JavaScript is disabled in your browser. Please enable JavaScript to view this website.
AB194112

Anti-PHKG1 antibody [EPR14812]

Be the first to review this product! Submit a review

|

(4 Publications)

Rabbit Recombinant Monoclonal PHKG1 antibody. Suitable for WB, ICC/IF, IHC-P and reacts with Mouse, Human, Rat samples. Cited in 4 publications.

View Alternative Names

PHKG, PHKG1, PHK-gamma-M, Phosphorylase kinase subunit gamma-1, Serine/threonine-protein kinase PHKG1

6 Images
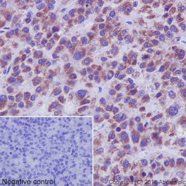
Immunohistochemistry (Formalin/PFA-fixed paraffin-embedded sections) - Anti-PHKG1 antibody [EPR14812] (AB194112)
  • IHC-P

Supplier Data

Immunohistochemistry (Formalin/PFA-fixed paraffin-embedded sections) - Anti-PHKG1 antibody [EPR14812] (AB194112)

Immunohistochemical analysis of paraffin-embedded Human hepatocellular carcinoma tissue labeling PHKG1 with ab194112 at 1/250 dilution followed by prediluted HRP Polymer for Rabbit/Mouse IgG. Counter stained with Hematoxylin.

Perform heat mediated antigen retrieval with Tris/EDTA buffer pH 9.0 before commencing with IHC staining protocol.

Immunohistochemistry (Formalin/PFA-fixed paraffin-embedded sections) - Anti-PHKG1 antibody [EPR14812] (AB194112)
  • IHC-P

Supplier Data

Immunohistochemistry (Formalin/PFA-fixed paraffin-embedded sections) - Anti-PHKG1 antibody [EPR14812] (AB194112)

Immunohistochemical analysis of paraffin-embedded Human skeletal muscle tissue labeling PHKG1 with ab194112 at 1/250 dilution followed by prediluted HRP Polymer for Rabbit/Mouse IgG. Counter stained with Hematoxylin.

Perform heat mediated antigen retrieval with Tris/EDTA buffer pH 9.0 before commencing with IHC staining protocol.

Immunocytochemistry/ Immunofluorescence - Anti-PHKG1 antibody [EPR14812] (AB194112)
  • ICC/IF

Supplier Data

Immunocytochemistry/ Immunofluorescence - Anti-PHKG1 antibody [EPR14812] (AB194112)

Immunofluorescent analysis of 4% paraformaldehyde-fixed 0.1% tritonX-100 permeabilized A673 cells labeling PHKG1 with ab194112 at 1/100 dilution followed by Goat anti-rabbit IgG (Alexa Fluor®488) secondary antibody (ab150077) at 1/400 dilution. Nuclear counter stain is DAPI (blue).

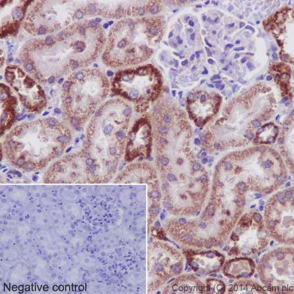
Immunohistochemistry (Formalin/PFA-fixed paraffin-embedded sections) - Anti-PHKG1 antibody [EPR14812] (AB194112)
  • IHC-P

Supplier Data

Immunohistochemistry (Formalin/PFA-fixed paraffin-embedded sections) - Anti-PHKG1 antibody [EPR14812] (AB194112)

Immunohistochemical analysis of paraffin-embedded rat kidney tissue labeling PHKG1 with ab194112 at 1/250 dilution followed by prediluted HRP Polymer for Rabbit/Mouse IgG. Counter stained with Hematoxylin.

Perform heat mediated antigen retrieval with Tris/EDTA buffer pH 9.0 before commencing with IHC staining protocol.

