JavaScript is disabled in your browser. Please enable JavaScript to view this website.
AB309962

Anti-PHIP antibody [EPR27150-82]

  • BOND RX™ Validated
  • 20ul selling size
  • RabMAb
  • Recombinant
  • KO Validated
  • What is this?

Be the first to review this product! Submit a review

|

(0 Publication)

Knockout Tested Rabbit Recombinant Monoclonal PHIP antibody. Suitable for WB, IHC-P, ICC/IF, Flow Cyt (Intra), IP and reacts with Human samples.

View Alternative Names

DCAF14, WDR11, PHIP, PH-interacting protein, DDB1- and CUL4-associated factor 14, IRS-1 PH domain-binding protein, WD repeat-containing protein 11

11 Images
Flow Cytometry (Intracellular) - Anti-PHIP antibody [EPR27150-82] (AB309962)
  • Flow Cyt (Intra)

Supplier Data

Flow Cytometry (Intracellular) - Anti-PHIP antibody [EPR27150-82] (AB309962)

Flow cytometric analysis of 4% paraformaldehyde fixed 90% methanol permeabilized PHIP KO HeLa (PHIP knockout human cervical adenocarcinoma epithelial cell, Left) / Parental HeLa (Right) cells labelling PHIP with ab309962 at 1/500 dilution (0.1 ug)/Red (Red) compared with a Rabbit monoclonal IgG (ab172730) (Black) isotype control and an unlabelled control (cells without incubation with primary antibody and secondary antibody) (Blue). A Goat Anti-Rabbit IgG (Alexa Fluor® 488, ab150081) at 1/5000 dilution was used as the secondary antibody.

Immunohistochemistry (Formalin/PFA-fixed paraffin-embedded sections) - Anti-PHIP antibody [EPR27150-82] (AB309962)
  • IHC-P

Supplier Data

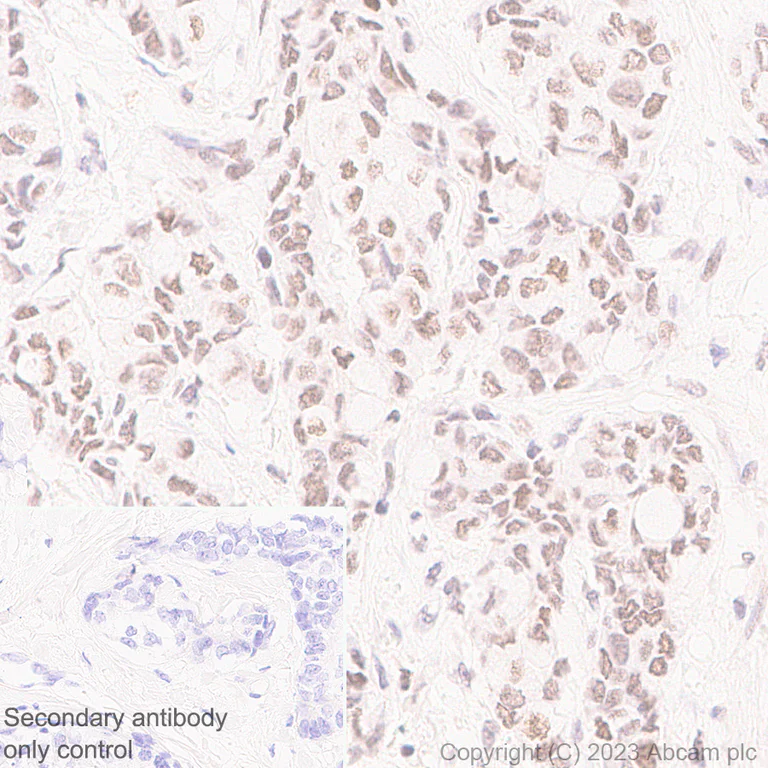
Immunohistochemistry (Formalin/PFA-fixed paraffin-embedded sections) - Anti-PHIP antibody [EPR27150-82] (AB309962)

