JavaScript is disabled in your browser. Please enable JavaScript to view this website.
AB242386

Anti-PHD1/prolyl hydroxylase antibody [EPR2746] - BSA and Azide free

Be the first to review this product! Submit a review

|

(1 Publication)

Rabbit Recombinant Monoclonal PHD1/prolyl hydroxylase antibody. Carrier free. Suitable for IHC-P, WB, ICC/IF, Flow Cyt (Intra) and reacts with Human, Mouse, Rat samples. Cited in 1 publication.

View Alternative Names

EIT6, EGLN2, Prolyl hydroxylase EGLN2, Egl nine homolog 2, Estrogen-induced tag 6, HPH-3, Hypoxia-inducible factor prolyl hydroxylase 1, Prolyl hydroxylase domain-containing protein 1, EIT-6, HIF-PH1, HIF-prolyl hydroxylase 1, HPH-1, PHD1

7 Images
Flow Cytometry (Intracellular) - Anti-PHD1/prolyl hydroxylase antibody [EPR2746] - BSA and Azide free (AB242386)
  • Flow Cyt (Intra)

Unknown

Flow Cytometry (Intracellular) - Anti-PHD1/prolyl hydroxylase antibody [EPR2746] - BSA and Azide free (AB242386)

Intracellular Flow Cytometry analysis of HeLa (Human cervix adenocarcinoma epithelial cell) cells labeling PHD1/prolyl hydroxylase with Purified ab113077 at 1/30 dilution (10μg/ml) (red). Cells were fixed with 4% Paraformaldehyde. A Goat anti rabbit IgG (Alexa Fluor® 488, ab150077) secondary antibody was used at 1/2000. Isotype control - Rabbit monoclonal IgG (Black). Unlabeled control - Cell without incubation with primary antibody and secondary antibody (Blue).

This data was developed using the same antibody clone in a different buffer formulation containing PBS, BSA, glycerol, and sodium azide (ab113077).

Immunohistochemistry (Formalin/PFA-fixed paraffin-embedded sections) - Anti-PHD1/prolyl hydroxylase antibody [EPR2746] - BSA and Azide free (AB242386)
  • IHC-P

Unknown

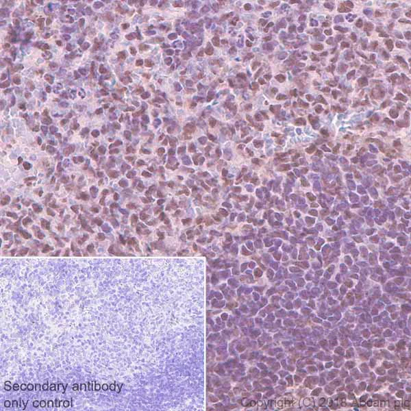
Immunohistochemistry (Formalin/PFA-fixed paraffin-embedded sections) - Anti-PHD1/prolyl hydroxylase antibody [EPR2746] - BSA and Azide free (AB242386)

Immunohistochemistry (Formalin/PFA-fixed paraffin-embedded sections) analysis of Human breast cancer tissue sections labeling PHD1/prolyl hydroxylase with Purified ab113077 at 1 : 50 dilution (5.14 μg/ml). Heat mediated antigen retrieval was performed using ab93684 (Tris/EDTA buffer, pH 9.0). ImmunoHistoProbe one step HRP Polymer (ready to use)was used as the secondary antibody. Negative control : PBS instead of the primary antibody. Hematoxylin was used as a counterstain.

This data was developed using the same antibody clone in a different buffer formulation containing PBS, BSA, glycerol, and sodium azide (ab113077).

Immunohistochemistry (Formalin/PFA-fixed paraffin-embedded sections) - Anti-PHD1/prolyl hydroxylase antibody [EPR2746] - BSA and Azide free (AB242386)
  • IHC-P

Unknown

Immunohistochemistry (Formalin/PFA-fixed paraffin-embedded sections) - Anti-PHD1/prolyl hydroxylase antibody [EPR2746] - BSA and Azide free (AB242386)

ab113077, at a 1/100 dilution, staining PHD1/prolyl hydroxylase in paraffin-embedded Human lung carcinoma tissue by Immunohistochemistry.

This data was developed using the same antibody clone in a different buffer formulation containing PBS, BSA, glycerol, and sodium azide (ab113077).

This image was generated using the unpurified version of the product.

Heat mediated antigen retrieval was performed before commencing with IHC staining protocol.

