JavaScript is disabled in your browser. Please enable JavaScript to view this website.
AB314436

Anti-PHC2 antibody [EPR27147-176] - ChIP Grade

  • BOND RX™ Validated
  • 20ul selling size
  • Recombinant
  • Advanced Validation
  • RabMAb
  • What is this?

Be the first to review this product! Submit a review

|

(0 Publication)

Rabbit Recombinant Monoclonal PHC2 antibody. Suitable for ChIP-seq, WB, ICC/IF, IP, Flow Cyt (Intra), IHC-P and reacts with Human, Mouse, Rat, Recombinant fragment - Human samples.

View Alternative Names

EDR2, PH2, PHC2, Polyhomeotic-like protein 2, hPH2, Early development regulatory protein 2

18 Images
Immunocytochemistry/ Immunofluorescence - Anti-PHC2 antibody [EPR27147-176] - ChIP Grade (AB314436)
  • ICC/IF

Supplier Data

Immunocytochemistry/ Immunofluorescence - Anti-PHC2 antibody [EPR27147-176] - ChIP Grade (AB314436)

Immunofluorescent analysis of 4% Paraformaldehyde-fixed, 0.1% TritonX-100 permeabilized SW480 (human colorectal adenocarcinoma epithelial cell) cells labelling PHC2 with ab314436 at 1/50 (10.38 ug/ml) dilution, followed by ab150081 Goat Anti-Rabbit IgG H&L (Alexa Fluor® 488) preadsorbed antibody at 1/1000 (2 ug/ml) dilution (Green). Confocal image showing nuclear staining in SW480 cell line.Image was taken with a confocal microscope(Leica-Microsystems, TCS SP8).ab195889 Anti-alpha Tubulin mouse monoclonal antibody - Microtubule Marker (Alexa Fluor® 594) was used to counterstain tubulin at 1/200 (2.5 ug/ml) dilution (Red). The Nuclear counterstain was DAPI (Blue). Secondary antibody only control : Secondary antibody is ab150081 Goat Anti-Rabbit IgG H&L (Alexa Fluor® 488) preadsorbed at 1/1000 (2 ug/ml) dilution.

Immunohistochemistry (Formalin/PFA-fixed paraffin-embedded sections) - Anti-PHC2 antibody [EPR27147-176] - ChIP Grade (AB314436)
  • IHC-P

Supplier Data

Immunohistochemistry (Formalin/PFA-fixed paraffin-embedded sections) - Anti-PHC2 antibody [EPR27147-176] - ChIP Grade (AB314436)

Immunohistochemical analysis of paraffin-embedded human cerebrum tissue labeling PHC2 with ab314436 at 1/100 (5.19 ug/ml) followed by a ready to use LeicaDS9800 (Bond™ Polymer Refine Detection). Nuclear staining on human cerebrum. The section was incubated with ab314436 for 30 mins at room temperature. The immunostaining was performed on a Leica Biosystems BOND® RX instrument. Counterstained with Hematoxylin. Secondary antibody only control : Secondary antibody is a ready to use LeicaDS9800 (Bond™ Polymer Refine Detection). Heat mediated antigen retrieval was performed with Tris-EDTA buffer (pH 9.0, Epitope Retrieval Solution2) for 20 mins.

Immunohistochemistry (Formalin/PFA-fixed paraffin-embedded sections) - Anti-PHC2 antibody [EPR27147-176] - ChIP Grade (AB314436)
  • IHC-P

Supplier Data

Immunohistochemistry (Formalin/PFA-fixed paraffin-embedded sections) - Anti-PHC2 antibody [EPR27147-176] - ChIP Grade (AB314436)

Immunohistochemical analysis of paraffin-embedded human kidney tissue labeling PHC2 with ab314436 at 1/100 (5.19 ug/ml) followed by a ready to use LeicaDS9800 (Bond™ Polymer Refine Detection). Nuclear staining on human kidney.The section was incubated with ab314436 for 30 mins at room temperature. The immunostaining was performed on a Leica Biosystems BOND® RX instrument. Counterstained with Hematoxylin. Secondary antibody only control : Secondary antibody is a ready to use LeicaDS9800 (Bond™ Polymer Refine Detection). Heat mediated antigen retrieval was performed with Tris-EDTA buffer (pH 9.0, Epitope Retrieval Solution2) for 20 mins.

