808)

Flow cytometric analysis of 4% paraformaldehyde fixed 90% methanol permeabilized LNCaP (Human prostate carcinoma epithelial cell, Left) / SH-SY5Y (Human neuroblastoma epithelial cell, Right) cells labelling PGP9.5 with ab86808 at 1/100 dilution (1ug) followed by Goat anti-Mouse IgG (Alexa Fluor® 488, ab150113) secondary at 1/2000 dilution (Red) compared with a Mouse monoclonal IgG isotype control (Black) and an unlabelled control (cells without incubation with primary antibody and secondary antibody) (Blue).

Negative control : LNCaP.

Immunocytochemistry/ Immunofluorescence - Anti-PGP9.5 antibody [346CT2.5.1] - Neuronal Marker (AB86808)
  • ICC/IF

Lab

Immunocytochemistry/ Immunofluorescence - Anti-PGP9.5 antibody [346CT2.5.1] - Neuronal Marker (AB86808)

Immunofluorescent analysis of 4% Paraformaldehyde fixed, 0.1% Triton X-100 permeabilized SH-SY5Y cells with ab86808 at 1/50 dilution followed by ab150113 Goat Anti-Mouse IgG H&L (Alexa Fluor® 488) antibody at 1/1000 dilution (Green). ab179513 Anti-beta Tubulin rabbit monoclonal antibody was used for counterstain at a 1/200 dilution followed by ab150080 Goat Anti-Rabbit IgG H&L (Alexa Fluor® 594) at 1/500 dilution (Red). Nuclear DNA was labelled with DAPI (shown in blue)

Confocal image showing cytoplasmic and weak nuclear staining in SH-SY5Y cells and no staining in LNCaP cells.
Negative control : LNCaP(PMID : 17929277)

Flow Cytometry (Intracellular) - Anti-PGP9.5 antibody [346CT2.5.1] - Neuronal Marker (AB86808)
  • Flow Cyt (Intra)

Lab

Flow Cytometry (Intracellular) - Anti-PGP9.5 antibody [346CT2.5.1] - Neuronal Marker (AB86808)

Flow cytometric analysis of 4% paraformaldehyde fixed 90% methanol permeabilized Neuro-2a (Mouse neuroblastoma neuroblast) cells labelling PGP9.5 with ab86808 at 1/1000 dilution (0.1ug) followed by Goat anti-Mouse IgG (Alexa Fluor® 488, ab150113) secondary at 1/2000 dilution (Red) compared with a Mouse monoclonal IgG isotype control (Black) and an unlabelled control (cells without incubation with primary antibody and secondary antibody) (Blue).

Flow Cytometry (Intracellular) - Anti-PGP9.5 antibody [346CT2.5.1] - Neuronal Marker (AB86808)
  • Flow Cyt (Intra)

Lab

Flow Cytometry (Intracellular) - Anti-PGP9.5 antibody [346CT2.5.1] - Neuronal Marker (AB86808)

Flow cytometric analysis of 4% paraformaldehyde fixed 90% methanol permeabilized PC-12 (Rat adrenal gland pheochromocytoma) cells labelling PGP9.5 with ab86808 at 1/1000 dilution (0.1ug) followed by Goat anti-Mouse IgG (Alexa Fluor® 488, ab150113) secondary at 1/2000 dilution (Red) compared with a Mouse monoclonal IgG isotype control (Black) and an unlabelled control (cells without incubation with primary antibody and secondary antibody) (Blue).

Immunocytochemistry/ Immunofluorescence - Anti-PGP9.5 antibody [346CT2.5.1] - Neuronal Marker (AB86808)
  • ICC/IF

Lab

Immunocytochemistry/ Immunofluorescence - Anti-PGP9.5 antibody [346CT2.5.1] - Neuronal Marker (AB86808)

Immunofluorescent analysis of 4% Paraformaldehyde fixed, 0.1% Triton X-100 permeabilized Neuro-2a cells with ab86808 at 1/50 dilution followed by ab150113 Goat Anti-Mouse IgG H&L (Alexa Fluor® 488) antibody at 1/1000 dilution (Green). ab179513 Anti-beta Tubulin rabbit monoclonal antibody was used for counterstain at a 1/200 dilution followed by ab150080 Goat Anti-Rabbit IgG H&L (Alexa Fluor® 594) at 1/500 dilution (Red). Nuclear DNA was labelled with DAPI (shown in blue)

Confocal image showing mainly cytoplasmic staining in Neuro-2a cells.

