JavaScript is disabled in your browser. Please enable JavaScript to view this website.
AB249435

Anti-PHKG2 antibody [EPR9727] - BSA and Azide free

Be the first to review this product! Submit a review

|

(0 Publication)

Rabbit Recombinant Monoclonal PHKG2 antibody. Carrier free. Suitable for ICC/IF, WB, Flow Cyt (Intra) and reacts with Human samples.

View Alternative Names

PHK-gamma-LT, PHK-gamma-T, PSK-C3, Phosphorylase kinase subunit gamma-2, PHKG2

4 Images
Flow Cytometry (Intracellular) - Anti-PHKG2 antibody [EPR9727] - BSA and Azide free (AB249435)
  • Flow Cyt (Intra)

Unknown

Flow Cytometry (Intracellular) - Anti-PHKG2 antibody [EPR9727] - BSA and Azide free (AB249435)

This data was developed using ab167424, the same antibody clone in a different buffer formulation.

Intracellular flow cytometric analysis of permeabilized 293T cells labeling PHKG2 with ab167424 at 1/100 (red) or a rabbit IgG negative (green).

Immunocytochemistry/ Immunofluorescence - Anti-PHKG2 antibody [EPR9727] - BSA and Azide free (AB249435)
  • ICC/IF

Unknown

Immunocytochemistry/ Immunofluorescence - Anti-PHKG2 antibody [EPR9727] - BSA and Azide free (AB249435)

This data was developed using ab167424, the same antibody clone in a different buffer formulation.Immunofluorescent staining of HepG2 cells labeling PHKG2 with ab167424 at 1/100 dilution.

Western blot - Anti-PHKG2 antibody [EPR9727] - BSA and Azide free (AB249435)
  • WB

Unknown

Western blot - Anti-PHKG2 antibody [EPR9727] - BSA and Azide free (AB249435)

This data was developed using ab167424, the same antibody clone in a different buffer formulation.

All lanes:

Western blot - Anti-PHKG2 antibody [EPR9727] (<a href='/en-us/products/primary-antibodies/phkg2-antibody-epr9727-ab167424'>ab167424</a>) at 1/1000 dilution

Lane 1:

Human fetal lung tissue lysate at 10 µg

Lane 2:

HepG2 cell lysate at 10 µg

Lane 3:

Ramos cell lysate at 10 µg

Lane 4:

293T (Human embryonic kidney epithelial cell) cell lysate at 10 µg

Lane 5:

HeLa cell lysate at 10 µg

Secondary

All lanes:

Goat anti-rabbit HRP antibody at 1/2000 dilution

Predicted band size: 46 kDa

false

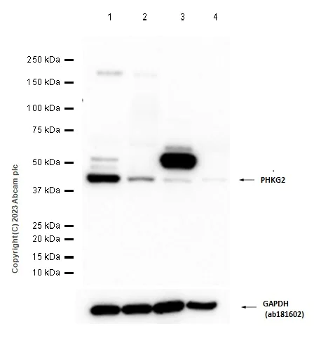
Western blot - Anti-PHKG2 antibody [EPR9727] - BSA and Azide free (AB249435)
  • WB

Lab

Western blot - Anti-PHKG2 antibody [EPR9727] - BSA and Azide free (AB249435)

This data was developed using ab167424, the same antibody clone in a different buffer formulation. PHKG2 is a liver/testis isoform of the phosphorylase kinase gamma subunit enriched in testis (PMID : 8896567). Blocking and diluting buffer : 5% NFDM /TBST

Lanes 1 - 4:

Western blot - Anti-PHKG2 antibody [EPR9727] (<a href='/en-us/products/primary-antibodies/phkg2-antibody-epr9727-ab167424'>ab167424</a>) at 1/1000 dilution

Lanes 1 - 4:

Western blot - Anti-PHKG2 antibody [EPR9727] - BSA and Azide free (ab249435)

Lane 1:

Human testis tissue lysate at 20 µg

Lane 2:

Human lung tissue lysate at 20 µg

Lane 3:

Human brain tissue lysate at 20 µg

Lane 4:

Human breast tissue lysate at 20 µg

Secondary

All lanes:

Goat Anti-Rabbit IgG (HRP) with minimal cross-reactivity with human IgG at 1/2000 dilution

Observed band size: 43 kDa

false

Exposure time: 80s

Key facts

Host species

Rabbit

Clonality

Monoclonal

Clone number

EPR9727

Isotype

IgG

Carrier free

Yes

Reacts with

Human

Applications

ICC/IF, WB, Flow Cyt (Intra)

applications

Immunogen

The exact immunogen used to generate this antibody is proprietary information.

