JavaScript is disabled in your browser. Please enable JavaScript to view this website.
AB221138

Anti-PHOS/PDC antibody [EPR21913]

Be the first to review this product! Submit a review

|

(1 Publication)

Rabbit Recombinant Monoclonal PHOS/PDC antibody. Suitable for IP, WB, IHC-P, IHC-Fr and reacts with Mouse, Rat, Human samples. Cited in 1 publication.

View Alternative Names

Phosducin, PHD, 33 kDa phototransducing protein, Protein MEKA, PDC

7 Images
Immunohistochemistry (Formalin/PFA-fixed paraffin-embedded sections) - Anti-PHOS/PDC antibody [EPR21913] (AB221138)
  • IHC-P

Supplier Data

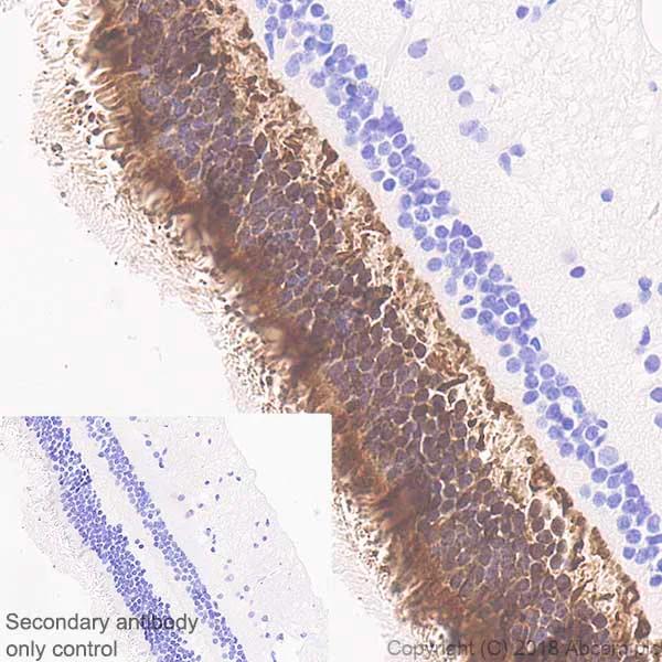
Immunohistochemistry (Formalin/PFA-fixed paraffin-embedded sections) - Anti-PHOS/PDC antibody [EPR21913] (AB221138)

Immunohistochemical analysis of paraffin-embedded human retina tissue labeling PHOS/PDC with ab221138 at 1/2000 dilution, followed by Rabbit specific IHC polymer detection kit HRP/DAB (ab209101) ready to use. Positive staining on human retina, performed on a Leica Biosystems BOND® RX instrument (PMID : 11287646, PMID : 10617777, PMID : 15842737) is observed. Counterstained with hematoxylin.

Secondary antibody only control : Used PBS instead of primary antibody, secondary antibody is Rabbit specific IHC polymer detection kit HRP/DAB (ab209101) ready to use.

Antigen retrieval was performed using Bond™ Epitope Retrieval Solution 2 (pH 9.0).

Immunohistochemistry (Frozen sections) - Anti-PHOS/PDC antibody [EPR21913] (AB221138)
  • IHC-Fr

Supplier Data

Immunohistochemistry (Frozen sections) - Anti-PHOS/PDC antibody [EPR21913] (AB221138)

Immunohistochemical analysis of 4% paraformaldehyde-fixed, 0.2% Triton X-100 permeabilized mouse retina tissue labeling PHOS/PDC with ab221138 at 1/100 dilution, followed by AlexaFluor®488 Goat anti-Rabbit secondary (ab150077) at 1/1000 dilution. Positive staining on mouse retina is observed. Counterstained with DAPI (Nuclear).

Secondary antibody only control : Used PBS instead of primary antibody, secondary antibody is AlexaFluor®488 Goat anti-Rabbit secondary (ab150077) at 1/1000 dilution.

