JavaScript is disabled in your browser. Please enable JavaScript to view this website.
AB240744

Anti-PHGDH/Malate dehydrogenase antibody

Be the first to review this product! Submit a review

|

(6 Publications)

Rabbit Polyclonal PHGDH/Malate dehydrogenase antibody. Suitable for IHC-P, IP, WB and reacts with Human, Mouse samples. Cited in 6 publications. Immunogen corresponding to Synthetic Peptide within Human PHGDH aa 1-50.

View Alternative Names

PGDH3, PHGDH, D-3-phosphoglycerate dehydrogenase, 3-PGDH, 2-oxoglutarate reductase, Malate dehydrogenase

6 Images
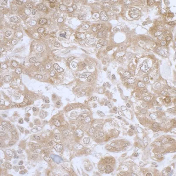
Immunohistochemistry (Formalin/PFA-fixed paraffin-embedded sections) - Anti-PHGDH/Malate dehydrogenase antibody (AB240744)
  • IHC-P

Supplier Data

Immunohistochemistry (Formalin/PFA-fixed paraffin-embedded sections) - Anti-PHGDH/Malate dehydrogenase antibody (AB240744)

Formalin-fixed, paraffin-embedded human breast carcinoma tissue stained for PHGDH/Malate dehydrogenase using ab240744 at 1 μg/ml in immunohistochemical analysis. DAB staining.

Immunoprecipitation - Anti-PHGDH/Malate dehydrogenase antibody (AB240744)
  • IP

Supplier Data

Immunoprecipitation - Anti-PHGDH/Malate dehydrogenase antibody (AB240744)

PHGDH/Malate dehydrogenase was immunoprecipitated from HEK-293T (human epithelial cell line from embryonic kidney transformed with large T antigen) whole cell lysate (1 mg for IP, 20% of IP loaded) with ab240744 at 6 μg/reaction. Western blot was performed from the immunoprecipitate using ab240744 at 0.4 μg/ml.

Lane 1 : ab240744 IP in HEK-293T whole cell lysate.
Lane 2 : Control IgG IP in HEK-293T whole cell lysate.

Detection : Chemiluminescence with exposure time of 10 seconds.

All lanes:

Immunoprecipitation - Anti-PHGDH/Malate dehydrogenase antibody (ab240744)

Predicted band size: 57 kDa

false

Immunohistochemistry (Formalin/PFA-fixed paraffin-embedded sections) - Anti-PHGDH/Malate dehydrogenase antibody (AB240744)
  • IHC-P

Supplier Data

Immunohistochemistry (Formalin/PFA-fixed paraffin-embedded sections) - Anti-PHGDH/Malate dehydrogenase antibody (AB240744)

Formalin-fixed, paraffin-embedded mouse teratoma tissue stained for PHGDH/Malate dehydrogenase using ab240744 at 1 μg/ml in immunohistochemical analysis. DAB staining.

Western blot - Anti-PHGDH/Malate dehydrogenase antibody (AB240744)
  • WB

Supplier Data

Western blot - Anti-PHGDH/Malate dehydrogenase antibody (AB240744)

Blocking and diluting buffer and concentration : 5% Milk/TBST.

Lysates prepared using NETN lysis buffer.

All lanes:

Western blot - Anti-PHGDH/Malate dehydrogenase antibody (ab240744) at 0.1 µg/mL

Lane 1:

HEK293T (Human embryonic kidney 293 cells) cell lysate

Lane 2:

Jurkat (human T lymphocyte cells) cell lysate

Lane 3:

Hep-G2 (hepatocellular carcinoma cell line) cell lysate

Lane 4:

LNCaP (Lymph Node Carcinoma of the prostate cells) cell lysate

Secondary

All lanes:

Goat anti-Rabbit IgG Heavy and Light Chain Antibody

Predicted band size: 57 kDa

true

Exposure time: 30s

Western blot - Anti-PHGDH/Malate dehydrogenase antibody (AB240744)
  • WB

Supplier Data

Western blot - Anti-PHGDH/Malate dehydrogenase antibody (AB240744)

Lysates prepared using NETN lysis buffer.

