JavaScript is disabled in your browser. Please enable JavaScript to view this website.
AB280887

Anti-PHF8 antibody [EPR23913-57]

  • BOND RX™ Validated
  • 20ul selling size
  • RabMAb
  • Recombinant
  • KO Validated
  • What is this?

Be the first to review this product! Submit a review

|

(2 Publications)

Knockout Tested Rabbit Recombinant Monoclonal PHF8 antibody. Suitable for IP, WB, IHC-P and reacts with Human, Rat, Mouse samples. Cited in 2 publications.

View Alternative Names

KIAA1111, ZNF422, PHF8, Histone lysine demethylase PHF8, PHD finger protein 8, [histone H3]-dimethyl-L-lysine(36) demethylase PHF8, [histone H3]-dimethyl-L-lysine(9) demethylase PHF8

9 Images
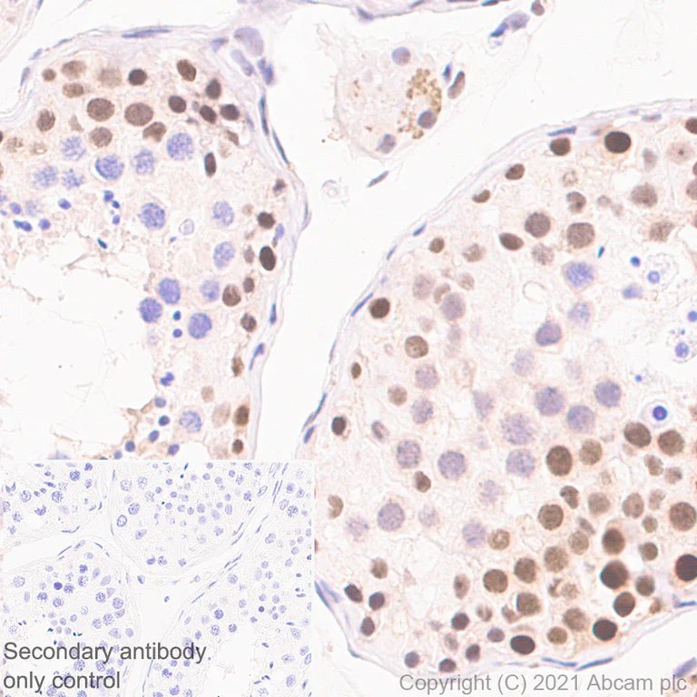
Immunohistochemistry (Formalin/PFA-fixed paraffin-embedded sections) - Anti-PHF8 antibody [EPR23913-57] (AB280887)
  • IHC-P

Supplier Data

Immunohistochemistry (Formalin/PFA-fixed paraffin-embedded sections) - Anti-PHF8 antibody [EPR23913-57] (AB280887)

Immunohistochemical analysis of paraffin-embedded mouse testis tissue labelling PHF8 with ab280887 at 1/500 (1.066 μg/ml) dilution followed by a ready to use Rabbit specific IHC polymer detection kit HRP/DAB (ab209101). Nuclear staining on mouse testis. The section was incubated with ab280887 for 30 mins at room temperature. The immunostaining was performed on a Leica Biosystems BOND RX instrument. Counterstained with Hematoxylin.

Secondary antibody only control : Secondary antibody is a ready to use Rabbit specific IHC polymer detection kit HRP/DAB (ab209101).

Heat mediated antigen retrieval with Tris-EDTA buffer (pH 9.0, epitope retrieval solution2) for 20 mins.

Western blot - Anti-PHF8 antibody [EPR23913-57] (AB280887)
  • WB

Lab

Western blot - Anti-PHF8 antibody [EPR23913-57] (AB280887)

Blocking and diluting buffer and concentration : 5% NFDM/TBST

The observed MW is consistent with what has been described in the literature (PMID : 27183383 ).

Low expression : U-2 OS (PMID : 27183383)

Lysates were made freshly and used in WB test immediately to minimize protein degradation.

