JavaScript is disabled in your browser. Please enable JavaScript to view this website.
AB325131

Anti-PGRPS antibody [EPR30470-91]

Be the first to review this product! Submit a review

|

(0 Publication)

Rabbit Recombinant Monoclonal PGRPS antibody. Suitable for Flow Cyt, ICC/IF, IHC-P, WB and reacts with Mouse samples.

View Alternative Names

Pglyrp, Pgrp, Pgrps, Tag7, Pglyrp1, Peptidoglycan recognition protein 1, Cytokine tag7, Peptidoglycan recognition protein short, PGRP-S

13 Images
Flow Cytometry (Intracellular) - Anti-PGRPS antibody [EPR30470-91] (AB325131)
  • Flow Cyt (Intra)

Lab

Flow Cytometry (Intracellular) - Anti-PGRPS antibody [EPR30470-91] (AB325131)

Flow cytometric analysis of 2% paraformaldehyde fixed 0.1% Tween-20 permeabilized Mouse bone marrow cells labelling PGRPS with ab325131 at 1/5000 dilution (0.01ug) / Right compared with a Rabbit monoclonal IgG (ab172730) / Left isotype control and an unlabelled control (cells without incubation with primary antibody and secondary antibody).

Goat Anti-Rabbit IgG (Alexa Fluor® 488, ab150081) at 1/5000 dilution was used as the secondary antibody.

Cells were stained with anti-CD3 conjugated to Alexa Fluor®647. Then fixed with 2% PFA for 10 min followed by intracellularly staining with rabbit IgG or our antibody.

Immunohistochemistry (Formalin/PFA-fixed paraffin-embedded sections) - Anti-PGRPS antibody [EPR30470-91] (AB325131)
  • IHC-P

Lab

Immunohistochemistry (Formalin/PFA-fixed paraffin-embedded sections) - Anti-PGRPS antibody [EPR30470-91] (AB325131)

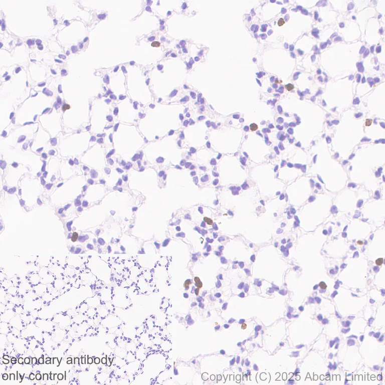
Immunohistochemical analysis of paraffin-embedded Mouse lung tissue labeling PGRPS with ab325131 at 1/1000 (0.522 μg/ml) dilution, followed by a ready to use LeicaDS9800 (Bond™ Polymer Refine Detection).

Positive staining on immune cells of mouse lung (PMID : 9707603). The primary antibody was incubated for 30 mins at room temperature.

The immunostaining was performed on a Leica Biosystems BOND® RX instrument

Counterstained with Hematoxylin.

Secondary antibody only control : Secondary antibody is a ready to use LeicaDS9800 (Bond™ Polymer Refine Detection).

Heat mediated antigen retrieval was performed with Tris-EDTA buffer (pH 9.0, Epitope Retrieval Solution2) for 20 mins

Immunohistochemistry (Formalin/PFA-fixed paraffin-embedded sections) - Anti-PGRPS antibody [EPR30470-91] (AB325131)
  • IHC-P

Lab

Immunohistochemistry (Formalin/PFA-fixed paraffin-embedded sections) - Anti-PGRPS antibody [EPR30470-91] (AB325131)

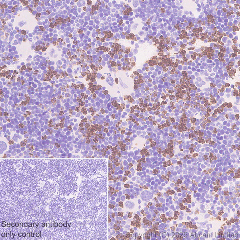
Immunohistochemical analysis of paraffin-embedded Mouse spleen tissue labeling PGRPS with ab325131 at 1/1000 (0.522 μg/ml) dilution, followed by a ready to use LeicaDS9800 (Bond™ Polymer Refine Detection).

