JavaScript is disabled in your browser. Please enable JavaScript to view this website.
AB154637

Anti-PHF10 antibody

Be the first to review this product! Submit a review

|

(5 Publications)

Rabbit Polyclonal PHF10 antibody. Suitable for WB, ICC/IF, IHC-P and reacts with Mouse, Human, Rat samples. Cited in 5 publications. Immunogen corresponding to Recombinant Fragment Protein within Human PHF10 aa 200 to C-terminus.

View Alternative Names

BAF45A, PHF10, PHD finger protein 10, BRG1-associated factor 45a, XAP135, BAF45a

6 Images
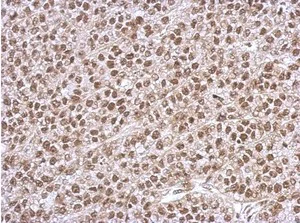
Immunohistochemistry (Formalin/PFA-fixed paraffin-embedded sections) - Anti-PHF10 antibody (AB154637)
  • IHC-P

Unknown

Immunohistochemistry (Formalin/PFA-fixed paraffin-embedded sections) - Anti-PHF10 antibody (AB154637)

Immunohistochemical analysis of paraffin embedded Hela xenograft labeling PHF10 with ab154637 at a 1/500 dilution.

Immunocytochemistry/ Immunofluorescence - Anti-PHF10 antibody (AB154637)
  • ICC/IF

Supplier Data

Immunocytochemistry/ Immunofluorescence - Anti-PHF10 antibody (AB154637)

Immunofluorescence analysis of HeLa cells fixed in 4% paraformaldehyde at RT for 15 min labelling PHF10 protein at nucleus using ab154637 at a 1/500 dilution (Green). Phalloidin, a cytoskeleton marker, was stained at a 1/100 dilution (Red). Hoechst 33342 was used for nuclear staining (Blue).

Immunohistochemistry (Formalin/PFA-fixed paraffin-embedded sections) - Anti-PHF10 antibody (AB154637)
  • IHC-P

Supplier Data

Immunohistochemistry (Formalin/PFA-fixed paraffin-embedded sections) - Anti-PHF10 antibody (AB154637)

Immunohistochemical analysis of paraffin-embedded rat lung) tissue stained for PHF10 protein at nucleus with ab154637 at a 1/500 dilution.

Antigen retrieval : Citrate buffer, pH 6.0, 15 min

Immunohistochemistry (Formalin/PFA-fixed paraffin-embedded sections) - Anti-PHF10 antibody (AB154637)
  • IHC-P

Supplier Data

Immunohistochemistry (Formalin/PFA-fixed paraffin-embedded sections) - Anti-PHF10 antibody (AB154637)

Immunohistochemical analysis of paraffin-embedded mouse lung tissue stained for PHF10 protein at nucleus with ab154637 at a 1/500 dilution.

Antigen retrieval : Citrate buffer, pH 6.0, 15 min

Western blot - Anti-PHF10 antibody (AB154637)
  • WB

Lab

Western blot - Anti-PHF10 antibody (AB154637)

Lanes 1 - 4 : Merged signal (red and green). Green - ab154637 observed at 60 kDa. Red - loading control ab8245 (Mouse anti-GAPDH antibody [6C5]) observed at 37 kDa.

ab154637 was shown to react with PHF10 in wild-type HEK-293 cells in Western blot with loss of signal observed in PHF10 knockout sample. Wild-type HEK-293 and PHF10 knockout cell lysates were subjected to SDS-PAGE. Membranes were blocked in 3 % milk in TBS-T (0.1 % Tween®) before incubation with ab154637 and ab8245 (Mouse anti-GAPDH antibody [6C5]) overnight at 4°C at a 1 in 500 dilution and a 1 in 20000 dilution respectively. Blots were incubated with Goat anti-Rabbit IgG H&L (IRDye® 800CW) preabsorbed (ab216773) and Goat anti-Mouse IgG H&L (IRDye® 680RD) preabsorbed (ab216776) secondary antibodies at 1 in 20000 dilution for 1 h at room temperature before imaging.