Exposure time : 81 seconds

All lanes:

Western blot - Anti-PHF8 antibody [EPR23913-57] (ab280887) at 1/1000 dilution

Lane 1:

HEK-293T (human embryonic kidney epithelial cell) whole cell lysate at 20 µg

Lane 2:

U-2 OS (human bone osteosarcoma epithelial cell) whole cell lysate at 20 µg

Secondary

All lanes:

Western blot - Goat Anti-Rabbit IgG H&L (HRP) (<a href='/en-us/products/secondary-antibodies/goat-rabbit-igg-h-l-hrp-ab97051'>ab97051</a>) at 1/100000 dilution

Predicted band size: 117 kDa

Observed band size: 135-140 kDa

false

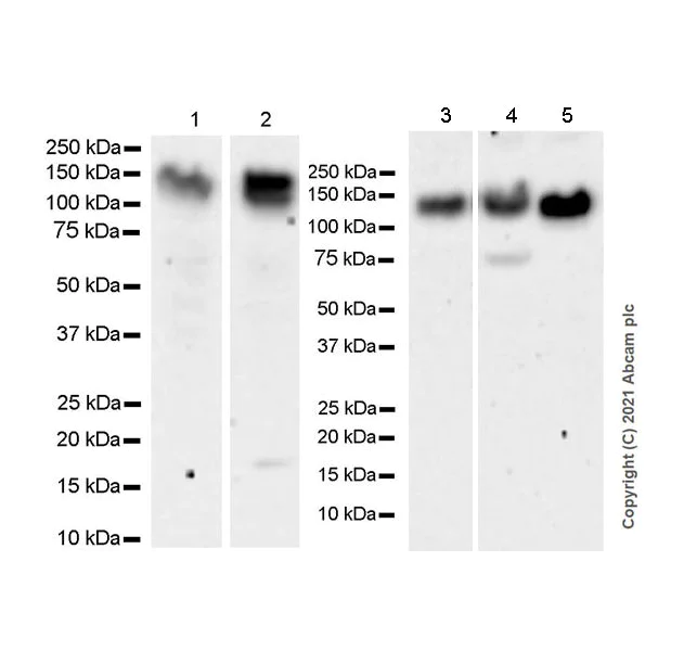
Western blot - Anti-PHF8 antibody [EPR23913-57] (AB280887)
  • WB

Lab

Western blot - Anti-PHF8 antibody [EPR23913-57] (AB280887)

Blocking and diluting buffer and concentration : 5% NFDM/TBST.

The observed MW is consistent with what has been described in the literature (PMID : 25047223).

Lysates (lane 3-5) were made freshly and used in WB test immediately to minimize protein degradation.

Exposure time : Lane 1-2 : 158 seconds; Lane 3-5 : 125 seconds.

All lanes:

Western blot - Anti-PHF8 antibody [EPR23913-57] (ab280887) at 1/1000 dilution

Lane 1:

Mouse testis tissue lysate at 20 µg

Lane 2:

Rat testis tissue lysate at 20 µg

Lane 3:

HeLa (human cervix adenocarcinoma epithelial cell) whole cell lysate at 20 µg

Lane 4:

NIH/3T3 (mouse embryonic fibroblast) whole cell lysate at 20 µg

Lane 5:

PC-12 (rat adrenal gland pheochromocytoma) whole cell lysate at 20 µg

Secondary

All lanes:

Western blot - Goat Anti-Rabbit IgG H&L (HRP) (<a href='/en-us/products/secondary-antibodies/goat-rabbit-igg-h-l-hrp-ab97051'>ab97051</a>) at 1/100000 dilution

Predicted band size: 117 kDa

Observed band size: 135-140 kDa

false

Western blot - Anti-PHF8 antibody [EPR23913-57] (AB280887)
  • WB

Lab

Western blot - Anti-PHF8 antibody [EPR23913-57] (AB280887)

