JavaScript is disabled in your browser. Please enable JavaScript to view this website.
AB324835

Anti-PHGDH/Malate dehydrogenase antibody [EPR28634-20] - BSA and Azide free

Be the first to review this product! Submit a review

|

(0 Publication)

Rabbit Recombinant Monoclonal PHGDH/Malate dehydrogenase antibody. Carrier free. Suitable for ICC/IF, IHC-P, WB and reacts with Human samples.

View Alternative Names

PGDH3, PHGDH, D-3-phosphoglycerate dehydrogenase, 3-PGDH, 2-oxoglutarate reductase, Malate dehydrogenase

9 Images
Immunohistochemistry (Formalin/PFA-fixed paraffin-embedded sections) - Anti-PHGDH/Malate dehydrogenase antibody [EPR28634-20] - BSA and Azide free (AB324835)
  • IHC-P

Supplier Data

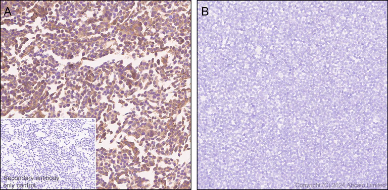
Immunohistochemistry (Formalin/PFA-fixed paraffin-embedded sections) - Anti-PHGDH/Malate dehydrogenase antibody [EPR28634-20] - BSA and Azide free (AB324835)

This data was developed using ab322270, the same antibody clone in a different buffer formulation.

Immunohistochemical analysis of paraffin-embedded (A) HeLa (human cervical adenocarcinoma epithelial cell) cell pellet and (B) Daudi (human Burkitt's lymphoma lymphoblast) cell pellet labeling PHGDH/Malate dehydrogenase with ab322270 at 1/2000 (0.25 ug/ml) dilution, followed by a ready to use LeicaDS9800 (Bond™ Polymer Refine Detection).

Positive staining in (A) HeLa cell pellet, no staining in (B) Daudi cell pellet.
The section was incubated with ab322270 for 30 mins at room temperature.
The immunostaining was performed on a Leica Biosystems BOND® RX instrument

Counterstained with Hematoxylin.

Secondary antibody only control : Secondary antibody is a ready to use LeicaDS9800 (Bond™ Polymer Refine Detection).

Heat mediated antigen retrieval was performed with Tris-EDTA buffer (pH 9.0, Epitope Retrieval Solution2) for 20 mins

Immunohistochemistry (Formalin/PFA-fixed paraffin-embedded sections) - Anti-PHGDH/Malate dehydrogenase antibody [EPR28634-20] - BSA and Azide free (AB324835)
  • IHC-P

Supplier Data

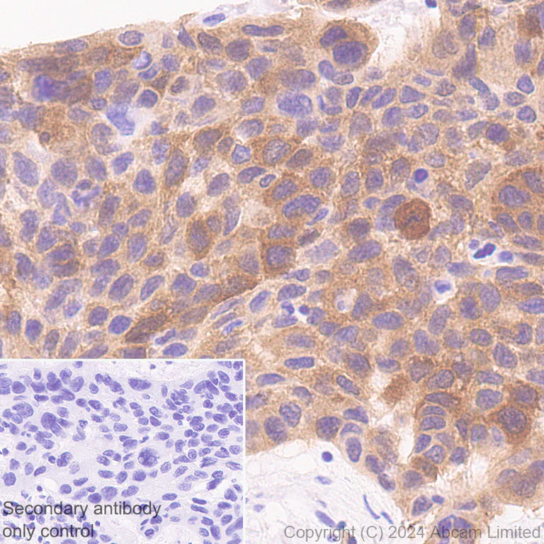
Immunohistochemistry (Formalin/PFA-fixed paraffin-embedded sections) - Anti-PHGDH/Malate dehydrogenase antibody [EPR28634-20] - BSA and Azide free (AB324835)

This data was developed using ab322270, the same antibody clone in a different buffer formulation.

