JavaScript is disabled in your browser. Please enable JavaScript to view this website.
AB234531

Anti-PHOS/PDC antibody [EPR21913] - BSA and Azide free

Be the first to review this product! Submit a review

|

(1 Publication)

Rabbit Recombinant Monoclonal PHOS/PDC antibody. Carrier free. Suitable for IP, WB, IHC-P, IHC-Fr and reacts with Mouse, Human, Rat samples. Cited in 1 publication.

View Alternative Names

Phosducin, PHD, 33 kDa phototransducing protein, Protein MEKA, PDC

5 Images
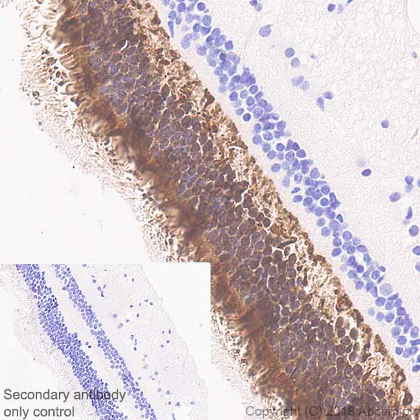
Immunohistochemistry (Formalin/PFA-fixed paraffin-embedded sections) - Anti-PHOS/PDC antibody [EPR21913] - BSA and Azide free (AB234531)
  • IHC-P

Supplier Data

Immunohistochemistry (Formalin/PFA-fixed paraffin-embedded sections) - Anti-PHOS/PDC antibody [EPR21913] - BSA and Azide free (AB234531)

Immunohistochemical analysis of paraffin-embedded human retina tissue labeling PHOS/PDC with ab221138 at 1/2000 dilution, followed by Rabbit specific IHC polymer detection kit HRP/DAB (ab209101) ready to use. Positive staining on human retina, performed on a Leica Biosystems BOND® RX instrument (PMID : 11287646, PMID : 10617777, PMID : 15842737) is observed. Counterstained with hematoxylin.

Secondary antibody only control : Used PBS instead of primary antibody, secondary antibody is Rabbit specific IHC polymer detection kit HRP/DAB (ab209101) ready to use.

Antigen retrieval was performed using Bond™ Epitope Retrieval Solution 2 (pH 9.0).

This data was developed using the same antibody clone in a different buffer formulation containing PBS, BSA, glycerol, and sodium azide (ab221138).

Immunohistochemistry (Frozen sections) - Anti-PHOS/PDC antibody [EPR21913] - BSA and Azide free (AB234531)
  • IHC-Fr

Supplier Data

Immunohistochemistry (Frozen sections) - Anti-PHOS/PDC antibody [EPR21913] - BSA and Azide free (AB234531)

Immunohistochemical analysis of 4% paraformaldehyde-fixed, 0.2% Triton X-100 permeabilized rat retina tissue labeling PHOS/PDC with ab221138 at 1/100 dilution, followed by AlexaFluor®488 Goat anti-Rabbit secondary (ab150077) at 1/1000 dilution. Positive staining on rat retina is observed. Counterstained with DAPI (Nuclear).

Secondary antibody only control : Used PBS instead of primary antibody, secondary antibody is AlexaFluor®488 Goat anti-Rabbit secondary (ab150077) at 1/1000 dilution.

This data was developed using the same antibody clone in a different buffer formulation containing PBS, BSA, glycerol, and sodium azide (ab221138).

Immunohistochemistry (Formalin/PFA-fixed paraffin-embedded sections) - Anti-PHOS/PDC antibody [EPR21913] - BSA and Azide free (AB234531)
  • IHC-P

Supplier Data

Immunohistochemistry (Formalin/PFA-fixed paraffin-embedded sections) - Anti-PHOS/PDC antibody [EPR21913] - BSA and Azide free (AB234531)

Immunohistochemical analysis of paraffin-embedded rat retina tissue labeling PHOS/PDC with ab221138 at 1/2000 dilution, followed by Rabbit specific IHC polymer detection kit HRP/DAB (ab209101) ready to use. Positive staining on rat retina, performed on a Leica Biosystems BOND® RX instrument (PMID : 11287646, PMID : 10617777) is observed. Counterstained with hematoxylin.
Secondary antibody only control : Used PBS instead of primary antibody, secondary antibody is Rabbit specific IHC polymer detection kit HRP/DAB (ab209101) ready to use.

Antigen retrieval was performed using Bond™ Epitope Retrieval Solution 2 (pH 9.0).

This data was developed using the same antibody clone in a different buffer formulation containing PBS, BSA, glycerol, and sodium azide (ab221138).

Immunohistochemistry (Frozen sections) - Anti-PHOS/PDC antibody [EPR21913] - BSA and Azide free (AB234531)
  • IHC-Fr

Supplier Data

Immunohistochemistry (Frozen sections) - Anti-PHOS/PDC antibody [EPR21913] - BSA and Azide free (AB234531)

Immunohistochemical analysis of 4% paraformaldehyde-fixed, 0.2% Triton X-100 permeabilized mouse retina tissue labeling PHOS/PDC with ab221138 at 1/100 dilution, followed by AlexaFluor®488 Goat anti-Rabbit secondary (ab150077) at 1/1000 dilution. Positive staining on mouse retina is observed. Counterstained with DAPI (Nuclear).