Immunohistochemical analysis of paraffin-embedded Human breast carcino tissue labeling PHIP with ab309962 at 1/100 (4.92 ug/ml) followed by a ready to use LeicaDS9800 (Bond™ Polymer Refine Detection). Nuclear staining on human breast carcinoma.The section was incubated with ab309962 for 30 mins at room temperature.The immunostaining was performed on a Leica Biosystems BOND® RX instrument Counterstained with Hematoxylin. Secondary antibody only control : Secondary antibody is a ready to use LeicaDS9800 (Bond™ Polymer Refine Detection). Heat mediated antigen retrieval was performed with Tris-EDTA buffer (pH 9.0, Epitope Retrieval Solution2) for 20 mins

Immunohistochemistry (Formalin/PFA-fixed paraffin-embedded sections) - Anti-PHIP antibody [EPR27150-82] (AB309962)
  • IHC-P

Supplier Data

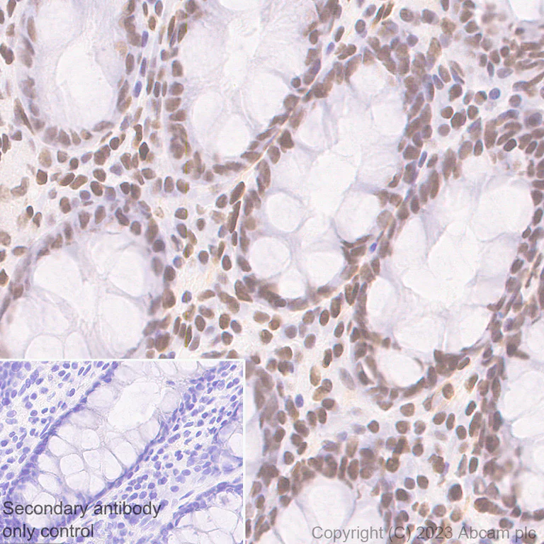
Immunohistochemistry (Formalin/PFA-fixed paraffin-embedded sections) - Anti-PHIP antibody [EPR27150-82] (AB309962)

Immunohistochemical analysis of paraffin-embedded Human colon tissue labeling PHIP with ab309962 at 1/100 (4.92 ug/ml) followed by a ready to use LeicaDS9800 (Bond™ Polymer Refine Detection). Nuclear staining on human colon.The section was incubated with ab309962 for 30 mins at room temperature.The immunostaining was performed on a Leica Biosystems BOND® RX instrument Counterstained with Hematoxylin. Secondary antibody only control : Secondary antibody is a ready to use LeicaDS9800 (Bond™ Polymer Refine Detection). Heat mediated antigen retrieval was performed with Tris-EDTA buffer (pH 9.0, Epitope Retrieval Solution2) for 20 mins

Immunohistochemistry (Formalin/PFA-fixed paraffin-embedded sections) - Anti-PHIP antibody [EPR27150-82] (AB309962)
  • IHC-P

Supplier Data

Immunohistochemistry (Formalin/PFA-fixed paraffin-embedded sections) - Anti-PHIP antibody [EPR27150-82] (AB309962)

Immunohistochemical analysis of paraffin-embedded (A) Wild-type Hela ( tissue labeling PHIP with ab309962 at 1/2000 (0.246 ug/ml) followed by a ready to use LeicaDS9800 (Bond™ Polymer Refine Detection). Nuclear staining on (A) Wild-type Hela cell pellet, no staining on (B) PHIP knockout Hela (ab265403) cell pellet.The section was incubated with ab309962 for 30 mins at room temperature.The immunostaining was performed on a Leica Biosystems BOND® RX instrument Counterstained with Hematoxylin. Secondary antibody only control : Secondary antibody is a ready to use LeicaDS9800 (Bond™ Polymer Refine Detection). Heat mediated antigen retrieval was performed with Tris-EDTA buffer (pH 9.0, Epitope Retrieval Solution2) for 20 mins

Immunohistochemistry (Formalin/PFA-fixed paraffin-embedded sections) - Anti-PHIP antibody [EPR27150-82] (AB309962)
  • IHC-P