Immunohistochemical analysis of paraffin-embedded Human cervical carcinoma tissue labeling PHGDH/Malate dehydrogenase with ab322270 at 1/2000 (0.25 ug/ml) dilution, followed by a ready to use LeicaDS9800 (Bond™ Polymer Refine Detection).

Positive staining in human cervical carcinoma.
The section was incubated with ab322270 for 30 mins at room temperature.
The immunostaining was performed on a Leica Biosystems BOND® RX instrument

Counterstained with Hematoxylin.

Secondary antibody only control : Secondary antibody is a ready to use LeicaDS9800 (Bond™ Polymer Refine Detection).

Heat mediated antigen retrieval was performed with Tris-EDTA buffer (pH 9.0, Epitope Retrieval Solution2) for 20 mins

Immunohistochemistry (Formalin/PFA-fixed paraffin-embedded sections) - Anti-PHGDH/Malate dehydrogenase antibody [EPR28634-20] - BSA and Azide free (AB324835)
  • IHC-P

Supplier Data

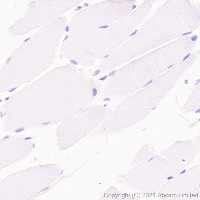
Immunohistochemistry (Formalin/PFA-fixed paraffin-embedded sections) - Anti-PHGDH/Malate dehydrogenase antibody [EPR28634-20] - BSA and Azide free (AB324835)

This data was developed using ab322270, the same antibody clone in a different buffer formulation.

Immunohistochemical analysis of paraffin-embedded Human skeletal muscle tissue labeling PHGDH/Malate dehydrogenase with ab322270 at 1/2000 (0.25 ug/ml) dilution, followed by a ready to use LeicaDS9800 (Bond™ Polymer Refine Detection).

Negative control : No staining in human skeletal muscle.
The section was incubated with ab322270 for 30 mins at room temperature.
The immunostaining was performed on a Leica Biosystems BOND® RX instrument

Counterstained with Hematoxylin.

Secondary antibody only control : Secondary antibody is a ready to use LeicaDS9800 (Bond™ Polymer Refine Detection).

Heat mediated antigen retrieval was performed with Tris-EDTA buffer (pH 9.0, Epitope Retrieval Solution2) for 20 mins

Immunocytochemistry/ Immunofluorescence - Anti-PHGDH/Malate dehydrogenase antibody [EPR28634-20] - BSA and Azide free (AB324835)
  • ICC/IF

Supplier Data

Immunocytochemistry/ Immunofluorescence - Anti-PHGDH/Malate dehydrogenase antibody [EPR28634-20] - BSA and Azide free (AB324835)

This data was developed using ab322270, the same antibody clone in a different buffer formulation.

Immunofluorescent analysis of 4% Paraformaldehyde-fixed, 0.1% TritonX-100 permeabilized HeLa (human cervical adenocarcinoma epithelial cell) cells labelling PHGDH/Malate dehydrogenase with ab322270 at 1/50 (10.0 ug/ml) dilution, followed by ab150081 Goat Anti-Rabbit IgG H&L (Alexa Fluor® 488) preadsorbed antibody at 1/ 1000 2ug/ml dilution (Green).

Confocal image showing cytoplasmic and nuclear staining in HeLa cell line (shown in green). The counterstain was observed in magenta. Nuclear DNA was labelled with DAPI (shown in blue).
Negative control : Daudi (PMID : 35316216).
Image was taken with a confocal microscope (Leica-Microsystems, TCS SP8).

ab195889 Anti-alpha Tubulin mouse monoclonal antibody - Microtubule Marker (Alexa Fluor® 594) was used to counterstain tubulin at 1/200 2.5ug/ml dilution (Magenta).

Secondary antibody only control : Secondary antibody is ab150081 Goat Anti-Rabbit IgG H&L (Alexa Fluor® 488) preadsorbed at 1/ 1000 2ug/ml dilution.