False colour image of Western blot : Anti-PHF8 antibody [EPR23913-57] staining at 1/1000 dilution, shown in green; Mouse anti-Alpha Tubulin [DM1A] (ab7291) loading control staining at 1/20000 dilution, shown in red. In Western blot, ab280887 was shown to bind specifically to PHF8. A band was observed at 130 kDa in wild-type HEK-293 cell lysates with no signal observed at this size in PHF8 knockout cell line ab280058 (knockout cell lysate ab280117). To generate this image, wild-type and PHF8 knockout HEK-293 cell lysates were analysed. First, samples were run on an SDS-PAGE gel then transferred onto a nitrocellulose membrane. Membranes were blocked in 3 % milk in TBS-0.1 % Tween® 20 (TBS-T) before incubation with primary antibodies overnight at 4 °C. Blots were washed four times in TBS-T, incubated with secondary antibodies for 1 h at room temperature, washed again four times then imaged. Secondary antibodies used were Goat anti-Rabbit IgG H&L 800CW and Goat anti-Mouse IgG H&L 680RD at 1/20000 dilution.

All lanes:

Western blot - Anti-PHF8 antibody [EPR23913-57] (ab280887) at 1/1000 dilution

Lane 1:

Wild-type HEK-293 cell lysate

Lane 2:

PHF8 knockout HEK-293 cell lysate

Lane 3:

Jurkat cell lysate

Lane 4:

HeLa cell lysate

Secondary

Lanes 1 - 4:

Goat anti-Rabbit IgG H&L 800CW at 1/20000 dilution

Lanes 1 - 4:

Goat anti-Mouse IgG H&L 680RD at 1/20000 dilution

Observed band size: 130 kDa

false

Immunohistochemistry (Formalin/PFA-fixed paraffin-embedded sections) - Anti-PHF8 antibody [EPR23913-57] (AB280887)
  • IHC-P

Supplier Data

Immunohistochemistry (Formalin/PFA-fixed paraffin-embedded sections) - Anti-PHF8 antibody [EPR23913-57] (AB280887)

Immunohistochemical analysis of paraffin-embedded rat colon tissue labelling PHF8 with ab280887 at 1/500 (1.066 μg/ml) dilution followed by ready to use Rabbit specific IHC polymer detection kit HRP/DAB (ab209101). Nuclear staining on rat colon. The section was incubated with ab280887 for 30 mins at room temperature. The immunostaining was performed on a Leica Biosystems BOND RX instrument. Counterstained with Hematoxylin.

Secondary antibody only control : Secondary antibody is a ready to use Rabbit specific IHC polymer detection kit HRP/DAB (ab209101).

Heat mediated antigen retrieval with Tris-EDTA buffer (pH 9.0, epitope retrieval solution2) for 20 mins.

Immunohistochemistry (Formalin/PFA-fixed paraffin-embedded sections) - Anti-PHF8 antibody [EPR23913-57] (AB280887)
  • IHC-P

Supplier Data

Immunohistochemistry (Formalin/PFA-fixed paraffin-embedded sections) - Anti-PHF8 antibody [EPR23913-57] (AB280887)

Immunohistochemical analysis of paraffin-embedded human testis tissue labelling PHF8 with ab280887 at 1/200 (1.066 μg/ml) dilution followed by a ready to use Rabbit specific IHC polymer detection kit HRP/DAB (ab209101). Nuclear staining on human testis. The section was incubated with ab280887 for 30 mins at room temperature. The immunostaining was performed on a Leica Biosystems BOND RX instrument. Counterstained with Hematoxylin.

Secondary antibody only control : Secondary antibody is ready to use Rabbit specific IHC polymer detection kit HRP/DAB (ab209101).

Heat mediated antigen retrieval with Tris-EDTA buffer (pH 9.0, epitope retrieval solution2) for 20 mins.

Immunoprecipitation - Anti-PHF8 antibody [EPR23913-57] (AB280887)
  • IP

Supplier Data

Immunoprecipitation - Anti-PHF8 antibody [EPR23913-57] (AB280887)

PHF8 was immunoprecipitated from 0.35 mg HeLa (human cervix adenocarcinoma epithelial cell) treated with 10μM MG-132 for 6 hours, whole cell lysate 10 ug with ab280887 at 1/30 dilution (2ug in 0.35mg lysates). Western blot was performed on the immunoprecipitate using ab280887 at 1/1000 dilution. VeriBlot for IP Detection Reagent (HRP)(ab131366) was used at 1/5000 dilution.