All lanes:

Western blot - Anti-PHF10 antibody (ab154637) at 1/500 dilution

Lane 1:

Wild-type HEK-293 (Human epithelial cell line from embryonic kidney) whole cell lysate at 20 µg

Lane 2:

PHF10 knockout HEK-293 (Human epithelial cell line from embryonic kidney) whole cell lysate at 20 µg

Lane 2:

Western blot - Human PHF10 knockout HEK-293 cell line (<a href='/en-us/products/cell-lines/human-phf10-knockout-hek-293-cell-line-ab274904'>ab274904</a>)

Lane 3:

HeLa (Human epithelial cell line from cervix adenocarcinoma) whole cell lysate at 20 µg

Lane 4:

HeLa (Nuclear prepped) cell lysate at 20 µg

Predicted band size: 56 kDa

Observed band size: 54 kDa,60 kDa

false

Western blot - Anti-PHF10 antibody (AB154637)
  • WB

Unknown

Western blot - Anti-PHF10 antibody (AB154637)

10 % SDS-PAGE

All lanes:

Western blot - Anti-PHF10 antibody (ab154637) at 1/1000 dilution

All lanes:

mouse colon lysate/ extract at 50 µg

Predicted band size: 25 kDa,29 kDa,44 kDa,56 kDa

false

Key facts

Host species

Rabbit

Clonality

Polyclonal

Isotype

IgG

Carrier free

No

Reacts with

Mouse, Human, Rat

Applications

ICC/IF, WB, IHC-P

applications

Immunogen

Recombinant Fragment Protein within Human PHF10 aa 200 to C-terminus. The exact immunogen used to generate this antibody is proprietary information.

Q8WUB8

Reactivity data

{ "title": "Reactivity Data", "filters": { "stats": ["", "Species", "Dilution Info", "Notes"], "tabs": { "all-applications": {"fullname" : "All Applications", "shortname": "All Applications"}, "WB" : {"fullname" : "Western blot", "shortname":"WB"}, "ICCIF" : {"fullname" : "Immunocytochemistry/ Immunofluorescence", "shortname":"ICC/IF"}, "IHCP" : {"fullname" : "Immunohistochemistry (Formalin/PFA-fixed paraffin-embedded sections)", "shortname":"IHC-P"} }, "product-promise": { "all": "all", "testedAndGuaranteed": "tested", "guaranteed": "expected", "predicted": "predicted", "notRecommended": "not-recommended" } }, "values": { "Human": { "WB-species-checked": "testedAndGuaranteed", "WB-species-dilution-info": "1/500 - 1/3000", "WB-species-notes": "<p></p>", "ICCIF-species-checked": "testedAndGuaranteed", "ICCIF-species-dilution-info": "1/100 - 1/1000", "ICCIF-species-notes": "<p></p>", "IHCP-species-checked": "testedAndGuaranteed", "IHCP-species-dilution-info": "1/100 - 1/1000", "IHCP-species-notes": "<p></p>" }, "Mouse": { "WB-species-checked": "testedAndGuaranteed", "WB-species-dilution-info": "1/500 - 1/3000", "WB-species-notes": "<p></p>", "ICCIF-species-checked": "guaranteed", "ICCIF-species-dilution-info": "", "ICCIF-species-notes": "", "IHCP-species-checked": "testedAndGuaranteed", "IHCP-species-dilution-info": "1/100 - 1/1000", "IHCP-species-notes": "<p></p>" }, "Rat": { "WB-species-checked": "guaranteed", "WB-species-dilution-info": "", "WB-species-notes": "", "ICCIF-species-checked": "guaranteed", "ICCIF-species-dilution-info": "", "ICCIF-species-notes": "", "IHCP-species-checked": "testedAndGuaranteed", "IHCP-species-dilution-info": "1/100 - 1/1000", "IHCP-species-notes": "<p></p>" } } }

Properties and storage information

Form
Liquid
Purification technique
Affinity purification Immunogen
Storage buffer
pH: 7 Preservative: 0.025% Proclin 300 Constituents: PBS, 20% Glycerol (glycerin, glycerine)
Shipped at conditions
Blue Ice
Appropriate short-term storage conditions
+4°C
Appropriate long-term storage conditions
-20°C
Aliquoting information
Upon delivery aliquot
Storage information
Avoid freeze / thaw cycle

Supplementary information

This supplementary information is collated from multiple sources and compiled automatically.

PHF10 also known as PHD finger protein 10 plays a mechanistic role in chromatin remodeling and gene expression. It exhibits a molecular weight of approximately 50 kDa. Researchers have identified PHF10 as a component of the BAF (BRG1-associated factor) chromatin remodeling complex. It is widely expressed in various tissues including the brain where it contributes to neural development and function. Its expression can have tissue-specific variations that reflect its diverse roles in different cellular contexts.
Biological function summary

PHD finger protein 10 participates in the regulation of gene transcription and chromatin architecture. It functions as part of the BAF complex which orchestrates the dynamic remodeling of chromatin to either activate or repress specific genes. This action facilitates cellular processes like differentiation proliferation and response to environmental signals. PHF10 through its interaction with other BAF complex components influences the accessibility of DNA to transcription factors and other regulatory proteins thereby modulating gene expression patterns in cells.

