JavaScript is disabled in your browser. Please enable JavaScript to view this website.
AB264292

Anti-PHF23 antibody

Be the first to review this product! Submit a review

|

(1 Publication)

Rabbit Polyclonal PHF23 antibody. Suitable for IHC-P, IP, WB and reacts with Human samples. Cited in 1 publication. Immunogen corresponding to Synthetic Peptide within Human PHF23 aa 350 to C-terminus.

View Alternative Names

PHD finger protein 23, PDH-containing protein JUNE-1, PHF23

3 Images
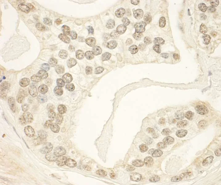
Immunohistochemistry (Formalin/PFA-fixed paraffin-embedded sections) - Anti-PHF23 antibody (AB264292)
  • IHC-P

Unknown

Immunohistochemistry (Formalin/PFA-fixed paraffin-embedded sections) - Anti-PHF23 antibody (AB264292)

Immunohistochemical analysis of formalin-fixed, paraffin-embedded human prostate carcinoma tissue labeling PHF23 with ab264292 at 1/1,000 dilution. Detection : DAB.

Epitope retrieval with citrate buffer pH 6.0 is recommended for FFPE tissue sections.

Immunoprecipitation - Anti-PHF23 antibody (AB264292)
  • IP

Supplier Data

Immunoprecipitation - Anti-PHF23 antibody (AB264292)

PHF23 was immunoprecipitated from 1mg of HeLa (Human epithelial cell line from cervix adenocarcinoma) whole cell lysate with ab264292 at 10 μg/mg lysate. Western blot was performed from the immunoprecipitate using ab264292 at 0.4 μg/ml.

Lane 1 : ab264292 IP in HeLa whole cell lysate.
Lane 2 : Control IgG.

Exposure time : 30 secs.

All lanes:

Immunoprecipitation - Anti-PHF23 antibody (ab264292)

Predicted band size: 44 kDa

false

Western blot - Anti-PHF23 antibody (AB264292)
  • WB

Supplier Data

Western blot - Anti-PHF23 antibody (AB264292)

All lanes:

Western blot - Anti-PHF23 antibody (ab264292) at 0.1 µg/mL

Lane 1:

HeLa whole cell lysate at 50 µg

Lane 2:

HeLa whole cell lysate at 15 µg

Lane 3:

HeLa whole cell lysate at 5 µg

Predicted band size: 44 kDa

true

Exposure time: 30s

Key facts

Host species

Rabbit

Clonality

Polyclonal

Isotype

IgG

Carrier free

No

Reacts with

Human

Applications

IP, IHC-P, WB

applications

Immunogen

Synthetic Peptide within Human PHF23 aa 350 to C-terminus. The exact immunogen used to generate this antibody is proprietary information.

Q9BUL5

Reactivity data

{ "title": "Reactivity Data", "filters": { "stats": ["", "Species", "Dilution Info", "Notes"], "tabs": { "all-applications": {"fullname" : "All Applications", "shortname": "All Applications"}, "IHCP" : {"fullname" : "Immunohistochemistry (Formalin/PFA-fixed paraffin-embedded sections)", "shortname":"IHC-P"}, "IP" : {"fullname" : "Immunoprecipitation", "shortname":"IP"}, "WB" : {"fullname" : "Western blot", "shortname":"WB"} }, "product-promise": { "all": "all", "testedAndGuaranteed": "tested", "guaranteed": "expected", "predicted": "predicted", "notRecommended": "not-recommended" } }, "values": { "Human": { "IHCP-species-checked": "testedAndGuaranteed", "IHCP-species-dilution-info": "1/500 - 1/2000", "IHCP-species-notes": "<p></p> Perform heat-mediated antigen retrieval with citrate buffer pH 6 before commencing with IHC staining protocol.", "IP-species-checked": "testedAndGuaranteed", "IP-species-dilution-info": "10 µg/mg of lysate", "IP-species-notes": "<p></p>", "WB-species-checked": "testedAndGuaranteed", "WB-species-dilution-info": "1/2000 - 1/10000", "WB-species-notes": "<p></p>" }, "Cow": { "IHCP-species-checked": "predicted", "IHCP-species-dilution-info": "", "IHCP-species-notes": "", "IP-species-checked": "predicted", "IP-species-dilution-info": "", "IP-species-notes": "", "WB-species-checked": "predicted", "WB-species-dilution-info": "", "WB-species-notes": "" } } }

