JavaScript is disabled in your browser. Please enable JavaScript to view this website.
AB212934

Anti-PGP9.5 antibody [UCHL1/775] - BSA and Azide free

Be the first to review this product! Submit a review

|

(0 Publication)

Mouse Monoclonal PGP9.5 antibody. Carrier free. Suitable for IHC-P and reacts with Rat samples. Immunogen corresponding to Recombinant Fragment Protein within Human UCHL1.

View Alternative Names

Ubiquitin carboxyl-terminal hydrolase isozyme L1, UCH-L1, Neuron cytoplasmic protein 9.5, PGP 9.5, Ubiquitin thioesterase L1, PGP9.5, UCHL1

2 Images
Immunohistochemistry (Formalin/PFA-fixed paraffin-embedded sections) - Anti-PGP9.5 antibody [UCHL1/775] - BSA and Azide free (AB212934)
  • IHC-P

Unknown

Immunohistochemistry (Formalin/PFA-fixed paraffin-embedded sections) - Anti-PGP9.5 antibody [UCHL1/775] - BSA and Azide free (AB212934)

Immunohistochemical analysis of formalin-fixed and paraffin-embedded rat testis tissue labeling PGP9.5 with ab220209 at 2 μg/mL.

This data was developed using the same antibody clone in a different buffer formulation containing PBS, BSA, glycerol, and sodium azide (ab220209)

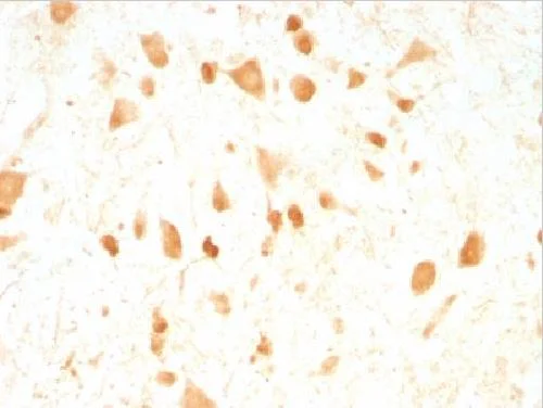
Immunohistochemistry (Formalin/PFA-fixed paraffin-embedded sections) - Anti-PGP9.5 antibody [UCHL1/775] - BSA and Azide free (AB212934)
  • IHC-P

Unknown

Immunohistochemistry (Formalin/PFA-fixed paraffin-embedded sections) - Anti-PGP9.5 antibody [UCHL1/775] - BSA and Azide free (AB212934)

Immunohistochemical analysis of formalin-fixed and paraffin-embedded rat cerebellum tissue labeling PGP9.5 with ab220209 at 2 μg/mL.

This data was developed using the same antibody clone in a different buffer formulation containing PBS, BSA, glycerol, and sodium azide (ab220209)

Key facts

Host species

Mouse

Clonality

Monoclonal

Clone number

UCHL1/775

Isotype

IgG1

Light chain type

kappa

Carrier free

Yes

Reacts with

Rat

Applications

IHC-P

applications

Immunogen

Recombinant Fragment Protein within Human UCHL1. The exact immunogen used to generate this antibody is proprietary information.

P09936

Reactivity data

{ "title": "Reactivity Data", "filters": { "stats": ["", "Species", "Dilution Info", "Notes"], "tabs": { "all-applications": {"fullname" : "All Applications", "shortname": "All Applications"}, "IHCP" : {"fullname" : "Immunohistochemistry (Formalin/PFA-fixed paraffin-embedded sections)", "shortname":"IHC-P"} }, "product-promise": { "all": "all", "testedAndGuaranteed": "tested", "guaranteed": "expected", "predicted": "predicted", "notRecommended": "not-recommended" } }, "values": { "Human": { "IHCP-species-checked": "predicted", "IHCP-species-dilution-info": "", "IHCP-species-notes": "" }, "Rat": { "IHCP-species-checked": "testedAndGuaranteed", "IHCP-species-dilution-info": "1-2 µg/mL", "IHCP-species-notes": "<p></p>" } } }

You may be interested in:

AB235641

Mouse UCHL1 ELISA Kit

1

1 Reviews

View product

We recommend this product because it’s often used in the same experiment or related research.