ChIP-sequencing - Anti-PHC2 antibody [EPR27147-176] - ChIP Grade (AB314436)
  • ChIP-seq

Lab

ChIP-sequencing - Anti-PHC2 antibody [EPR27147-176] - ChIP Grade (AB314436)

Chromatin was prepared from NCCIT cells. Cells were fixed with 1% formaldehyde for 10 minutes. ChIP was performed with 10^7 cells and 8 µg of ab314436 [EPR27147-176]. ChIP DNA was sequenced on the Illumina NovaSeq 6000 to a depth of 30 million reads. The Input control is also shown.

ChIP-sequencing - Anti-PHC2 antibody [EPR27147-176] - ChIP Grade (AB314436)
  • ChIP-seq

Lab

ChIP-sequencing - Anti-PHC2 antibody [EPR27147-176] - ChIP Grade (AB314436)

Chromatin was prepared from NCCIT cells. Cells were fixed with 1% formaldehyde for 10 minutes. ChIP was performed with 10^7 cells and 8 µg of ab314436 [EPR27147-176]. ChIP DNA was sequenced on the Illumina NovaSeq 6000 to a depth of 30 million reads. The Input control is also shown.

ChIP-sequencing - Anti-PHC2 antibody [EPR27147-176] - ChIP Grade (AB314436)
  • ChIP-seq

Lab

ChIP-sequencing - Anti-PHC2 antibody [EPR27147-176] - ChIP Grade (AB314436)

Chromatin was prepared from NCCIT cells. Cells were fixed with 1% formaldehyde for 10 minutes. ChIP was performed with 10^7 cells and 8 µg of ab314436 [EPR27147-176]. ChIP DNA was sequenced on the Illumina NovaSeq 6000 to a depth of 30 million reads. The Input control is also shown.

Immunoprecipitation - Anti-PHC2 antibody [EPR27147-176] - ChIP Grade (AB314436)
  • IP

Supplier Data

Immunoprecipitation - Anti-PHC2 antibody [EPR27147-176] - ChIP Grade (AB314436)

PHC2 was immunoprecipitated from 0.35 mg SW480 (human colorectal adenocarcinoma epithelial cell) whole cell lysate with ab314436 at 1/30 dilution (2ug in 0.35mg lysates). Western blot was performed on the immunoprecipitate using ab314436 at 1/1000 dilution. VeriBlot for IP secondary antibody(HRP)(ab131366) was used at 1/5000 dilution. Lane 1 : SW480 (human colorectal adenocarcinoma epithelial cell) whole cell lysate Lane 2 : ab314436 IP in SW480 (human colorectal adenocarcinoma epithelial cell) whole cell lysate Lane 3 : Rabbit monoclonal IgG (ab172730) instead of ab314436 in SW480 whole cell lysate Blocking and dilution buffer and concentration : 5% NFDM/TBST.

All lanes:

Immunoprecipitation - Anti-PHC2 antibody [EPR27147-176] - ChIP Grade (ab314436) at 1/30 dilution

All lanes:

SW480 (human colorectal adenocarcinoma epithelial cell) whole cell lysate

Secondary

All lanes:

Immunoprecipitation - VeriBlot for IP Detection Reagent (HRP) (<a href='/en-us/products/reagents/veriblot-for-ip-detection-reagent-hrp-ab131366'>ab131366</a>) at 1/5000 dilution

false

Exposure time: 58s

Immunohistochemistry (Formalin/PFA-fixed paraffin-embedded sections) - Anti-PHC2 antibody [EPR27147-176] - ChIP Grade (AB314436)
  • IHC-P

Supplier Data

Immunohistochemistry (Formalin/PFA-fixed paraffin-embedded sections) - Anti-PHC2 antibody [EPR27147-176] - ChIP Grade (AB314436)

Immunohistochemical analysis of paraffin-embedded rat cerebrum tissue labeling PHC2 with ab314436 at 1/100 (5.19 ug/ml) followed by a ready to use LeicaDS9800 (Bond™ Polymer Refine Detection). Nuclear staining on rat cerebrum. The section was incubated with ab314436 for 30 mins at room temperature. The immunostaining was performed on a Leica Biosystems BOND® RX instrument. Counterstained with Hematoxylin. Secondary antibody only control : Secondary antibody is a ready to use LeicaDS9800 (Bond™ Polymer Refine Detection). Heat mediated antigen retrieval was performed with Tris-EDTA buffer (pH 9.0, Epitope Retrieval Solution2) for 20 mins.