All lanes:

Western blot - Anti-PHGDH/Malate dehydrogenase antibody (ab240744) at 0.1 µg/mL

Lane 1:

HeLa (human epithelial cell line from cervix adenocarcinoma) whole cell lysate at 50 µg

Lane 2:

HEK-293T (human epithelial cell line from embryonic kidney transformed with large T antigen) whole cell lysate at 50 µg

Lane 3:

Jurkat (human T cell leukemia cell line from peripheral blood) whole cell lysate at 50 µg

Lane 4:

TCMK-1 (mouse kidney epithelial cell line) whole cell lysate at 50 µg

Lane 5:

NIH/3T3 (mouse embryo fibroblast cell line) whole cell lysate at 50 µg

Predicted band size: 57 kDa

false

Exposure time: 10s

Western blot - Anti-PHGDH/Malate dehydrogenase antibody (AB240744)
  • WB

Supplier Data

Western blot - Anti-PHGDH/Malate dehydrogenase antibody (AB240744)

Blocking and diluting buffer and concentration : 5% Milk/TBST.

Lysates prepared using NETN lysis buffer.

All lanes:

Western blot - Anti-PHGDH/Malate dehydrogenase antibody (ab240744) at 0.1 µg/mL

Lane 1:

NIH 3T3 (mouse embryo fibroblast cell line) cell lysate

Lane 2:

CT26 (mouse colon carcinoma cell line) cell lysate

Lane 3:

CH27 (Mouse B Cell Lymphoma Cell Line) cell lysate

Lane 4:

TCMK-1 (Transformed C3H Mouse Kidney-1 cells) cell lysate

Secondary

All lanes:

Goat anti-Rabbit IgG Heavy and Light Chain Antibody

Predicted band size: 57 kDa

true

Exposure time: 30s

Key facts

Host species

Rabbit

Clonality

Polyclonal

Isotype

IgG

Carrier free

No

Reacts with

Mouse, Human

Applications

WB, IHC-P, IP

applications

Immunogen

Synthetic Peptide within Human PHGDH aa 1-50. The exact immunogen used to generate this antibody is proprietary information.