We advise that you always check the datasheet to ensure it fits your experiments, or contact ourtechnical teamfor help.

Product details

ab212934 is a carrier free version of ab220209.

Conjugation ready
Our carrier-free antibodies are typically supplied in a PBS-only formulation, purified and free of BSA, sodium azide and glycerol. This conjugation-ready format is designed for use with fluorochromes, metal isotopes, oligonucleotides, and enzymes, which makes them ideal for antibody labelling, functional and cell-based assays, flow-based assays (e.g. mass cytometry) and Multiplex Imaging applications.

Use our conjugation kits for antibody conjugates that are ready-to-use in as little as 20 minutes with 1 minute hands-on-time and 100% antibody recovery: available for fluorescent dyes, HRP, biotin and gold.

Compatibility
This product is compatible with the Maxpar® Antibody Labeling Kit from Fluidigm, without the need for antibody preparation. Maxpar® is a trademark of Fluidigm Canada Inc.

Properties and storage information

Form
Liquid
Purification technique
Affinity purification Protein G
Storage buffer
pH: 7.2 - 7.4 Constituents: PBS
Shipped at conditions
Blue Ice
Appropriate short-term storage duration
1-2 weeks
Appropriate short-term storage conditions
+4°C
Appropriate long-term storage conditions
-20°C
Aliquoting information
Upon delivery aliquot
Storage information
Avoid freeze / thaw cycle

Supplementary information

This supplementary information is collated from multiple sources and compiled automatically.

Protein Gene Product 9.5 (PGP9.5) also known as ubiquitin carboxyl-terminal hydrolase L1 (UCH-L1) is an enzyme of approximately 27 kDa mass. PGP9.5 is highly expressed in neurons and neuroendocrine cells and is involved in the processing of ubiquitinated proteins. Ubiquitination and deubiquitination are critical for maintaining cellular protein homeostasis. PGP9.5 is present in the central and peripheral nervous systems. Researchers often utilize PGP9.5 as a neuronal marker due to its strong expression in nerve tissues. Antibody clone 13C4 is commonly used in PGP9.5 immunohistochemistry to visualize this protein in histopathology sections.
Biological function summary

PGP9.5 plays a significant role in the ubiquitin-proteasome pathway where it regulates protein degradation. It functions by cleaving ubiquitin from ubiquitin-protein conjugates which can recycle ubiquitin for reuse impacting protein turnover. This process is important for removing misfolded or damaged proteins maintaining cellular integrity. PGP9.5 has not been documented as a part of any large multimeric complex; its action is rather individual yet vital in cellular processes.

Pathways

PGP9.5 is an important participant in the ubiquitin-dependent proteolysis pathway. This pathway controls the degradation of proteins that regulate cell cycle differentiation and neuromodulation. PGP9.5 works in tandem with other proteins such as the proteasome complex to remove proteins tagged for destruction. Another important pathway linked with PGP9.5 is the neuronal development pathway in which its activity supports neuron growth and repair.

Defective PGP9.5 function associates mainly with neurodegenerative diseases such as Parkinson's disease and Alzheimer's disease. Mutations or dysregulation in PGP9.5 expression are implicated in the pathogenesis of these conditions affecting protein degradation and neuronal health. Other proteins like α-synuclein in Parkinson's disease interact with PGP9.5 pathways indicating their involvement in disease mechanisms. Researchers consider PGP9.5 a potential biomarker for neuronal pathology through methods like PGP9.5 IHC allowing for evaluation of nerve damage and neuroendocrine tumor diagnosis.

