JavaScript is disabled in your browser. Please enable JavaScript to view this website.
AB184951

Anti-PHD finger protein 1/PHF1 antibody [EPR14222]

0

(1 Review)

|

(17 Publications)

Rabbit Recombinant Monoclonal PHF1 antibody. Suitable for IP, WB, ICC/IF, Flow Cyt (Intra), IHC-P, ChIC/CUT&RUN-seq and reacts with Mouse, Rat, Human samples. Cited in 17 publications.

View Alternative Names

PCL1, PHF1, PHD finger protein 1, Protein PHF1, hPHF1, Polycomb-like protein 1, hPCl1

11 Images
Flow Cytometry (Intracellular) - Anti-PHD finger protein 1/PHF1 antibody [EPR14222] (AB184951)
  • Flow Cyt (Intra)

Supplier Data

Flow Cytometry (Intracellular) - Anti-PHD finger protein 1/PHF1 antibody [EPR14222] (AB184951)

Intracellular flow cytometric analysis of 293 cells (2% paraformaldehyde-fixed) labeling PHF1with ab184951 at 1/160 dilution (red) mpared to a negative control antibody (red)or a rabbit IgG (negative) (green), followed by Goat anti rabbit IgG (FITC) secondary at 1/150 dilution.

Immunocytochemistry/ Immunofluorescence - Anti-PHD finger protein 1/PHF1 antibody [EPR14222] (AB184951)
  • ICC/IF

Supplier Data

Immunocytochemistry/ Immunofluorescence - Anti-PHD finger protein 1/PHF1 antibody [EPR14222] (AB184951)

Immunofluorescent analysis of MCF7 cells (4% paraformaldehyde-fixed) labeling PHF1 with ab184951 at 1/500 dilution followed by Goat anti rabbit IgG (AlexaFluor® 555) secondary at 1/200 dilution and counter-stained with DAPI (blue).

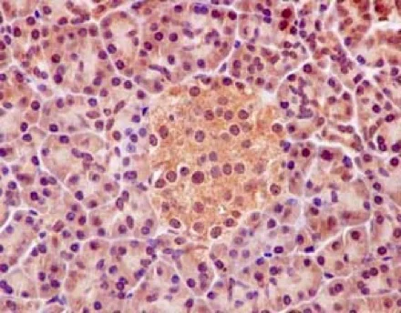
Immunohistochemistry (Formalin/PFA-fixed paraffin-embedded sections) - Anti-PHD finger protein 1/PHF1 antibody [EPR14222] (AB184951)
  • IHC-P

Supplier Data

Immunohistochemistry (Formalin/PFA-fixed paraffin-embedded sections) - Anti-PHD finger protein 1/PHF1 antibody [EPR14222] (AB184951)

Immunohistochemical analysis of paraffin-embedded Human pancreas tissue labeling PHF1 with ab184951 at 1/100 dilution followed by pre-diluted HRP-conjugated secondary antibody and counter-stained with Hematoxylin.

Perform heat mediated antigen retrieval with EDTA buffer pH 9 before commencing with IHC staining protocol.

Immunohistochemistry (Formalin/PFA-fixed paraffin-embedded sections) - Anti-PHD finger protein 1/PHF1 antibody [EPR14222] (AB184951)
  • IHC-P

Supplier Data

Immunohistochemistry (Formalin/PFA-fixed paraffin-embedded sections) - Anti-PHD finger protein 1/PHF1 antibody [EPR14222] (AB184951)

Immunohistochemical analysis of paraffin-embedded Rat skeletal muscle tissue labeling PHF1 with ab184951 at 1/100 dilution followed by pre-diluted HRP-conjugated secondary antibody and counter-stained with Hematoxylin.

Perform heat mediated antigen retrieval with EDTA buffer pH 9 before commencing with IHC staining protocol.

Immunoprecipitation - Anti-PHD finger protein 1/PHF1 antibody [EPR14222] (AB184951)
  • IP

Lab

Immunoprecipitation - Anti-PHD finger protein 1/PHF1 antibody [EPR14222] (AB184951)

PHF1 was immunoprecipitated from 0.35 mg Mouse brain tissue lysate 10 ug with ab184951 at 1/30 dilution (2ug in 0.35mg lysates). Western blot was performed on the immunoprecipitate using ab184951 at 1/1000 dilution. VeriBlot for IP Detection Reagent (HRP)(ab131366) was used at 1/5000 dilution.