Immunohistochemistry (Formalin/PFA-fixed paraffin-embedded sections) - Anti-PHC2 antibody [EPR27147-176] - ChIP Grade (AB314436)
  • IHC-P

Supplier Data

Immunohistochemistry (Formalin/PFA-fixed paraffin-embedded sections) - Anti-PHC2 antibody [EPR27147-176] - ChIP Grade (AB314436)

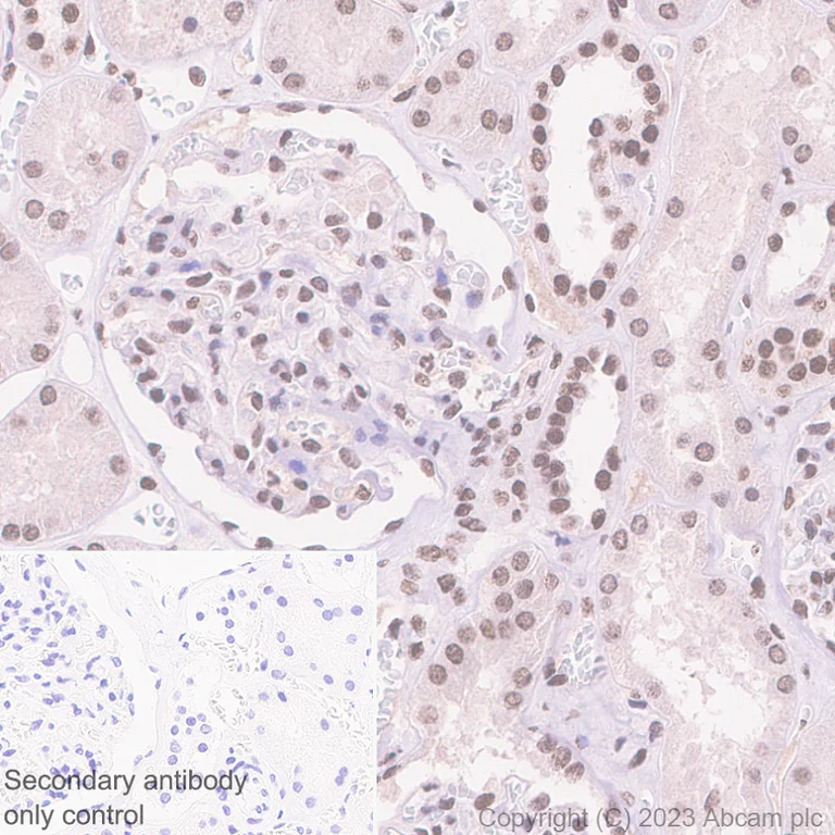
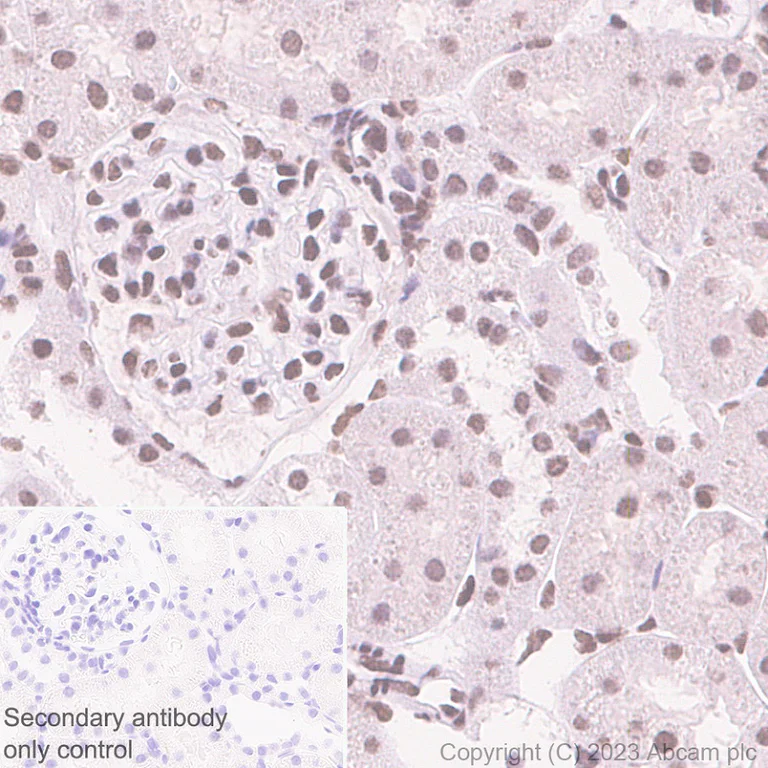
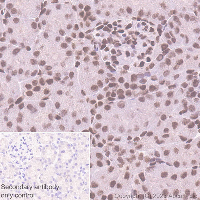
Immunohistochemical analysis of paraffin-embedded rat kidney tissue labeling PHC2 with ab314436 at 1/100 (5.19 ug/ml) followed by a ready to use LeicaDS9800 (Bond™ Polymer Refine Detection). Nuclear staining on rat kidney. The section was incubated with ab314436 for 30 mins at room temperature. The immunostaining was performed on a Leica Biosystems BOND® RX instrument. Counterstained with Hematoxylin. Secondary antibody only control : Secondary antibody is a ready to use LeicaDS9800 (Bond™ Polymer Refine Detection). Heat mediated antigen retrieval was performed with Tris-EDTA buffer (pH 9.0, Epitope Retrieval Solution2) for 20 mins.