Supplier Data

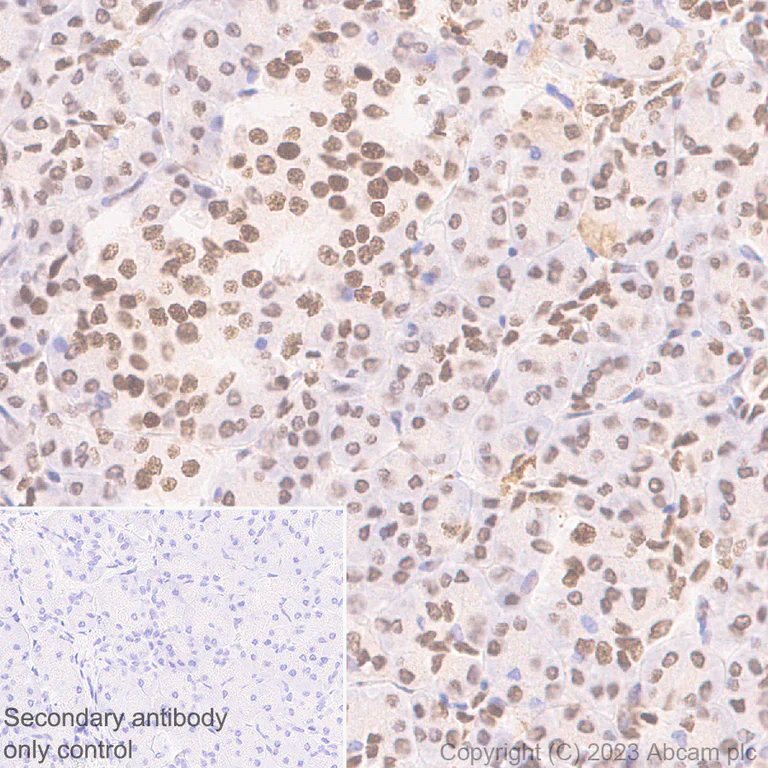
Immunohistochemistry (Formalin/PFA-fixed paraffin-embedded sections) - Anti-PHIP antibody [EPR27150-82] (AB309962)

Immunohistochemical analysis of paraffin-embedded Human pancreas tissue labeling PHIP with ab309962 at 1/100 (4.92 ug/ml) followed by a ready to use LeicaDS9800 (Bond™ Polymer Refine Detection). Nuclear staining on human pancreas.The section was incubated with ab309962 for 30 mins at room temperature.The immunostaining was performed on a Leica Biosystems BOND® RX instrument Counterstained with Hematoxylin. Secondary antibody only control : Secondary antibody is a ready to use LeicaDS9800 (Bond™ Polymer Refine Detection). Heat mediated antigen retrieval was performed with Tris-EDTA buffer (pH 9.0, Epitope Retrieval Solution2) for 20 mins

Immunocytochemistry/ Immunofluorescence - Anti-PHIP antibody [EPR27150-82] (AB309962)
  • ICC/IF

Supplier Data

Immunocytochemistry/ Immunofluorescence - Anti-PHIP antibody [EPR27150-82] (AB309962)

Immunofluorescent analysis of 4% Paraformaldehyde-fixed, 0.1% TritonX-100 permeabilized PHIP KO HeLa (human cervical adenocarcinoma epithelial cell) (ab265403) cells labelling PHIP with ab309962 at 1/100 (4.92 ug/ml) dilution, followed by ab150081 Goat Anti-Rabbit IgG H&L (Alexa Fluor® 488) preadsorbed antibody at 1/1000 2 ug/mL dilution (Green). Confocal image showing nuclear staining in parental HeLa cells.Image was taken with a confocal microscope(Leica-Microsystems, TCS SP8). is observed. ab195889 Anti-alpha Tubulin mouse monoclonal antibody - Microtubule Marker (Alexa Fluor® 594) was used to counterstain tubulin at 1/200 2.5ug/ml dilution (Red). The Nuclear counterstain was DAPI (Blue). Secondary antibody only control : Secondary antibody is ab150081 Goat Anti-Rabbit IgG H&L (Alexa Fluor® 488) preadsorbed at 1/1000 2 ug/mL dilution.