Positive staining on mouse spleen (PMID : 9707603). The primary antibody was incubated for 30 mins at room temperature.

The immunostaining was performed on a Leica Biosystems BOND® RX instrument

Counterstained with Hematoxylin.

Secondary antibody only control : Secondary antibody is a ready to use LeicaDS9800 (Bond™ Polymer Refine Detection).

Heat mediated antigen retrieval was performed with Tris-EDTA buffer (pH 9.0, Epitope Retrieval Solution2) for 20 mins

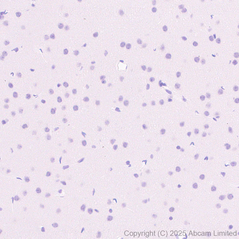
Immunohistochemistry (Formalin/PFA-fixed paraffin-embedded sections) - Anti-PGRPS antibody [EPR30470-91] (AB325131)
  • IHC-P

Lab

Immunohistochemistry (Formalin/PFA-fixed paraffin-embedded sections) - Anti-PGRPS antibody [EPR30470-91] (AB325131)

Immunohistochemical analysis of paraffin-embedded Mouse cerebrum tissue labeling PGRPS with ab325131 at 1/1000 (0.522 μg/ml) dilution, followed by a ready to use LeicaDS9800 (Bond™ Polymer Refine Detection).

Low expression tissue : no staining on mouse cerebrum (PMID : 9707603). The primary antibody was incubated for 30 mins at room temperature.

The immunostaining was performed on a Leica Biosystems BOND® RX instrument

Counterstained with Hematoxylin.

Secondary antibody only control : Secondary antibody is a ready to use LeicaDS9800 (Bond™ Polymer Refine Detection).

Heat mediated antigen retrieval was performed with Tris-EDTA buffer (pH 9.0, Epitope Retrieval Solution2) for 20 mins

Immunocytochemistry/ Immunofluorescence - Anti-PGRPS antibody [EPR30470-91] (AB325131)
  • ICC/IF

Lab

Immunocytochemistry/ Immunofluorescence - Anti-PGRPS antibody [EPR30470-91] (AB325131)

Immunofluorescent analysis of 4% Paraformaldehyde-fixed, 0.1% TritonX-100 permeabilized Mouse bone marrow cells labelling PGRPS with ab325131 at 1/1000 (0.522 μg/ml) dilution , followed by ab150081 Goat Anti-Rabbit IgG H&L (Alexa Fluor® 488) preadsorbed antibody at 1/1000 dilution (Green).

Confocal image showing cytoplasmic staining in mouse CD11B+ bone marrow cells (shown in green). The counterstain was observed in magenta. Nuclear DNA was labelled with DAPI (shown in blue). Image was taken with a confocal microscope (Leica-Microsystems, TCS SP8).

ab8878 Anti-CD11b Rat monoclonal antibody was used to counterstain tubulin at 1/100 dilution (Magenta). The Nuclear counterstain was DAPI (Blue).

Secondary antibody only control : Secondary antibody is ab150081 Goat Anti-Rabbit IgG H&L (Alexa Fluor® 488) preadsorbed at 1/1000 dilution.

Flow Cytometry (Intracellular) - Anti-PGRPS antibody [EPR30470-91] (AB325131)
  • Flow Cyt (Intra)

Lab

Flow Cytometry (Intracellular) - Anti-PGRPS antibody [EPR30470-91] (AB325131)

Flow cytometric analysis of 2% paraformaldehyde fixed 0.1% Tween-20 permeabilized Mouse blood cells labelling PGRPS with ab325131 at 1/5000 dilution (0.01ug) / Right compared with a Rabbit monoclonal IgG (ab172730) / Left isotype control and an unlabelled control (cells without incubation with primary antibody and secondary antibody).

Goat Anti-Rabbit IgG (Alexa Fluor® 488, ab150081) at 1/5000 dilution was used as the secondary antibody.