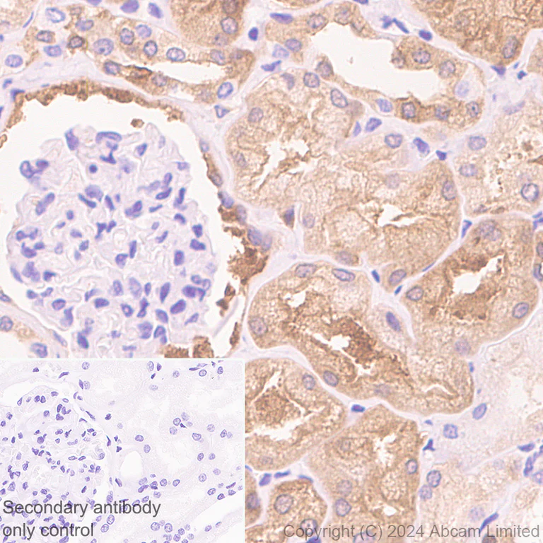
Immunohistochemistry (Formalin/PFA-fixed paraffin-embedded sections) - Anti-PHGDH/Malate dehydrogenase antibody [EPR28634-20] - BSA and Azide free (AB324835)
  • IHC-P

Supplier Data

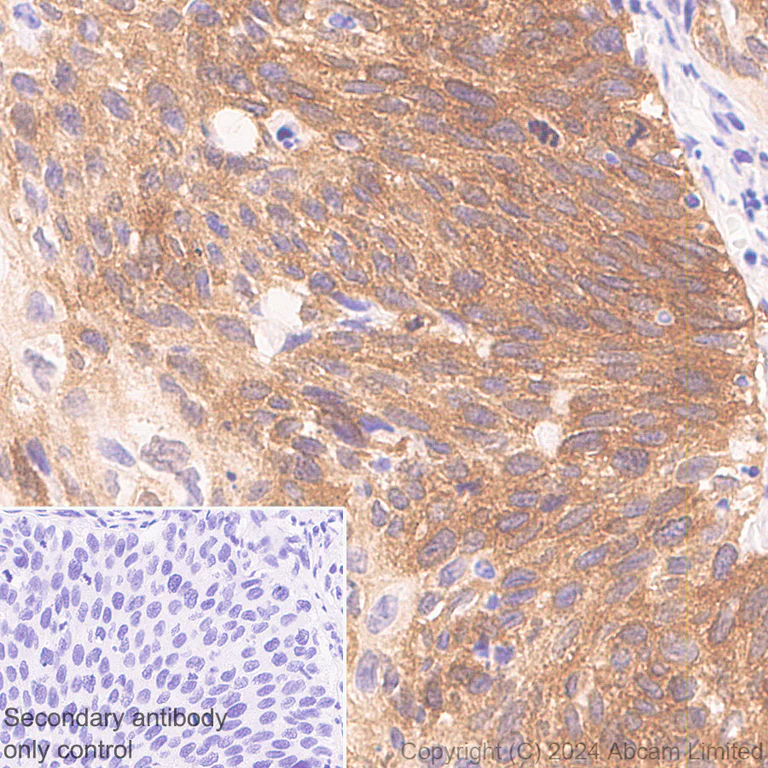
Immunohistochemistry (Formalin/PFA-fixed paraffin-embedded sections) - Anti-PHGDH/Malate dehydrogenase antibody [EPR28634-20] - BSA and Azide free (AB324835)

This data was developed using ab322270, the same antibody clone in a different buffer formulation.

Immunohistochemical analysis of paraffin-embedded Human kidney tissue labeling PHGDH/Malate dehydrogenase with ab322270 at 1/2000 (0.25 ug/ml) dilution, followed by a ready to use LeicaDS9800 (Bond™ Polymer Refine Detection).