Immunohistochemistry (Formalin/PFA-fixed paraffin-embedded sections) - Anti-PHIP antibody [EPR27150-82] (AB309962)
  • IHC-P

Supplier Data

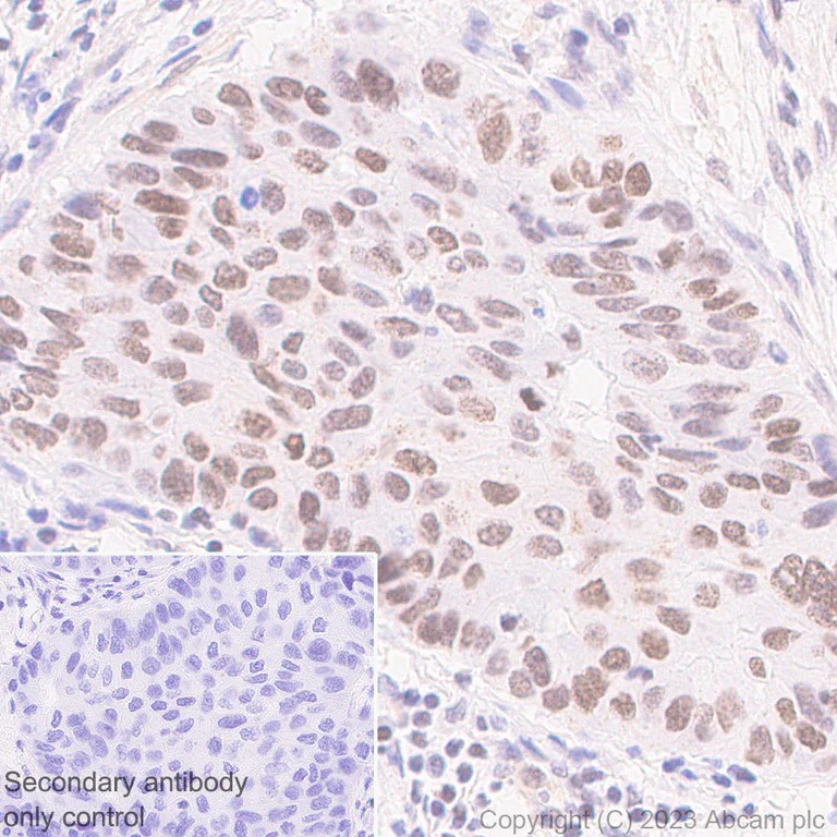
Immunohistochemistry (Formalin/PFA-fixed paraffin-embedded sections) - Anti-PHIP antibody [EPR27150-82] (AB309962)

Immunohistochemical analysis of paraffin-embedded Human lung adenocarc tissue labeling PHIP with ab309962 at 1/100 (4.92 ug/ml) followed by a ready to use LeicaDS9800 (Bond™ Polymer Refine Detection). Nuclear staining on human lung adenocarcinoma.The section was incubated with ab309962 for 30 mins at room temperature.The immunostaining was performed on a Leica Biosystems BOND® RX instrument Counterstained with Hematoxylin. Secondary antibody only control : Secondary antibody is a ready to use LeicaDS9800 (Bond™ Polymer Refine Detection). Heat mediated antigen retrieval was performed with Tris-EDTA buffer (pH 9.0, Epitope Retrieval Solution2) for 20 mins

Immunoprecipitation - Anti-PHIP antibody [EPR27150-82] (AB309962)
  • IP

Supplier Data

Immunoprecipitation - Anti-PHIP antibody [EPR27150-82] (AB309962)

