JavaScript is disabled in your browser. Please enable JavaScript to view this website.
AB27053

Anti-PGP9.5 antibody - Neuronal Marker

4

(6 Reviews)

|

(20 Publications)

Rabbit Polyclonal PGP9.5 antibody. Suitable for IHC-P, ICC/IF, IP, WB and reacts with Human, Mouse, Rat samples. Cited in 20 publications.

View Alternative Names

Ubiquitin carboxyl-terminal hydrolase isozyme L1, UCH-L1, Neuron cytoplasmic protein 9.5, PGP 9.5, Ubiquitin thioesterase L1, PGP9.5, UCHL1

8 Images
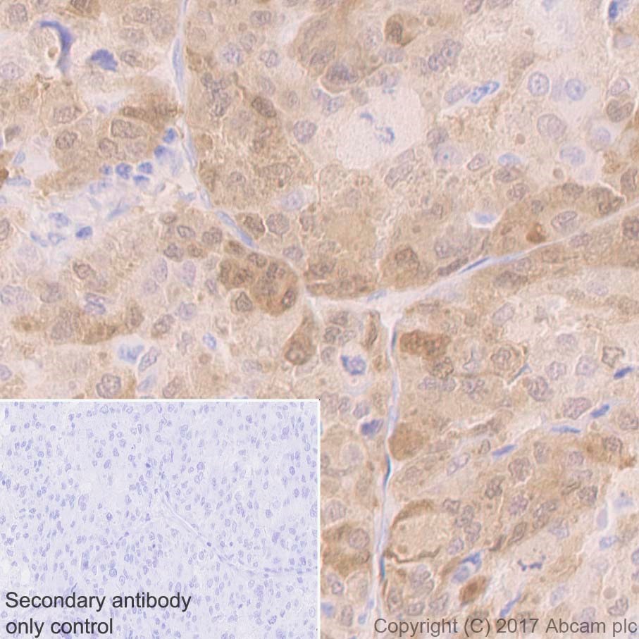
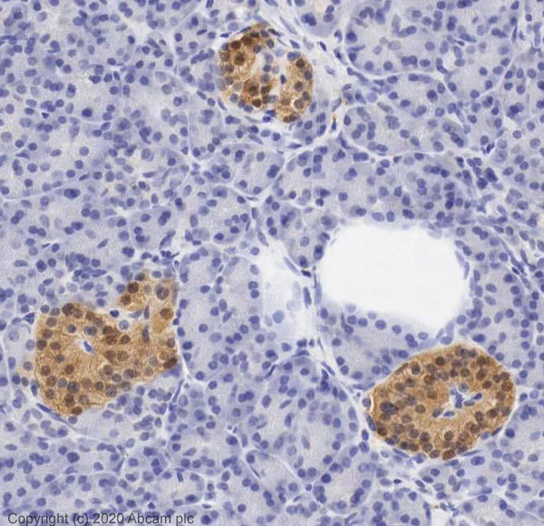
Immunohistochemistry (Formalin/PFA-fixed paraffin-embedded sections) - Anti-PGP9.5 antibody - Neuronal Marker (AB27053)
  • IHC-P

Lab

Immunohistochemistry (Formalin/PFA-fixed paraffin-embedded sections) - Anti-PGP9.5 antibody - Neuronal Marker (AB27053)

IHC image of Anti-PGP9.5 antibody staining in a section of formalin-fixed paraffin-embedded normal human pancreas performed on a Leica BOND™ system using the standard protocol. The section was pre-treated using heat mediated antigen retrieval with sodium citrate buffer (pH6, epitope retrieval solution 1) for 20 minutes. The section was then incubated with ab27053, 1 μg/mL, for 15 minutes at room temperature and detected using an HRP conjugated compact polymer system. DAB was used as the chromogen. The section was then counterstained with haematoxylin and mounted with DPX.