Positive staining in human kidney.
The section was incubated with ab322270 for 30 mins at room temperature.
The immunostaining was performed on a Leica Biosystems BOND® RX instrument

Counterstained with Hematoxylin.

Secondary antibody only control : Secondary antibody is a ready to use LeicaDS9800 (Bond™ Polymer Refine Detection).

Heat mediated antigen retrieval was performed with Tris-EDTA buffer (pH 9.0, Epitope Retrieval Solution2) for 20 mins

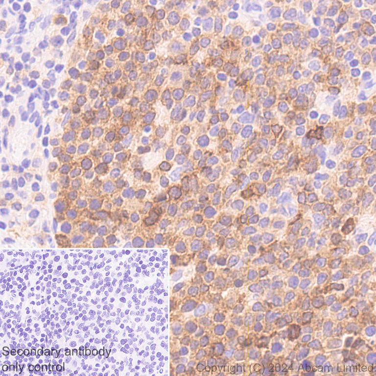
Immunohistochemistry (Formalin/PFA-fixed paraffin-embedded sections) - Anti-PHGDH/Malate dehydrogenase antibody [EPR28634-20] - BSA and Azide free (AB324835)
  • IHC-P

Supplier Data

Immunohistochemistry (Formalin/PFA-fixed paraffin-embedded sections) - Anti-PHGDH/Malate dehydrogenase antibody [EPR28634-20] - BSA and Azide free (AB324835)

This data was developed using ab322270, the same antibody clone in a different buffer formulation.

Immunohistochemical analysis of paraffin-embedded Human tonsil tissue labeling PHGDH/Malate dehydrogenase with ab322270 at 1/2000 (0.25 ug/ml) dilution, followed by a ready to use LeicaDS9800 (Bond™ Polymer Refine Detection).

Positive staining in human tonsil (PMID : 35316216).
The section was incubated with ab322270 for 30 mins at room temperature.
The immunostaining was performed on a Leica Biosystems BOND® RX instrument

Counterstained with Hematoxylin.

Secondary antibody only control : Secondary antibody is a ready to use LeicaDS9800 (Bond™ Polymer Refine Detection).

Heat mediated antigen retrieval was performed with Tris-EDTA buffer (pH 9.0, Epitope Retrieval Solution2) for 20 mins

Immunohistochemistry (Formalin/PFA-fixed paraffin-embedded sections) - Anti-PHGDH/Malate dehydrogenase antibody [EPR28634-20] - BSA and Azide free (AB324835)
  • IHC-P

Supplier Data

Immunohistochemistry (Formalin/PFA-fixed paraffin-embedded sections) - Anti-PHGDH/Malate dehydrogenase antibody [EPR28634-20] - BSA and Azide free (AB324835)

This data was developed using ab322270, the same antibody clone in a different buffer formulation.

Immunohistochemical analysis of paraffin-embedded Human lung carcinoma tissue labeling PHGDH/Malate dehydrogenase with ab322270 at 1/2000 (0.25 ug/ml) dilution, followed by a ready to use LeicaDS9800 (Bond™ Polymer Refine Detection).

Positive staining in human lung carcinoma.
The section was incubated with ab322270 for 30 mins at room temperature.
The immunostaining was performed on a Leica Biosystems BOND® RX instrument

Counterstained with Hematoxylin.

Secondary antibody only control : Secondary antibody is a ready to use LeicaDS9800 (Bond™ Polymer Refine Detection).

Heat mediated antigen retrieval was performed with Tris-EDTA buffer (pH 9.0, Epitope Retrieval Solution2) for 20 mins

Western blot - Anti-PHGDH/Malate dehydrogenase antibody [EPR28634-20] - BSA and Azide free (AB324835)
  • WB

Supplier Data

Western blot - Anti-PHGDH/Malate dehydrogenase antibody [EPR28634-20] - BSA and Azide free (AB324835)

This data was developed using ab322270, the same antibody clone in a different buffer formulation.