Cells were stained with anti-CD3 conjugated to Alexa Fluor®647. Then fixed with 2% PFA for 10 min followed by intracellularly staining with rabbit IgG or our antibody.

Immunohistochemistry (Formalin/PFA-fixed paraffin-embedded sections) - Anti-PGRPS antibody [EPR30470-91] (AB325131)
  • IHC-P

Lab

Immunohistochemistry (Formalin/PFA-fixed paraffin-embedded sections) - Anti-PGRPS antibody [EPR30470-91] (AB325131)

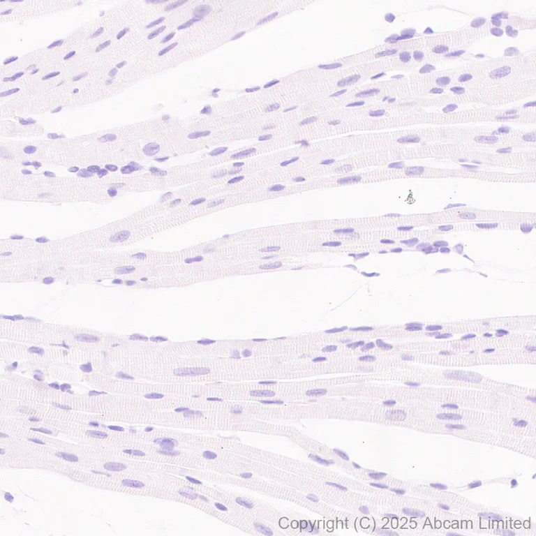
Immunohistochemical analysis of paraffin-embedded Mouse cardiac muscle tissue labeling PGRPS with ab325131 at 1/1000 (0.522 μg/ml) dilution, followed by a ready to use LeicaDS9800 (Bond™ Polymer Refine Detection).

Low expression tissue : no staining on mouse cardiac muscle (PMID : 9707603). The primary antibody was incubated for 30 mins at room temperature.

The immunostaining was performed on a Leica Biosystems BOND® RX instrument

Counterstained with Hematoxylin.

Secondary antibody only control : Secondary antibody is a ready to use LeicaDS9800 (Bond™ Polymer Refine Detection).

Heat mediated antigen retrieval was performed with Tris-EDTA buffer (pH 9.0, Epitope Retrieval Solution2) for 20 mins

Immunohistochemistry (Formalin/PFA-fixed paraffin-embedded sections) - Anti-PGRPS antibody [EPR30470-91] (AB325131)
  • IHC-P

Lab

Immunohistochemistry (Formalin/PFA-fixed paraffin-embedded sections) - Anti-PGRPS antibody [EPR30470-91] (AB325131)

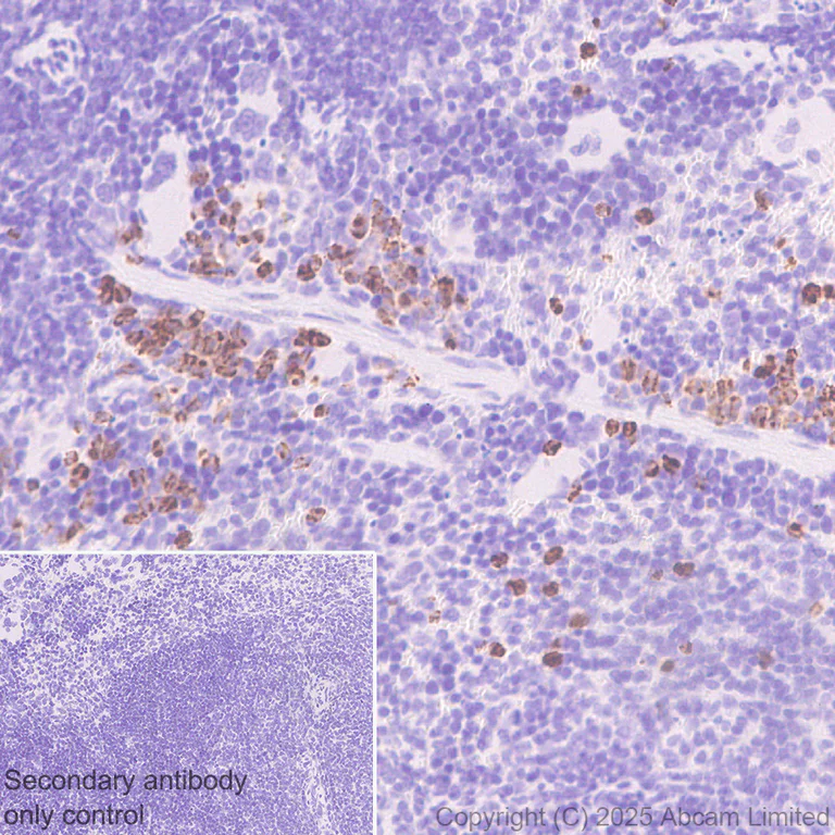
Immunohistochemical analysis of paraffin-embedded Mouse bone marrow tissue labeling PGRPS with ab325131 at 1/1000 (0.522 μg/ml) dilution, followed by a ready to use LeicaDS9800 (Bond™ Polymer Refine Detection).