Immunohistochemistry (Formalin/PFA-fixed paraffin-embedded sections) - Anti-PHOS/PDC antibody [EPR21913] (AB221138)
  • IHC-P

Supplier Data

Immunohistochemistry (Formalin/PFA-fixed paraffin-embedded sections) - Anti-PHOS/PDC antibody [EPR21913] (AB221138)

Immunohistochemical analysis of paraffin-embedded mouse retina tissue labeling PHOS/PDC with ab221138 at 1/2000 dilution, followed by Rabbit specific IHC polymer detection kit HRP/DAB (ab209101) ready to use. Positive staining on mouse retina, performed on a Leica Biosystems BOND® RX instrument (PMID : 11287646, PMID : 10617777) is observed. Counterstained with hematoxylin.
Secondary antibody only control : Used PBS instead of primary antibody, secondary antibody is Rabbit specific IHC polymer detection kit HRP/DAB (ab209101) ready to use.

Antigen retrieval was performed using Bond™ Epitope Retrieval Solution 2 (pH 9.0).

Immunohistochemistry (Frozen sections) - Anti-PHOS/PDC antibody [EPR21913] (AB221138)
  • IHC-Fr

Supplier Data

Immunohistochemistry (Frozen sections) - Anti-PHOS/PDC antibody [EPR21913] (AB221138)

Immunohistochemical analysis of 4% paraformaldehyde-fixed, 0.2% Triton X-100 permeabilized rat retina tissue labeling PHOS/PDC with ab221138 at 1/100 dilution, followed by AlexaFluor®488 Goat anti-Rabbit secondary (ab150077) at 1/1000 dilution. Positive staining on rat retina is observed. Counterstained with DAPI (Nuclear).

Secondary antibody only control : Used PBS instead of primary antibody, secondary antibody is AlexaFluor®488 Goat anti-Rabbit secondary (ab150077) at 1/1000 dilution.

Immunohistochemistry (Formalin/PFA-fixed paraffin-embedded sections) - Anti-PHOS/PDC antibody [EPR21913] (AB221138)
  • IHC-P

Supplier Data

Immunohistochemistry (Formalin/PFA-fixed paraffin-embedded sections) - Anti-PHOS/PDC antibody [EPR21913] (AB221138)

Immunohistochemical analysis of paraffin-embedded rat retina tissue labeling PHOS/PDC with ab221138 at 1/2000 dilution, followed by Rabbit specific IHC polymer detection kit HRP/DAB (ab209101) ready to use. Positive staining on rat retina, performed on a Leica Biosystems BOND® RX instrument (PMID : 11287646, PMID : 10617777) is observed. Counterstained with hematoxylin.
Secondary antibody only control : Used PBS instead of primary antibody, secondary antibody is Rabbit specific IHC polymer detection kit HRP/DAB (ab209101) ready to use.

Antigen retrieval was performed using Bond™ Epitope Retrieval Solution 2 (pH 9.0).

Western blot - Anti-PHOS/PDC antibody [EPR21913] (AB221138)
  • WB

Supplier Data

Western blot - Anti-PHOS/PDC antibody [EPR21913] (AB221138)

Blocking/diluting buffer and concentration : 5% NFDM/TBST.

The molecular mass observed is consistent with the literature (PMID 8816766).

All lanes:

Western blot - Anti-PHOS/PDC antibody [EPR21913] (ab221138) at 1/1000 dilution

Lane 1:

Human eye tissue lysate at 20 µg

Lane 2:

Mouse retina tissue lysate at 20 µg

Lane 3:

Rat retina tissue lysate at 20 µg

Secondary

All lanes:

Western blot - Goat Anti-Rabbit IgG H&L (HRP) (<a href='/en-us/products/secondary-antibodies/goat-rabbit-igg-h-l-hrp-ab97051'>ab97051</a>) at 1/100000 dilution

Predicted band size: 28 kDa

true

Exposure time: 15s

Immunoprecipitation - Anti-PHOS/PDC antibody [EPR21913] (AB221138)
  • IP

Supplier Data

Immunoprecipitation - Anti-PHOS/PDC antibody [EPR21913] (AB221138)

PHOS/PDC was immunoprecipitated from 0.35 mg of mouse eyeball tissue lysate with ab221138 at 1/30 dilution. Western blot was performed from the immunoprecipitate using ab221138 at 1/1000 dilution. VeriBlot for IP Detection Reagent (HRP) (ab131366) was used for detection at 1/5000 dilution.
Lane 1 : Mouse eyeball tissue lysate 10 μg (input).
Lane 2 : ab221138 IP in mouse eyeball tissue lysate.
Lane 3 : Rabbit monoclonal IgG (ab172730) instead of ab221138 in mouse eyeball lysate.