Immunocytochemistry/ Immunofluorescence - Anti-PGP9.5 antibody - Neuronal Marker (AB27053)
  • ICC/IF

Lab

Immunocytochemistry/ Immunofluorescence - Anti-PGP9.5 antibody - Neuronal Marker (AB27053)

ab27053 staining PGP9.5 in PC12 cells. The cells were fixed with 100% methanol (5 min), permeabilized with 0.1% PBS-Tween for 5 minutes and then blocked with 1% BSA/10% normal goat serum/0.3M glycine in 0.1%PBS-Tween for 1h. The cells were then incubated overnight at 4°C with ab27053 at 1µg/ml and ab7291, Mouse monoclonal [DM1A] to alpha Tubulin - Loading Control. Cells were then incubated with ab150081, Goat polyclonal Secondary Antibody to Rabbit IgG - H&L (Alexa Fluor® 488), pre-adsorbed at 1/1000 dilution (shown in green) and ab150120, Goat polyclonal Secondary Antibody to Mouse IgG - H&L (Alexa Fluor® 594), pre-adsorbed at 1/1000 dilution (shown in pseudocolour red). Nuclear DNA was labelled with DAPI (shown in blue).

Image was acquired with a confocal microscope (Leica-Microsystems TCS SP8) and a single confocal section is shown.

Immunocytochemistry/ Immunofluorescence - Anti-PGP9.5 antibody - Neuronal Marker (AB27053)
  • ICC/IF

Lab

Immunocytochemistry/ Immunofluorescence - Anti-PGP9.5 antibody - Neuronal Marker (AB27053)

ab27053 staining PGP9.5 in primary rat neurons/glia, DIV14 (prepared from E18 rat hippocampal brain area, obtained from Transnetyx Tissue by BrainBits, LLC, cat.no. SDHEP) cells. The cells were fixed with 4% paraformaldehyde (10 min), permeabilized with 0.1% PBS-Tween for 5 minutes and then blocked with 1% BSA/10% normal goat serum/0.3M glycine in 0.1%PBS-Tween for 1h. The cells were then incubated overnight at 4°C with ab27053 at 5µg/ml and ab7291, Mouse monoclonal [DM1A] to alpha Tubulin - Loading Control. Cells were then incubated with ab150081, Goat polyclonal Secondary Antibody to Rabbit IgG - H&L (Alexa Fluor® 488), pre-adsorbed at 1/1000 dilution (shown in green) and ab150120, Goat polyclonal Secondary Antibody to Mouse IgG - H&L (Alexa Fluor® 594), pre-adsorbed at 1/1000 dilution (shown in pseudocolour red). Nuclear DNA was labelled with DAPI (shown in blue).

Image was acquired with a confocal microscope (Leica-Microsystems TCS SP8) and a single confocal section is shown.

Immunoprecipitation - Anti-PGP9.5 antibody - Neuronal Marker (AB27053)
  • IP

Unknown

Immunoprecipitation - Anti-PGP9.5 antibody - Neuronal Marker (AB27053)

PGP9.5 was immunoprecipitated using 0.5mg Mouse Brain tissue lysate, 5µg of Rabbit polyclonal to PGP9.5 and 50µl of protein G magnetic beads (+). No antibody was added to the control (-).
The antibody was incubated under agitation with Protein G beads for 10min, Mouse Brain tissue lysate lysate diluted in RIPA buffer was added to each sample and incubated for a further 10min under agitation.
Proteins were eluted by addition of 40µl SDS loading buffer and incubated for 10min at 70oC; 10µl of each sample was separated on a SDS PAGE gel, transferred to a nitrocellulose membrane, blocked with 5% BSA and probed with ab27053.
Secondary : Clean-Blot IP Detection Reagent (HRP) at 1/500 dilution.
Band : 26kDa, non specific band - 65kDa : We are unsure as to the identity of this extra band; PGP9.5

All lanes:

Immunoprecipitation - Anti-PGP9.5 antibody - Neuronal Marker (ab27053)