Immunohistochemistry (Formalin/PFA-fixed paraffin-embedded sections) - Anti-PHD1/prolyl hydroxylase antibody [EPR2746] - BSA and Azide free (AB242386)
  • IHC-P

Unknown

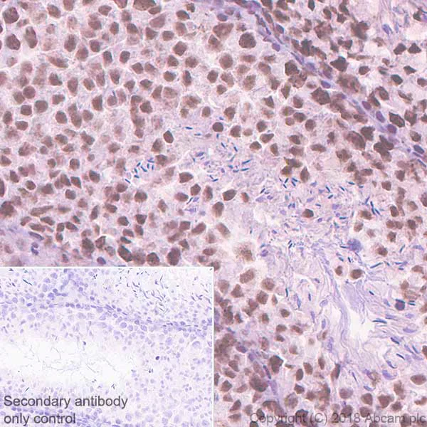
Immunohistochemistry (Formalin/PFA-fixed paraffin-embedded sections) - Anti-PHD1/prolyl hydroxylase antibody [EPR2746] - BSA and Azide free (AB242386)

Immunohistochemistry (Formalin/PFA-fixed paraffin-embedded sections) analysis of Rat spleen tissue sections labeling PHD1/prolyl hydroxylase with Purified ab113077 at 1 : 50 dilution (5.14 μg/ml). Heat mediated antigen retrieval was performed using ab93684 (Tris/EDTA buffer, pH 9.0). ImmunoHistoProbe one step HRP Polymer (ready to use)was used as the secondary antibody. Negative control : PBS instead of the primary antibody. Hematoxylin was used as a counterstain.

This data was developed using the same antibody clone in a different buffer formulation containing PBS, BSA, glycerol, and sodium azide (ab113077).

Immunocytochemistry/ Immunofluorescence - Anti-PHD1/prolyl hydroxylase antibody [EPR2746] - BSA and Azide free (AB242386)
  • ICC/IF

Lab

Immunocytochemistry/ Immunofluorescence - Anti-PHD1/prolyl hydroxylase antibody [EPR2746] - BSA and Azide free (AB242386)

Immunocytochemistry/ Immunofluorescence analysis of HeLa (human cervix adenocarcinoma epithelial cell) cells labeling PHD1/prolyl hydroxylase with purified ab113077 at 1/50 dilution (5 μg/mL). Cells were fixed in 4% Paraformaldehyde and permeabilized with 0.1% tritonX-100. Cells were counterstained with ab195889 Anti-alpha Tubulin antibody [DM1A] - Microtubule Marker (Alexa Fluor® 594) 1/200 (2.5 μg/mL). Goat anti rabbit IgG (Alexa Fluor® 488, ab150077) was used as the secondary antibody at 1/1000 (2 μg/mL) dilution. DAPI (blue) was used as nuclear counterstain. ab195889 Anti-alpha Tubulin antibody [DM1A] - Microtubule Marker (Alexa Fluor® 594) 1/200 (2.5 μg/mL) was used as the secondary antibody only control.

This data was developed using the same antibody clone in a different buffer formulation containing PBS, BSA, glycerol, and sodium azide (ab113077).

Immunohistochemistry (Formalin/PFA-fixed paraffin-embedded sections) - Anti-PHD1/prolyl hydroxylase antibody [EPR2746] - BSA and Azide free (AB242386)
  • IHC-P

Unknown

Immunohistochemistry (Formalin/PFA-fixed paraffin-embedded sections) - Anti-PHD1/prolyl hydroxylase antibody [EPR2746] - BSA and Azide free (AB242386)

Immunohistochemistry (Formalin/PFA-fixed paraffin-embedded sections) analysis of Mouse testis tissue sections labeling PHD1/prolyl hydroxylase with Purified ab113077 at 1 : 50 dilution (5.14 μg/ml). Heat mediated antigen retrieval was performed using ab93684 (Tris/EDTA buffer, pH 9.0). ImmunoHistoProbe one step HRP Polymer (ready to use)was used as the secondary antibody. Negative control : PBS instead of the primary antibody. Hematoxylin was used as a counterstain.

This data was developed using the same antibody clone in a different buffer formulation containing PBS, BSA, glycerol, and sodium azide (ab113077).