Blocking and diluting buffer and concentration : 5% NFDM/TBST.

Exposure time : 30 seconds.

All lanes:

Immunoprecipitation - Anti-PHOS/PDC antibody [EPR21913] (ab221138)

Predicted band size: 28 kDa

false

Key facts

Host species

Rabbit

Clonality

Monoclonal

Clone number

EPR21913

Isotype

IgG

Carrier free

No

Reacts with

Mouse, Rat, Human

Applications

WB, IHC-P, IP, IHC-Fr

applications

Immunogen

The exact immunogen used to generate this antibody is proprietary information.

Reactivity data

{ "title": "Reactivity Data", "filters": { "stats": ["", "Species", "Dilution Info", "Notes"], "tabs": { "all-applications": {"fullname" : "All Applications", "shortname": "All Applications"}, "IP" : {"fullname" : "Immunoprecipitation", "shortname":"IP"}, "WB" : {"fullname" : "Western blot", "shortname":"WB"}, "IHCP" : {"fullname" : "Immunohistochemistry (Formalin/PFA-fixed paraffin-embedded sections)", "shortname":"IHC-P"}, "IHCFr" : {"fullname" : "Immunohistochemistry (Frozen sections)", "shortname":"IHC-Fr"} }, "product-promise": { "all": "all", "testedAndGuaranteed": "tested", "guaranteed": "expected", "predicted": "predicted", "notRecommended": "not-recommended" } }, "values": { "Human": { "IP-species-checked": "guaranteed", "IP-species-dilution-info": "", "IP-species-notes": "", "WB-species-checked": "testedAndGuaranteed", "WB-species-dilution-info": "1/1000", "WB-species-notes": "<p></p>", "IHCP-species-checked": "testedAndGuaranteed", "IHCP-species-dilution-info": "1/2000", "IHCP-species-notes": "<p>Perform antigen retrieval using Bond™ Epitope Retrieval Solution 2 (pH 9.0).</p>", "IHCFr-species-checked": "guaranteed", "IHCFr-species-dilution-info": "", "IHCFr-species-notes": "" }, "Mouse": { "IP-species-checked": "testedAndGuaranteed", "IP-species-dilution-info": "1/30", "IP-species-notes": "<p></p>", "WB-species-checked": "testedAndGuaranteed", "WB-species-dilution-info": "1/1000", "WB-species-notes": "<p></p>", "IHCP-species-checked": "testedAndGuaranteed", "IHCP-species-dilution-info": "1/2000", "IHCP-species-notes": "<p>Perform antigen retrieval using Bond™ Epitope Retrieval Solution 2 (pH 9.0).</p>", "IHCFr-species-checked": "testedAndGuaranteed", "IHCFr-species-dilution-info": "1/100", "IHCFr-species-notes": "<p>Heat-mediated antigen retrieval by sodium citrate buffer (10 mM citrate pH 6.0 + 0.05% Tween-20)</p>" }, "Rat": { "IP-species-checked": "guaranteed", "IP-species-dilution-info": "", "IP-species-notes": "", "WB-species-checked": "testedAndGuaranteed", "WB-species-dilution-info": "1/1000", "WB-species-notes": "<p></p>", "IHCP-species-checked": "testedAndGuaranteed", "IHCP-species-dilution-info": "1/2000", "IHCP-species-notes": "<p>Perform antigen retrieval using Bond™ Epitope Retrieval Solution 2 (pH 9.0).</p>", "IHCFr-species-checked": "testedAndGuaranteed", "IHCFr-species-dilution-info": "1/100", "IHCFr-species-notes": "<p>Heat-mediated antigen retrieval by sodium citrate buffer (10 mM citrate pH 6.0 + 0.05% Tween-20)</p>" } } }

Product details

Patented technology
Our RabMAb® technology is a patented hybridoma-based technology for making rabbit monoclonal antibodies. For details on our patents, please refer to RabMAb® patents.