Immunocytochemistry/ Immunofluorescence - Anti-PGP9.5 antibody [346CT2.5.1] - Neuronal Marker (AB86808)
  • ICC/IF

Lab

Immunocytochemistry/ Immunofluorescence - Anti-PGP9.5 antibody [346CT2.5.1] - Neuronal Marker (AB86808)

Immunofluorescent analysis of 4% Paraformaldehyde fixed, 0.1% Triton X-100 permeabilized PC-12 cells with ab86808 at 1/50 dilution followed by ab150113 Goat Anti-Mouse IgG H&L (Alexa Fluor® 488) antibody at 1/1000 dilution (Green). ab179513 Anti-beta Tubulin rabbit monoclonal antibody was used for counterstain at a 1/200 dilution followed by ab150080 Goat Anti-Rabbit IgG H&L (Alexa Fluor® 594) at 1/500 dilution (Red). Nuclear DNA was labelled with DAPI (shown in blue)

Confocal image showing mainly cytoplasmic staining in PC-12 cells

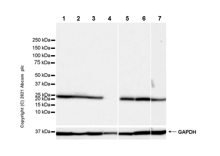
Western blot - Anti-PGP9.5 antibody [346CT2.5.1] - Neuronal Marker (AB86808)
  • WB

Lab

Western blot - Anti-PGP9.5 antibody [346CT2.5.1] - Neuronal Marker (AB86808)

Blocking and diluting buffer and concentration : 5% NFDM/TBST.

Exposure time :
Lane 1,2 : 37 seconds
Lane 3-6 : 10 seconds

All lanes:

Western blot - Anti-PGP9.5 antibody [346CT2.5.1] - Neuronal Marker (ab86808) at 1/1000 dilution

Lane 1:

Human testis tissue lysate at 20 µg

Lane 2:

Human kidney tissue lysate at 20 µg

Lane 3:

Mouse brain tissue lysate at 20 µg

Lane 4:

Mouse testis tissue lysate at 20 µg

Lane 5:

Rat brain tissue lysate at 20 µg

Lane 6:

Rat testis tissue lysate at 20 µg

Secondary

All lanes:

Peroxidase-Conjugated Goat anti-Mouse IgG (H+L) at 1/10000 dilution

Predicted band size: 25 kDa

false

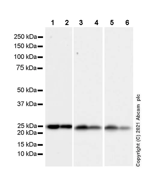
Western blot - Anti-PGP9.5 antibody [346CT2.5.1] - Neuronal Marker (AB86808)
  • WB

Lab

Western blot - Anti-PGP9.5 antibody [346CT2.5.1] - Neuronal Marker (AB86808)

Blocking and diluting buffer and concentration : 5% NFDM/TBST.

Exposure time :
Lane 1-6 : 10 seconds
Lane 7 : 37 seconds

Negative control : LNCap (PMID : 17929277)

All lanes:

Western blot - Anti-PGP9.5 antibody [346CT2.5.1] - Neuronal Marker (ab86808) at 1/1000 dilution

Lane 1:

SH-SY5Y (human neuroblastoma epithelial cell), whole cell lysate at 20 µg

Lane 2:

Y79 (human retinoblastoma retinoblastoma), whole cell lysate at 20 µg

Lane 3:

U-87 MG (human glioblastoma-astrocytoma epithelial cell), whole cell lysate at 20 µg

Lane 4:

LNCaP (human prostate carcinoma epithelial cell), whole cell lysate at 20 µg

Lane 5:

RAW264.7 (mouse Abelson murine leukemia virus-induced tumor macrophage), whole cell lysate at 20 µg

Lane 6:

Neuro-2a (mouse neuroblastoma neuroblast), whole cell lysate at 20 µg

Lane 7:

PC-12 (rat adrenal gland pheochromocytoma), whole cell lysate at 20 µg

Secondary

All lanes:

Peroxidase-Conjugated Goat anti-Mouse IgG (H+L) at 1/10000 dilution

Predicted band size: 25 kDa

false

Key facts

Host species

Mouse

Clonality

Monoclonal

Clone number

346CT2.5.1

Isotype

IgG1

Carrier free

No

Reacts with

Mouse, Rat, Human

Applications

Flow Cyt (Intra), ICC/IF, WB

applications

Immunogen

The exact immunogen used to generate this antibody is proprietary information.

