JavaScript is disabled in your browser. Please enable JavaScript to view this website.
AB272010

Anti-PHLPP2 antibody [SP220] - BSA and Azide free

Be the first to review this product! Submit a review

|

(0 Publication)

Rabbit Recombinant Monoclonal PHLPP2 antibody. Carrier free. Suitable for WB, IHC-P and reacts with Human samples.

View Alternative Names

KIAA0931, PHLPPL, PHLPP2, PH domain leucine-rich repeat-containing protein phosphatase 2, PH domain leucine-rich repeat-containing protein phosphatase-like, PHLPP-like

3 Images
Immunohistochemistry (Formalin/PFA-fixed paraffin-embedded sections) - Anti-PHLPP2 antibody [SP220] - BSA and Azide free (AB272010)
  • IHC-P

Unknown

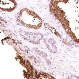
Immunohistochemistry (Formalin/PFA-fixed paraffin-embedded sections) - Anti-PHLPP2 antibody [SP220] - BSA and Azide free (AB272010)

Immunohistochemistry (Formalin/PFA-fixed paraffin-embedded sections) analysis of Human prostate carcinoma tissue sections labeling PHLPP2 with ab227673 at 1/100 dilution (1.65 μg/ml). Heat mediated antigen retrieval was performed Heat mediated antigen retrieval with Tris-EDTA buffer (pH 9.0, epitope retrieval solution 2) for 20 mins. Rabbit specific IHC polymer detection kit HRP/DAB (ab209101) was used as the secondary antibody. Negative control : PBS instead of the primary antibody. Hematoxylin was used as a counterstain.

This data was developed using the same antibody clone in a different buffer formulation containing PBS, BSA, glycerol, and sodium azide (ab227673).

Immunohistochemistry (Formalin/PFA-fixed paraffin-embedded sections) - Anti-PHLPP2 antibody [SP220] - BSA and Azide free (AB272010)
  • IHC-P

Supplier Data

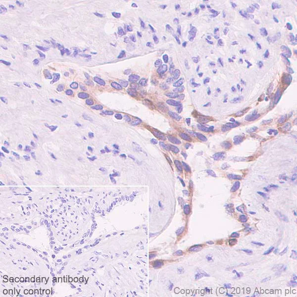
Immunohistochemistry (Formalin/PFA-fixed paraffin-embedded sections) - Anti-PHLPP2 antibody [SP220] - BSA and Azide free (AB272010)

Formalin-fixed, paraffin-embedded human prostate tissue stained for PHLPP2 using ab227673 at 1/100 dilution in immunohistochemical analysis.

This data was developed using the same antibody clone in a different buffer formulation containing PBS, BSA, glycerol, and sodium azide (ab227673).

Immunohistochemistry (Formalin/PFA-fixed paraffin-embedded sections) - Anti-PHLPP2 antibody [SP220] - BSA and Azide free (AB272010)
  • IHC-P

Supplier Data

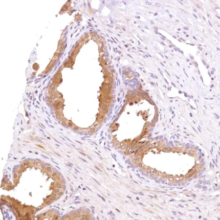
Immunohistochemistry (Formalin/PFA-fixed paraffin-embedded sections) - Anti-PHLPP2 antibody [SP220] - BSA and Azide free (AB272010)

Formalin-fixed, paraffin-embedded human prostate adenocarcinoma tissue stained for PHLPP2 using ab227673 at 1/100 dilution in immunohistochemical analysis.

This data was developed using the same antibody clone in a different buffer formulation containing PBS, BSA, glycerol, and sodium azide (ab227673).

Key facts

Host species

Rabbit

Clonality

Monoclonal

Clone number

SP220

Isotype

IgG

Carrier free

Yes

Reacts with

Human

Applications

WB, IHC-P

applications

Immunogen

The exact immunogen used to generate this antibody is proprietary information.

Reactivity data

{ "title": "Reactivity Data", "filters": { "stats": ["", "Species", "Dilution Info", "Notes"], "tabs": { "all-applications": {"fullname" : "All Applications", "shortname": "All Applications"}, "WB" : {"fullname" : "Western blot", "shortname":"WB"}, "IHCP" : {"fullname" : "Immunohistochemistry (Formalin/PFA-fixed paraffin-embedded sections)", "shortname":"IHC-P"} }, "product-promise": { "all": "all", "testedAndGuaranteed": "tested", "guaranteed": "expected", "predicted": "predicted", "notRecommended": "not-recommended" } }, "values": { "Human": { "WB-species-checked": "guaranteed", "WB-species-dilution-info": "", "WB-species-notes": "<p>Primary antibody incubation for 1 hour at room temperature.</p>", "IHCP-species-checked": "testedAndGuaranteed", "IHCP-species-dilution-info": "", "IHCP-species-notes": "<p>Perform heat mediated antigen retrieval by boiling tissue section in citrate buffer, pH 6.0 for 10 minutes followed by cooling at room temperature for 20 minutes.Primary antibody incubation for 10 minutes at room temperature.</p>" }, "Mouse": { "WB-species-checked": "predicted", "WB-species-dilution-info": "", "WB-species-notes": "", "IHCP-species-checked": "predicted", "IHCP-species-dilution-info": "", "IHCP-species-notes": "" } } }

Product details

ab272010 is the carrier-free version of ab227673.