What are the advantages of a recombinant monoclonal antibody?
This product is a recombinant monoclonal antibody, which offers several advantages including:

  • - High batch-to-batch consistency and reproducibility
  • - Improved sensitivity and specificity
  • - Long-term security of supply
  • - Animal-free batch production

For more information, read more on recombinant antibodies.

Properties and storage information

Form
Liquid
Purification technique
Affinity purification Protein A
Storage buffer
pH: 7.2 - 7.4 Preservative: 0.01% Sodium azide Constituents: PBS, 40% Glycerol (glycerin, glycerine), 0.05% BSA
Shipped at conditions
Blue Ice
Appropriate short-term storage duration
1-2 weeks
Appropriate short-term storage conditions
+4°C
Appropriate long-term storage conditions
-20°C
Aliquoting information
Upon delivery aliquot
Storage information
Avoid freeze / thaw cycle

Supplementary information

This supplementary information is collated from multiple sources and compiled automatically.

The protein target PHOS/PDC also known by alternate names is essential for cellular metabolism playing a role in glycolysis and energy production. PHOS/PDC has a molecular mass that varies based on its phosphorylation state. It is expressed in various tissues with high levels in muscle and liver cells. In these tissues it presents as an important regulator in converting pyruvate into acetyl-CoA a critical step in energy production.
Biological function summary

PHOS/PDC is part of the pyruvate dehydrogenase complex which is important for linking glycolysis with the citric acid cycle. This protein complex facilitates the transformation of pyruvate molecules into acetyl-CoA a substrate for the Krebs cycle which is fundamental in cellular respiration and energy extraction. PHOS/PDC directly affects energy homeostasis in cells and subsequently impacts overall metabolic rate.

Pathways

PHOS/PDC functions integrally within the glycolysis and citric acid cycle pathways. It links glycolysis with the mitochondrial Krebs cycle by converting pyruvate into acetyl-CoA a pivotal step in the energy production and metabolic pathway. It associates closely with proteins such as acetyl-CoA synthetase and citrate synthase which further act within the citric acid cycle. Effective PHOS/PDC activity ensures efficient energy generation and metabolic integration.

PHOS/PDC malfunctions relate to metabolic conditions like pyruvate dehydrogenase deficiency and lactic acidosis. Disruptions in PHOS/PDC can impair energy production and lead to these conditions reflecting its importance in cellular metabolism. Additionally its activity connects to disorders involving other proteins like lactate dehydrogenase which can exacerbate metabolic dysfunctions when PHOS/PDC is impaired. Understanding these connections aids in the diagnosis and treatment of related metabolic disorders.

Product protocols

For this product, it's our understanding that no specific protocols are required. You can visit:

Target data

May participate in the regulation of visual phototransduction or in the integration of photoreceptor metabolism. Inhibits the transcriptional activation activity of the cone-rod homeobox CRX.
See full target information PDC

Publications (1)

Recent publications for all applications. Explore the full list and refine your search

Antioxidants (Basel, Switzerland) 11: PubMed35740026

2022

Bioenergetic and Autophagic Characterization of Skin Fibroblasts from Patients.

Applications

Unspecified application

Species

Unspecified reactive species

Maria Isabel Alvarez-Mora,Gloria Garrabou,Tamara Barcos,Francisco Garcia-Garcia,Ruben Grillo-Risco,Emma Peruga,Laura Gort,Sergi Borrego-Écija,Raquel Sanchez-Valle,Judith Canto-Santos,Paula Navarro-Navarro,Laia Rodriguez-Revenga
View all publications

Product promise

We are committed to supporting your work with high-quality reagents, and we're here for you every step of the way. In the unlikely event that one of our products does not perform as expected, you're protected by our Product Promise.
For full details, please see our Terms & Conditions

Please note: All products are 'FOR RESEARCH USE ONLY. NOT FOR USE IN DIAGNOSTIC OR THERAPEUTIC PROCEDURES'.

For licensing inquiries, please contact partnerships@abcam.com