JavaScript is disabled in your browser. Please enable JavaScript to view this website.
AB196810

Anti-PHF3 antibody - C-terminal

Be the first to review this product! Submit a review

|

(0 Publication)

Rabbit Polyclonal PHF3 antibody. C-terminal. Suitable for WB, IHC-P and reacts with Human samples. Immunogen corresponding to Synthetic Peptide within Human PHF3.

View Alternative Names

KIAA0244, PHF3, PHD finger protein 3

2 Images
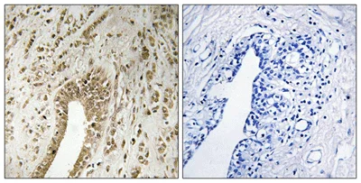
Immunohistochemistry (Formalin/PFA-fixed paraffin-embedded sections) - Anti-PHF3 antibody - C-terminal (AB196810)
  • IHC-P

Supplier Data

Immunohistochemistry (Formalin/PFA-fixed paraffin-embedded sections) - Anti-PHF3 antibody - C-terminal (AB196810)

Immunohistochemical analysis of paraffin-embedded Human breast carcinoma tissue labeling PHF3 with ab196810 at 1/50 dilution.

Western blot - Anti-PHF3 antibody - C-terminal (AB196810)
  • WB

Unknown

Western blot - Anti-PHF3 antibody - C-terminal (AB196810)

All lanes:

Western blot - Anti-PHF3 antibody - C-terminal (ab196810) at 1/500 dilution

Lane 1:

HeLa cell extract

Lane 2:

HeLa cell extract with synthesized peptide

Predicted band size: 229 kDa

false

Key facts

Host species

Rabbit

Clonality

Polyclonal

Isotype

IgG

Carrier free

No

Reacts with

Human

Applications

IHC-P, WB

applications

Immunogen

Synthetic Peptide within Human PHF3. The exact immunogen used to generate this antibody is proprietary information.

Q92576

Reactivity data

{ "title": "Reactivity Data", "filters": { "stats": ["", "Species", "Dilution Info", "Notes"], "tabs": { "all-applications": {"fullname" : "All Applications", "shortname": "All Applications"}, "WB" : {"fullname" : "Western blot", "shortname":"WB"}, "IHCP" : {"fullname" : "Immunohistochemistry (Formalin/PFA-fixed paraffin-embedded sections)", "shortname":"IHC-P"} }, "product-promise": { "all": "all", "testedAndGuaranteed": "tested", "guaranteed": "expected", "predicted": "predicted", "notRecommended": "not-recommended" } }, "values": { "Human": { "WB-species-checked": "testedAndGuaranteed", "WB-species-dilution-info": "1/500 - 1/3000", "WB-species-notes": "<p></p>", "IHCP-species-checked": "testedAndGuaranteed", "IHCP-species-dilution-info": "1/50 - 1/100", "IHCP-species-notes": "<p></p>" } } }

Properties and storage information

Form
Liquid
Purification technique
Affinity purification Immunogen
Purification notes
ab196810 was affinity-purified from rabbit antiserum by affinity-chromatography using epitope-specific immunogen.
Storage buffer
pH: 7.4 Preservative: 0.02% Sodium azide Constituents: 50% Glycerol (glycerin, glycerine), 49% PBS, 0.87% Sodium chloride
Shipped at conditions
Blue Ice
Appropriate short-term storage duration
1-2 weeks
Appropriate short-term storage conditions
+4°C
Appropriate long-term storage conditions
-20°C
Aliquoting information
Upon delivery aliquot
Storage information
Avoid freeze / thaw cycle

Supplementary information

This supplementary information is collated from multiple sources and compiled automatically.

PHF3 also known as PHD finger protein 3 acts as a transcriptional regulator and is involved in chromatin remodeling. The protein possesses a mass of approximately 91 kDa. PHF3 contains a PHD (plant homeodomain) finger which interacts with other proteins and plays a role in modulating transcription. Researchers have observed its expression predominantly in the brain indicating its relevance to neuronal function and development.
Biological function summary

PHF3 functions in regulating gene expression by interacting with transcription factors and chromatin-associated proteins. It becomes a part of the transcriptional machinery potentially influencing RNA polymerase II activity. PHF3 associates with large protein complexes involved in chromatin structure modification affecting how genes open up for transcription. Its association with these complexes suggests a significant role in integrating external signals into epigenetic changes.

Pathways

PHF3 features in cellular pathways related to transcription regulation and chromatin dynamics. It plays a role in the gene expression pathway alongside RNA polymerase II. PHF3 interacts with related proteins such as SETD1A and other transcriptional regulators. These interactions suggest its involvement in pathways controlling cellular differentiation and response to external stimuli contributing to its effects on gene expression.

PHF3 has connections to neurological conditions such as schizophrenia and intellectual disability. Studies suggest that alterations in PHF3 expression or function may contribute to these disorders. The impact of PHF3 in these conditions links to its interaction with other proteins like CTCF which also play roles in neurological development and function. Understanding PHF3's molecular dynamics could provide insights into therapeutic strategies for these complex disorders.

Product protocols

For this product, it's our understanding that no specific protocols are required. You can visit:

Product promise

We are committed to supporting your work with high-quality reagents, and we're here for you every step of the way. In the unlikely event that one of our products does not perform as expected, you're protected by our Product Promise.
For full details, please see our Terms & Conditions

Please note: All products are 'FOR RESEARCH USE ONLY. NOT FOR USE IN DIAGNOSTIC OR THERAPEUTIC PROCEDURES'.

For licensing inquiries, please contact partnerships@abcam.com