Predicted band size: 24 kDa

false

Western blot - Anti-PGP9.5 antibody - Neuronal Marker (AB27053)
  • WB

Unknown

Western blot - Anti-PGP9.5 antibody - Neuronal Marker (AB27053)

All lanes:

Western blot - Anti-PGP9.5 antibody - Neuronal Marker (ab27053) at 1 µg/mL

Lane 1:

Human brain tissue lysate - total protein (<a href='/en-us/products/unavailable/human-brain-tissue-lysate-total-protein-ab29466'>ab29466</a>) at 10 µg

Lane 2:

HEK293 (Human embryonic kidney cell line) Whole Cell Lysate at 10 µg

Lane 3:

Brain (Mouse) Tissue Lysate at 10 µg

Secondary

All lanes:

Goat polyclonal to Rabbit IgG - H&L - Pre-Adsorbed (HRP) at 1/3000 dilution

Predicted band size: 24 kDa

Observed band size: 25 kDa,65 kDa

true

Exposure time: 1min

Western blot - Anti-PGP9.5 antibody - Neuronal Marker (AB27053)
  • WB

Lab

Western blot - Anti-PGP9.5 antibody - Neuronal Marker (AB27053)

Lane 1 : Wild type HAP1 whole cell lysate (20 μg)
Lane 2 : UCHL1 (PGP9.5) knockout HAP1 whole cell lysate (20 μg)
Lane 3 : Hek293 whole cell lysate (20 μg)
Lane 4 : Ms brain whole cell lysate (20 μg)

Lanes 1 - 4 : Merged signal (red and green). Green - ab27053 observed at 24 kDa. Red - loading control, ab8245, observed at 37 kDa.

ab27053 was shown to recognize UCHL1 (PGP9.5) in wild type cells as signal was lost at the expected MW in UCHL1 (PGP9.5) knockout cells. Additional cross-reactive bands were observed in the wild-type and knockout cells. Wild-type and UCHL1 (PGP9.5) knockout samples were subjected to SDS-PAGE. ab27053 and ab8245 (Mouse anti GAPDH loading control) were incubated overnight at 4°C at 1 ug/ml and 1/10000 dilution respectively. Blots were developed with Goat anti-Rabbit IgG H&L (IRDye® 800CW) preabsorbed ab216773 and Goat anti-Mouse IgG H&L (IRDye® 680RD) preabsorbed ab216776 secondary antibodies at 1/10000 dilution for 1 hour at room temperature before imaging.

All lanes:

Western blot - Anti-PGP9.5 antibody - Neuronal Marker (ab27053)

Predicted band size: 24 kDa

false

Western blot - Anti-PGP9.5 antibody - Neuronal Marker (AB27053)
  • WB

Lab

Western blot - Anti-PGP9.5 antibody - Neuronal Marker (AB27053)

This blot was produced using a 4-12% Bis-tris gel under the MES buffer system. The gel was run at 200V for 35 minutes before being transferred onto a Nitrocellulose membrane at 30V for 70 minutes. The membrane was then blocked for an hour using 3% Milk before being incubated with ab27053 overnight at 4°C. Antibody binding was detected using an anti-rabbit antibody conjugated to HRP, and visualised using ECL development solution.

Abcam recommends using milk as the blocking agent.

All lanes:

Western blot - Anti-PGP9.5 antibody - Neuronal Marker (ab27053) at 1 µg/mL

Lane 1:

Human brain tissue lysate - total protein (<a href='/en-us/products/unavailable/human-brain-tissue-lysate-total-protein-ab29466'>ab29466</a>) at 10 µg

Lane 2:

Brain (Mouse) Tissue Lysate (ab27253) at 10 µg

Lane 3:

Brain (Rat) Tissue Lysate (<a href='/en-us/products/unavailable/brain-rat-tissue-lysate-ab7942'>ab7942</a>) at 10 µg