Immunohistochemistry (Formalin/PFA-fixed paraffin-embedded sections) - Anti-PHD1/prolyl hydroxylase antibody [EPR2746] - BSA and Azide free (AB242386)
  • IHC-P

Unknown

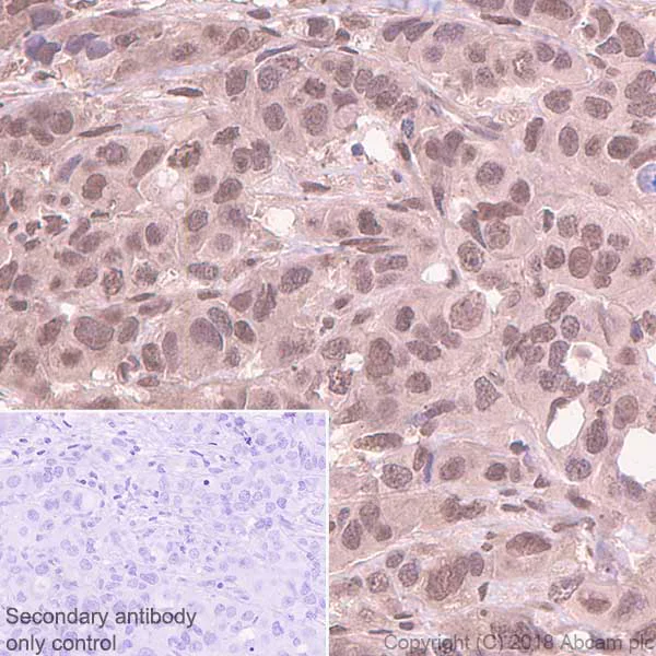
Immunohistochemistry (Formalin/PFA-fixed paraffin-embedded sections) - Anti-PHD1/prolyl hydroxylase antibody [EPR2746] - BSA and Azide free (AB242386)

ab113077, at a 1/100 dilution, staining PHD1/prolyl hydroxylase in paraffin-embedded Human breast carcinoma tissue by Immunohistochemistry.

This data was developed using the same antibody clone in a different buffer formulation containing PBS, BSA, glycerol, and sodium azide (ab113077)

This image was generated using the unpurified version of the product.

Heat mediated antigen retrieval was performed before commencing with IHC staining protocol.

  • Unconjugated

    Anti-PHD1/prolyl hydroxylase antibody [EPR2746]

  • 519 Alexa Fluor® 488

    Alexa Fluor® 488 Anti-PHD1/prolyl hydroxylase antibody [EPR2746]

  • 665 Alexa Fluor® 647

    Alexa Fluor® 647 Anti-PHD1/prolyl hydroxylase antibody [EPR2746]

  • 565 Alexa Fluor® 555

    Alexa Fluor® 555 Anti-PHD1/prolyl hydroxylase antibody [EPR2746]

  • 617 Alexa Fluor® 594

    Alexa Fluor® 594 Anti-PHD1/prolyl hydroxylase antibody [EPR2746]

  • 578 PE

    PE Anti-PHD1/prolyl hydroxylase antibody [EPR2746]

  • 660 APC

    APC Anti-PHD1/prolyl hydroxylase antibody [EPR2746]

  • 775 Alexa Fluor® 750

    Alexa Fluor® 750 Anti-PHD1/prolyl hydroxylase antibody [EPR2746]

Key facts

Host species

Rabbit

Clonality

Monoclonal

Clone number

EPR2746

Isotype

IgG

Carrier free

Yes

Reacts with

Mouse, Rat, Human

Applications

Flow Cyt (Intra), WB, ICC/IF, IHC-P

applications

Immunogen

The exact immunogen used to generate this antibody is proprietary information.

