JavaScript is disabled in your browser. Please enable JavaScript to view this website.
AB15504

Anti-PGP9.5 antibody, prediluted

Be the first to review this product! Submit a review

|

(2 Publications)

Rabbit Polyclonal PGP9.5 antibody. Suitable for WB, IHC-P and reacts with Human samples. Cited in 2 publications.

View Alternative Names

Ubiquitin carboxyl-terminal hydrolase isozyme L1, UCH-L1, Neuron cytoplasmic protein 9.5, PGP 9.5, Ubiquitin thioesterase L1, PGP9.5, UCHL1

3 Images
Immunohistochemistry (Formalin/PFA-fixed paraffin-embedded sections) - Anti-PGP9.5 antibody, prediluted (AB15504)
  • IHC-P

Supplier Data

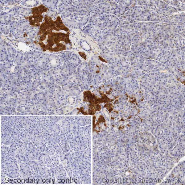
Immunohistochemistry (Formalin/PFA-fixed paraffin-embedded sections) - Anti-PGP9.5 antibody, prediluted (AB15504)

Formalin-fixed, paraffin-embedded human pancreas tissue stained for PGP9.5 using ab15503 at 1/200 dilution in immunohistochemical analysis.

ab15503 is the undiluted version of this antibody.

Immunohistochemistry (Formalin/PFA-fixed paraffin-embedded sections) - Anti-PGP9.5 antibody, prediluted (AB15504)
  • IHC-P

Supplier Data

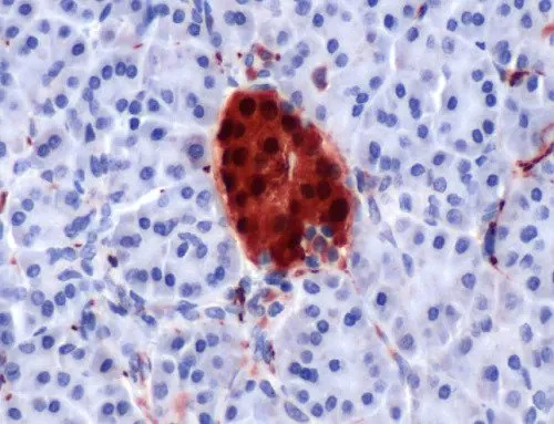
Immunohistochemistry (Formalin/PFA-fixed paraffin-embedded sections) - Anti-PGP9.5 antibody, prediluted (AB15504)

IHC image of PGP9.5 staining in a section of formalin-fixed paraffin-embedded normal human pancreas* performed on a Leica BOND™ system using the standard protocol F. The section was pre-treated using heat mediated antigen retrieval with sodium citrate buffer (pH6, epitope retrieval solution 1) for 20mins. The section was then incubated with ab15504, 1/200 dilution, for 15 mins at room temperature and detected using an HRP conjugated compact polymer system. DAB was used as the chromogen. The section was then counterstained with haematoxylin and mounted with DPX. The inset secondary-only control image is taken from an identical assay without primary antibody.
*Tissue obtained from the Human Research Tissue Bank, supported by the NIHR Cambridge Biomedical Research Centre
For other IHC staining systems (automated and non-automated) customers should optimize variable parameters such as antigen retrieval conditions, primary antibody concentration and antibody incubation times.

Western blot - Anti-PGP9.5 antibody, prediluted (AB15504)
  • WB

Unknown

Western blot - Anti-PGP9.5 antibody, prediluted (AB15504)

ab15503 is the undiluted version of this antibody.

Lane 1:

Western blot - Anti-PGP9.5 antibody - Neuronal Marker (<a href='/en-us/products/primary-antibodies/pgp95-antibody-neuronal-marker-ab15503'>ab15503</a>) at 1/25 dilution

Lane 1:

Western blot - Anti-PGP9.5 antibody, prediluted (ab15504) at 1/25 dilution

All lanes:

Human Brain lysate

Predicted band size: 24 kDa

Observed band size: 26 kDa

false

Key facts

Host species

Rabbit

Clonality

Polyclonal

Isotype

IgG

Carrier free

No

Reacts with

Human

Applications

IHC-P, WB

applications

Immunogen

The exact immunogen used to generate this antibody is proprietary information.

Reactivity data

{ "title": "Reactivity Data", "filters": { "stats": ["", "Species", "Dilution Info", "Notes"], "tabs": { "all-applications": {"fullname" : "All Applications", "shortname": "All Applications"}, "WB" : {"fullname" : "Western blot", "shortname":"WB"}, "IHCP" : {"fullname" : "Immunohistochemistry (Formalin/PFA-fixed paraffin-embedded sections)", "shortname":"IHC-P"} }, "product-promise": { "all": "all", "testedAndGuaranteed": "tested", "guaranteed": "expected", "predicted": "predicted", "notRecommended": "not-recommended" } }, "values": { "Human": { "WB-species-checked": "testedAndGuaranteed", "WB-species-dilution-info": "", "WB-species-notes": "<p></p>", "IHCP-species-checked": "testedAndGuaranteed", "IHCP-species-dilution-info": "1/1", "IHCP-species-notes": "<p></p>" } } }

Properties and storage information

Form
Liquid
Purification technique
Affinity purification Immunogen
Storage buffer
pH: 7.6 Preservative: 0.1% Sodium azide Constituents: Tris buffered saline, 1% BSA
Shipped at conditions
Blue Ice
Appropriate long-term storage conditions
+4°C

Supplementary information

This supplementary information is collated from multiple sources and compiled automatically.