Lane 1 : Mouse brain tissue lysate 10 ug

Lane 2 : ab184951 IP in Mouse brain tissue lysate

Lane 3 : Rabbit monoclonal IgG (ab172730) instead of ab184951 in mouse brain tissue lysate

Blocking and dilution buffer and concentration : 5% NFDM/TBST.

Exposure time : 3 minutes

All lanes:

Immunoprecipitation - Anti-PHD finger protein 1/PHF1 antibody [EPR14222] (ab184951)

Predicted band size: 62 kDa

false

Western blot - Anti-PHD finger protein 1/PHF1 antibody [EPR14222] (AB184951)
  • WB

Supplier Data

Western blot - Anti-PHD finger protein 1/PHF1 antibody [EPR14222] (AB184951)

All lanes:

Western blot - Anti-PHD finger protein 1/PHF1 antibody [EPR14222] (ab184951) at 1/1000 dilution

Lane 1:

Mouse brain tissue at 20 µg

Lane 2:

NIH/3T3 (mouse embryonic fibroblast) whole cell lysate at 20 µg

Lane 3:

RAW264.7 (mouse Abelson murine leukemia virus-induced tumor macrophage) whole cell lysate at 20 µg

Lane 4:

Rat brain tissue lysate at 20 µg

Lane 5:

C6 (rat glial tumor glial cell) whole cell lysate at 20 µg

Lane 6:

PC-12 (rat adrenal gland pheochromocytoma) whole cell lysate at 20 µg

Secondary

All lanes:

Goat Anti-Rabbit IgG, (H+L), Peroxidase conjugated (<a href='/en-us/products/secondary-antibodies/goat-rabbit-igg-h-l-hrp-ab97051'>ab97051</a>) at 1/100000 dilution

Predicted band size: 62 kDa

false

Western blot - Anti-PHD finger protein 1/PHF1 antibody [EPR14222] (AB184951)
  • WB

Supplier Data

Western blot - Anti-PHD finger protein 1/PHF1 antibody [EPR14222] (AB184951)

All lanes:

Western blot - Anti-PHD finger protein 1/PHF1 antibody [EPR14222] (ab184951) at 1/5000 dilution

All lanes:

Human fetal brain lysate at 10 µg

Secondary

All lanes:

Goat Anti-Rabbit IgG, (H+L), Peroxidase conjugated at 1/1000 dilution

Predicted band size: 62 kDa

false

ChIC/CUT&RUN sequencing - Anti-PHD finger protein 1/PHF1 antibody [EPR14222] (AB184951)
  • ChIC/CUT&RUN-seq

Lab

ChIC/CUT&RUN sequencing - Anti-PHD finger protein 1/PHF1 antibody [EPR14222] (AB184951)

ChIC/CUT&RUN was performed using a pAG-MNase at a final concentration of 700 ng/mL, 2.5 x 105 NCCIT (human pluripotent embryonic carcinoma epithelial cell) cells and 5 µg of ab184951 [EPR14222]. The resulting DNA was sequenced on the Illumina NovaSeq 6000 to a depth of 10 million reads. The negative IgG control ab172730 is also shown.

The University of Geneva owns patents relevant to ChIC (Chromatin Immuno-Cleavage) methods.

ChIC/CUT&RUN sequencing - Anti-PHD finger protein 1/PHF1 antibody [EPR14222] (AB184951)
  • ChIC/CUT&RUN-seq

Lab

ChIC/CUT&RUN sequencing - Anti-PHD finger protein 1/PHF1 antibody [EPR14222] (AB184951)

ChIC/CUT&RUN was performed using a pAG-MNase at a final concentration of 700 ng/mL, 2.5 x 105 NCCIT (human pluripotent embryonic carcinoma epithelial cell) cells and 5 µg of ab184951 [EPR14222]. The resulting DNA was sequenced on the Illumina NovaSeq 6000 to a depth of 10 million reads. The negative IgG control ab172730 is also shown.