PHIP was immunoprecipitated from 0.35 mg HeLa (human cervical adenocarcinoma epithelial cell) whole cell lysate with ab309962 at 1/30 dilution (2ug in 0.35mg lysates). Western blot was performed on the immunoprecipitate using ab309962 at 1/1000 dilution. VeriBlot for IP secondary antibody(HRP)(ab131366) was used at 1/5000 dilution. Lane 1 : HeLa (human cervical adenocarcinoma epithelial cell) whole cell lysate Lane 2 : ab309962 IP in HeLa (human cervical adenocarcinoma epithelial cell) whole cell lysate Lane 3 : Rabbit monoclonal IgG (ab172730) instead of ab309962 in HeLa whole cell lysate Blocking and dilution buffer and concentration : 5% NFDM/TBST. Exposure time : 3 minutes

All lanes:

Immunoprecipitation - Anti-PHIP antibody [EPR27150-82] (ab309962) at 1/30 dilution

All lanes:

HeLa (human cervical adenocarcinoma epithelial cell) whole cell lysate

Secondary

All lanes:

Immunoprecipitation - VeriBlot for IP Detection Reagent (HRP) (<a href='/en-us/products/reagents/veriblot-for-ip-detection-reagent-hrp-ab131366'>ab131366</a>) at 1/5000 dilution

false

Exposure time: 3min

Western blot - Anti-PHIP antibody [EPR27150-82] (AB309962)
  • WB

Supplier Data

Western blot - Anti-PHIP antibody [EPR27150-82] (AB309962)

Blocking and diluting buffer and concentration : 5% NFDM/TBST Performed under reducing conditions. In Western blot, ab309962 was shown to bind specifically to PHIP. A band was observed at 250 kDa in wild-type Hela cell lysates whereas no signal observed at this size in PHIP knockout cell line ab265403 (knockout cell lysate ab259039). The band beneath the target band (250 kDa) is likely to be degraded target fragment. In Western blot, anti- Vinculin antibody (ab129002) loading control staining at 1/10000 dilution. Exposure time : 3 minutes

All lanes:

Western blot - Anti-PHIP antibody [EPR27150-82] (ab309962) at 1/1000 dilution

Lane 1:

Wild-type HeLa(human cervical adenocarcinoma epithelial cell) whole cell lysate at 40 µg

Lane 2:

Western blot - Human PHIP knockout HeLa cell lysate (<a href='/en-us/products/cell-lysates/human-phip-knockout-hela-cell-lysate-ab259039'>ab259039</a>) at 40 µg

Lane 3:

K-562 (human chronic myelogenous leukemia lymphoblast) whole cell lysate at 20 µg

Secondary

All lanes:

Western blot - Goat Anti-Rabbit IgG H&L (HRP) (<a href='/en-us/products/secondary-antibodies/goat-rabbit-igg-h-l-hrp-ab97051'>ab97051</a>) at 1/20000 dilution

Observed band size: 250 kDa

false

Exposure time: 3min

Western blot - Anti-PHIP antibody [EPR27150-82] (AB309962)
  • WB

Supplier Data

Western blot - Anti-PHIP antibody [EPR27150-82] (AB309962)

Blocking and diluting buffer and concentration : 5% NFDM/TBST The band beneath the target band (250 kDa) is likely to be degraded target fragment. In Western blot, anti-Vinculin antibody (ab129002) loading control staining at 1/10000 dilution. Exposure time : 48 seconds

All lanes:

Western blot - Anti-PHIP antibody [EPR27150-82] (ab309962) at 1/1000 dilution

Lane 1:

HeLa (human cervical adenocarcinoma epithelial cell) transfected with scrambled siRNA control whole cell lysate at 20 µg

Lane 2:

HeLa transfected with siRNA specifically targeti PHIP whole cell lysate at 20 µg

Secondary

All lanes:

Western blot - Goat Anti-Rabbit IgG H&L (HRP) (<a href='/en-us/products/secondary-antibodies/goat-rabbit-igg-h-l-hrp-ab97051'>ab97051</a>) at 1/20000 dilution

Observed band size: 250 kDa

false

Exposure time: 48s

Western blot - Anti-PHIP antibody [EPR27150-82] (AB309962)
  • WB

Supplier Data

Western blot - Anti-PHIP antibody [EPR27150-82] (AB309962)

