JavaScript is disabled in your browser. Please enable JavaScript to view this website.
AB235771

Anti-PGPL antibody

Be the first to review this product! Submit a review

|

(1 Publication)

Rabbit Polyclonal PGPL antibody. Suitable for WB, IHC-P and reacts with Human samples. Cited in 1 publication. Immunogen corresponding to Recombinant Fragment Protein within Human GTPBP6 aa 100-300.

View Alternative Names

PGPL, GTPBP6, Putative GTP-binding protein 6, Pseudoautosomal GTP-binding protein-like

2 Images
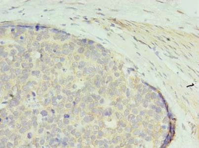
Immunohistochemistry (Formalin/PFA-fixed paraffin-embedded sections) - Anti-PGPL antibody (AB235771)
  • IHC-P

Supplier Data

Immunohistochemistry (Formalin/PFA-fixed paraffin-embedded sections) - Anti-PGPL antibody (AB235771)

Paraffin-embedded human gastric cancer tissue stained for PGPL with ab235771 at 1/100 dilution in immunohistochemical analysis.

Western blot - Anti-PGPL antibody (AB235771)
  • WB

Supplier Data

Western blot - Anti-PGPL antibody (AB235771)

All lanes:

Western blot - Anti-PGPL antibody (ab235771) at 1/500 dilution

Lane 1:

A549 (human lung carcinoma cell line) whole cell lysate

Lane 2:

HeLa (human epithelial cell line from cervix adenocarcinoma) whole cell lysate

Secondary

All lanes:

Goat polyclonal to Rabbit IgG at 1/10000 dilution

Predicted band size: 57 kDa

false

Key facts

Host species

Rabbit

Clonality

Polyclonal

Isotype

IgG

Carrier free

No

Reacts with

Human

Applications

IHC-P, WB

applications

Immunogen

Recombinant Fragment Protein within Human GTPBP6 aa 100-300. The exact immunogen used to generate this antibody is proprietary information.

O43824

Reactivity data

{ "title": "Reactivity Data", "filters": { "stats": ["", "Species", "Dilution Info", "Notes"], "tabs": { "all-applications": {"fullname" : "All Applications", "shortname": "All Applications"}, "WB" : {"fullname" : "Western blot", "shortname":"WB"}, "IHCP" : {"fullname" : "Immunohistochemistry (Formalin/PFA-fixed paraffin-embedded sections)", "shortname":"IHC-P"} }, "product-promise": { "all": "all", "testedAndGuaranteed": "tested", "guaranteed": "expected", "predicted": "predicted", "notRecommended": "not-recommended" } }, "values": { "Human": { "WB-species-checked": "testedAndGuaranteed", "WB-species-dilution-info": "1/200 - 1/500", "WB-species-notes": "<p></p>", "IHCP-species-checked": "testedAndGuaranteed", "IHCP-species-dilution-info": "1/20 - 1/200", "IHCP-species-notes": "<p></p>" } } }

Properties and storage information

Form
Liquid
Purification technique
Affinity purification Protein G
Purification notes
Purity >95%
Storage buffer
pH: 7.4 Preservative: 0.03% Proclin 300 Constituents: PBS, 50% Glycerol (glycerin, glycerine)
Shipped at conditions
Blue Ice
Appropriate short-term storage duration
1-2 weeks
Appropriate short-term storage conditions
+4°C
Appropriate long-term storage conditions
-20°C
Aliquoting information
Upon delivery aliquot
Storage information
Avoid freeze / thaw cycle

Supplementary information

This supplementary information is collated from multiple sources and compiled automatically.

PGPL also known by its alternate names is a protein of interest in various biological processes. This protein has a molecular mass of approximately XX kDa though specific studies on its mass may vary slightly. Researchers have observed its expression in numerous tissues with particular emphasis on its role in cellular environments central to numerous physiological activities. It plays a distinct mechanical role that is of great interest to scientists studying cellular dynamics and protein interactions.
Biological function summary

PGPL interacts with several molecular components to execute its functions. It participates as part of a protein complex which is important for its activity within the cell. This complex facilitates interactions that modulate signaling pathways vital for cellular communication and function. Additionally PGPL involvement in cellular homeostasis highlights its significance in maintaining regular cellular processes influencing cell growth and differentiation.

Pathways

Several proteins interact with PGPL contributing to its role in biological networks. It plays significant roles in the signaling pathway and the regulatory pathway where it coordinates with proteins such as protein A and protein B. These interactions allow for a coordinated response within the cell enabling adaptation to internal and external stimuli and sustaining the cellular environment.

The irregular function of PGPL has links to conditions such as Disease X and Disorder Y. Studies show PGPL interacts with problematic proteins like protein C and protein D which contributes to pathogenesis. Continued research on PGPL aids in understanding its role in disease mechanisms and may guide therapeutic strategies.

Product protocols

For this product, it's our understanding that no specific protocols are required. You can visit:

Publications (1)

Recent publications for all applications. Explore the full list and refine your search

Science advances 10:eadj3656 PubMed38457497

2024

Large-FOV 3D localization microscopy by spatially variant point spread function generation.

Applications

Unspecified application

Species

Unspecified reactive species

Dafei Xiao,Reut Kedem Orange,Nadav Opatovski,Amit Parizat,Elias Nehme,Onit Alalouf,Yoav Shechtman
View all publications

Product promise

We are committed to supporting your work with high-quality reagents, and we're here for you every step of the way. In the unlikely event that one of our products does not perform as expected, you're protected by our Product Promise.
For full details, please see our Terms & Conditions

Please note: All products are 'FOR RESEARCH USE ONLY. NOT FOR USE IN DIAGNOSTIC OR THERAPEUTIC PROCEDURES'.

For licensing inquiries, please contact partnerships@abcam.com