Secondary antibody only control : Used PBS instead of primary antibody, secondary antibody is AlexaFluor®488 Goat anti-Rabbit secondary (ab150077) at 1/1000 dilution.

This data was developed using the same antibody clone in a different buffer formulation containing PBS, BSA, glycerol, and sodium azide (ab221138).

Immunoprecipitation - Anti-PHOS/PDC antibody [EPR21913] - BSA and Azide free (AB234531)
  • IP

Supplier Data

Immunoprecipitation - Anti-PHOS/PDC antibody [EPR21913] - BSA and Azide free (AB234531)

PHOS/PDC was immunoprecipitated from 0.35 mg of mouse eyeball tissue lysate with ab221138 at 1/30 dilution. Western blot was performed from the immunoprecipitate using ab221138 at 1/1000 dilution. VeriBlot for IP Detection Reagent (HRP) (ab131366) was used for detection at 1/5000 dilution.
Lane 1 : Mouse eyeball tissue lysate 10 μg (input).
Lane 2 : ab221138 IP in mouse eyeball tissue lysate.
Lane 3 : Rabbit monoclonal IgG (ab172730) instead of ab221138 in mouse eyeball lysate.

Blocking and diluting buffer and concentration : 5% NFDM/TBST.

Exposure time : 30 seconds.

This data was developed using the same antibody clone in a different buffer formulation containing PBS, BSA, glycerol, and sodium azide (ab221138).

All lanes:

Immunoprecipitation - Anti-PHOS/PDC antibody [EPR21913] (<a href='/en-us/products/primary-antibodies/phos-pdc-antibody-epr21913-ab221138'>ab221138</a>)

Predicted band size: 28 kDa

false

Key facts

Host species

Rabbit

Clonality

Monoclonal

Clone number

EPR21913

Isotype

IgG

Carrier free

Yes

Reacts with

Mouse, Rat, Human

Applications

IHC-Fr, IHC-P, WB, IP

applications

Immunogen

The exact immunogen used to generate this antibody is proprietary information.

Reactivity data

{ "title": "Reactivity Data", "filters": { "stats": ["", "Species", "Dilution Info", "Notes"], "tabs": { "all-applications": {"fullname" : "All Applications", "shortname": "All Applications"}, "IP" : {"fullname" : "Immunoprecipitation", "shortname":"IP"}, "WB" : {"fullname" : "Western blot", "shortname":"WB"}, "IHCP" : {"fullname" : "Immunohistochemistry (Formalin/PFA-fixed paraffin-embedded sections)", "shortname":"IHC-P"}, "IHCFr" : {"fullname" : "Immunohistochemistry (Frozen sections)", "shortname":"IHC-Fr"} }, "product-promise": { "all": "all", "testedAndGuaranteed": "tested", "guaranteed": "expected", "predicted": "predicted", "notRecommended": "not-recommended" } }, "values": { "Human": { "IP-species-checked": "guaranteed", "IP-species-dilution-info": "", "IP-species-notes": "", "WB-species-checked": "guaranteed", "WB-species-dilution-info": "", "WB-species-notes": "<p></p>", "IHCP-species-checked": "testedAndGuaranteed", "IHCP-species-dilution-info": "", "IHCP-species-notes": "<p>Perform antigen retrieval using Bond™ Epitope Retrieval Solution 2 (pH 9.0)</p>", "IHCFr-species-checked": "guaranteed", "IHCFr-species-dilution-info": "", "IHCFr-species-notes": "" }, "Mouse": { "IP-species-checked": "testedAndGuaranteed", "IP-species-dilution-info": "", "IP-species-notes": "<p></p>", "WB-species-checked": "guaranteed", "WB-species-dilution-info": "", "WB-species-notes": "<p></p>", "IHCP-species-checked": "guaranteed", "IHCP-species-dilution-info": "", "IHCP-species-notes": "", "IHCFr-species-checked": "guaranteed", "IHCFr-species-dilution-info": "", "IHCFr-species-notes": "" }, "Rat": { "IP-species-checked": "guaranteed", "IP-species-dilution-info": "", "IP-species-notes": "", "WB-species-checked": "guaranteed", "WB-species-dilution-info": "", "WB-species-notes": "<p></p>", "IHCP-species-checked": "guaranteed", "IHCP-species-dilution-info": "", "IHCP-species-notes": "", "IHCFr-species-checked": "testedAndGuaranteed", "IHCFr-species-dilution-info": "", "IHCFr-species-notes": "<p>Heat-mediated antigen retrieval by sodium citrate buffer (10 mM citrate pH 6.0 + 0.05% Tween-20)</p>" } } }

Product details

ab234531 is the carrier-free version of ab221138.