The University of Geneva owns patents relevant to ChIC (Chromatin Immuno-Cleavage) methods.

ChIC/CUT&RUN sequencing - Anti-PHD finger protein 1/PHF1 antibody [EPR14222] (AB184951)
  • ChIC/CUT&RUN-seq

Lab

ChIC/CUT&RUN sequencing - Anti-PHD finger protein 1/PHF1 antibody [EPR14222] (AB184951)

ChIC/CUT&RUN was performed using a pAG-MNase at a final concentration of 700 ng/mL, 2.5 x 105 NCCIT (human pluripotent embryonic carcinoma epithelial cell) cells and 5 µg of ab184951 [EPR14222]. The resulting DNA was sequenced on the Illumina NovaSeq 6000 to a depth of 10 million reads. The negative IgG control ab172730 is also shown.

The University of Geneva owns patents relevant to ChIC (Chromatin Immuno-Cleavage) methods.

Western blot - Anti-PHD finger protein 1/PHF1 antibody [EPR14222] (AB184951)
  • WB

Supplier Data

Western blot - Anti-PHD finger protein 1/PHF1 antibody [EPR14222] (AB184951)

All lanes:

Western blot - Anti-PHD finger protein 1/PHF1 antibody [EPR14222] (ab184951) at 1/20000 dilution

Lane 1:

293 lysate at 10 µg

Lane 2:

Jurkat lysate at 10 µg

Lane 3:

MCF7 lysate at 10 µg

Secondary

All lanes:

Goat Anti-Rabbit IgG, (H+L), Peroxidase conjugated at 1/1000 dilution

Predicted band size: 62 kDa

false

  • 578 PE

    PE Anti-PHD finger protein 1/PHF1 antibody [EPR14222]

  • HRP

    HRP Anti-PHD finger protein 1/PHF1 antibody [EPR14222]

  • 603 Alexa Fluor® 568

    Alexa Fluor® 568 Anti-PHD finger protein 1/PHF1 antibody [EPR14222]

  • 565 Alexa Fluor® 555

    Alexa Fluor® 555 Anti-PHD finger protein 1/PHF1 antibody [EPR14222]

  • Carrier free

    Anti-PHD finger protein 1/PHF1 antibody [EPR14222] - BSA and Azide free

  • 660 APC

    APC Anti-PHD finger protein 1/PHF1 antibody [EPR14222]

  • 617 Alexa Fluor® 594

    Alexa Fluor® 594 Anti-PHD finger protein 1/PHF1 antibody [EPR14222]

  • 519 Alexa Fluor® 488

    Alexa Fluor® 488 Anti-PHD finger protein 1/PHF1 antibody [EPR14222]

  • 665 Alexa Fluor® 647

    Alexa Fluor® 647 Anti-PHD finger protein 1/PHF1 antibody [EPR14222]

  • 775 Alexa Fluor® 750

    Alexa Fluor® 750 Anti-PHD finger protein 1/PHF1 antibody [EPR14222]

Key facts

Host species

Rabbit

Clonality

Monoclonal

Clone number

EPR14222

Isotype

IgG

Carrier free

No

Reacts with

Rat, Human, Mouse

Applications

IP, ChIC/CUT&RUN-seq, ICC/IF, WB, IHC-P, Flow Cyt (Intra)

applications

Immunogen

The exact immunogen used to generate this antibody is proprietary information.

Specificity

This antibody is specific to PHD finger protein 1, not paired helical filaments.