Immunohistochemistry (Formalin/PFA-fixed paraffin-embedded sections) - Anti-PHC2 antibody [EPR27147-176] - ChIP Grade (AB314436)
  • IHC-P

Supplier Data

Immunohistochemistry (Formalin/PFA-fixed paraffin-embedded sections) - Anti-PHC2 antibody [EPR27147-176] - ChIP Grade (AB314436)

Immunohistochemical analysis of paraffin-embedded mouse kidney tissue labeling PHC2 with ab314436 at 1/100 (5.19 ug/ml) followed by a ready to use LeicaDS9800 (Bond™ Polymer Refine Detection). Nuclear staining on mouse kidney. The section was incubated with ab314436 for 30 mins at room temperature. The immunostaining was performed on a Leica Biosystems BOND® RX instrument. Counterstained with Hematoxylin. Secondary antibody only control : Secondary antibody is a ready to use LeicaDS9800 (Bond™ Polymer Refine Detection). Heat mediated antigen retrieval was performed with Tris-EDTA buffer (pH 9.0, Epitope Retrieval Solution2) for 20 mins.

Immunocytochemistry/ Immunofluorescence - Anti-PHC2 antibody [EPR27147-176] - ChIP Grade (AB314436)
  • ICC/IF

Supplier Data

Immunocytochemistry/ Immunofluorescence - Anti-PHC2 antibody [EPR27147-176] - ChIP Grade (AB314436)

Immunofluorescent analysis of 4% Paraformaldehyde-fixed, 0.1% TritonX-100 permeabilized NIH/3T3 (mouse embryonic fibroblast) cells labelling PHC2 with ab314436 at 1/50 (10.38 ug/ml) dilution, followed by ab150081 Goat Anti-Rabbit IgG H&L (Alexa Fluor® 488) preadsorbed antibody at 1/1000 (2 ug/ml) dilution (Green). Confocal image showing nuclear staining in NIH/3T3 cell line. Image was taken with a confocal microscope(Leica-Microsystems, TCS SP8). ab195889 Anti-alpha Tubulin mouse monoclonal antibody - Microtubule Marker (Alexa Fluor® 594) was used to counterstain tubulin at 1/200 (2.5 ug/ml) dilution (Red). The Nuclear counterstain was DAPI (Blue). Secondary antibody only control : Secondary antibody is ab150081 Goat Anti-Rabbit IgG H&L (Alexa Fluor® 488) preadsorbed at 1/1000 (2 ug/ml) dilution.

Flow Cytometry (Intracellular) - Anti-PHC2 antibody [EPR27147-176] - ChIP Grade (AB314436)
  • Flow Cyt (Intra)

Supplier Data

Flow Cytometry (Intracellular) - Anti-PHC2 antibody [EPR27147-176] - ChIP Grade (AB314436)

Flow cytometric analysis of 4% paraformaldehyde fixed 90% methanol permeabilized NIH/3T3 (mouse embryonic fibroblast) cells labelling PHC2 with ab314436 at 1/50 dilution (1 ug)/Red (Red) compared with a Rabbit monoclonal IgG (ab172730) (Black) isotype control and an unlabelled control (cells without incubation with primary antibody and secondary antibody) (Blue). A Goat Anti-Rabbit IgG (Alexa Fluor® 488, ab150081) at 1/5000 dilution was used as the secondary antibody.