O43175

Reactivity data

{ "title": "Reactivity Data", "filters": { "stats": ["", "Species", "Dilution Info", "Notes"], "tabs": { "all-applications": {"fullname" : "All Applications", "shortname": "All Applications"}, "IHCP" : {"fullname" : "Immunohistochemistry (Formalin/PFA-fixed paraffin-embedded sections)", "shortname":"IHC-P"}, "IP" : {"fullname" : "Immunoprecipitation", "shortname":"IP"}, "WB" : {"fullname" : "Western blot", "shortname":"WB"} }, "product-promise": { "all": "all", "testedAndGuaranteed": "tested", "guaranteed": "expected", "predicted": "predicted", "notRecommended": "not-recommended" } }, "values": { "Human": { "IHCP-species-checked": "testedAndGuaranteed", "IHCP-species-dilution-info": "1/500 - 1/2000", "IHCP-species-notes": "<p></p> Perform heat-mediated antigen retrieval with citrate buffer pH 6 before commencing with IHC staining protocol.", "IP-species-checked": "testedAndGuaranteed", "IP-species-dilution-info": "2-10 µg/mg of lysate", "IP-species-notes": "<p></p>", "WB-species-checked": "testedAndGuaranteed", "WB-species-dilution-info": "1/2000 - 1/10000", "WB-species-notes": "<p></p>" }, "Mouse": { "IHCP-species-checked": "testedAndGuaranteed", "IHCP-species-dilution-info": "1/500 - 1/2000", "IHCP-species-notes": "<p></p> Perform heat-mediated antigen retrieval with citrate buffer pH 6 before commencing with IHC staining protocol.", "IP-species-checked": "guaranteed", "IP-species-dilution-info": "", "IP-species-notes": "", "WB-species-checked": "testedAndGuaranteed", "WB-species-dilution-info": "1/2000 - 1/10000", "WB-species-notes": "<p></p>" }, "Chimpanzee": { "IHCP-species-checked": "predicted", "IHCP-species-dilution-info": "", "IHCP-species-notes": "", "IP-species-checked": "predicted", "IP-species-dilution-info": "", "IP-species-notes": "", "WB-species-checked": "predicted", "WB-species-dilution-info": "", "WB-species-notes": "" }, "Cow": { "IHCP-species-checked": "predicted", "IHCP-species-dilution-info": "", "IHCP-species-notes": "", "IP-species-checked": "predicted", "IP-species-dilution-info": "", "IP-species-notes": "", "WB-species-checked": "predicted", "WB-species-dilution-info": "", "WB-species-notes": "" }, "Orangutan": { "IHCP-species-checked": "predicted", "IHCP-species-dilution-info": "", "IHCP-species-notes": "", "IP-species-checked": "predicted", "IP-species-dilution-info": "", "IP-species-notes": "", "WB-species-checked": "predicted", "WB-species-dilution-info": "", "WB-species-notes": "" }, "Pig": { "IHCP-species-checked": "predicted", "IHCP-species-dilution-info": "", "IHCP-species-notes": "", "IP-species-checked": "predicted", "IP-species-dilution-info": "", "IP-species-notes": "", "WB-species-checked": "predicted", "WB-species-dilution-info": "", "WB-species-notes": "" } } }

Properties and storage information

Form
Liquid
Purification technique
Affinity purification Immunogen
Storage buffer
pH: 7 - 8 Preservative: 0.09% Sodium azide Constituents: Tris citrate/phosphate
Shipped at conditions
Blue Ice
Appropriate short-term storage duration
1-2 weeks
Appropriate short-term storage conditions
+4°C
Appropriate long-term storage conditions
+4°C
Aliquoting information
Upon delivery aliquot
Storage information
Avoid freeze / thaw cycle

Supplementary information

This supplementary information is collated from multiple sources and compiled automatically.

Phosphoglycerate dehydrogenase also known as PHGDH is an enzyme that catalyzes the conversion of 3-phosphoglycerate to 3-phosphohydroxypyruvate. It has an approximate mass of 57 kDa. The PHGDH is located in the cytoplasm and mitochondria where it plays a role in serine biosynthesis. Malate dehydrogenase might also get mentioned together with PHGDH because both enzymes link to metabolic processes. The expression of PHGDH is noted in various tissues with higher levels observed in some cancer cells.
Biological function summary

PHGDH is essential for the serine synthesis pathway and cellular metabolism regulation. It does not form part of large complexes but operates independently to convert substrates necessary for cell growth and proliferation. The enzyme supports the synthesis of nucleotides and proteins impacting cell cycle and survival. Researchers investigate PHGDH to understand its role in metabolic reprogramming especially in cancer cells.

Pathways

PHGDH is important in the serine biosynthesis pathway which is part of the larger glycolytic process. It connects to pathways that contribute to cellular carbon metabolism and energy production. PHGDH interacts with glutamate dehydrogenase protein (GDH) and also influences one-carbon metabolism and redox balance within the cell. These pathways play important roles in providing building blocks for nucleotide and lipid biosynthesis.

PHGDH has relevance in cancer and neurological disorders. Alterations and overexpression of PHGDH have been linked to oncogenesis and tumor growth particularly in breast cancer. The enzyme also associates with neurodegenerative diseases as proper serine levels are important for neuron function. In both conditions PHGDH becomes connected with glutamate dehydrogenase as alterations can impact amino acid metabolism and neurotransmitter balance. The study of PHGDH inhibitors is gaining attention for therapeutic potentials in these diseases.