Product protocols

For this product, it's our understanding that no specific protocols are required. You can visit:

Target data

Deubiquitinase that plays a role in the regulation of several processes such as maintenance of synaptic function, cardiac function, inflammatory response or osteoclastogenesis (PubMed : 22212137, PubMed : 23359680). Abrogates the ubiquitination of multiple proteins including WWTR1/TAZ, EGFR, HIF1A and beta-site amyloid precursor protein cleaving enzyme 1/BACE1 (PubMed : 22212137, PubMed : 25615526). In addition, recognizes and hydrolyzes a peptide bond at the C-terminal glycine of ubiquitin to maintain a stable pool of monoubiquitin that is a key requirement for the ubiquitin-proteasome and the autophagy-lysosome pathways (PubMed : 12408865, PubMed : 8639624, PubMed : 9774100). Regulates amyloid precursor protein/APP processing by promoting BACE1 degradation resulting in decreased amyloid beta production (PubMed : 22212137). Plays a role in the immune response by regulating the ability of MHC I molecules to reach cross-presentation compartments competent for generating Ag-MHC I complexes (By similarity). Mediates the 'Lys-48'-linked deubiquitination of the transcriptional coactivator WWTR1/TAZ leading to its stabilization and inhibition of osteoclastogenesis (By similarity). Deubiquitinates and stabilizes epidermal growth factor receptor EGFR to prevent its degradation and to activate its downstream mediators (By similarity). Modulates oxidative activity in skeletal muscle by regulating key mitochondrial oxidative proteins (By similarity). Enhances the activity of hypoxia-inducible factor 1-alpha/HIF1A by abrogateing its VHL E3 ligase-mediated ubiquitination and consequently inhibiting its degradation (PubMed : 25615526).
See full target information UCHL1

Product promise

We are committed to supporting your work with high-quality reagents, and we're here for you every step of the way. In the unlikely event that one of our products does not perform as expected, you're protected by our Product Promise.
For full details, please see our Terms & Conditions

Associated Products

Select an associated product type
Alternative Product
Primary Antibodies

AB238074

Anti-PGP9.5 antibody [rUCHL1/775]

primary-antibodies

pgp95-antibody-ruchl1-775-ab238074

0

(0 reviews)

Alternative Product
Primary Antibodies

AB27053

Anti-PGP9.5 antibody - Neuronal Marker

primary-antibodies

pgp95-antibody-neuronal-marker-ab27053

4

(6 reviews)

Alternative Product
Primary Antibodies

AB196173

Alexa Fluor® 647 Anti-PGP9.5 antibody [EPR4118] - Neuronal Marker

primary-antibodies

alexa-fluor-647-pgp95-antibody-epr4118-neuronal-marker-ab196173

0

(0 reviews)

Alternative Product
Primary Antibodies

AB108986

Anti-PGP9.5 antibody [EPR4118] - Neuronal Marker

primary-antibodies

pgp95-antibody-epr4118-neuronal-marker-ab108986

5

(12 reviews)

Alternative Product
Primary Antibodies

AB109261

Anti-PGP9.5 antibody [EPR4117] - Neuronal Marker

primary-antibodies

pgp95-antibody-epr4117-neuronal-marker-ab109261

3

(5 reviews)

Alternative Product
Primary Antibodies

AB176838

Anti-PGP9.5 antibody [EPR4117] - BSA and Azide free - Neuronal Marker

primary-antibodies

pgp95-antibody-epr4117-bsa-and-azide-free-neuronal-marker-ab176838

0

(0 reviews)

Alternative Product
Primary Antibodies

AB8189

Anti-PGP9.5 antibody [13C4 / I3C4] - Neuronal Marker

primary-antibodies

pgp95-antibody-13c4-i3c4-neuronal-marker-ab8189

4

(36 reviews)

Alternative Product
Primary Antibodies

AB220823

Anti-PGP9.5 antibody [EPR4118] - BSA and Azide free

primary-antibodies

pgp95-antibody-epr4118-bsa-and-azide-free-ab220823

0

(0 reviews)

Alternative Version
Primary Antibodies

AB220209

Anti-PGP9.5 antibody [UCHL1/775] - Neuronal Marker

primary-antibodies

pgp95-antibody-uchl1-775-neuronal-marker-ab220209

0

(0 reviews)

Please note: All products are 'FOR RESEARCH USE ONLY. NOT FOR USE IN DIAGNOSTIC OR THERAPEUTIC PROCEDURES'.

For licensing inquiries, please contact partnerships@abcam.com