Reactivity data

{ "title": "Reactivity Data", "filters": { "stats": ["", "Species", "Dilution Info", "Notes"], "tabs": { "all-applications": {"fullname" : "All Applications", "shortname": "All Applications"}, "WB" : {"fullname" : "Western blot", "shortname":"WB"}, "FlowCytIntra" : {"fullname" : "Flow Cytometry (Intracellular)", "shortname":"Flow Cyt (Intra)"}, "ICCIF" : {"fullname" : "Immunocytochemistry/ Immunofluorescence", "shortname":"ICC/IF"} }, "product-promise": { "all": "all", "testedAndGuaranteed": "tested", "guaranteed": "expected", "predicted": "predicted", "notRecommended": "not-recommended" } }, "values": { "Human": { "WB-species-checked": "testedAndGuaranteed", "WB-species-dilution-info": "1/1000", "WB-species-notes": "<p></p>", "FlowCytIntra-species-checked": "testedAndGuaranteed", "FlowCytIntra-species-dilution-info": "1/100", "FlowCytIntra-species-notes": "<p></p>", "ICCIF-species-checked": "testedAndGuaranteed", "ICCIF-species-dilution-info": "1/50", "ICCIF-species-notes": "<p></p>" }, "Mouse": { "WB-species-checked": "testedAndGuaranteed", "WB-species-dilution-info": "1/1000", "WB-species-notes": "<p></p>", "FlowCytIntra-species-checked": "testedAndGuaranteed", "FlowCytIntra-species-dilution-info": "1/100", "FlowCytIntra-species-notes": "<p></p>", "ICCIF-species-checked": "testedAndGuaranteed", "ICCIF-species-dilution-info": "1/50", "ICCIF-species-notes": "<p></p>" }, "Rat": { "WB-species-checked": "testedAndGuaranteed", "WB-species-dilution-info": "1/1000", "WB-species-notes": "<p></p>", "FlowCytIntra-species-checked": "testedAndGuaranteed", "FlowCytIntra-species-dilution-info": "1/1000", "FlowCytIntra-species-notes": "<p></p>", "ICCIF-species-checked": "testedAndGuaranteed", "ICCIF-species-dilution-info": "1/50", "ICCIF-species-notes": "<p></p>" } } }

Product details

This monoclonal antibody to PGP9.5 has been knockout validated in Western blot. The expected band for PGP9.5 was observed in wild type cells and the band was not seen in knockout cells.

The production method has been switched from hybridoma to recombinant on 24th Oct 2025.

Want a custom formulation?
This antibody clone is manufactured by Abcam. If you require a custom buffer formulation or conjugation for your experiments, please contact orders@abcam.com

What are the advantages of a recombinant monoclonal antibody?
This product is a recombinant monoclonal antibody, which offers several advantages including:

  • - High batch-to-batch consistency and reproducibility
  • - Improved sensitivity and specificity
  • - Long-term security of supply
  • - Animal-free batch production

For more information, read more on recombinant antibodies.

Properties and storage information

Form
Liquid
Purification technique
Affinity purification Protein A
Storage buffer
pH: 7.2 - 7.4 Preservative: 0.01% Sodium azide Constituents: PBS, 40% Glycerol (glycerin, glycerine), 0.05% BSA
Shipped at conditions
Blue Ice
Appropriate short-term storage duration
1-2 weeks
Appropriate short-term storage conditions
+4°C
Appropriate long-term storage conditions
-20°C
Aliquoting information
Upon delivery aliquot
Storage information
Avoid freeze / thaw cycle

Supplementary information

This supplementary information is collated from multiple sources and compiled automatically.

Protein Gene Product 9.5 (PGP9.5) also known as ubiquitin carboxyl-terminal hydrolase L1 (UCH-L1) is an enzyme of approximately 27 kDa mass. PGP9.5 is highly expressed in neurons and neuroendocrine cells and is involved in the processing of ubiquitinated proteins. Ubiquitination and deubiquitination are critical for maintaining cellular protein homeostasis. PGP9.5 is present in the central and peripheral nervous systems. Researchers often utilize PGP9.5 as a neuronal marker due to its strong expression in nerve tissues. Antibody clone 13C4 is commonly used in PGP9.5 immunohistochemistry to visualize this protein in histopathology sections.
Biological function summary

PGP9.5 plays a significant role in the ubiquitin-proteasome pathway where it regulates protein degradation. It functions by cleaving ubiquitin from ubiquitin-protein conjugates which can recycle ubiquitin for reuse impacting protein turnover. This process is important for removing misfolded or damaged proteins maintaining cellular integrity. PGP9.5 has not been documented as a part of any large multimeric complex; its action is rather individual yet vital in cellular processes.

Pathways

PGP9.5 is an important participant in the ubiquitin-dependent proteolysis pathway. This pathway controls the degradation of proteins that regulate cell cycle differentiation and neuromodulation. PGP9.5 works in tandem with other proteins such as the proteasome complex to remove proteins tagged for destruction. Another important pathway linked with PGP9.5 is the neuronal development pathway in which its activity supports neuron growth and repair.