Lane 1 : HeLa (human cervix adenocarcinoma epithelial cell) treated with 10μM MG-132 for 6 hours, whole cell lysate 10 ug

Lane 2 : ab280887 IP in HeLa treated with 10μM MG-132 for 6 hours, whole cell lysate

Lane 3 : Rabbit monoclonal IgG (ab172730) instead of ab280887 in HeLa treated with 10μM MG-132 for 6 hours, whole cell lysate

Blocking and dilution buffer and concentration : 5% NFDM/TBST.

Exposure time : 3 minutes

All lanes:

Immunoprecipitation - Anti-PHF8 antibody [EPR23913-57] (ab280887)

Predicted band size: 117 kDa

Observed band size: 135-140 kDa

false

Western blot - Anti-PHF8 antibody [EPR23913-57] (AB280887)
  • WB

Lab

Western blot - Anti-PHF8 antibody [EPR23913-57] (AB280887)

Blocking and diluting buffer and concentration : 5% NFDM/TBST

This antibody has weak cross-reactivity with human PHF2.

These two recombinant proteins were made in house and expressed from E.coli expression systems.

All lanes:

Western blot - Anti-PHF8 antibody [EPR23913-57] (ab280887) at 1/5000 dilution

Lane 1:

His-tagged human PHF8 recombinant protein at 10 µg

Lane 2:

His-tagged human PHF2 recombinant protein at 10 µg

Secondary

All lanes:

Western blot - Goat Anti-Rabbit IgG H&L (HRP) (<a href='/en-us/products/secondary-antibodies/goat-rabbit-igg-h-l-hrp-ab97051'>ab97051</a>) at 1/100000 dilution

Predicted band size: 117 kDa

Observed band size: 135-140 kDa

false

Exposure time: 8s

Western blot - Anti-PHF8 antibody [EPR23913-57] (AB280887)
  • WB

Lab

Western blot - Anti-PHF8 antibody [EPR23913-57] (AB280887)

Blocking and diluting buffer and concentration : 5% NFDM/TBST

The observed MW is consistent with what has been described in the literature (PMID : 25047223).

Exposure time : 158 seconds

All lanes:

Western blot - Anti-PHF8 antibody [EPR23913-57] (ab280887) at 1/1000 dilution

All lanes:

Human cerebellum tissue lysate at 20 µg

Secondary

All lanes:

Goat Anti-Rabbit IgG (HRP) with minimal cross-reactivity with human IgG at 1/2000 dilution

Predicted band size: 117 kDa

Observed band size: 135-140 kDa

false

  • Carrier free

    Anti-PHF8 antibody [EPR23913-57] - BSA and Azide free

Key facts

Host species

Rabbit

Clonality

Monoclonal

Clone number

EPR23913-57

Isotype

IgG

Carrier free

No

Reacts with

Mouse, Rat, Human

Applications

WB, IP, IHC-P

applications

Immunogen

The exact immunogen used to generate this antibody is proprietary information.