Properties and storage information

Form
Liquid
Purification technique
Affinity purification Immunogen
Storage buffer
pH: 7 - 8 Preservative: 0.09% Sodium azide Constituents: Tris citrate/phosphate
Shipped at conditions
Blue Ice
Appropriate short-term storage duration
1-2 weeks
Appropriate short-term storage conditions
+4°C
Appropriate long-term storage conditions
+4°C
Aliquoting information
Upon delivery aliquot
Storage information
Avoid freeze / thaw cycle

Supplementary information

This supplementary information is collated from multiple sources and compiled automatically.

PHF23 also known as Plant Homeodomain Finger 23 is a protein involved in chromatin dynamics and regulation of gene expression. It has a molecular mass of approximately 43 kDa. PHF23 contains a zinc finger domain which is important for its role in binding to histones. The protein expresses in various tissues but shows higher expression levels in certain organs like the brain and testes. Its expression pattern suggests an involvement in critical regulatory processes.
Biological function summary

PHF23 plays a role in the modification of chromatin structure influencing gene transcription. The protein participates in the formation of a complex that is involved in transcriptional repression. It particularly associates with components of the nucleosome acting as a mediator in processes that alter the accessibility of DNA for transcription factors and enzymes. The protein's ability to bind to chromatin allows it to directly impact the epigenetic state of cells.

Pathways

PHF23 is a part of the chromatin remodeling pathway and is involved in the regulation of gene transcription. Its interaction with methylated histones connects it to the pathway of histone modification. It works alongside other proteins like LSD1 which is a lysine-specific demethylase and this collaborative function influences the transcriptional output of the cell. The protein’s actions contribute to maintaining the balance between gene activation and repression which is essential for normal cellular functions.

PHF23 relates to conditions involving abnormal chromatin remodeling such as certain cancers. Its alteration affects the typical transcriptional control which can lead to tumorigenesis. The protein interacts with other proteins including members of the histone demethylase family like KDM1A influencing pathways that become dysregulated in cancerous states. Studies suggest that understanding PHF23's exact role offers potential therapeutic targets for diseases where chromatin misregulation plays an important role.

Product protocols

For this product, it's our understanding that no specific protocols are required. You can visit:

Target data

Acts as a negative regulator of autophagy, through promoting ubiquitination and degradation of LRSAM1, an E3 ubiquitin ligase that promotes autophagy in response to starvation or infecting bacteria.
See full target information PHF23

Publications (1)

Recent publications for all applications. Explore the full list and refine your search

Cell death & disease 14:558 PubMed37626047

2023

PHF23 promotes NSCLC proliferation, metastasis, and chemoresistance via stabilization of ACTN4 and activation of the ERK pathway.

Applications

Unspecified application

Species

Unspecified reactive species

Ming Cheng,Hongyi Cao,Peifeng Yao,Jingqian Guan,Peihong Wu,Hairu Ji,Siyu Jiang,Yinan Yuan,Lin Fu,Qianqian Zheng,Qingchang Li
View all publications

Product promise

We are committed to supporting your work with high-quality reagents, and we're here for you every step of the way. In the unlikely event that one of our products does not perform as expected, you're protected by our Product Promise.
For full details, please see our Terms & Conditions

Please note: All products are 'FOR RESEARCH USE ONLY. NOT FOR USE IN DIAGNOSTIC OR THERAPEUTIC PROCEDURES'.

For licensing inquiries, please contact partnerships@abcam.com