Immunohistochemistry (Formalin/PFA-fixed paraffin-embedded sections) - Anti-PHC2 antibody [EPR27147-176] - ChIP Grade (AB314436)
  • IHC-P

Supplier Data

Immunohistochemistry (Formalin/PFA-fixed paraffin-embedded sections) - Anti-PHC2 antibody [EPR27147-176] - ChIP Grade (AB314436)

Immunohistochemical analysis of paraffin-embedded mouse cerebrum tissue labeling PHC2 with ab314436 at 1/100 (5.19 ug/ml) followed by a ready to use LeicaDS9800 (Bond™ Polymer Refine Detection). Nuclear staining on mouse cerebrum. The section was incubated with ab314436 for 30 mins at room temperature. The immunostaining was performed on a Leica Biosystems BOND® RX instrument. Counterstained with Hematoxylin. Secondary antibody only control : Secondary antibody is a ready to use LeicaDS9800 (Bond™ Polymer Refine Detection). Heat mediated antigen retrieval was performed with Tris-EDTA buffer (pH 9.0, Epitope Retrieval Solution2) for 20 mins.

Immunoprecipitation - Anti-PHC2 antibody [EPR27147-176] - ChIP Grade (AB314436)
  • IP

Supplier Data

Immunoprecipitation - Anti-PHC2 antibody [EPR27147-176] - ChIP Grade (AB314436)

PHC2 was immunoprecipitated from 0.35 mg NIH/3T3 (mouse embryonic fibroblast) whole cell lysate with ab314436 at 1/30 dilution (2ug in 0.35mg lysates). Western blot was performed on the immunoprecipitate using ab314436 at 1/1000 dilution. VeriBlot for IP secondary antibody(HRP)(ab131366) was used at 1/5000 dilution. Lane 1 : NIH/3T3 (mouse embryonic fibroblast) whole cell lysate Lane 2 : ab314436 IP in NIH/3T3 (mouse embryonic fibroblast) whole cell lysate Lane 3 : Rabbit monoclonal IgG (ab172730) instead of ab314436 NIH/3T3 whole cell lysate Blocking and dilution buffer and concentration : 5% NFDM/TBST.

All lanes:

Immunoprecipitation - Anti-PHC2 antibody [EPR27147-176] - ChIP Grade (ab314436) at 1/30 dilution

All lanes:

NIH/3T3 (mouse embryonic fibroblast) whole cell lysate

Secondary

All lanes:

Immunoprecipitation - VeriBlot for IP Detection Reagent (HRP) (<a href='/en-us/products/reagents/veriblot-for-ip-detection-reagent-hrp-ab131366'>ab131366</a>) at 1/5000 dilution

false

Exposure time: 76s

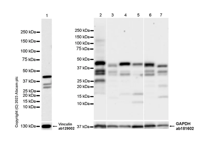
Western blot - Anti-PHC2 antibody [EPR27147-176] - ChIP Grade (AB314436)
  • WB

Supplier Data

Western blot - Anti-PHC2 antibody [EPR27147-176] - ChIP Grade (AB314436)

Blocking and diluting buffer and concentration : 5% NFDM/TBST The expression profile/molecular weight observed is consistent with what has been described in the literature (PMID : 16024804). The identity of the bands below 31 kDa is unknown. In Western blot, Anti-GAPDH antibody [EPR16891] - Loading Control (ab181602) staining at 1/200000 dilution. In Western blot, Anti-Vinculin antibody [EPR8185] (ab129002) staining at 1/10000 dilution. Exposure time : Lane1 : 180 seconds, lane2-7 : 37 seconds

All lanes:

Western blot - Anti-PHC2 antibody [EPR27147-176] - ChIP Grade (ab314436) at 1/1000 dilution

Lane 1:

NCCIT (human pluripotent embryonic carcinoma epithelial cell) whole cell lysate at 20 µg

Lanes 2 - 3:

Human testis tissue lysate at 20 µg

Lane 4:

Mouse testis tissue lysate at 20 µg

Lane 5:

Mouse kidney tissue lysate at 20 µg

Lane 6:

Rat testis tissue lysate at 20 µg

Lane 7:

Rat kidney tissue lysate at 20 µg

Secondary

All lanes:

Western blot - Goat Anti-Rabbit IgG H&L (HRP) (<a href='/en-us/products/secondary-antibodies/goat-rabbit-igg-h-l-hrp-ab97051'>ab97051</a>) at 1/100000 dilution

Observed band size: 31 kDa,36 kDa,40 kDa

false

Western blot - Anti-PHC2 antibody [EPR27147-176] - ChIP Grade (AB314436)
  • WB

Supplier Data

Western blot - Anti-PHC2 antibody [EPR27147-176] - ChIP Grade (AB314436)

Blocking and diluting buffer and concentration : 5% NFDM/TBST The expression profile/molecular weight observed is consistent with what has been described in the literature (PMID : 16024804). In Western blot, Anti-GAPDH antibody [EPR16891] - Loading Control (ab181602) staining at 1/200000 dilution.

All lanes:

Western blot - Anti-PHC2 antibody [EPR27147-176] - ChIP Grade (ab314436) at 1/1000 dilution

Lane 1:

SW480 (human colorectal adenocarcinoma epithelial cell) transfected with scrambled siRNA control whole cell lysate at 20 µg

Lane 2:

SW480 transfected with siRNA specifically targeti PHC2 whole cell lysate at 20 µg

Secondary

All lanes:

Western blot - Goat Anti-Rabbit IgG H&L (HRP) (<a href='/en-us/products/secondary-antibodies/goat-rabbit-igg-h-l-hrp-ab97051'>ab97051</a>) at 1/100000 dilution

Observed band size: 31 kDa,36 kDa,40 kDa

false

Exposure time: 80s

Western blot - Anti-PHC2 antibody [EPR27147-176] - ChIP Grade (AB314436)
  • WB

Supplier Data

Western blot - Anti-PHC2 antibody [EPR27147-176] - ChIP Grade (AB314436)

Blocking and diluting buffer and concentration : 5% NFDM/TBST Low expression : Raji (PMID : 9121482) The expression profile/molecular weight observed is consistent with what has been described in the literature (PMID : 16024804). In Western blot, Anti-GAPDH antibody [EPR16891] - Loading Control (ab181602) staining at 1/200000 dilution.

All lanes:

Western blot - Anti-PHC2 antibody [EPR27147-176] - ChIP Grade (ab314436) at 1/1000 dilution

Lane 1:

SW480 (human colorectal adenocarcinoma epithelial cell) whole cell lysate at 20 µg

Lane 2:

Raji (human burkitts lymphoma b lymphocyte) whole cell lysate at 20 µg

Lane 3:

NIH/3T3 (mouse embryonic fibroblast) whole cell lysate at 20 µg

Secondary

All lanes:

Western blot - Goat Anti-Rabbit IgG H&L (HRP) (<a href='/en-us/products/secondary-antibodies/goat-rabbit-igg-h-l-hrp-ab97051'>ab97051</a>) at 1/100000 dilution

Observed band size: 31 kDa,36 kDa,40 kDa

false

Exposure time: 92s

Western blot - Anti-PHC2 antibody [EPR27147-176] - ChIP Grade (AB314436)
  • WB

Supplier Data

Western blot - Anti-PHC2 antibody [EPR27147-176] - ChIP Grade (AB314436)

Blocking and diluting buffer and concentration : 5% NFDM/TBST This antibody does not react with human PHC1 and PHC3. In Western blot, Anti-6X His tag® antibody [EPR20547] - ChIP Grade (ab213204) staining at 1/5000 dilution

All lanes:

Western blot - Anti-PHC2 antibody [EPR27147-176] - ChIP Grade (ab314436) at 1/1000 dilution

Lane 1:

His-tagged human PHC2 recombinant protein at 10 ng

Lane 2:

His-tagged human PHC1 recombinant protein at 10 ng

Lane 3:

His-tagged human PHC3 recombinant protein at 10 ng

Secondary

All lanes:

Western blot - Goat Anti-Rabbit IgG H&L (HRP) (<a href='/en-us/products/secondary-antibodies/goat-rabbit-igg-h-l-hrp-ab97051'>ab97051</a>) at 1/100000 dilution

Observed band size: 14 kDa

false

Exposure time: 48s

  • 665 Alexa Fluor® 647

    Alexa Fluor® 647 Anti-PHC2 antibody [EPR27147-176] - ChIP Grade

  • Carrier free

    Anti-PHC2 antibody [EPR27147-176] - ChIP Grade - BSA and Azide free

Key facts

Host species

Rabbit

Clonality

Monoclonal

Clone number

EPR27147-176

Isotype

IgG

Carrier free

No

Reacts with

Human, Mouse, Rat

Applications

IP, ICC/IF, Flow Cyt (Intra), WB, IHC-P, ChIP-seq

applications

Immunogen

The exact immunogen used to generate this antibody is proprietary information.