Pathways

PHF10 integrates into the Wnt signaling pathway which is important for cell proliferation and differentiation as well as the Hedgehog signaling pathway important for developmental processes. Within these pathways PHF10 collaborates closely with proteins such as SMARCA4 a core ATPase subunit of the BAF complex. These pathways play fundamental roles in ensuring proper development and maintaining cellular homeostasis where PHF10 activity impacts both normal cellular function and response to environmental changes.

Dysregulation of PHF10 function associates with neurodevelopmental disorders and certain forms of cancer. Altered PHF10 expression or mutations can disrupt normal chromatin remodeling activities leading to improper gene expression profiles. In the context of neurodevelopmental disorders PHF10 misfunction can impact genes critical for nervous system development. In some cancers abnormal interactions between PHF10 and proteins like SMARCC1 another BAF complex member can result in the derangement of gene regulatory networks therefore promoting oncogenic processes.

Product protocols

For this product, it's our understanding that no specific protocols are required. You can visit:

Target data

Involved in transcription activity regulation by chromatin remodeling. Belongs to the neural progenitors-specific chromatin remodeling complex (npBAF complex) and is required for the proliferation of neural progenitors. During neural development a switch from a stem/progenitor to a post-mitotic chromatin remodeling mechanism occurs as neurons exit the cell cycle and become committed to their adult state. The transition from proliferating neural stem/progenitor cells to post-mitotic neurons requires a switch in subunit composition of the npBAF and nBAF complexes. As neural progenitors exit mitosis and differentiate into neurons, npBAF complexes which contain ACTL6A/BAF53A and PHF10/BAF45A, are exchanged for homologous alternative ACTL6B/BAF53B and DPF1/BAF45B or DPF3/BAF45C subunits in neuron-specific complexes (nBAF). The npBAF complex is essential for the self-renewal/proliferative capacity of the multipotent neural stem cells. The nBAF complex along with CREST plays a role regulating the activity of genes essential for dendrite growth (By similarity).
See full target information PHF10

Publications (5)

Recent publications for all applications. Explore the full list and refine your search

Nature communications 15:9614 PubMed39511190

2024

The BAF complex enhances transcription through interaction with H3K56ac in the histone globular domain.

Applications

Unspecified application

Species

Unspecified reactive species

Kwangbeom Hyun,Jihye Ahn,Hyoungmin Kim,Jihyun Kim,Yong-In Kim,Hee-Sung Park,Robert G Roeder,J Eugene Lee,Jaehoon Kim

Biology direct 18:1 PubMed36631876

2023

M2 macrophage-derived exosomal miR-193b-3p promotes progression and glutamine uptake of pancreatic cancer by targeting TRIM62.

Applications

Unspecified application

Species

Unspecified reactive species

Ke Zhang,Yu-Jie Li,Lin-Jia Peng,Hui-Feng Gao,Lu-Ming Liu,Hao Chen

Nature communications 11:5551 PubMed33144586

2020

Functional characterization of SMARCA4 variants identified by targeted exome-sequencing of 131,668 cancer patients.

Applications

Unspecified application

Species

Unspecified reactive species

Tharu M Fernando,Robert Piskol,Russell Bainer,Ethan S Sokol,Sally E Trabucco,Qing Zhang,Huong Trinh,Sophia Maund,Marc Kschonsak,Subhra Chaudhuri,Zora Modrusan,Thomas Januario,Robert L Yauch

OncoTargets and therapy 13:4533-4544 PubMed32547084

2020

Circ_0001023 Promotes Proliferation and Metastasis of Gastric Cancer Cells Through miR-409-3p/PHF10 Axis.

Applications

Unspecified application

Species

Unspecified reactive species

Yongxiang Wang,Jianbin Zhang,Xiaochen Chen,Liang Gao

Clinical cancer research : an official journal of 25:5156-5166 PubMed31227497

2019

Integrative Copy Number Analysis of Uveal Melanoma Reveals Novel Candidate Genes Involved in Tumorigenesis Including a Tumor Suppressor Role for .

Applications

Unspecified application

Species

Unspecified reactive species

Hima Anbunathan,Ruth Verstraten,Arun D Singh,J William Harbour,Anne M Bowcock
View all publications

Product promise

We are committed to supporting your work with high-quality reagents, and we're here for you every step of the way. In the unlikely event that one of our products does not perform as expected, you're protected by our Product Promise.
For full details, please see our Terms & Conditions

Please note: All products are 'FOR RESEARCH USE ONLY. NOT FOR USE IN DIAGNOSTIC OR THERAPEUTIC PROCEDURES'.

For licensing inquiries, please contact partnerships@abcam.com