Secondary

All lanes:

Western blot - Goat Anti-Rabbit IgG H&L (HRP) (<a href='/en-us/products/secondary-antibodies/goat-rabbit-igg-h-l-hrp-ab97051'>ab97051</a>) at 1/10000 dilution

Predicted band size: 24 kDa

Observed band size: 25 kDa,37 kDa,60 kDa,75 kDa

true

Exposure time: 10s

Western blot - Anti-PGP9.5 antibody - Neuronal Marker (AB27053)
  • WB

Unknown

Western blot - Anti-PGP9.5 antibody - Neuronal Marker (AB27053)

All lanes:

Western blot - Anti-PGP9.5 antibody - Neuronal Marker (ab27053) at 1/250 dilution

All lanes:

Recombinant Human PGP9.5 protein (<a href='/en-us/products/unavailable/recombinant-human-pgp95-protein-ab82628'>ab82628</a>) at 0.01 µg

Secondary

All lanes:

Goat polyclonal to Rabbit IgG - H&L - Pre-Adsorbed (HRP) (ab65484) at 1/5000 dilution

Predicted band size: 24 kDa

true

Exposure time: 3min

Key facts

Host species

Rabbit

Clonality

Polyclonal

Isotype

IgG

Carrier free

No

Reacts with

Mouse, Rat, Human

Applications

IHC-P, WB, ICC/IF, IP

applications

Immunogen

The exact immunogen used to generate this antibody is proprietary information.

Specificity

From Jan 2024, QC testing of replenishment batches of this polyclonal changed. All tested and expected application and reactive species combinations are still covered by our Abcam product promise. However, we no longer test all applications. For more information on a specific batch, please contact our Scientific Support who will be happy to help.

Reactivity data

{ "title": "Reactivity Data", "filters": { "stats": ["", "Species", "Dilution Info", "Notes"], "tabs": { "all-applications": {"fullname" : "All Applications", "shortname": "All Applications"}, "IHCP" : {"fullname" : "Immunohistochemistry (Formalin/PFA-fixed paraffin-embedded sections)", "shortname":"IHC-P"}, "ICCIF" : {"fullname" : "Immunocytochemistry/ Immunofluorescence", "shortname":"ICC/IF"}, "IP" : {"fullname" : "Immunoprecipitation", "shortname":"IP"}, "WB" : {"fullname" : "Western blot", "shortname":"WB"} }, "product-promise": { "all": "all", "testedAndGuaranteed": "tested", "guaranteed": "expected", "predicted": "predicted", "notRecommended": "not-recommended" } }, "values": { "Human": { "IHCP-species-checked": "testedAndGuaranteed", "IHCP-species-dilution-info": "1 µg/mL", "IHCP-species-notes": "<p></p> Perform heat-mediated antigen retrieval before commencing with IHC staining protocol.", "ICCIF-species-checked": "guaranteed", "ICCIF-species-dilution-info": "1 µg/mL", "ICCIF-species-notes": "<p></p>", "IP-species-checked": "guaranteed", "IP-species-dilution-info": "5 µg/mL", "IP-species-notes": "<p></p>", "WB-species-checked": "testedAndGuaranteed", "WB-species-dilution-info": "1 µg/mL", "WB-species-notes": "<p>Abcam recommends using milk as the blocking agent. Abcam welcomes customer feedback and would appreciate any comments regarding this product and the data presented below.</p>" }, "Mouse": { "IHCP-species-checked": "guaranteed", "IHCP-species-dilution-info": "1 µg/mL", "IHCP-species-notes": "<p></p> Perform heat-mediated antigen retrieval before commencing with IHC staining protocol.", "ICCIF-species-checked": "guaranteed", "ICCIF-species-dilution-info": "1 µg/mL", "ICCIF-species-notes": "<p></p>", "IP-species-checked": "guaranteed", "IP-species-dilution-info": "5 µg/mL", "IP-species-notes": "<p></p>", "WB-species-checked": "testedAndGuaranteed", "WB-species-dilution-info": "1 µg/mL", "WB-species-notes": "<p>Abcam recommends using milk as the blocking agent. Abcam welcomes customer feedback and would appreciate any comments regarding this product and the data presented below.</p>" }, "Rat": { "IHCP-species-checked": "guaranteed", "IHCP-species-dilution-info": "1 µg/mL", "IHCP-species-notes": "<p></p> Perform heat-mediated antigen retrieval before commencing with IHC staining protocol.", "ICCIF-species-checked": "guaranteed", "ICCIF-species-dilution-info": "1 µg/mL", "ICCIF-species-notes": "<p></p>", "IP-species-checked": "guaranteed", "IP-species-dilution-info": "5 µg/mL", "IP-species-notes": "<p></p>", "WB-species-checked": "testedAndGuaranteed", "WB-species-dilution-info": "1 µg/mL", "WB-species-notes": "<p>Abcam recommends using milk as the blocking agent. Abcam welcomes customer feedback and would appreciate any comments regarding this product and the data presented below.</p>" } } }