Reactivity data

{ "title": "Reactivity Data", "filters": { "stats": ["", "Species", "Dilution Info", "Notes"], "tabs": { "all-applications": {"fullname" : "All Applications", "shortname": "All Applications"}, "IHCP" : {"fullname" : "Immunohistochemistry (Formalin/PFA-fixed paraffin-embedded sections)", "shortname":"IHC-P"}, "WB" : {"fullname" : "Western blot", "shortname":"WB"}, "ICCIF" : {"fullname" : "Immunocytochemistry/ Immunofluorescence", "shortname":"ICC/IF"}, "FlowCytIntra" : {"fullname" : "Flow Cytometry (Intracellular)", "shortname":"Flow Cyt (Intra)"} }, "product-promise": { "all": "all", "testedAndGuaranteed": "tested", "guaranteed": "expected", "predicted": "predicted", "notRecommended": "not-recommended" } }, "values": { "Human": { "IHCP-species-checked": "testedAndGuaranteed", "IHCP-species-dilution-info": "", "IHCP-species-notes": "<p>Heat up to 98 degrees C, below boiling, and then let cool for 10-20 min</p> Perform heat-mediated antigen retrieval before commencing with IHC staining protocol.", "WB-species-checked": "guaranteed", "WB-species-dilution-info": "", "WB-species-notes": "<p></p>", "ICCIF-species-checked": "testedAndGuaranteed", "ICCIF-species-dilution-info": "", "ICCIF-species-notes": "<p></p>", "FlowCytIntra-species-checked": "testedAndGuaranteed", "FlowCytIntra-species-dilution-info": "", "FlowCytIntra-species-notes": "<p></p>" }, "Mouse": { "IHCP-species-checked": "predicted", "IHCP-species-dilution-info": "", "IHCP-species-notes": "", "WB-species-checked": "guaranteed", "WB-species-dilution-info": "", "WB-species-notes": "<p></p>", "ICCIF-species-checked": "predicted", "ICCIF-species-dilution-info": "", "ICCIF-species-notes": "", "FlowCytIntra-species-checked": "predicted", "FlowCytIntra-species-dilution-info": "", "FlowCytIntra-species-notes": "" }, "Rat": { "IHCP-species-checked": "predicted", "IHCP-species-dilution-info": "", "IHCP-species-notes": "", "WB-species-checked": "guaranteed", "WB-species-dilution-info": "", "WB-species-notes": "<p></p>", "ICCIF-species-checked": "predicted", "ICCIF-species-dilution-info": "", "ICCIF-species-notes": "", "FlowCytIntra-species-checked": "predicted", "FlowCytIntra-species-dilution-info": "", "FlowCytIntra-species-notes": "" } } }

Product details

ab242386 is the carrier-free version of ab113077.

Patented technology
Our RabMAb® technology is a patented hybridoma-based technology for making rabbit monoclonal antibodies. For details on our patents, please refer to RabMAb® patents.

What are the advantages of a recombinant monoclonal antibody?
This product is a recombinant monoclonal antibody, which offers several advantages including:

  • - High batch-to-batch consistency and reproducibility
  • - Improved sensitivity and specificity
  • - Long-term security of supply
  • - Animal-free batch production

For more information, read more on recombinant antibodies.

Conjugation ready
Our carrier-free antibodies are typically supplied in a PBS-only formulation, purified and free of BSA, sodium azide and glycerol. This conjugation-ready format is designed for use with fluorochromes, metal isotopes, oligonucleotides, and enzymes, which makes them ideal for antibody labelling, functional and cell-based assays, flow-based assays (e.g. mass cytometry) and Multiplex Imaging applications.

Use our conjugation kits for antibody conjugates that are ready-to-use in as little as 20 minutes with 1 minute hands-on-time and 100% antibody recovery: available for fluorescent dyes, HRP, biotin and gold.

Compatibility
This product is compatible with the Maxpar® Antibody Labeling Kit from Fluidigm, without the need for antibody preparation. Maxpar® is a trademark of Fluidigm Canada Inc.

Properties and storage information

Form
Liquid
Purification technique
Affinity purification Protein A
Storage buffer
pH: 7.2 - 7.4 Constituents: PBS
Shipped at conditions
Blue Ice
Appropriate short-term storage conditions
+4°C
Appropriate long-term storage conditions
+4°C
Storage information
Do Not Freeze

Supplementary information

This supplementary information is collated from multiple sources and compiled automatically.

Prolyl hydroxylase 1 (PHD1) also known as EGLN2 is an enzyme that hydroxylates specific proline residues within target proteins. This process of prolyl hydroxylation is critical for regulating protein stability. PHD1 shares structural similarities with other members of the 2-oxoglutarate-dependent dioxygenase family and includes a conserved iron-binding motif essential for its enzymatic activity. PHD1 has a molecular mass of approximately 46 kDa and is expressed in a variety of tissues with notable presence in skeletal muscle heart and the liver.
Biological function summary

PHD1 modulates the stability of the hypoxia-inducible factor (HIF) proteins which are key regulators of oxygen homeostasis in the cell. Under normoxic conditions PHD1 hydroxylates specific proline residues on HIF-alpha marking it for degradation via the ubiquitin-proteasome pathway. This enzyme does not function as part of a larger protein complex but it plays a pivotal role in determining the cellular response to oxygen levels. Additionally PHD1 expression affects the metabolic adaptation processes and energy expenditure in cells.