Positive staining on mouse bone marrow. The primary antibody was incubated for 30 mins at room temperature.

The immunostaining was performed on a Leica Biosystems BOND® RX instrument

Counterstained with Hematoxylin.

Secondary antibody only control : Secondary antibody is a ready to use LeicaDS9800 (Bond™ Polymer Refine Detection).

Heat mediated antigen retrieval was performed with Tris-EDTA buffer (pH 9.0, Epitope Retrieval Solution2) for 20 mins

Flow Cytometry (Intracellular) - Anti-PGRPS antibody [EPR30470-91] (AB325131)
  • Flow Cyt (Intra)

Lab

Flow Cytometry (Intracellular) - Anti-PGRPS antibody [EPR30470-91] (AB325131)

Flow cytometric analysis of 2% paraformaldehyde fixed 0.1% Tween-20 permeabilized Mouse bone marrow cells labelling PGRPS with ab325131 at 1/5000 dilution (0.01ug) / Right compared with a Rabbit monoclonal IgG (ab172730) / Left isotype control and an unlabelled control (cells without incubation with primary antibody and secondary antibody).

Goat Anti-Rabbit IgG (Alexa Fluor® 488, ab150081) at 1/5000 dilution was used as the secondary antibody.

Cells were stained with anti-Gr-1 conjugated to Pacific Blue. Then fixed with 2% PFA for 10 min followed by intracellularly staining with rabbit IgG or our antibody.

Flow Cytometry (Intracellular) - Anti-PGRPS antibody [EPR30470-91] (AB325131)
  • Flow Cyt (Intra)

Lab

Flow Cytometry (Intracellular) - Anti-PGRPS antibody [EPR30470-91] (AB325131)

Flow cytometric analysis of 2% paraformaldehyde fixed 0.1% Tween-20 permeabilized Mouse blood cells labelling PGRPS with ab325131 at 1/5000 dilution (0.01ug) / Right compared with a Rabbit monoclonal IgG (ab172730) / Left isotype control and an unlabelled control (cells without incubation with primary antibody and secondary antibody).

Goat Anti-Rabbit IgG (Alexa Fluor® 488, ab150081) at 1/5000 dilution was used as the secondary antibody.

Cells were stained with anti-Gr-1 conjugated to Pacific Blue. Then fixed with 2% PFA for 10 min followed by intracellularly staining with rabbit IgG or our antibody.

Western blot - Anti-PGRPS antibody [EPR30470-91] (AB325131)
  • WB

Lab

Western blot - Anti-PGRPS antibody [EPR30470-91] (AB325131)

Blocking and diluting buffer and concentration : 5% NFDM/TBST.