Properties and storage information

Form
Liquid
Purification technique
Affinity purification Immunogen
Storage buffer
pH: 7.4 Preservative: 0.02% Sodium azide Constituents: PBS, 1% BSA
Shipped at conditions
Blue Ice
Appropriate short-term storage duration
1-2 weeks
Appropriate short-term storage conditions
+4°C
Appropriate long-term storage conditions
-20°C
Aliquoting information
Upon delivery aliquot
Storage information
Avoid freeze / thaw cycle

Supplementary information

This supplementary information is collated from multiple sources and compiled automatically.

Protein Gene Product 9.5 (PGP9.5) also known as ubiquitin carboxyl-terminal hydrolase L1 (UCH-L1) is an enzyme of approximately 27 kDa mass. PGP9.5 is highly expressed in neurons and neuroendocrine cells and is involved in the processing of ubiquitinated proteins. Ubiquitination and deubiquitination are critical for maintaining cellular protein homeostasis. PGP9.5 is present in the central and peripheral nervous systems. Researchers often utilize PGP9.5 as a neuronal marker due to its strong expression in nerve tissues. Antibody clone 13C4 is commonly used in PGP9.5 immunohistochemistry to visualize this protein in histopathology sections.
Biological function summary

PGP9.5 plays a significant role in the ubiquitin-proteasome pathway where it regulates protein degradation. It functions by cleaving ubiquitin from ubiquitin-protein conjugates which can recycle ubiquitin for reuse impacting protein turnover. This process is important for removing misfolded or damaged proteins maintaining cellular integrity. PGP9.5 has not been documented as a part of any large multimeric complex; its action is rather individual yet vital in cellular processes.

Pathways

PGP9.5 is an important participant in the ubiquitin-dependent proteolysis pathway. This pathway controls the degradation of proteins that regulate cell cycle differentiation and neuromodulation. PGP9.5 works in tandem with other proteins such as the proteasome complex to remove proteins tagged for destruction. Another important pathway linked with PGP9.5 is the neuronal development pathway in which its activity supports neuron growth and repair.

Defective PGP9.5 function associates mainly with neurodegenerative diseases such as Parkinson's disease and Alzheimer's disease. Mutations or dysregulation in PGP9.5 expression are implicated in the pathogenesis of these conditions affecting protein degradation and neuronal health. Other proteins like α-synuclein in Parkinson's disease interact with PGP9.5 pathways indicating their involvement in disease mechanisms. Researchers consider PGP9.5 a potential biomarker for neuronal pathology through methods like PGP9.5 IHC allowing for evaluation of nerve damage and neuroendocrine tumor diagnosis.