Patented technology
Our RabMAb® technology is a patented hybridoma-based technology for making rabbit monoclonal antibodies. For details on our patents, please refer to RabMAb® patents.

What are the advantages of a recombinant monoclonal antibody?
This product is a recombinant monoclonal antibody, which offers several advantages including:

  • - High batch-to-batch consistency and reproducibility
  • - Improved sensitivity and specificity
  • - Long-term security of supply
  • - Animal-free batch production

For more information, read more on recombinant antibodies.

Conjugation ready
Our carrier-free antibodies are typically supplied in a PBS-only formulation, purified and free of BSA, sodium azide and glycerol. This conjugation-ready format is designed for use with fluorochromes, metal isotopes, oligonucleotides, and enzymes, which makes them ideal for antibody labelling, functional and cell-based assays, flow-based assays (e.g. mass cytometry) and Multiplex Imaging applications.

Use our conjugation kits for antibody conjugates that are ready-to-use in as little as 20 minutes with 1 minute hands-on-time and 100% antibody recovery: available for fluorescent dyes, HRP, biotin and gold.

Compatibility
This product is compatible with the Maxpar® Antibody Labeling Kit from Fluidigm, without the need for antibody preparation. Maxpar® is a trademark of Fluidigm Canada Inc.

Properties and storage information

Form
Liquid
Purification technique
Affinity purification Protein A
Storage buffer
pH: 7.2 - 7.4 Constituents: PBS
Shipped at conditions
Blue Ice
Appropriate short-term storage conditions
+4°C
Appropriate long-term storage conditions
+4°C
Storage information
Do Not Freeze

Supplementary information

This supplementary information is collated from multiple sources and compiled automatically.

The protein target PHOS/PDC also known by alternate names is essential for cellular metabolism playing a role in glycolysis and energy production. PHOS/PDC has a molecular mass that varies based on its phosphorylation state. It is expressed in various tissues with high levels in muscle and liver cells. In these tissues it presents as an important regulator in converting pyruvate into acetyl-CoA a critical step in energy production.
Biological function summary

PHOS/PDC is part of the pyruvate dehydrogenase complex which is important for linking glycolysis with the citric acid cycle. This protein complex facilitates the transformation of pyruvate molecules into acetyl-CoA a substrate for the Krebs cycle which is fundamental in cellular respiration and energy extraction. PHOS/PDC directly affects energy homeostasis in cells and subsequently impacts overall metabolic rate.

Pathways

PHOS/PDC functions integrally within the glycolysis and citric acid cycle pathways. It links glycolysis with the mitochondrial Krebs cycle by converting pyruvate into acetyl-CoA a pivotal step in the energy production and metabolic pathway. It associates closely with proteins such as acetyl-CoA synthetase and citrate synthase which further act within the citric acid cycle. Effective PHOS/PDC activity ensures efficient energy generation and metabolic integration.

PHOS/PDC malfunctions relate to metabolic conditions like pyruvate dehydrogenase deficiency and lactic acidosis. Disruptions in PHOS/PDC can impair energy production and lead to these conditions reflecting its importance in cellular metabolism. Additionally its activity connects to disorders involving other proteins like lactate dehydrogenase which can exacerbate metabolic dysfunctions when PHOS/PDC is impaired. Understanding these connections aids in the diagnosis and treatment of related metabolic disorders.

Product protocols

For this product, it's our understanding that no specific protocols are required. You can visit:

Target data

May participate in the regulation of visual phototransduction or in the integration of photoreceptor metabolism. Inhibits the transcriptional activation activity of the cone-rod homeobox CRX.
See full target information PDC

Publications (1)

Recent publications for all applications. Explore the full list and refine your search

International journal of oncology 56:596-605 PubMed31894273

2020

Neutrophil extracellular traps promote liver micrometastasis in pancreatic ductal adenocarcinoma via the activation of cancer‑associated fibroblasts.

Applications

Unspecified application

Species

Unspecified reactive species

Shin Takesue,Kenoki Ohuchida,Tomohiko Shinkawa,Yoshiki Otsubo,Sokichi Matsumoto,Akiko Sagara,Akiko Yonenaga,Yohei Ando,Shin Kibe,Hiromichi Nakayama,Chika Iwamoto,Koji Shindo,Taiki Moriyama,Kohei Nakata,Yoshihiro Miyasaka,Takao Ohtsuka,Hiroki Toma,Yohei Tominaga,Kazuhiro Mizumoto,Makoto Hashizume,Masafumi Nakamura
View all publications

Product promise

We are committed to supporting your work with high-quality reagents, and we're here for you every step of the way. In the unlikely event that one of our products does not perform as expected, you're protected by our Product Promise.
For full details, please see our Terms & Conditions

Please note: All products are 'FOR RESEARCH USE ONLY. NOT FOR USE IN DIAGNOSTIC OR THERAPEUTIC PROCEDURES'.

For licensing inquiries, please contact partnerships@abcam.com