Blocking and diluting buffer and concentration : 5% NFDM/TBST.

Negative control : Daudi (PMID : 35316216).

Low expression : A549, IMR-90 (PMID : 30250195).

In Western blot, Anti-GAPDH antibody [EPR16891] - Loading Control (ab181602) staining at 1/200000 dilution.

All lanes:

Western blot - Anti-PHGDH/Malate dehydrogenase antibody [EPR28634-20] (<a href='/en-us/products/primary-antibodies/phgdh-malate-dehydrogenase-antibody-epr28634-20-ab322270'>ab322270</a>) at 1/1000 dilution

Lane 1:

Ramos (human Burkitts lymphoma B lymphocyte) whole cell lysate at 20 µg

Lane 2:

Raji (human Burkitts lymphoma B lymphocyte) whole cell lysate at 20 µg

Lane 3:

HeLa (human cervical adenocarcinoma epithelial cell) whole cell lysate at 20 µg

Lane 4:

NT2/D1 (human malignant pluripotent embryonic carcinoma epithelial-like cell) whole cell lysate at 20 µg

Lane 5:

Daudi (human Burkitts lymphoma lymphoblast) whole cell lysate at 20 µg

Lane 6:

A549 (human lung carcinoma epithelial cell) whole cell lysate at 20 µg

Lane 7:

IMR-90 (human lu fibroblast) whole cell lysate at 20 µg

Secondary

All lanes:

Western blot - Goat Anti-Rabbit IgG H&L (HRP) (<a href='/en-us/products/secondary-antibodies/goat-rabbit-igg-h-l-hrp-ab97051'>ab97051</a>) at 1/20000 dilution

Observed band size: 57 kDa,36 kDa

false

Exposure time: 3s

Western blot - Anti-PHGDH/Malate dehydrogenase antibody [EPR28634-20] - BSA and Azide free (AB324835)
  • WB

Supplier Data

Western blot - Anti-PHGDH/Malate dehydrogenase antibody [EPR28634-20] - BSA and Azide free (AB324835)

This data was developed using ab322270, the same antibody clone in a different buffer formulation.

Blocking and diluting buffer and concentration : 5% NFDM/TBST.

Full-length PHGDH is approximately 57 kDa. The other bands might be due to proteolytic cleavage in different PHGDH domains (PMID : 29568346).

In Western blot, Anti-GAPDH antibody [EPR16891] - Loading Control (ab181602) staining at 1/200000 dilution.

Exposure time : Lane 1 : 37 seconds, lanes 2-3 : 180 seconds

All lanes:

Western blot - Anti-PHGDH/Malate dehydrogenase antibody [EPR28634-20] (<a href='/en-us/products/primary-antibodies/phgdh-malate-dehydrogenase-antibody-epr28634-20-ab322270'>ab322270</a>) at 1/1000 dilution

Lane 1:

Human cerebellum tissue lysate at 50 µg

Lane 2:

Human lung cancer tissue lysate at 20 µg

Lane 3:

Human breast cancer tissue lysate at 20 µg

Secondary

All lanes:

Goat Anti-Rabbit IgG (HRP) with minimal cross-reactivity with human IgG at 1/2000 dilution

Observed band size: 57 kDa,36 kDa

false

Key facts

Host species

Rabbit

Clonality

Monoclonal

Clone number

EPR28634-20

Isotype

IgG

Carrier free

Yes

Reacts with

Human

Applications

ICC/IF, IHC-P, WB

applications

Immunogen

The exact immunogen used to generate this antibody is proprietary information.