Low expression : heart (PMID : 9707603 ; PMID : 11461926; PMID : 9707603 ), NIH/3T3

The expression profile/ molecular weight observed is consistent with what has been described in the literature (PMID : 9707603 ; PMID : 11461926; PMID : 9707603 ).

In Western blot, Anti-GAPDH antibody [EPR16891] - Loading Control (ab181602) (1 : 200000) (36KDa).

All lanes:

Western blot - Anti-PGRPS antibody [EPR30470-91] (ab325131) at 1/1000 dilution

Lane 1:

Mouse bone marrow tissue lysate at 48 µg

Lane 2:

Mouse spleen tissue lysate at 48 µg

Lane 3:

Mouse heart tissue lysate at 48 µg

Lane 4:

NIH/3T3 (mouse embryonic fibroblast) whole cell lysate at 48 µg

Secondary

All lanes:

Western blot - Goat Anti-Rabbit IgG H&L (HRP) (<a href='/en-us/products/secondary-antibodies/goat-rabbit-igg-h-l-hrp-ab97051'>ab97051</a>) at 1/20000 dilution

Observed band size: 18 kDa,36 kDa

false

Exposure time: 180s

Flow Cytometry (Intracellular) - Anti-PGRPS antibody [EPR30470-91] (AB325131)
  • Flow Cyt (Intra)

Lab

Flow Cytometry (Intracellular) - Anti-PGRPS antibody [EPR30470-91] (AB325131)

Flow cytometric analysis of 4% paraformaldehyde fixed 90% methanol permeabilized NIH/3T3 (mouse embryonic fibroblast) cells labelling PGRPS with ab325131 at 1/5000 dilution (0.01ug) / Red compared with a Rabbit monoclonal IgG (ab172730) / Black isotype control and an unlabelled control (cells without incubation with primary antibody and secondary antibody).

Goat Anti-Rabbit IgG (Alexa Fluor® 488, ab150081) at 1/5000 dilution was used as the secondary antibody.

Negative control : NIH/3T3

Immunocytochemistry/ Immunofluorescence - Anti-PGRPS antibody [EPR30470-91] (AB325131)
  • ICC/IF

Lab

Immunocytochemistry/ Immunofluorescence - Anti-PGRPS antibody [EPR30470-91] (AB325131)

Immunofluorescent analysis of 4% Paraformaldehyde-fixed, 0.1% TritonX-100 permeabilized NIH/3T3 (mouse embryonic fibroblast) cells labelling PGRPS with ab325131 at 1/1000 (0.522 μg/ml) dilution , followed by ab150081 Goat Anti-Rabbit IgG H&L (Alexa Fluor® 488) preadsorbed antibody at 1/1000 dilution (Green).

Negative control : confocal image showing no staining in NIH/3T3 cell line (shown in green). The counterstain was observed in magenta. Nuclear DNA was labelled with DAPI (shown in blue). Image was taken with a confocal microscope (Leica-Microsystems, TCS SP8).

ab7291 Anti-alpha Tubulin mouse monoclonal antibody was used to counterstain tubulin at 1/1000 dilution (Magenta). The Nuclear counterstain was DAPI (Blue).

Secondary antibody only control : Secondary antibody is ab150081 Goat Anti-Rabbit IgG H&L (Alexa Fluor® 488) preadsorbed at 1/1000 dilution.

  • Carrier free

    Anti-PGRPS antibody [EPR30470-91] – BSA and Azide free

Key facts

Host species

Rabbit

Clonality

Monoclonal

Clone number

EPR30470-91

Isotype

IgG

Carrier free

No

Reacts with

Mouse

Applications

IHC-P, WB, ICC/IF, Flow Cyt

applications

Immunogen

The exact immunogen used to generate this antibody is proprietary information.