Pathways

PHD1 plays a role in the cellular response to hypoxia and is integral to the HIF signaling pathway. It interacts directly with HIF-alpha subunits mediating their degradation under normal oxygen conditions to ensure HIF activity remains inhibited. Additionally PHD1 is indirectly involved in modulating the angiogenesis pathway as it influences the availability of HIF-related transcription factors which promote transcription of vascular endothelial growth factor (VEGF) under low oxygen conditions. The interplay between PHD1 PHD2 and PHD3 ensures a fine-tuned regulation of the HIF pathway based on oxygen availability.

PHD1 has links to cancer progression and ischemic conditions. The enzyme’s activity is often altered in response to the aberrant hypoxic signaling found within tumors impacting cellular proliferation and survival. In ischemic conditions reduced PHD1 activity leads to stabilization of HIF proteins and adaptation responses aimed at tissue survival. Mutations or dysregulation in PHD1 expression have been observed in metabolic syndromes suggesting potential therapeutic targets. Through its control over hypoxia-related proteins PHD1 also interacts with von Hippel-Lindau (VHL) protein which is part of the E3 ubiquitin ligase complex important for HIF-alpha degradation.

Product protocols

For this product, it's our understanding that no specific protocols are required. You can visit:

Target data

Prolyl hydroxylase that mediates hydroxylation of proline residues in target proteins, such as ATF4, IKBKB, CEP192 and HIF1A (PubMed : 11595184, PubMed : 12039559, PubMed : 15925519, PubMed : 16509823, PubMed : 17114296, PubMed : 23932902). Target proteins are preferentially recognized via a LXXLAP motif (PubMed : 11595184, PubMed : 12039559, PubMed : 15925519). Cellular oxygen sensor that catalyzes, under normoxic conditions, the post-translational formation of 4-hydroxyproline in hypoxia-inducible factor (HIF) alpha proteins (PubMed : 11595184, PubMed : 12039559, PubMed : 12181324, PubMed : 15925519, PubMed : 19339211). Hydroxylates a specific proline found in each of the oxygen-dependent degradation (ODD) domains (N-terminal, NODD, and C-terminal, CODD) of HIF1A (PubMed : 11595184, PubMed : 12039559, PubMed : 12181324, PubMed : 15925519). Also hydroxylates HIF2A (PubMed : 11595184, PubMed : 12039559, PubMed : 15925519). Has a preference for the CODD site for both HIF1A and HIF2A (PubMed : 11595184, PubMed : 12039559, PubMed : 15925519). Hydroxylated HIFs are then targeted for proteasomal degradation via the von Hippel-Lindau ubiquitination complex (PubMed : 11595184, PubMed : 12039559, PubMed : 15925519). Under hypoxic conditions, the hydroxylation reaction is attenuated allowing HIFs to escape degradation resulting in their translocation to the nucleus, heterodimerization with HIF1B, and increased expression of hypoxy-inducible genes (PubMed : 11595184, PubMed : 12039559, PubMed : 15925519). EGLN2 is involved in regulating hypoxia tolerance and apoptosis in cardiac and skeletal muscle (PubMed : 11595184, PubMed : 12039559, PubMed : 15925519). Also regulates susceptibility to normoxic oxidative neuronal death (PubMed : 11595184, PubMed : 12039559, PubMed : 15925519). Links oxygen sensing to cell cycle and primary cilia formation by hydroxylating the critical centrosome component CEP192 which promotes its ubiquitination and subsequent proteasomal degradation (PubMed : 23932902). Hydroxylates IKBKB, mediating NF-kappa-B activation in hypoxic conditions (PubMed : 17114296). Also mediates hydroxylation of ATF4, leading to decreased protein stability of ATF4 (By similarity).
See full target information EGLN2

Publications (1)

Recent publications for all applications. Explore the full list and refine your search

Frontiers in cardiovascular medicine 11:1360364 PubMed38576426

2024

SARS-CoV-2 infection of endothelial cells, dependent on flow-induced ACE2 expression, drives hypercytokinemia in a vascularized microphysiological system.

Applications

Unspecified application

Species

Unspecified reactive species

Christopher J Hatch,Sebastian D Piombo,Jennifer S Fang,Johannes S Gach,Makena L Ewald,William K Van Trigt,Brian G Coon,Jay M Tong,Donald N Forthal,Christopher C W Hughes
View all publications

Product promise

We are committed to supporting your work with high-quality reagents, and we're here for you every step of the way. In the unlikely event that one of our products does not perform as expected, you're protected by our Product Promise.
For full details, please see our Terms & Conditions

Please note: All products are 'FOR RESEARCH USE ONLY. NOT FOR USE IN DIAGNOSTIC OR THERAPEUTIC PROCEDURES'.

For licensing inquiries, please contact partnerships@abcam.com