Specificity

Unsuitable for FC-intra human.

Reactivity data

{ "title": "Reactivity Data", "filters": { "stats": ["", "Species", "Dilution Info", "Notes"], "tabs": { "all-applications": {"fullname" : "All Applications", "shortname": "All Applications"}, "ChIPseq" : {"fullname" : "ChIP-sequencing", "shortname":"ChIP-seq"}, "WB" : {"fullname" : "Western blot", "shortname":"WB"}, "ICCIF" : {"fullname" : "Immunocytochemistry/ Immunofluorescence", "shortname":"ICC/IF"}, "IP" : {"fullname" : "Immunoprecipitation", "shortname":"IP"}, "FlowCytIntra" : {"fullname" : "Flow Cytometry (Intracellular)", "shortname":"Flow Cyt (Intra)"}, "IHCP" : {"fullname" : "Immunohistochemistry (Formalin/PFA-fixed paraffin-embedded sections)", "shortname":"IHC-P"} }, "product-promise": { "all": "all", "testedAndGuaranteed": "tested", "guaranteed": "expected", "predicted": "predicted", "notRecommended": "not-recommended" } }, "values": { "Human": { "ChIPseq-species-checked": "testedAndGuaranteed", "ChIPseq-species-dilution-info": "", "ChIPseq-species-notes": "<p></p>", "WB-species-checked": "testedAndGuaranteed", "WB-species-dilution-info": "1/1000", "WB-species-notes": "<p></p>", "ICCIF-species-checked": "testedAndGuaranteed", "ICCIF-species-dilution-info": "1/50", "ICCIF-species-notes": "<p></p>", "IP-species-checked": "testedAndGuaranteed", "IP-species-dilution-info": "1/30", "IP-species-notes": "<p></p>", "FlowCytIntra-species-checked": "notRecommended", "FlowCytIntra-species-dilution-info": "", "FlowCytIntra-species-notes": "<p></p>", "IHCP-species-checked": "testedAndGuaranteed", "IHCP-species-dilution-info": "1/100", "IHCP-species-notes": "<p></p>" }, "Mouse": { "ChIPseq-species-checked": "guaranteed", "ChIPseq-species-dilution-info": "", "ChIPseq-species-notes": "", "WB-species-checked": "testedAndGuaranteed", "WB-species-dilution-info": "1/1000", "WB-species-notes": "<p></p>", "ICCIF-species-checked": "testedAndGuaranteed", "ICCIF-species-dilution-info": "1/50", "ICCIF-species-notes": "<p></p>", "IP-species-checked": "testedAndGuaranteed", "IP-species-dilution-info": "1/30", "IP-species-notes": "<p></p>", "FlowCytIntra-species-checked": "testedAndGuaranteed", "FlowCytIntra-species-dilution-info": "1/50", "FlowCytIntra-species-notes": "<p></p>", "IHCP-species-checked": "testedAndGuaranteed", "IHCP-species-dilution-info": "1/100", "IHCP-species-notes": "<p></p>" }, "Rat": { "ChIPseq-species-checked": "guaranteed", "ChIPseq-species-dilution-info": "", "ChIPseq-species-notes": "", "WB-species-checked": "testedAndGuaranteed", "WB-species-dilution-info": "1/1000", "WB-species-notes": "<p></p>", "ICCIF-species-checked": "guaranteed", "ICCIF-species-dilution-info": "", "ICCIF-species-notes": "", "IP-species-checked": "guaranteed", "IP-species-dilution-info": "", "IP-species-notes": "", "FlowCytIntra-species-checked": "guaranteed", "FlowCytIntra-species-dilution-info": "", "FlowCytIntra-species-notes": "", "IHCP-species-checked": "testedAndGuaranteed", "IHCP-species-dilution-info": "1/100", "IHCP-species-notes": "<p></p>" }, "Recombinant fragment - Human": { "ChIPseq-species-checked": "notRecommended", "ChIPseq-species-dilution-info": "", "ChIPseq-species-notes": "", "WB-species-checked": "testedAndGuaranteed", "WB-species-dilution-info": "1/1000", "WB-species-notes": "<p></p>", "ICCIF-species-checked": "notRecommended", "ICCIF-species-dilution-info": "", "ICCIF-species-notes": "", "IP-species-checked": "notRecommended", "IP-species-dilution-info": "", "IP-species-notes": "", "FlowCytIntra-species-checked": "notRecommended", "FlowCytIntra-species-dilution-info": "", "FlowCytIntra-species-notes": "", "IHCP-species-checked": "notRecommended", "IHCP-species-dilution-info": "", "IHCP-species-notes": "" } } }