Reactivity data

{ "title": "Reactivity Data", "filters": { "stats": ["", "Species", "Dilution Info", "Notes"], "tabs": { "all-applications": {"fullname" : "All Applications", "shortname": "All Applications"}, "ICCIF" : {"fullname" : "Immunocytochemistry/ Immunofluorescence", "shortname":"ICC/IF"}, "IHCP" : {"fullname" : "Immunohistochemistry (Formalin/PFA-fixed paraffin-embedded sections)", "shortname":"IHC-P"}, "WB" : {"fullname" : "Western blot", "shortname":"WB"} }, "product-promise": { "all": "all", "testedAndGuaranteed": "tested", "guaranteed": "expected", "predicted": "predicted", "notRecommended": "not-recommended" } }, "values": { "Human": { "ICCIF-species-checked": "testedAndGuaranteed", "ICCIF-species-dilution-info": "", "ICCIF-species-notes": "<p></p>", "IHCP-species-checked": "testedAndGuaranteed", "IHCP-species-dilution-info": "", "IHCP-species-notes": "<p></p> Perform heat-mediated antigen retrieval with Tris/EDTA buffer pH 9.0 before commencing with IHC staining protocol.", "WB-species-checked": "testedAndGuaranteed", "WB-species-dilution-info": "", "WB-species-notes": "<p></p>" }, "Mouse": { "ICCIF-species-checked": "notRecommended", "ICCIF-species-dilution-info": "", "ICCIF-species-notes": "<p></p>", "IHCP-species-checked": "notRecommended", "IHCP-species-dilution-info": "", "IHCP-species-notes": "<p></p>", "WB-species-checked": "notRecommended", "WB-species-dilution-info": "", "WB-species-notes": "<p></p>" } } }

Product details

ab324835 is the carrier-free version of ab322270.

Patented technology
Our RabMAb® technology is a patented hybridoma-based technology for making rabbit monoclonal antibodies. For details on our patents, please refer to RabMAb® patents.

What are the advantages of a recombinant monoclonal antibody?
This product is a recombinant monoclonal antibody, which offers several advantages including:

  • - High batch-to-batch consistency and reproducibility
  • - Improved sensitivity and specificity
  • - Long-term security of supply
  • - Animal-free batch production

For more information, read more on recombinant antibodies.

Conjugation ready
Our carrier-free antibodies are typically supplied in a PBS-only formulation, purified and free of BSA, sodium azide and glycerol. This conjugation-ready format is designed for use with fluorochromes, metal isotopes, oligonucleotides, and enzymes, which makes them ideal for antibody labelling, functional and cell-based assays, flow-based assays (e.g. mass cytometry) and Multiplex Imaging applications.

Use our conjugation kits for antibody conjugates that are ready-to-use in as little as 20 minutes with 1 minute hands-on-time and 100% antibody recovery: available for fluorescent dyes, HRP, biotin and gold.

Compatibility
This product is compatible with the Maxpar® Antibody Labeling Kit from Fluidigm, without the need for antibody preparation. Maxpar® is a trademark of Fluidigm Canada Inc.

Properties and storage information

Form
Liquid
Purification technique
Affinity purification Protein A
Storage buffer
pH: 7.2 - 7.4 Constituents: PBS
Shipped at conditions
Blue Ice
Appropriate short-term storage conditions
+4°C
Appropriate long-term storage conditions
+4°C

Product protocols

For this product, it's our understanding that no specific protocols are required. You can visit:

Target data

Catalyzes the reversible oxidation of 3-phospho-D-glycerate to 3-phosphonooxypyruvate, the first step of the phosphorylated L-serine biosynthesis pathway. Also catalyzes the reversible oxidation of 2-hydroxyglutarate to 2-oxoglutarate and the reversible oxidation of (S)-malate to oxaloacetate.
See full target information PHGDH

Product promise

We are committed to supporting your work with high-quality reagents, and we're here for you every step of the way. In the unlikely event that one of our products does not perform as expected, you're protected by our Product Promise.
For full details, please see our Terms & Conditions

Please note: All products are 'FOR RESEARCH USE ONLY. NOT FOR USE IN DIAGNOSTIC OR THERAPEUTIC PROCEDURES'.

For licensing inquiries, please contact partnerships@abcam.com