Blocking and diluting buffer and concentration : 5% NFDM/TBST Lysates were freshly made and used for Western blotting immediately to minimize protein degradation. Exposure time : 59 seconds

All lanes:

Western blot - Anti-PHIP antibody [EPR27150-82] (ab309962) at 1/1000 dilution

All lanes:

293T (human embryonic kidney epithelial cell) whole cell lysate at 20 µg

Secondary

All lanes:

Western blot - Goat Anti-Rabbit IgG H&L (HRP) (<a href='/en-us/products/secondary-antibodies/goat-rabbit-igg-h-l-hrp-ab97051'>ab97051</a>) at 1/20000 dilution

Observed band size: 250 kDa

false

Exposure time: 59s

Key facts

Host species

Rabbit

Clonality

Monoclonal

Clone number

EPR27150-82

Isotype

IgG

Carrier free

No

Reacts with

Human

Applications

IHC-P, WB, ICC/IF, Flow Cyt (Intra), IP

applications

Immunogen

The exact immunogen used to generate this antibody is proprietary information.

Reactivity data

{ "title": "Reactivity Data", "filters": { "stats": ["", "Species", "Dilution Info", "Notes"], "tabs": { "all-applications": {"fullname" : "All Applications", "shortname": "All Applications"}, "ChIPseq" : {"fullname" : "ChIP-sequencing", "shortname":"ChIP-seq"}, "WB" : {"fullname" : "Western blot", "shortname":"WB"}, "IHCP" : {"fullname" : "Immunohistochemistry (Formalin/PFA-fixed paraffin-embedded sections)", "shortname":"IHC-P"}, "ICCIF" : {"fullname" : "Immunocytochemistry/ Immunofluorescence", "shortname":"ICC/IF"}, "FlowCytIntra" : {"fullname" : "Flow Cytometry (Intracellular)", "shortname":"Flow Cyt (Intra)"}, "IP" : {"fullname" : "Immunoprecipitation", "shortname":"IP"} }, "product-promise": { "all": "all", "testedAndGuaranteed": "tested", "guaranteed": "expected", "predicted": "predicted", "notRecommended": "not-recommended" } }, "values": { "Human": { "ChIPseq-species-checked": "notRecommended", "ChIPseq-species-dilution-info": "", "ChIPseq-species-notes": "<p></p>", "WB-species-checked": "testedAndGuaranteed", "WB-species-dilution-info": "1/1000", "WB-species-notes": "<p></p>", "IHCP-species-checked": "testedAndGuaranteed", "IHCP-species-dilution-info": "1/100", "IHCP-species-notes": "<p></p> Perform heat-mediated antigen retrieval with Tris/EDTA buffer pH 9.0 before commencing with IHC staining protocol.", "ICCIF-species-checked": "testedAndGuaranteed", "ICCIF-species-dilution-info": "1/100", "ICCIF-species-notes": "<p></p>", "FlowCytIntra-species-checked": "testedAndGuaranteed", "FlowCytIntra-species-dilution-info": "1/500", "FlowCytIntra-species-notes": "<p></p>", "IP-species-checked": "testedAndGuaranteed", "IP-species-dilution-info": "1/30", "IP-species-notes": "<p></p>" }, "Mouse": { "ChIPseq-species-checked": "notRecommended", "ChIPseq-species-dilution-info": "", "ChIPseq-species-notes": "", "WB-species-checked": "notRecommended", "WB-species-dilution-info": "", "WB-species-notes": "<p></p>", "IHCP-species-checked": "notRecommended", "IHCP-species-dilution-info": "", "IHCP-species-notes": "<p></p>", "ICCIF-species-checked": "notRecommended", "ICCIF-species-dilution-info": "", "ICCIF-species-notes": "<p></p>", "FlowCytIntra-species-checked": "notRecommended", "FlowCytIntra-species-dilution-info": "", "FlowCytIntra-species-notes": "<p></p>", "IP-species-checked": "notRecommended", "IP-species-dilution-info": "", "IP-species-notes": "<p></p>" }, "Rat": { "ChIPseq-species-checked": "notRecommended", "ChIPseq-species-dilution-info": "", "ChIPseq-species-notes": "", "WB-species-checked": "notRecommended", "WB-species-dilution-info": "", "WB-species-notes": "<p></p>", "IHCP-species-checked": "notRecommended", "IHCP-species-dilution-info": "", "IHCP-species-notes": "<p></p>", "ICCIF-species-checked": "notRecommended", "ICCIF-species-dilution-info": "", "ICCIF-species-notes": "", "FlowCytIntra-species-checked": "notRecommended", "FlowCytIntra-species-dilution-info": "", "FlowCytIntra-species-notes": "", "IP-species-checked": "notRecommended", "IP-species-dilution-info": "", "IP-species-notes": "" } } }