Reactivity data

{ "title": "Reactivity Data", "filters": { "stats": ["", "Species", "Dilution Info", "Notes"], "tabs": { "all-applications": {"fullname" : "All Applications", "shortname": "All Applications"}, "IP" : {"fullname" : "Immunoprecipitation", "shortname":"IP"}, "WB" : {"fullname" : "Western blot", "shortname":"WB"}, "ICCIF" : {"fullname" : "Immunocytochemistry/ Immunofluorescence", "shortname":"ICC/IF"}, "FlowCytIntra" : {"fullname" : "Flow Cytometry (Intracellular)", "shortname":"Flow Cyt (Intra)"}, "IHCP" : {"fullname" : "Immunohistochemistry (Formalin/PFA-fixed paraffin-embedded sections)", "shortname":"IHC-P"}, "ChICCUTRUNseq" : {"fullname" : "ChIC/CUT&RUN sequencing", "shortname":"ChIC/CUT&RUN-seq"} }, "product-promise": { "all": "all", "testedAndGuaranteed": "tested", "guaranteed": "expected", "predicted": "predicted", "notRecommended": "not-recommended" } }, "values": { "Human": { "IP-species-checked": "notRecommended", "IP-species-dilution-info": "1/30", "IP-species-notes": "<p></p>", "WB-species-checked": "testedAndGuaranteed", "WB-species-dilution-info": "1/1000 - 1/10000", "WB-species-notes": "<p></p>", "ICCIF-species-checked": "testedAndGuaranteed", "ICCIF-species-dilution-info": "1/250 - 1/500", "ICCIF-species-notes": "<p></p>", "FlowCytIntra-species-checked": "testedAndGuaranteed", "FlowCytIntra-species-dilution-info": "1/160", "FlowCytIntra-species-notes": "<p><a href='/en-us/products/primary-antibodies/rabbit-igg-monoclonal-epr25a-isotype-control-ab172730'>ab172730</a> - Rabbit monoclonal IgG, is suitable for use as an isotype control with this antibody.</p>", "IHCP-species-checked": "testedAndGuaranteed", "IHCP-species-dilution-info": "1/50 - 1/100", "IHCP-species-notes": "<p></p>", "ChICCUTRUNseq-species-checked": "testedAndGuaranteed", "ChICCUTRUNseq-species-dilution-info": "5 µg", "ChICCUTRUNseq-species-notes": "<p></p>" }, "Mouse": { "IP-species-checked": "testedAndGuaranteed", "IP-species-dilution-info": "1/30", "IP-species-notes": "<p></p>", "WB-species-checked": "testedAndGuaranteed", "WB-species-dilution-info": "1/1000 - 1/10000", "WB-species-notes": "<p></p>", "ICCIF-species-checked": "guaranteed", "ICCIF-species-dilution-info": "", "ICCIF-species-notes": "", "FlowCytIntra-species-checked": "guaranteed", "FlowCytIntra-species-dilution-info": "", "FlowCytIntra-species-notes": "", "IHCP-species-checked": "guaranteed", "IHCP-species-dilution-info": "", "IHCP-species-notes": "", "ChICCUTRUNseq-species-checked": "guaranteed", "ChICCUTRUNseq-species-dilution-info": "", "ChICCUTRUNseq-species-notes": "" }, "Rat": { "IP-species-checked": "guaranteed", "IP-species-dilution-info": "", "IP-species-notes": "", "WB-species-checked": "testedAndGuaranteed", "WB-species-dilution-info": "1/1000 - 1/10000", "WB-species-notes": "<p></p>", "ICCIF-species-checked": "guaranteed", "ICCIF-species-dilution-info": "", "ICCIF-species-notes": "", "FlowCytIntra-species-checked": "guaranteed", "FlowCytIntra-species-dilution-info": "", "FlowCytIntra-species-notes": "", "IHCP-species-checked": "testedAndGuaranteed", "IHCP-species-dilution-info": "1/50 - 1/100", "IHCP-species-notes": "<p></p>", "ChICCUTRUNseq-species-checked": "guaranteed", "ChICCUTRUNseq-species-dilution-info": "", "ChICCUTRUNseq-species-notes": "" } } }

Product details

Patented technology
Our RabMAb® technology is a patented hybridoma-based technology for making rabbit monoclonal antibodies. For details on our patents, please refer to RabMAb® patents.

What are the advantages of a recombinant monoclonal antibody?
This product is a recombinant monoclonal antibody, which offers several advantages including:

  • - High batch-to-batch consistency and reproducibility
  • - Improved sensitivity and specificity
  • - Long-term security of supply
  • - Animal-free batch production

For more information, read more on recombinant antibodies.