Protein Gene Product 9.5 (PGP9.5) also known as ubiquitin carboxyl-terminal hydrolase L1 (UCH-L1) is an enzyme of approximately 27 kDa mass. PGP9.5 is highly expressed in neurons and neuroendocrine cells and is involved in the processing of ubiquitinated proteins. Ubiquitination and deubiquitination are critical for maintaining cellular protein homeostasis. PGP9.5 is present in the central and peripheral nervous systems. Researchers often utilize PGP9.5 as a neuronal marker due to its strong expression in nerve tissues. Antibody clone 13C4 is commonly used in PGP9.5 immunohistochemistry to visualize this protein in histopathology sections.
Biological function summary

PGP9.5 plays a significant role in the ubiquitin-proteasome pathway where it regulates protein degradation. It functions by cleaving ubiquitin from ubiquitin-protein conjugates which can recycle ubiquitin for reuse impacting protein turnover. This process is important for removing misfolded or damaged proteins maintaining cellular integrity. PGP9.5 has not been documented as a part of any large multimeric complex; its action is rather individual yet vital in cellular processes.

Pathways

PGP9.5 is an important participant in the ubiquitin-dependent proteolysis pathway. This pathway controls the degradation of proteins that regulate cell cycle differentiation and neuromodulation. PGP9.5 works in tandem with other proteins such as the proteasome complex to remove proteins tagged for destruction. Another important pathway linked with PGP9.5 is the neuronal development pathway in which its activity supports neuron growth and repair.

Defective PGP9.5 function associates mainly with neurodegenerative diseases such as Parkinson's disease and Alzheimer's disease. Mutations or dysregulation in PGP9.5 expression are implicated in the pathogenesis of these conditions affecting protein degradation and neuronal health. Other proteins like α-synuclein in Parkinson's disease interact with PGP9.5 pathways indicating their involvement in disease mechanisms. Researchers consider PGP9.5 a potential biomarker for neuronal pathology through methods like PGP9.5 IHC allowing for evaluation of nerve damage and neuroendocrine tumor diagnosis.

Product protocols

For this product, it's our understanding that no specific protocols are required. You can visit:

Target data

Deubiquitinase that plays a role in the regulation of several processes such as maintenance of synaptic function, cardiac function, inflammatory response or osteoclastogenesis (PubMed : 22212137, PubMed : 23359680). Abrogates the ubiquitination of multiple proteins including WWTR1/TAZ, EGFR, HIF1A and beta-site amyloid precursor protein cleaving enzyme 1/BACE1 (PubMed : 22212137, PubMed : 25615526). In addition, recognizes and hydrolyzes a peptide bond at the C-terminal glycine of ubiquitin to maintain a stable pool of monoubiquitin that is a key requirement for the ubiquitin-proteasome and the autophagy-lysosome pathways (PubMed : 12408865, PubMed : 8639624, PubMed : 9774100). Regulates amyloid precursor protein/APP processing by promoting BACE1 degradation resulting in decreased amyloid beta production (PubMed : 22212137). Plays a role in the immune response by regulating the ability of MHC I molecules to reach cross-presentation compartments competent for generating Ag-MHC I complexes (By similarity). Mediates the 'Lys-48'-linked deubiquitination of the transcriptional coactivator WWTR1/TAZ leading to its stabilization and inhibition of osteoclastogenesis (By similarity). Deubiquitinates and stabilizes epidermal growth factor receptor EGFR to prevent its degradation and to activate its downstream mediators (By similarity). Modulates oxidative activity in skeletal muscle by regulating key mitochondrial oxidative proteins (By similarity). Enhances the activity of hypoxia-inducible factor 1-alpha/HIF1A by abrogateing its VHL E3 ligase-mediated ubiquitination and consequently inhibiting its degradation (PubMed : 25615526).
See full target information UCHL1

Publications (2)

Recent publications for all applications. Explore the full list and refine your search

Hypertension research : official journal of the Japanese Society of Hypertension 48:2083-2094 PubMed40335722

2025

Identification of putative baroreceptors in human aortic arch by histological and omics analyses.

Applications

Unspecified application

Species

Unspecified reactive species

Yankey Yundung,Jaroslav Pelisek,Umberto Maccio,Zsuzsanna Varga,Houria Ech-Cherif,Enni Markkanen,Fabian Rössler,Ahmed Ouda,Omer Dzemali,Alexander Zimmermann,Benedikt Reutersberg

Molecular medicine reports 22:1035-1043 PubMed32468073

2020

Klotho downregulation contributes to myocardial damage of cardiorenal syndrome in sepsis.

Applications

Unspecified application

Species

Unspecified reactive species

Fei Yan,Yue Feng,Jin Chen,Jing Yan
View all publications

Product promise

We are committed to supporting your work with high-quality reagents, and we're here for you every step of the way. In the unlikely event that one of our products does not perform as expected, you're protected by our Product Promise.
For full details, please see our Terms & Conditions

Please note: All products are 'FOR RESEARCH USE ONLY. NOT FOR USE IN DIAGNOSTIC OR THERAPEUTIC PROCEDURES'.

For licensing inquiries, please contact partnerships@abcam.com