Reactivity data

{ "title": "Reactivity Data", "filters": { "stats": ["", "Species", "Dilution Info", "Notes"], "tabs": { "all-applications": {"fullname" : "All Applications", "shortname": "All Applications"}, "ICCIF" : {"fullname" : "Immunocytochemistry/ Immunofluorescence", "shortname":"ICC/IF"}, "IP" : {"fullname" : "Immunoprecipitation", "shortname":"IP"}, "ChIP" : {"fullname" : "ChIP", "shortname":"ChIP"}, "WB" : {"fullname" : "Western blot", "shortname":"WB"}, "IHCP" : {"fullname" : "Immunohistochemistry (Formalin/PFA-fixed paraffin-embedded sections)", "shortname":"IHC-P"}, "FlowCytIntra" : {"fullname" : "Flow Cytometry (Intracellular)", "shortname":"Flow Cyt (Intra)"} }, "product-promise": { "all": "all", "testedAndGuaranteed": "tested", "guaranteed": "expected", "predicted": "predicted", "notRecommended": "not-recommended" } }, "values": { "Human": { "ICCIF-species-checked": "notRecommended", "ICCIF-species-dilution-info": "", "ICCIF-species-notes": "<p></p>", "IP-species-checked": "testedAndGuaranteed", "IP-species-dilution-info": "1/30", "IP-species-notes": "<p></p>", "ChIP-species-checked": "notRecommended", "ChIP-species-dilution-info": "", "ChIP-species-notes": "<p></p>", "WB-species-checked": "testedAndGuaranteed", "WB-species-dilution-info": "1/1000", "WB-species-notes": "<p></p>", "IHCP-species-checked": "testedAndGuaranteed", "IHCP-species-dilution-info": "1/200", "IHCP-species-notes": "<p></p> Perform heat-mediated antigen retrieval with Tris/EDTA buffer pH 9.0 before commencing with IHC staining protocol.", "FlowCytIntra-species-checked": "notRecommended", "FlowCytIntra-species-dilution-info": "", "FlowCytIntra-species-notes": "<p></p>" }, "Mouse": { "ICCIF-species-checked": "notRecommended", "ICCIF-species-dilution-info": "", "ICCIF-species-notes": "<p></p>", "IP-species-checked": "notRecommended", "IP-species-dilution-info": "", "IP-species-notes": "<p></p>", "ChIP-species-checked": "notRecommended", "ChIP-species-dilution-info": "", "ChIP-species-notes": "<p></p>", "WB-species-checked": "testedAndGuaranteed", "WB-species-dilution-info": "1/1000", "WB-species-notes": "<p></p>", "IHCP-species-checked": "testedAndGuaranteed", "IHCP-species-dilution-info": "1/200", "IHCP-species-notes": "<p></p> Perform heat-mediated antigen retrieval with Tris/EDTA buffer pH 9.0 before commencing with IHC staining protocol.", "FlowCytIntra-species-checked": "notRecommended", "FlowCytIntra-species-dilution-info": "", "FlowCytIntra-species-notes": "<p></p>" }, "Rat": { "ICCIF-species-checked": "notRecommended", "ICCIF-species-dilution-info": "", "ICCIF-species-notes": "<p></p>", "IP-species-checked": "guaranteed", "IP-species-dilution-info": "", "IP-species-notes": "", "ChIP-species-checked": "notRecommended", "ChIP-species-dilution-info": "", "ChIP-species-notes": "<p></p>", "WB-species-checked": "testedAndGuaranteed", "WB-species-dilution-info": "1/1000", "WB-species-notes": "<p></p>", "IHCP-species-checked": "testedAndGuaranteed", "IHCP-species-dilution-info": "1/200", "IHCP-species-notes": "<p></p> Perform heat-mediated antigen retrieval with Tris/EDTA buffer pH 9.0 before commencing with IHC staining protocol.", "FlowCytIntra-species-checked": "notRecommended", "FlowCytIntra-species-dilution-info": "", "FlowCytIntra-species-notes": "<p></p>" } } }

Product details

Patented technology
Our RabMAb® technology is a patented hybridoma-based technology for making rabbit monoclonal antibodies. For details on our patents, please refer to RabMAb® patents.

What are the advantages of a recombinant monoclonal antibody?
This product is a recombinant monoclonal antibody, which offers several advantages including:

  • - High batch-to-batch consistency and reproducibility
  • - Improved sensitivity and specificity
  • - Long-term security of supply
  • - Animal-free batch production

For more information, read more on recombinant antibodies.

Properties and storage information

Form
Liquid
Purification technique
Affinity purification Protein A
Storage buffer
Preservative: 0.01% Sodium azide Constituents: 59.94% PBS, 40% Glycerol (glycerin, glycerine), 0.05% BSA
Shipped at conditions
Blue Ice
Appropriate short-term storage duration
1-2 weeks
Appropriate short-term storage conditions
+4°C
Appropriate long-term storage conditions
-20°C
Aliquoting information
Upon delivery aliquot
Storage information
Avoid freeze / thaw cycle

Supplementary information

This supplementary information is collated from multiple sources and compiled automatically.