Product protocols

For this product, it's our understanding that no specific protocols are required. You can visit:

Target data

Deubiquitinase that plays a role in the regulation of several processes such as maintenance of synaptic function, cardiac function, inflammatory response or osteoclastogenesis (PubMed : 22212137, PubMed : 23359680). Abrogates the ubiquitination of multiple proteins including WWTR1/TAZ, EGFR, HIF1A and beta-site amyloid precursor protein cleaving enzyme 1/BACE1 (PubMed : 22212137, PubMed : 25615526). In addition, recognizes and hydrolyzes a peptide bond at the C-terminal glycine of ubiquitin to maintain a stable pool of monoubiquitin that is a key requirement for the ubiquitin-proteasome and the autophagy-lysosome pathways (PubMed : 12408865, PubMed : 8639624, PubMed : 9774100). Regulates amyloid precursor protein/APP processing by promoting BACE1 degradation resulting in decreased amyloid beta production (PubMed : 22212137). Plays a role in the immune response by regulating the ability of MHC I molecules to reach cross-presentation compartments competent for generating Ag-MHC I complexes (By similarity). Mediates the 'Lys-48'-linked deubiquitination of the transcriptional coactivator WWTR1/TAZ leading to its stabilization and inhibition of osteoclastogenesis (By similarity). Deubiquitinates and stabilizes epidermal growth factor receptor EGFR to prevent its degradation and to activate its downstream mediators (By similarity). Modulates oxidative activity in skeletal muscle by regulating key mitochondrial oxidative proteins (By similarity). Enhances the activity of hypoxia-inducible factor 1-alpha/HIF1A by abrogateing its VHL E3 ligase-mediated ubiquitination and consequently inhibiting its degradation (PubMed : 25615526).
See full target information UCHL1

Publications (20)

Recent publications for all applications. Explore the full list and refine your search

Nature 645:729-736 PubMed40702192

2025

A gut sense for a microbial pattern regulates feeding.

Applications

Unspecified application

Species

Unspecified reactive species

Winston W Liu,Naama Reicher,Emily Alway,Laura E Rupprecht,Peter Weng,Chloe Schaefgen,Marguerita E Klein,Jorge A Villalobos,Carlos Puerto-Hernandez,Yolanda Graciela Kiesling Altún,Amanda Carbajal,José Alfredo Aguayo-Guerrero,Alam Coss,Atharva Sahasrabudhe,Polina Anikeeva,Alan de Araujo,Avnika Bali,Guillaume de Lartigue,Elvi Gil-Lievana,Ranier Gutierrez,Edward A Miao,John F Rawls,M Maya Kaelberer,Diego V Bohórquez

Journal of medicinal chemistry 67:7935-7953 PubMed38713163

2024

Development of Inhibitors, Probes, and PROTAC Provides a Complete Toolbox to Study PARK7 in the Living Cell.

Applications

Unspecified application

Species

Unspecified reactive species

Yuqing Jia,Merve Oyken,Robbert Q Kim,Rayman T N Tjokrodirijo,Arnoud H de Ru,Antonius P A Janssen,Stephan M Hacker,Peter A van Veelen,Paul P Geurink,Aysegul Sapmaz

Medical acupuncture 36:79-86 PubMed38659726

2024

Networks of Nerve Fibers, and Blood and Lymphatic Vessels in the Mouse Auricle: The Structural Basis of Ear Acupuncture.

Applications

Unspecified application

Species

Unspecified reactive species

Yuqing Wang,Yuxin Su,Jia Wang,Kaiwen Zhang,Wenjie Zhang,Jingjing Cui,Yihan Liu,Xiaoyu Wang,Wanzhu Bai

Cell reports. Medicine 5:101381 PubMed38244540

2024

UCHL1 is a potential molecular indicator and therapeutic target for neuroendocrine carcinomas.