Properties and storage information

Form
Liquid
Purification technique
Affinity purification Protein A
Storage buffer
pH: 7.2 Preservative: 0.01% Sodium azide Constituents: PBS, 40% Glycerol (glycerin, glycerine), 0.05% BSA
Shipped at conditions
Blue Ice
Appropriate short-term storage duration
1-2 weeks
Appropriate short-term storage conditions
+4°C
Appropriate long-term storage conditions
-20°C
Aliquoting information
Upon delivery aliquot
Storage information
Avoid freeze / thaw cycle

Supplementary information

This supplementary information is collated from multiple sources and compiled automatically.

The PHD finger protein 1 also known as PHF1 is a protein involved in chromatin remodeling. It weighs approximately 60 kDa. You may find PHF1 expressed in various human tissues including the brain heart and skeletal muscle which suggests its versatile roles across different cell types. This protein contains a plant homeodomain (PHD) finger motif which functions mechanically in binding to specific histone modifications notably those associated with methylated lysine residues.
Biological function summary

PHD finger protein 1 plays a role in regulating gene expression by modifying the chromatin structure. It acts as part of the PRC2 complex which is pivotal for depositing methyl marks on histone H3 at lysine 27 (H3K27me3). This modification results in transcriptional repression of target genes. Additionally PHF1 interacts with other chromatin regulators thereby contributing to the finely-tuned control of genetic programs essential for cellular differentiation and development.

Pathways

PHD finger protein 1 is involved in the Polycomb group (PcG) pathways along with the Wnt signaling pathway. PHF1 cooperates with other proteins like EZH2 which is an important enzymatic component of the PRC2 complex to mediate its repressive function on chromatin. This interaction and pathway association highlight its involvement in maintaining stem cell pluripotency and lineage specification during development.

PHD finger protein 1 associates with cancers notably endometrial cancer and sarcomas. Alterations in PHF1 expression or function influence the disease progression partly through its interaction with EZH2 leading to abnormal silencing of tumor suppressor genes. Investigations of PHF1 reveal its potential as a biomarker and therapeutic target connecting its modulation to disease outcomes and treatment strategies.

Product protocols

For this product, it's our understanding that no specific protocols are required. You can visit:

Target data

Polycomb group (PcG) that specifically binds histone H3 trimethylated at 'Lys-36' (H3K36me3) and recruits the PRC2 complex. Involved in DNA damage response and is recruited at double-strand breaks (DSBs). Acts by binding to H3K36me3, a mark for transcriptional activation, and recruiting the PRC2 complex : it is however unclear whether recruitment of the PRC2 complex to H3K36me3 leads to enhance or inhibit H3K27me3 methylation mediated by the PRC2 complex. According to some reports, PRC2 recruitment by PHF1 promotes H3K27me3 and subsequent gene silencing by inducing spreading of PRC2 and H3K27me3 into H3K36me3 loci (PubMed : 18285464, PubMed : 23273982). According to another report, PHF1 recruits the PRC2 complex at double-strand breaks (DSBs) and inhibits the activity of PRC2 (PubMed : 23142980). Regulates p53/TP53 stability and prolonges its turnover : may act by specifically binding to a methylated from of p53/TP53.
See full target information PHF1

Publications (17)

Recent publications for all applications. Explore the full list and refine your search

Alzheimer's & dementia : the journal of the Alzheimer's Association 20:8758-8768 PubMed39439289

2024

Microscopy assessment of a fluorescence [F] flortaucipir analog (T726) shows neuropathological overlap with 3R and 4R tau lesions.

Applications

Unspecified application

Species

Unspecified reactive species

Rodolfo G Gatto,Youssef Hossam,R Ross Reichard,Val J Lowe,Jennifer L Whitwell,Keith A Josephs

Cell death & disease 14:385 PubMed37385994

2023

High glucose induces tau hyperphosphorylation in hippocampal neurons via inhibition of ALKBH5-mediated Dgkh mA demethylation: a potential mechanism for diabetic cognitive dysfunction.

Applications

Unspecified application

Species

Unspecified reactive species

Minli Qu,Linhui Zuo,Mengru Zhang,Peng Cheng,Zhanjun Guo,Junya Yang,Changjun Li,Jing Wu

Cell death discovery 8:354 PubMed35945194

2022

Down-regulated m6A reader FTO destabilizes PHF1 that triggers enhanced stemness capacity and tumor progression in lung adenocarcinoma.