Product details

Patented technology
Our RabMAb® technology is a patented hybridoma-based technology for making rabbit monoclonal antibodies. For details on our patents, please refer to RabMAb® patents.

What are the advantages of a recombinant monoclonal antibody?
This product is a recombinant monoclonal antibody, which offers several advantages including:

  • - High batch-to-batch consistency and reproducibility
  • - Improved sensitivity and specificity
  • - Long-term security of supply
  • - Animal-free batch production

For more information, read more on recombinant antibodies.

Properties and storage information

Form
Liquid
Purification technique
Affinity purification Protein A
Storage buffer
pH: 7.2 - 7.4 Preservative: 0.01% Sodium azide Constituents: PBS, 40% Glycerol (glycerin, glycerine), 0.05% BSA
Shipped at conditions
Blue Ice
Appropriate short-term storage duration
1-2 weeks
Appropriate short-term storage conditions
+4°C
Appropriate long-term storage conditions
-20°C
Aliquoting information
Upon delivery aliquot
Storage information
Avoid freeze / thaw cycle

Supplementary information

This supplementary information is collated from multiple sources and compiled automatically.

PHC2 also known as Polyhomeotic Homolog 2 is a protein with a molecular mass around 100 kDa. It localizes mainly in the nucleus and expresses widely across different tissue types. The protein is a part of the Polycomb group (PcG) proteins which play key roles in chromatin remodeling and gene silencing. PHC2 contributes to forming stable gene repression essential for regulating development and maintaining cellular identity.
Biological function summary

PHC2 functions as a part of the Polycomb repressive complex 1 (PRC1). This complex is involved in modifying the structure of chromatin which helps maintain the repression of gene transcription. Through interaction with other PRC1 components PHC2 helps establish a compact chromatin state promoting histone modifications that lead to transcriptional silencing. This activity is fundamental for cellular processes like embryonic development and stem cell maintenance.

Pathways

PHC2 plays a role in the regulation of the Wnt signaling and Notch signaling pathways. These pathways are integral to controlling cell proliferation differentiation and apoptosis. Within these pathways PHC2 interacts with other proteins like BMI1 and RING1B which are also part of the PRC1 complex. These interactions ensure the precise control over gene expression needed for cellular homeostasis and proper developmental progression.

Aberrant PHC2 function is implicated in a range of conditions particularly cancer and neurodevelopmental disorders. Dysregulation of PHC2 can lead to misexpression of genes that regulate cell cycle and apoptosis contributing to oncogenesis. For instance PHC2 has connections with BMI1 in cancer pathways influencing tumor progression and resistance to apoptosis. Moreover mutations or irregular expression of PHC2 have been linked with neurodevelopmental disorders highlighting its importance in nervous system development and function.

Product protocols

For this product, it's our understanding that no specific protocols are required. You can visit:

Target data

Component of a Polycomb group (PcG) multiprotein PRC1-like complex, a complex class required to maintain the transcriptionally repressive state of many genes, including Hox genes, throughout development. PcG PRC1 complex acts via chromatin remodeling and modification of histones; it mediates monoubiquitination of histone H2A 'Lys-119', rendering chromatin heritably changed in its expressibility.
See full target information PHC2

Product promise

We are committed to supporting your work with high-quality reagents, and we're here for you every step of the way. In the unlikely event that one of our products does not perform as expected, you're protected by our Product Promise.
For full details, please see our Terms & Conditions

Please note: All products are 'FOR RESEARCH USE ONLY. NOT FOR USE IN DIAGNOSTIC OR THERAPEUTIC PROCEDURES'.

For licensing inquiries, please contact partnerships@abcam.com