Western blot - Anti-PHKG1 antibody [EPR14812] (AB194112)
  • WB

Supplier Data

Western blot - Anti-PHKG1 antibody [EPR14812] (AB194112)

All lanes:

Western blot - Anti-PHKG1 antibody [EPR14812] (ab194112) at 1/20000 dilution

All lanes:

Human skeletal muscle tissue lysate at 10 µg

Secondary

All lanes:

Anti-Rabbit IgG (HRP), specific to the non-reduced form of IgG at 1/1000 dilution

Predicted band size: 45 kDa

Observed band size: 40 kDa

false

Western blot - Anti-PHKG1 antibody [EPR14812] (AB194112)
  • WB

Supplier Data

Western blot - Anti-PHKG1 antibody [EPR14812] (AB194112)

All lanes:

Western blot - Anti-PHKG1 antibody [EPR14812] (ab194112) at 1/1000 dilution

Lane 1:

Mouse muscle tissue lysate at 10 µg

Lane 2:

Rat muscle tissue lysate at 10 µg

Secondary

All lanes:

Goat Anti-Rabbit IgG, (H+L), Peroxidase conjugated at 1/1000 dilution

Predicted band size: 45 kDa

Observed band size: 40 kDa

false

  • Carrier free

    Anti-PHKG1 antibody [EPR14812] - BSA and Azide free

Key facts

Host species

Rabbit

Clonality

Monoclonal

Clone number

EPR14812

Isotype

IgG

Carrier free

No

Reacts with

Mouse, Rat, Human

Applications

IHC-P, ICC/IF, WB

applications

Immunogen

The exact immunogen used to generate this antibody is proprietary information.

Reactivity data

{ "title": "Reactivity Data", "filters": { "stats": ["", "Species", "Dilution Info", "Notes"], "tabs": { "all-applications": {"fullname" : "All Applications", "shortname": "All Applications"}, "WB" : {"fullname" : "Western blot", "shortname":"WB"}, "ICCIF" : {"fullname" : "Immunocytochemistry/ Immunofluorescence", "shortname":"ICC/IF"}, "IHCP" : {"fullname" : "Immunohistochemistry (Formalin/PFA-fixed paraffin-embedded sections)", "shortname":"IHC-P"} }, "product-promise": { "all": "all", "testedAndGuaranteed": "tested", "guaranteed": "expected", "predicted": "predicted", "notRecommended": "not-recommended" } }, "values": { "Human": { "WB-species-checked": "testedAndGuaranteed", "WB-species-dilution-info": "1/1000 - 1/10000", "WB-species-notes": "<p></p>", "ICCIF-species-checked": "testedAndGuaranteed", "ICCIF-species-dilution-info": "1/100", "ICCIF-species-notes": "<p></p>", "IHCP-species-checked": "testedAndGuaranteed", "IHCP-species-dilution-info": "1/250", "IHCP-species-notes": "<p></p>" }, "Mouse": { "WB-species-checked": "testedAndGuaranteed", "WB-species-dilution-info": "1/1000 - 1/10000", "WB-species-notes": "<p></p>", "ICCIF-species-checked": "guaranteed", "ICCIF-species-dilution-info": "", "ICCIF-species-notes": "", "IHCP-species-checked": "guaranteed", "IHCP-species-dilution-info": "", "IHCP-species-notes": "" }, "Rat": { "WB-species-checked": "guaranteed", "WB-species-dilution-info": "", "WB-species-notes": "", "ICCIF-species-checked": "guaranteed", "ICCIF-species-dilution-info": "", "ICCIF-species-notes": "", "IHCP-species-checked": "testedAndGuaranteed", "IHCP-species-dilution-info": "1/250", "IHCP-species-notes": "<p></p>" } } }

Product details

Patented technology
Our RabMAb® technology is a patented hybridoma-based technology for making rabbit monoclonal antibodies. For details on our patents, please refer to RabMAb® patents.

What are the advantages of a recombinant monoclonal antibody?
This product is a recombinant monoclonal antibody, which offers several advantages including:

  • - High batch-to-batch consistency and reproducibility
  • - Improved sensitivity and specificity
  • - Long-term security of supply
  • - Animal-free batch production

For more information, read more on recombinant antibodies.

Properties and storage information

Form
Liquid
Purification technique
Affinity purification Protein A
Storage buffer
pH: 7.2 - 7.4 Preservative: 0.01% Sodium azide Constituents: PBS, 40% Glycerol (glycerin, glycerine), 0.05% BSA
Shipped at conditions
Blue Ice
Appropriate short-term storage duration
1-2 weeks
Appropriate short-term storage conditions
+4°C
Appropriate long-term storage conditions
-20°C
Aliquoting information
Upon delivery aliquot
Storage information
Avoid freeze / thaw cycle

Supplementary information

This supplementary information is collated from multiple sources and compiled automatically.