Product protocols

For this product, it's our understanding that no specific protocols are required. You can visit:

Target data

Catalyzes the reversible oxidation of 3-phospho-D-glycerate to 3-phosphonooxypyruvate, the first step of the phosphorylated L-serine biosynthesis pathway. Also catalyzes the reversible oxidation of 2-hydroxyglutarate to 2-oxoglutarate and the reversible oxidation of (S)-malate to oxaloacetate.
See full target information PHGDH

Publications (6)

Recent publications for all applications. Explore the full list and refine your search

Advanced science (Weinheim, Baden-Wurttemberg, Germany) 12:e2410937 PubMed40019400

2025

RFWD3 Reprograms Nucleotide Metabolism Through PHGDH to Induce Chemoresistance In Osteosarcoma.

Applications

Unspecified application

Species

Unspecified reactive species

Wenchao Zhang,Chi Yin,Lin Qi,Zhongyue Liu,Ruiling Xu,Chao Tu,Zhihong Li

International journal of general medicine 17:3673-3687 PubMed39206267

2024

Phosphoglycerate Dehydrogenase Overexpression Inhibits Ferroptosis to Repress Calcification of Human Coronary Artery Vascular Smooth Muscle Cells via the P53/SLC7A11 Pathway.

Applications

Unspecified application

Species

Unspecified reactive species

Yuhai Zou,Dongdong Li,Ge Guan,Wenting Liu

Cellular & molecular immunology 19:1263-1278 PubMed36180780

2022

Serine metabolism orchestrates macrophage polarization by regulating the IGF1-p38 axis.

Applications

Unspecified application

Species

Unspecified reactive species

Xiao Shan,Penghui Hu,Lina Ni,Long Shen,Yanan Zhang,Zemin Ji,Yan Cui,Meihua Guo,Haoan Wang,Liyuan Ran,Kun Yang,Ting Wang,Lei Wang,Bin Chen,Zhi Yao,Yingjie Wu,Qiujing Yu

Proteomics 22:e2100094 PubMed34564948

2021

Proteomics analysis reveals the correlation of programmed ROS-autophagy loop and dysregulated G1/S checkpoint with imatinib resistance in chronic myeloid leukemia cells.

Applications

Unspecified application

Species

Unspecified reactive species

Xiucai Xu,Shihong Yin,Yingli Ren,Chaojie Hu,Aimei Zhang,Ya Lin

Human molecular genetics 30:2012-2026 PubMed34169315

2021

Coordinated pyruvate kinase activity is crucial for metabolic adaptation and cell survival during mitochondrial dysfunction.

Applications

Unspecified application

Species

Unspecified reactive species

Xiaoshan Zhou,Flora Mikaeloff,Sophie Curbo,Qian Zhao,Raoul Kuiper,Ákos Végvári,Ujjwal Neogi,Anna Karlsson

FASEB journal : official publication of the Federation of American Societies for Experimental Biology 35:e21516 PubMed33710697

2021

Methylation of ERβ 5'-untranslated region attenuates its inhibitory effect on ERα gene transcription and promotes the initiation and progression of papillary thyroid cancer.

Applications

Unspecified application

Species

Unspecified reactive species

Lin-Wan Xu,Xi Gou,Jun-Yan Yang,Rong Jiang,Xue Jiang,George G Chen,Zhi-Min Liu
View all publications

Product promise

We are committed to supporting your work with high-quality reagents, and we're here for you every step of the way. In the unlikely event that one of our products does not perform as expected, you're protected by our Product Promise.
For full details, please see our Terms & Conditions

Please note: All products are 'FOR RESEARCH USE ONLY. NOT FOR USE IN DIAGNOSTIC OR THERAPEUTIC PROCEDURES'.

For licensing inquiries, please contact partnerships@abcam.com