Applications

Unspecified application

Species

Unspecified reactive species

Jinfeng Ning,Fengjiao Wang,Jianlong Bu,Kaibin Zhu,Wei Liu

Neural regeneration research 18:183-188 PubMed35799540

2022

Icariin ameliorates memory deficits through regulating brain insulin signaling and glucose transporters in 3×Tg-AD mice.

Applications

Unspecified application

Species

Unspecified reactive species

Fei Yan,Ju Liu,Mei-Xiang Chen,Ying Zhang,Sheng-Jiao Wei,Hai Jin,Jing Nie,Xiao-Long Fu,Jing-Shan Shi,Shao-Yu Zhou,Feng Jin

Frontiers in aging neuroscience 14:921573 PubMed35847683

2022

Patient-Derived Fibroblasts With Presenilin-1 Mutations, That Model Aspects of Alzheimer's Disease Pathology, Constitute a Potential Object for Early Diagnosis.

Applications

Unspecified application

Species

Unspecified reactive species

Gustavo Lopez-Toledo,Maria-Del-Carmen Silva-Lucero,Jorge Herrera-Díaz,David-Erasmo García,José-Antonio Arias-Montaño,Maria-Del-Carmen Cardenas-Aguayo

Signal transduction and targeted therapy 7:176 PubMed35691989

2022

Chimeric cerebral organoids reveal the essentials of neuronal and astrocytic APOE4 for Alzheimer's tau pathology.

Applications

Unspecified application

Species

Unspecified reactive species

Shichao Huang,Zhen Zhang,Junwei Cao,Yongchun Yu,Gang Pei

Neural regeneration research 16:2078-2085 PubMed33642397

2021

Combined treatment with valproic acid and estrogen has neuroprotective effects in ovariectomized mice with Alzheimer's disease.

Applications

Unspecified application

Species

Unspecified reactive species

Yan-Zhen Li,Yuan-Jie Liu,Wei Zhang,Shi-Fang Luo,Xin Zhou,Gui-Qiong He

Evidence-based complementary and alternative medic 2020:1428752 PubMed32382276

2020

Preventive Electroacupuncture Ameliorates D-Galactose-Induced Alzheimer's Disease-Like Pathology and Memory Deficits Probably via Inhibition of GSK3/mTOR Signaling Pathway.

Applications

Unspecified application

Species

Unspecified reactive species

Chao-Chao Yu,Jia Wang,Si-Si Ye,Shan Gao,Jia Li,Li Wang,Tao Jiang,Xue-Song Wang,Bo-Cun Li,Qing Shu,Wei Lu,Yan-Jun Du,Li-Hong Kong

PeerJ 8:e8955 PubMed32341897

2020

Icariin protects against sodium azide-induced neurotoxicity by activating the PI3K/Akt/GSK-3β signaling pathway.

Applications

Unspecified application

Species

Unspecified reactive species

Ying Zhang,Nanqu Huang,Hao Lu,Juan Huang,Hai Jin,Jingshan Shi,Feng Jin

Molecular & cellular proteomics : MCP 19:245-260 PubMed31792072

2019

Interaction Proteomics Identifies ERbeta Association with Chromatin Repressive Complexes to Inhibit Cholesterol Biosynthesis and Exert An Oncosuppressive Role in Triple-negative Breast Cancer.

Applications

Unspecified application

Species

Unspecified reactive species

Elena Alexandrova,Giorgio Giurato,Pasquale Saggese,Giovanni Pecoraro,Jessica Lamberti,Maria Ravo,Francesca Rizzo,Domenico Rocco,Roberta Tarallo,Tuula A Nyman,Francesca Collina,Monica Cantile,Maurizio Di Bonito,Gerardo Botti,Giovanni Nassa,Alessandro Weisz
View all publications

Product promise

We are committed to supporting your work with high-quality reagents, and we're here for you every step of the way. In the unlikely event that one of our products does not perform as expected, you're protected by our Product Promise.
For full details, please see our Terms & Conditions

Please note: All products are 'FOR RESEARCH USE ONLY. NOT FOR USE IN DIAGNOSTIC OR THERAPEUTIC PROCEDURES'.

For licensing inquiries, please contact partnerships@abcam.com