Defective PGP9.5 function associates mainly with neurodegenerative diseases such as Parkinson's disease and Alzheimer's disease. Mutations or dysregulation in PGP9.5 expression are implicated in the pathogenesis of these conditions affecting protein degradation and neuronal health. Other proteins like α-synuclein in Parkinson's disease interact with PGP9.5 pathways indicating their involvement in disease mechanisms. Researchers consider PGP9.5 a potential biomarker for neuronal pathology through methods like PGP9.5 IHC allowing for evaluation of nerve damage and neuroendocrine tumor diagnosis.

Product protocols

For this product, it's our understanding that no specific protocols are required. You can visit:

Target data

Deubiquitinase that plays a role in the regulation of several processes such as maintenance of synaptic function, cardiac function, inflammatory response or osteoclastogenesis (PubMed : 22212137, PubMed : 23359680). Abrogates the ubiquitination of multiple proteins including WWTR1/TAZ, EGFR, HIF1A and beta-site amyloid precursor protein cleaving enzyme 1/BACE1 (PubMed : 22212137, PubMed : 25615526). In addition, recognizes and hydrolyzes a peptide bond at the C-terminal glycine of ubiquitin to maintain a stable pool of monoubiquitin that is a key requirement for the ubiquitin-proteasome and the autophagy-lysosome pathways (PubMed : 12408865, PubMed : 8639624, PubMed : 9774100). Regulates amyloid precursor protein/APP processing by promoting BACE1 degradation resulting in decreased amyloid beta production (PubMed : 22212137). Plays a role in the immune response by regulating the ability of MHC I molecules to reach cross-presentation compartments competent for generating Ag-MHC I complexes (By similarity). Mediates the 'Lys-48'-linked deubiquitination of the transcriptional coactivator WWTR1/TAZ leading to its stabilization and inhibition of osteoclastogenesis (By similarity). Deubiquitinates and stabilizes epidermal growth factor receptor EGFR to prevent its degradation and to activate its downstream mediators (By similarity). Modulates oxidative activity in skeletal muscle by regulating key mitochondrial oxidative proteins (By similarity). Enhances the activity of hypoxia-inducible factor 1-alpha/HIF1A by abrogateing its VHL E3 ligase-mediated ubiquitination and consequently inhibiting its degradation (PubMed : 25615526).
See full target information UCHL1

Publications (3)

Recent publications for all applications. Explore the full list and refine your search

Science signaling 11: PubMed30563864

2018

5-oxoETE triggers nociception in constipation-predominant irritable bowel syndrome through MAS-related G protein-coupled receptor D.

Applications

Unspecified application

Species

Unspecified reactive species

Tereza Bautzova,James R F Hockley,Teresa Perez-Berezo,Julien Pujo,Michael M Tranter,Cleo Desormeaux,Maria Raffaella Barbaro,Lilian Basso,Pauline Le Faouder,Corinne Rolland,Pascale Malapert,Aziz Moqrich,Helene Eutamene,Alexandre Denadai-Souza,Nathalie Vergnolle,Ewan St John Smith,David I Hughes,Giovanni Barbara,Gilles Dietrich,David C Bulmer,Nicolas Cenac

Pain 159:1257-1267 PubMed29554016

2018

Protease-activated receptor 1 is implicated in irritable bowel syndrome mediators-induced signaling to thoracic human sensory neurons.

Applications

Unspecified application

Species

Unspecified reactive species

Cleo Desormeaux,Tereza Bautzova,Sonia Garcia-Caraballo,Corinne Rolland,Maria Raffaella Barbaro,Stuart M Brierley,Giovanni Barbara,Nathalie Vergnolle,Nicolas Cenac

Gastroenterology 149:433-44.e7 PubMed25911511

2015

Quantification and Potential Functions of Endogenous Agonists of Transient Receptor Potential Channels in Patients With Irritable Bowel Syndrome.

Applications

Unspecified application

Species

Unspecified reactive species

Nicolas Cenac,Tereza Bautzova,Pauline Le Faouder,Nicholas A Veldhuis,Daniel P Poole,Corinne Rolland,Jessica Bertrand,Wolfgang Liedtke,Marc Dubourdeau,Justine Bertrand-Michel,Lisa Zecchi,Vincenzo Stanghellini,Nigel W Bunnett,Giovanni Barbara,Nathalie Vergnolle
View all publications

Product promise

We are committed to supporting your work with high-quality reagents, and we're here for you every step of the way. In the unlikely event that one of our products does not perform as expected, you're protected by our Product Promise.
For full details, please see our Terms & Conditions

Please note: All products are 'FOR RESEARCH USE ONLY. NOT FOR USE IN DIAGNOSTIC OR THERAPEUTIC PROCEDURES'.

For licensing inquiries, please contact partnerships@abcam.com