Product details

Patented technology
Our RabMAb® technology is a patented hybridoma-based technology for making rabbit monoclonal antibodies. For details on our patents, please refer to RabMAb® patents.

What are the advantages of a recombinant monoclonal antibody?
This product is a recombinant monoclonal antibody, which offers several advantages including:

  • - High batch-to-batch consistency and reproducibility
  • - Improved sensitivity and specificity
  • - Long-term security of supply
  • - Animal-free batch production

For more information, read more on recombinant antibodies.

Properties and storage information

Form
Liquid
Purification technique
Affinity purification Protein A
Storage buffer
pH: 7.2 - 7.4 Preservative: 0.01% Sodium azide Constituents: PBS, 40% Glycerol (glycerin, glycerine), 0.05% BSA
Shipped at conditions
Blue Ice
Appropriate short-term storage duration
1-2 weeks
Appropriate short-term storage conditions
+4°C
Appropriate long-term storage conditions
-20°C
Aliquoting information
Upon delivery aliquot
Storage information
Avoid freeze / thaw cycle

Supplementary information

This supplementary information is collated from multiple sources and compiled automatically.

PHIP also known as pleckstrin homology domain interacting protein is an adapter protein that interacts with insulin receptor substrates. It has a mass of approximately 100 kDa. PHIP is expressed in various tissues including the brain and liver. The protein is involved in intracellular signaling pathways by binding phosphoinositides which are important for cellular communication and growth regulation.
Biological function summary

PHIP plays a significant role in cell proliferation and survival. It contributes to the regulation of the cell cycle by influencing transcription factors and other core components involved in cell growth. PHIP is not only a standalone protein but also part of complexes that modulate chromatin affecting gene expression patterns.

Pathways

PHIP is integrated into insulin signaling and PI3K/AKT pathways. In these pathways PHIP interacts with key proteins like AKT1 supporting cellular responses to insulin and growth factors. The involvement of PHIP in these pathways highlights its role in metabolic regulation and its impact on cell growth and metabolism.

PHIP has links to cancer and diabetes. Its dysregulation contributes to abnormal cell proliferation often observed in cancers. PHIP's interaction with insulin signaling components such as IRS1 demonstrates its relevance to diabetes management. These connections show PHIP's potential as a therapeutic target for these conditions.

Product protocols

For this product, it's our understanding that no specific protocols are required. You can visit:

Target data

Probable regulator of the insulin and insulin-like growth factor signaling pathways. Stimulates cell proliferation through regulation of cyclin transcription and has an anti-apoptotic activity through AKT1 phosphorylation and activation. Plays a role in the regulation of cell morphology and cytoskeletal organization.
See full target information PHIP

Product promise

We are committed to supporting your work with high-quality reagents, and we're here for you every step of the way. In the unlikely event that one of our products does not perform as expected, you're protected by our Product Promise.
For full details, please see our Terms & Conditions

Please note: All products are 'FOR RESEARCH USE ONLY. NOT FOR USE IN DIAGNOSTIC OR THERAPEUTIC PROCEDURES'.

For licensing inquiries, please contact partnerships@abcam.com