Reactivity data

{ "title": "Reactivity Data", "filters": { "stats": ["", "Species", "Dilution Info", "Notes"], "tabs": { "all-applications": {"fullname" : "All Applications", "shortname": "All Applications"}, "FlowCyt" : {"fullname" : "Flow Cytometry", "shortname":"Flow Cyt"}, "ICCIF" : {"fullname" : "Immunocytochemistry/ Immunofluorescence", "shortname":"ICC/IF"}, "IHCP" : {"fullname" : "Immunohistochemistry (Formalin/PFA-fixed paraffin-embedded sections)", "shortname":"IHC-P"}, "WB" : {"fullname" : "Western blot", "shortname":"WB"} }, "product-promise": { "all": "all", "testedAndGuaranteed": "tested", "guaranteed": "expected", "predicted": "predicted", "notRecommended": "not-recommended" } }, "values": { "Mouse": { "FlowCyt-species-checked": "testedAndGuaranteed", "FlowCyt-species-dilution-info": "1/5000", "FlowCyt-species-notes": "<p></p>", "ICCIF-species-checked": "testedAndGuaranteed", "ICCIF-species-dilution-info": "1/1000", "ICCIF-species-notes": "<p></p>", "IHCP-species-checked": "testedAndGuaranteed", "IHCP-species-dilution-info": "1/1000", "IHCP-species-notes": "<p></p> Perform heat-mediated antigen retrieval with Tris/EDTA buffer pH 9.0 before commencing with IHC staining protocol.", "WB-species-checked": "testedAndGuaranteed", "WB-species-dilution-info": "1/1000", "WB-species-notes": "<p></p>" } } }

Product details

Patented technology
Our RabMAb® technology is a patented hybridoma-based technology for making rabbit monoclonal antibodies. For details on our patents, please refer to RabMAb® patents.

What are the advantages of a recombinant monoclonal antibody?
This product is a recombinant monoclonal antibody, which offers several advantages including:

  • - High batch-to-batch consistency and reproducibility
  • - Improved sensitivity and specificity
  • - Long-term security of supply
  • - Animal-free batch production

For more information, read more on recombinant antibodies.

Properties and storage information

Form
Liquid
Purification technique
Affinity purification Protein A
Storage buffer
pH: 7.2 - 7.4 Preservative: 0.01% Sodium azide Constituents: PBS, 40% Glycerol (glycerin, glycerine), 0.05% BSA
Shipped at conditions
Blue Ice
Appropriate short-term storage duration
1-2 weeks
Appropriate short-term storage conditions
+4°C
Appropriate long-term storage conditions
-20°C
Aliquoting information
Upon delivery aliquot
Storage information
Avoid freeze / thaw cycle

Product protocols

For this product, it's our understanding that no specific protocols are required. You can visit:

Target data

Innate immunity protein that plays several important functions in antimicrobial and antitumor defense systems. Acts as a pattern receptor that binds to murein peptidoglycans (PGN) of Gram-positive bacteria and thus provides bactericidal activity (PubMed : 12649138, PubMed : 9660837, PubMed : 9707603). Forms an equimolar complex with heat shock protein HSPA1A and induces programmed cell death through apoptosis and necroptosis in tumor cell lines by activating the TNFR1 receptor on the target cell membrane (PubMed : 14585845). In addition, acts in complex with the Ca(2+)-binding protein S100A4 as a chemoattractant able to induce lymphocyte movement. Mechanistically, this complex acts as a ligand of the chemotactic receptors CCR5 and CXCR3 which are present on the cells of the immune system. Promotes also the activation of lymphocytes that become able to kill virus-infected cells as well as tumor cells by modulating the spectrum of their target-cell specificity. Induction of cytotoxicity on monocyte surface requires interaction with TREM1 receptor (By similarity).
See full target information Pglyrp1

Product promise

We are committed to supporting your work with high-quality reagents, and we're here for you every step of the way. In the unlikely event that one of our products does not perform as expected, you're protected by our Product Promise.
For full details, please see our Terms & Conditions

Please note: All products are 'FOR RESEARCH USE ONLY. NOT FOR USE IN DIAGNOSTIC OR THERAPEUTIC PROCEDURES'.

For licensing inquiries, please contact partnerships@abcam.com