PHKG1 is also known as phosphorylase kinase gamma 1. PHKG1 is an enzyme that plays a role in phosphorylase kinase activity. This enzyme has a molecular mass of approximately 45 kDa. Researchers found PHKG1 expressed mainly in skeletal muscle tissue where it participates in glycogen metabolism. The enzyme contains catalytic subunits that function in phosphorylating serine and threonine residues essential for glycogen breakdown.
Biological function summary

PHKG1 acts as a critical component of the larger phosphorylase kinase complex. This complex promotes glycogenolysis the process of converting glycogen to glucose-1-phosphate facilitating energy release in cells. Within tissues PHKG1 interacts with other subunits of phosphorylase kinase playing a regulatory role. Effective activation of phosphorylase b to active phosphorylase a form relies on efficient PHKG1 function.

Pathways

PHKG1 is essential in the glycogenolysis pathway. It interacts with AMP-activated protein kinase (AMPK). Besides PHKG1 associates with cAMP-dependent protein kinase (PKA) as both enzymes participate in regulating energy homeostasis. These interactions highlight the enzyme’s function in maintaining metabolic balance under stress conditions.

PHKG1 associates with McArdle's disease a glycogen storage disorder characterized by muscle weakness and fatigue. Aberrant PHKG1 activity can disrupt glycogen breakdown aggravating symptoms of the condition. Moreover metabolic syndrome a cluster of metabolic disorders connects to PHKG1 through its role in regulating glucose metabolism and shares common pathways with AMPK relating PHKG1 to potential targets for therapy in metabolic disorders.

Product protocols

For this product, it's our understanding that no specific protocols are required. You can visit:

Target data

Catalytic subunit of the phosphorylase b kinase (PHK), which mediates the neural and hormonal regulation of glycogen breakdown (glycogenolysis) by phosphorylating and thereby activating glycogen phosphorylase. In vitro, phosphorylates PYGM, TNNI3, MAPT/TAU, GAP43 and NRGN/RC3 (By similarity).
See full target information PHKG1

Publications (4)

Recent publications for all applications. Explore the full list and refine your search

Scientific reports 15:15554 PubMed40319072

2025

On the utility of immobilized phenylarsine oxide in the study of redox sensitive cardiac proteins.

Applications

Unspecified application

Species

Unspecified reactive species

Asvi Arora Francois,Xiaoke Yin,Shinichi Oka,Junichi Sadoshima,Manuel Mayr,Philip Eaton

Journal of translational medicine 23:367 PubMed40128847

2025

Sodium tanshinone IIA sulfonate promotes proliferation and differentiation of endogenous neural stem cells to repair rat spinal cord injury via the Notch pathway.

Applications

Unspecified application

Species

Unspecified reactive species

Wenqing Zhong,Luchun Xu,Guozheng Jiang,Yushan Gao,Jiawei Song,Yukun Ma,Guanlong Wang,Jiaojiao Fan,Wenhao Li,Shibo Zhou,Yongdong Yang,Xing Yu

Antioxidants (Basel, Switzerland) 13: PubMed39199268

2024

Avicularin Attenuated Lead-Induced Ferroptosis, Neuroinflammation, and Memory Impairment in Mice.

Applications

Unspecified application

Species

Unspecified reactive species

Jun-Tao Guo,Chao Cheng,Jia-Xue Shi,Wen-Ting Zhang,Han Sun,Chan-Min Liu

Carbohydrate polymers 243:116435 PubMed32532388

2020

Metformin and Berberine suppress glycogenolysis by inhibiting glycogen phosphorylase and stabilizing the molecular structure of glycogen in db/db mice.

Applications

Unspecified application

Species

Unspecified reactive species

Xiaocui Liu,Kaiping Wang,Jing Zhou,Mitchell A Sullivan,Yage Liu,Robert G Gilbert,Bin Deng
View all publications

Product promise

We are committed to supporting your work with high-quality reagents, and we're here for you every step of the way. In the unlikely event that one of our products does not perform as expected, you're protected by our Product Promise.
For full details, please see our Terms & Conditions

Please note: All products are 'FOR RESEARCH USE ONLY. NOT FOR USE IN DIAGNOSTIC OR THERAPEUTIC PROCEDURES'.

For licensing inquiries, please contact partnerships@abcam.com