Applications

Unspecified application

Species

Unspecified reactive species

Shiqin Liu,Timothy Chai,Fernando Garcia-Marques,Qingqing Yin,En-Chi Hsu,Michelle Shen,Angus Martin Shaw Toland,Abel Bermudez,Alifiani B Hartono,Christopher F Massey,Chung S Lee,Liwei Zheng,Maya Baron,Caden J Denning,Merve Aslan,Holly M Nguyen,Rosalie Nolley,Amina Zoubeidi,Millie Das,Christian A Kunder,Brooke E Howitt,H Tom Soh,Irving L Weissman,Michael A Liss,Arnold I Chin,James D Brooks,Eva Corey,Sharon J Pitteri,Jiaoti Huang,Tanya Stoyanova

Cell transplantation 32:9636897231215233 PubMed38049927

2023

Isolation, Expansion, and Endoscopic Delivery of Autologous Enteric Neuronal Stem Cells in Swine.

Applications

Unspecified application

Species

Unspecified reactive species

Ryo Hotta,Weikang Pan,Sukhada Bhave,Nandor Nagy,Rhian Stavely,Takahiro Ohkura,Kumar Krishnan,Geoffrey de Couto,Richard Myers,Luis Rodriguez-Borlado,Alan J Burns,Allan M Goldstein

Nature communications 14:2114 PubMed37055432

2023

Non-functional ubiquitin C-terminal hydrolase L1 drives podocyte injury through impairing proteasomes in autoimmune glomerulonephritis.

Applications

Unspecified application

Species

Unspecified reactive species

Julia Reichelt,Wiebke Sachs,Sarah Frömbling,Julia Fehlert,Maja Studencka-Turski,Anna Betz,Desiree Loreth,Lukas Blume,Susanne Witt,Sandra Pohl,Johannes Brand,Maire Czesla,Jan Knop,Bogdan I Florea,Stephanie Zielinski,Marlies Sachs,Elion Hoxha,Irm Hermans-Borgmeyer,Gunther Zahner,Thorsten Wiech,Elke Krüger,Catherine Meyer-Schwesinger

Journal of medicinal chemistry 65:13288-13304 PubMed36149939

2022

Chemical Toolkit for PARK7: Potent, Selective, and High-Throughput.

Applications

Unspecified application

Species

Unspecified reactive species

Yuqing Jia,Robbert Q Kim,Raymond Kooij,Huib Ovaa,Aysegul Sapmaz,Paul P Geurink

Skin health and disease 1:e66 PubMed35663777

2021

A re-innervated skin model of non-histaminergic itch and skin neurogenic inflammation: PAR2-, TRPV1- and TRPA1-agonist induced functionality.

Applications

Unspecified application

Species

Unspecified reactive species

N Lebonvallet,J W Fluhr,C Le Gall-Ianotto,R Leschiera,M Talagas,A Reux,A Bataille,C Brun,T Oddos,J-P Pennec,J-L Carré,L Misery

Experimental dermatology 30:1745-1753 PubMed34181782

2021

Possible involvement of type 2 cytokines in alloknesis in mouse models of menopause and dry skin.

Applications

Unspecified application

Species

Unspecified reactive species

Nao Ichimasu,Yue Chen,Keisuke Kobayashi,So Suzuki,Sakiko Chikazawa,Sakiko Shimura,Kazumoto Katagiri

The American journal of pathology 191:515-526 PubMed33345997

2020

Vascular Endothelial Growth Factor Mediates the Sprouted Axonogenesis of Breast Cancer in Rat.

Applications

Unspecified application

Species

Unspecified reactive species

Hongxiu Han,Chunxue Yang,Yuan Zhang,Changhao Han,Guohua Zhang
View all publications

Product promise

We are committed to supporting your work with high-quality reagents, and we're here for you every step of the way. In the unlikely event that one of our products does not perform as expected, you're protected by our Product Promise.
For full details, please see our Terms & Conditions

Please note: All products are 'FOR RESEARCH USE ONLY. NOT FOR USE IN DIAGNOSTIC OR THERAPEUTIC PROCEDURES'.

For licensing inquiries, please contact partnerships@abcam.com