Patented technology
Our RabMAb® technology is a patented hybridoma-based technology for making rabbit monoclonal antibodies. For details on our patents, please refer to RabMAb® patents.

What are the advantages of a recombinant monoclonal antibody?
This product is a recombinant monoclonal antibody, which offers several advantages including:

  • - High batch-to-batch consistency and reproducibility
  • - Improved sensitivity and specificity
  • - Long-term security of supply
  • - Animal-free batch production

For more information, read more on recombinant antibodies.

Conjugation ready
Our carrier-free antibodies are typically supplied in a PBS-only formulation, purified and free of BSA, sodium azide and glycerol. This conjugation-ready format is designed for use with fluorochromes, metal isotopes, oligonucleotides, and enzymes, which makes them ideal for antibody labelling, functional and cell-based assays, flow-based assays (e.g. mass cytometry) and Multiplex Imaging applications.

Use our conjugation kits for antibody conjugates that are ready-to-use in as little as 20 minutes with 1 minute hands-on-time and 100% antibody recovery: available for fluorescent dyes, HRP, biotin and gold.

Compatibility
This product is compatible with the Maxpar® Antibody Labeling Kit from Fluidigm, without the need for antibody preparation. Maxpar® is a trademark of Fluidigm Canada Inc.

Properties and storage information

Form
Liquid
Purification technique
Affinity purification Protein A/G
Storage buffer
pH: 7.2 - 7.4 Constituents: PBS
Shipped at conditions
Blue Ice
Appropriate short-term storage conditions
+4°C
Appropriate long-term storage conditions
+4°C
Storage information
Do Not Freeze

Supplementary information

This supplementary information is collated from multiple sources and compiled automatically.

PHLPP2 also known as PH domain leucine-rich repeat protein phosphatase 2 functions as a serine/threonine phosphatase that specifically dephosphorylates Akt at the Ser473 site. This regulatory action on Akt influences many cellular processes including cell growth survival and metabolism. PHLPP2 has a molecular mass of approximately 140 kDa and is expressed in various tissues including liver and lung. Alternative names such as SCOP2 may sometimes reference this protein in specific research contexts.
Biological function summary

PHLPP2 modulates key signaling pathways by acting as a significant negative regulator of the Akt signaling pathway. It does not work alone; PHLPP2 can interact with functional complexes to exert its phosphatase activity more effectively. By dephosphorylating Akt PHLPP2 reduces the signaling output that leads to cell proliferation and survival responses leading to normal cellular homeostasis. This regulatory function positions PHLPP2 as a balancing component ensuring that Akt activity remains tightly controlled.

Pathways

PHLPP2 plays a role in the PI3K/Akt signaling pathway which is critical for cellular growth and metabolic functions. It also indirectly impacts the mTOR pathway through its regulation of Akt as Akt is an upstream activator of mTOR. By keeping Akt activity in check via dephosphorylation PHLPP2 keeps the downstream effects of the PI3K/Akt/mTOR axis in balance. It relates closely to proteins like PTEN which also acts as a negative regulator of the PI3K/Akt pathway ensuring that excessive Akt activity does not drive uncontrolled cellular events.

Mutations or altered expression of PHLPP2 have connections to cancer and diabetes. In cancer decreased levels of PHLPP2 can lead to an increase in Akt activity promoting uncontrolled cell division and survival therefore contributing to tumorigenesis. PHLPP2's influence on diabetes involves its regulation of insulin signaling where dysregulation can affect glucose homeostasis. The relationship between PHLPP2 Akt and insulin signaling highlights its important role in maintaining normal metabolic control and preventing disease progression in these contexts.

Product protocols

For this product, it's our understanding that no specific protocols are required. You can visit:

Target data

Protein phosphatase involved in regulation of Akt and PKC signaling. Mediates dephosphorylation in the C-terminal domain hydrophobic motif of members of the AGC Ser/Thr protein kinase family; specifically acts on 'Ser-473' of AKT1, 'Ser-660' of PRKCB isoform beta-II and 'Ser-657' of PRKCA. Akt regulates the balance between cell survival and apoptosis through a cascade that primarily alters the function of transcription factors that regulate pro- and antiapoptotic genes. Dephosphorylation of 'Ser-473' of Akt triggers apoptosis and decreases cell proliferation. Also controls the phosphorylation of AKT3. Dephosphorylates STK4 on 'Thr-387' leading to STK4 activation and apoptosis (PubMed : 20513427). Dephosphorylates RPS6KB1 and is involved in regulation of cap-dependent translation (PubMed : 21986499). Inhibits cancer cell proliferation and may act as a tumor suppressor. Dephosphorylation of PRKCA and PRKCB leads to their destabilization and degradation. Dephosphorylates RAF1 inhibiting its kinase activity (PubMed : 24530606).
See full target information PHLPP2

Product promise

We are committed to supporting your work with high-quality reagents, and we're here for you every step of the way. In the unlikely event that one of our products does not perform as expected, you're protected by our Product Promise.
For full details, please see our Terms & Conditions

Please note: All products are 'FOR RESEARCH USE ONLY. NOT FOR USE IN DIAGNOSTIC OR THERAPEUTIC PROCEDURES'.

For licensing inquiries, please contact partnerships@abcam.com