PHF8 also known as Plant Homeodomains Finger Protein 8 is a histone demethylase enzyme. It specifically removes methyl groups from histone H3 at lysine 9 (H3K9me2/me1) and at lysine 27 (H3K27me2/me1). PHF8 is a protein with a molecular mass of around 109 kDa. This protein is expressed widely in various tissues appearing notably in brain tissues and the testis which suggests a broad physiological role.
Biological function summary

PHF8 plays an important role in the regulation of gene expression through chromatin remodeling. It forms part of transcriptional complexes and directly interacts with transcription factors and chromatin proteins. Its activity modulates gene silencing and activation processes impacting multiple cellular functions such as cell cycle progression and neurodevelopment. The activities controlled by PHF8 make it critical for maintaining normal cellular function.

Pathways

PHF8 takes part in integral signaling and epigenetic regulation pathways. It is involved in the MAPK/ERK signaling pathway which affects cell proliferation and differentiation. PHF8 also connects with other proteins such as p53 influencing pathways that govern cell growth and apoptosis. Through these interactions PHF8 helps maintain proper balance in cell cycle and development processes.

Mutations or dysregulation of PHF8 have links to developmental disorders and certain cancers. Specifically PHF8 mutations have associations with X-linked mental retardation and cleft lip/palate conditions. Dysregulated PHF8 activity interacts with proteins like p53 to influence cancer progression particularly in prostate cancer. Understanding PHF8's role aids in the exploration of therapeutic targets for these conditions.

Product protocols

For this product, it's our understanding that no specific protocols are required. You can visit:

Target data

Histone lysine demethylase with selectivity for the di- and monomethyl states that plays a key role cell cycle progression, rDNA transcription and brain development. Demethylates mono- and dimethylated histone H3 'Lys-9' residue (H3K9Me1 and H3K9Me2), dimethylated H3 'Lys-27' (H3K27Me2) and monomethylated histone H4 'Lys-20' residue (H4K20Me1). Acts as a transcription activator as H3K9Me1, H3K9Me2, H3K27Me2 and H4K20Me1 are epigenetic repressive marks. Involved in cell cycle progression by being required to control G1-S transition. Acts as a coactivator of rDNA transcription, by activating polymerase I (pol I) mediated transcription of rRNA genes. Required for brain development, probably by regulating expression of neuron-specific genes. Only has activity toward H4K20Me1 when nucleosome is used as a substrate and when not histone octamer is used as substrate. May also have weak activity toward dimethylated H3 'Lys-36' (H3K36Me2), however, the relevance of this result remains unsure in vivo. Specifically binds trimethylated 'Lys-4' of histone H3 (H3K4me3), affecting histone demethylase specificity : has weak activity toward H3K9Me2 in absence of H3K4me3, while it has high activity toward H3K9me2 when binding H3K4me3. Positively modulates transcription of histone demethylase KDM5C, acting synergistically with transcription factor ARX; synergy may be related to enrichment of histone H3K4me3 in regulatory elements.
See full target information PHF8

Publications (2)

Recent publications for all applications. Explore the full list and refine your search

Nature communications 14:4225 PubMed37454216

2023

Loss of PHF8 induces a viral mimicry response by activating endogenous retrotransposons.

Applications

Unspecified application

Species

Unspecified reactive species

Yanan Liu,Longmiao Hu,Zhengzhen Wu,Kun Yuan,Guangliang Hong,Zhengke Lian,Juanjuan Feng,Na Li,Dali Li,Jiemin Wong,Jiekai Chen,Mingyao Liu,Jiangping He,Xiufeng Pang

Frontiers in genetics 13:957937 PubMed36276938

2022

Effect of ribose-glycated BSA on histone demethylation.

Applications

Unspecified application

Species

Unspecified reactive species

Mengqi Xi,Lingyun Zhang,Yan Wei,Ting Li,Meihua Qu,Qian Hua,Rongqiao He,Ying Liu
View all publications

Product promise

We are committed to supporting your work with high-quality reagents, and we're here for you every step of the way. In the unlikely event that one of our products does not perform as expected, you're protected by our Product Promise.
For full details, please see our Terms & Conditions

Please note: All products are 'FOR RESEARCH USE ONLY. NOT FOR USE IN DIAGNOSTIC OR THERAPEUTIC PROCEDURES'.

For licensing inquiries, please contact partnerships@abcam.com