Reactivity data

{ "title": "Reactivity Data", "filters": { "stats": ["", "Species", "Dilution Info", "Notes"], "tabs": { "all-applications": {"fullname" : "All Applications", "shortname": "All Applications"}, "ICCIF" : {"fullname" : "Immunocytochemistry/ Immunofluorescence", "shortname":"ICC/IF"}, "IP" : {"fullname" : "Immunoprecipitation", "shortname":"IP"}, "WB" : {"fullname" : "Western blot", "shortname":"WB"}, "IHCP" : {"fullname" : "Immunohistochemistry (Formalin/PFA-fixed paraffin-embedded sections)", "shortname":"IHC-P"}, "FlowCytIntra" : {"fullname" : "Flow Cytometry (Intracellular)", "shortname":"Flow Cyt (Intra)"} }, "product-promise": { "all": "all", "testedAndGuaranteed": "tested", "guaranteed": "expected", "predicted": "predicted", "notRecommended": "not-recommended" } }, "values": { "Human": { "ICCIF-species-checked": "testedAndGuaranteed", "ICCIF-species-dilution-info": "", "ICCIF-species-notes": "<p></p>", "IP-species-checked": "notRecommended", "IP-species-dilution-info": "", "IP-species-notes": "<p></p>", "WB-species-checked": "testedAndGuaranteed", "WB-species-dilution-info": "", "WB-species-notes": "<p></p>", "IHCP-species-checked": "notRecommended", "IHCP-species-dilution-info": "", "IHCP-species-notes": "<p></p>", "FlowCytIntra-species-checked": "testedAndGuaranteed", "FlowCytIntra-species-dilution-info": "", "FlowCytIntra-species-notes": "<p></p>" } } }

Product details

ab249435 is the carrier-free version of ab167424.

Patented technology
Our RabMAb® technology is a patented hybridoma-based technology for making rabbit monoclonal antibodies. For details on our patents, please refer to RabMAb® patents.

What are the advantages of a recombinant monoclonal antibody?
This product is a recombinant monoclonal antibody, which offers several advantages including:

  • - High batch-to-batch consistency and reproducibility
  • - Improved sensitivity and specificity
  • - Long-term security of supply
  • - Animal-free batch production

For more information, read more on recombinant antibodies.

Conjugation ready
Our carrier-free antibodies are typically supplied in a PBS-only formulation, purified and free of BSA, sodium azide and glycerol. This conjugation-ready format is designed for use with fluorochromes, metal isotopes, oligonucleotides, and enzymes, which makes them ideal for antibody labelling, functional and cell-based assays, flow-based assays (e.g. mass cytometry) and Multiplex Imaging applications.

Use our conjugation kits for antibody conjugates that are ready-to-use in as little as 20 minutes with 1 minute hands-on-time and 100% antibody recovery: available for fluorescent dyes, HRP, biotin and gold.

Compatibility
This product is compatible with the Maxpar® Antibody Labeling Kit from Fluidigm, without the need for antibody preparation. Maxpar® is a trademark of Fluidigm Canada Inc.

Properties and storage information

Form
Liquid
Purification technique
Affinity purification
Storage buffer
pH: 7.2 - 7.4 Constituents: PBS
Shipped at conditions
Blue Ice
Appropriate short-term storage conditions
+4°C
Appropriate long-term storage conditions
+4°C
Storage information
Do Not Freeze

Supplementary information

This supplementary information is collated from multiple sources and compiled automatically.

PHKG2 also known as phosphorylase kinase gamma 2 is a catalytic subunit of the phosphorylase kinase (PhK) enzyme. PHKG2 has a molecular weight of approximately 44 kDa. This enzyme is responsible for the phosphorylation of serine residues in glycogen phosphorylase which is necessary for glycogen breakdown. PHKG2 is expressed mainly in muscle and liver tissues where it plays a role in the regulation of glycogen metabolism.
Biological function summary

Phosphorylase kinase involving PHKG2 is critical for the regulation of glycogenolysis. It forms a complex with other subunits including alpha beta and delta contributing to the full enzymatic activity of PhK. As part of this multi-subunit complex PHKG2 facilitates the conversion of glycogen to glucose-1-phosphate ensuring that energy production meets cellular demands during physical activity or fasting.

Pathways

The glycogenolysis process involving PHKG2 is tightly linked with the cAMP-dependent protein kinase (PKA) signaling pathway. Phosphorylase kinase gets activated by PKA under hormonal control prompting glycogen breakdown and maintaining glucose homeostasis. Additionally PHKG2's activity is connected with the insulin signaling pathway which integrates with its function to regulate carbohydrate metabolism especially relating to its interaction with proteins such as glycogen synthase and protein phosphatase 1.

Mutations in PHKG2 associate with Glycogen Storage Disease Type IX (GSD IX) a disorder characterized by an inability to properly break down glycogen leading to muscle weakness and hepatomegaly. PHKG2's interaction with proteins like alpha-glucosidase also links it to conditions like Pompe disease where glycogen buildup occurs due to deficient enzyme activity. Monitoring and understanding PHKG2's role in these contexts is important for developing therapeutic strategies.

Product protocols

For this product, it's our understanding that no specific protocols are required. You can visit:

Target data

Catalytic subunit of the phosphorylase b kinase (PHK), which mediates the neural and hormonal regulation of glycogen breakdown (glycogenolysis) by phosphorylating and thereby activating glycogen phosphorylase. May regulate glycogeneolysis in the testis. In vitro, phosphorylates PYGM (PubMed : 35549678).
See full target information PHKG2

Product promise

We are committed to supporting your work with high-quality reagents, and we're here for you every step of the way. In the unlikely event that one of our products does not perform as expected, you're protected by our Product Promise.
For full details, please see our Terms & Conditions

Please note: All products are 'FOR RESEARCH USE ONLY. NOT FOR USE IN DIAGNOSTIC OR THERAPEUTIC PROCEDURES'.

For licensing inquiries, please contact partnerships@abcam.com